Revision 1

#28112

Store at -20C

CST Logo
Orders:

877-616-CELL (2355)

[email protected]

Support:

877-678-TECH (8324)

3 Trask Lane | Danvers | Massachusetts | 01923 | USA

For Research Use Only. Not for Use in Diagnostic Procedures.

Applications:
W, IHC-P, IF-F, IF-IC

Reactivity:
M R

Sensitivity:
Endogenous

MW (kDa):
52, 70

Source/Isotype:
Rabbit IgG

UniProt ID:
#P20060

Entrez-Gene Id:
15212

Product Usage Information

This product is the carrier free version of product #33663. All data were generated using the same antibody clone in the standard formulation which contains BSA and glycerol.

This formulation is ideal for use with technologies requiring specialized or custom antibody labeling, including fluorophores, metals, lanthanides, and oligonucleotides. It is not recommended for ChIP, ChIP-seq, CUT&RUN or CUT&Tag assays. If you require a carrier free formulation for chromatin profiling, please contact us. Optimal dilutions/concentrations should be determined by the end user.

BSA and Azide Free antibodies are quality control tested by size exclusion chromatography (SEC) to determine antibody integrity.

Formulation

Supplied in 1X PBS (10 mM Na2HPO4, 3 mM KCl, 2 mM KH2PO4, and 140 mM NaCl (pH 7.8)). BSA and Azide Free.

For standard formulation of this product see product #33663

Storage

Store at -20°C. This product will freeze at -20°C so it is recommended to aliquot into single-use vials to avoid multiple freeze/thaw cycles. A slight precipitate may be present and can be dissolved by gently vortexing. This will not interfere with antibody performance.

Specificity/Sensitivity

HEXB (E9X5S) Rabbit Monoclonal Antibody (BSA and Azide Free) recognizes endogenous levels of total HEXB protein.

Source / Purification

Monoclonal antibody is produced by immunizing animals with a synthetic peptide corresponding to residues surrounding Pro300 of mouse HEXB protein.

Background

β-hexosaminidase (Hex) is an important lysosomal enzyme system that degrades various cellular substrates, such as oligosaccharides, glycosaminoglycans, and glycolipids. It is encoded by two genes, HEXA and HEXB, respectively, and these subunits dimerize to form β-hexosaminidase A (HexA; αβ) and β-hexosaminidase B (HexB; ββ) (1). Loss-of-function mutations result in ganglioside (GM2) accumulation and progressive neurodegenerative diseases, such as Sandhoff disease (SD) and Tay-Sachs disease (TSD) (1). HexB knockout mice display, similarly to human patients, a near-normal phenotype at birth but quickly develop muscle weakness, rigidity, and motor deterioration, typically leading to death at approximately four months of age (2). It has been shown that loss of HEXB leads to reduction of early neuronal migration and differentiation in the embryonic cerebral cortices of these mice (3). Hex also plays an important role in cancer, being a new potential biomarker in laryngeal cancer. Furthermore, higher expression of HEXA and HEXB is associated with poor prognosis in glioblastoma multiforme (GBM) patients (1).

Species Reactivity

Species reactivity is determined by testing in at least one approved application (e.g., western blot).

Applications Key

W: Western Blotting IHC-P: Immunohistochemistry (Paraffin) IF-F: Immunofluorescence (Frozen) IF-IC: Immunofluorescence (Immunocytochemistry)

Cross-Reactivity Key

M: Mouse R: Rat

Trademarks and Patents

Cell Signaling Technology is a trademark of Cell Signaling Technology, Inc.

All other trademarks are the property of their respective owners. Visit cellsignal.com/trademarks for more information.

Limited Uses

Except as otherwise expressly agreed in a writing signed by a legally authorized representative of CST, the following terms apply to Products provided by CST, its affiliates or its distributors. Any Customer's terms and conditions that are in addition to, or different from, those contained herein, unless separately accepted in writing by a legally authorized representative of CST, are rejected and are of no force or effect.

Products are labeled with For Research Use Only or a similar labeling statement and have not been approved, cleared, or licensed by the FDA or other regulatory foreign or domestic entity, for any purpose. Customer shall not use any Product for any diagnostic or therapeutic purpose, or otherwise in any manner that conflicts with its labeling statement. Products sold or licensed by CST are provided for Customer as the end-user and solely for research and development uses. Any use of Product for diagnostic, prophylactic or therapeutic purposes, or any purchase of Product for resale (alone or as a component) or other commercial purpose, requires a separate license from CST. Customer shall (a) not sell, license, loan, donate or otherwise transfer or make available any Product to any third party, whether alone or in combination with other materials, or use the Products to manufacture any commercial products, (b) not copy, modify, reverse engineer, decompile, disassemble or otherwise attempt to discover the underlying structure or technology of the Products, or use the Products for the purpose of developing any products or services that would compete with CST products or services, (c) not alter or remove from the Products any trademarks, trade names, logos, patent or copyright notices or markings, (d) use the Products solely in accordance with CST Product Terms of Sale and any applicable documentation, and (e) comply with any license, terms of service or similar agreement with respect to any third party products or services used by Customer in connection with the Products.

Orders: 877-616-CELL (2355) [email protected] Support: 877-678-TECH (8324) [email protected] Web: cellsignal.com
For Research Use Only. Not for Use in Diagnostic Procedures.

Revision 1

Cell Signaling Technology Logo
Western blot analysis of extracts from mouse kidney and testis tissue using HEXB (E9X5S) Rabbit mAb (upper) or β-Actin (D6A8) Rabbit mAb #8457 (lower). Negative expression of HEXB protein in mouse testis tissue is consistent with the predicted expression pattern. Data were generated using the standard formulation of this product.
Western Blotting Image 1: HEXB (E9X5S) Rabbit Monoclonal Antibody (BSA and Azide Free)
Western blot analysis of extracts from NIH/3T3 and RAW 264.7 cells, untreated (-) or treated with peptide N-glycosidase F (PNGase F; +), using HEXB (E9X5S) Rabbit mAb or β-Actin (D6A8) Rabbit mAb #8457 (lower). Data were generated using the standard formulation of this product.
Western Blotting Image 2: HEXB (E9X5S) Rabbit Monoclonal Antibody (BSA and Azide Free)
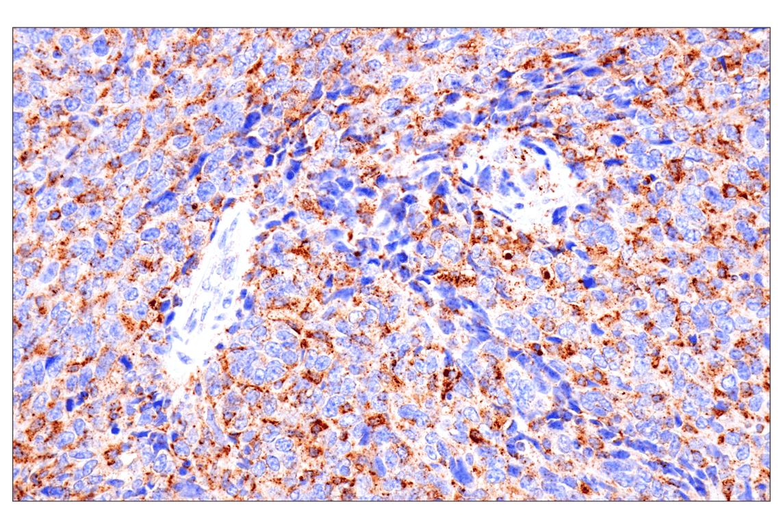
Immunohistochemical analysis of paraffin-embedded 4T1 syngeneic tumor using HEXB (E9X5S) Rabbit mAb. Data were generated using the standard formulation of this product.
Immunohistochemistry Image 1: HEXB (E9X5S) Rabbit Monoclonal Antibody (BSA and Azide Free)
Orders: 877-616-CELL (2355) [email protected] Support: 877-678-TECH (8324) [email protected] Web: cellsignal.com
For Research Use Only. Not for Use in Diagnostic Procedures.

Revision 1

Cell Signaling Technology Logo
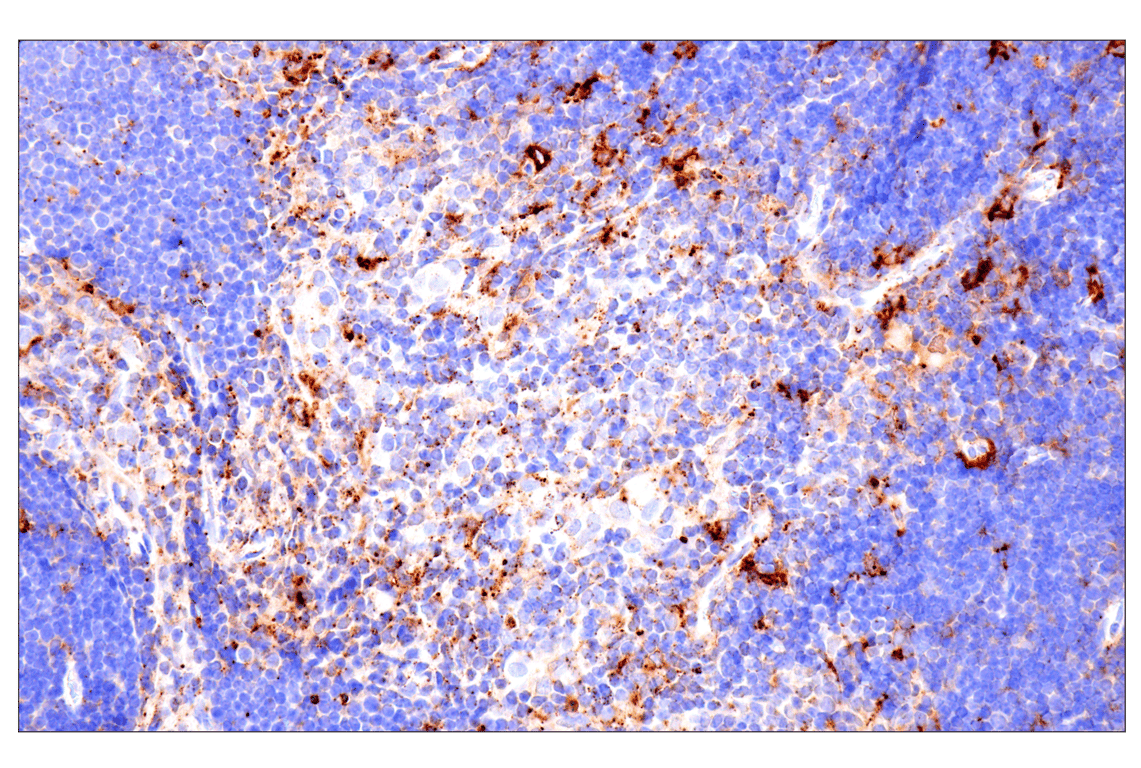
Immunohistochemical analysis of paraffin-embedded Renca syngeneic tumor using HEXB (E9X5S) Rabbit mAb. Data were generated using the standard formulation of this product.
Immunohistochemistry Image 2: HEXB (E9X5S) Rabbit Monoclonal Antibody (BSA and Azide Free)
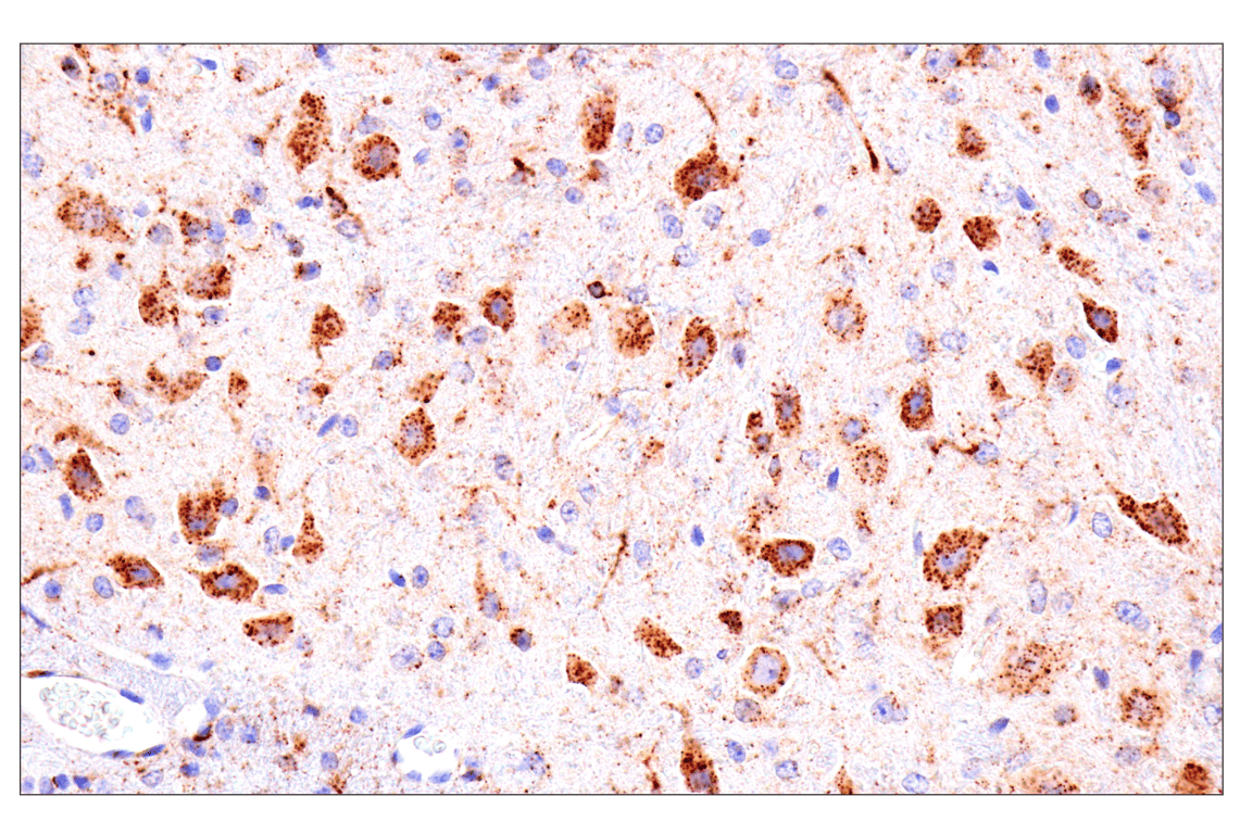
Immunohistochemical analysis of paraffin-embedded mouse cerebellar nuclei using HEXB (E9X5S) Rabbit mAb. Data were generated using the standard formulation of this product.
Immunohistochemistry Image 3: HEXB (E9X5S) Rabbit Monoclonal Antibody (BSA and Azide Free)
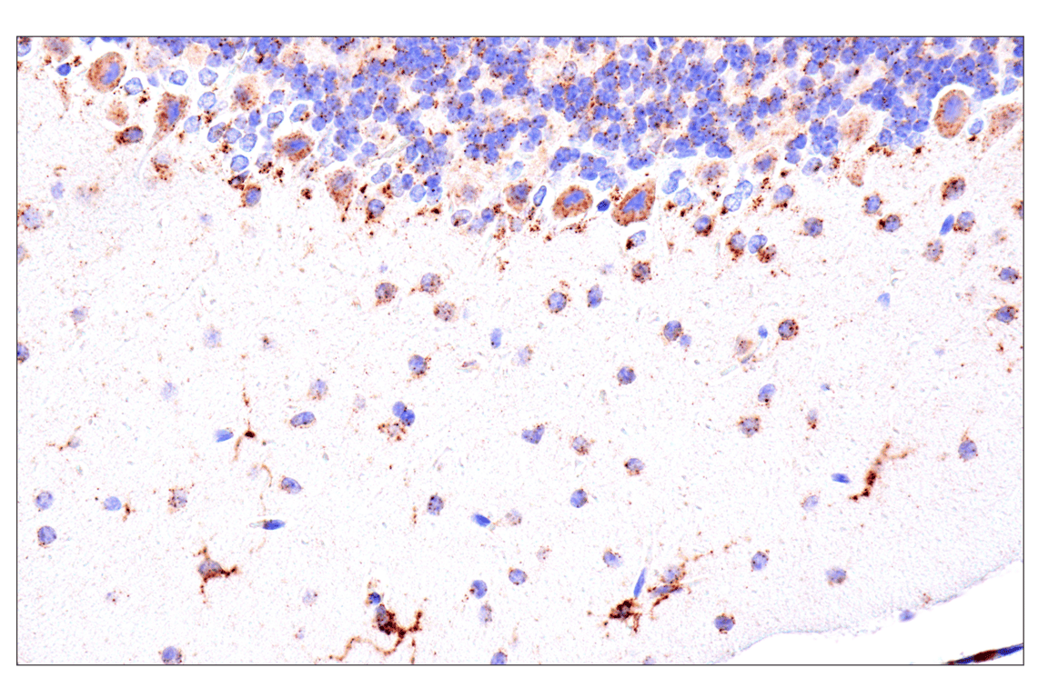
Immunohistochemical analysis of paraffin-embedded mouse cerebellum using HEXB (E9X5S) Rabbit mAb. Data were generated using the standard formulation of this product.
Immunohistochemistry Image 4: HEXB (E9X5S) Rabbit Monoclonal Antibody (BSA and Azide Free)
Orders: 877-616-CELL (2355) [email protected] Support: 877-678-TECH (8324) [email protected] Web: cellsignal.com
For Research Use Only. Not for Use in Diagnostic Procedures.

Revision 1

Cell Signaling Technology Logo
Immunohistochemical analysis of paraffin-embedded mouse uterus using HEXB (E9X5S) Rabbit mAb. Data were generated using the standard formulation of this product.
Immunohistochemistry Image 5: HEXB (E9X5S) Rabbit Monoclonal Antibody (BSA and Azide Free)
Immunohistochemical analysis of paraffin-embedded mouse pancreas using HEXB (E9X5S) Rabbit mAb. Data were generated using the standard formulation of this product.
Immunohistochemistry Image 6: HEXB (E9X5S) Rabbit Monoclonal Antibody (BSA and Azide Free)
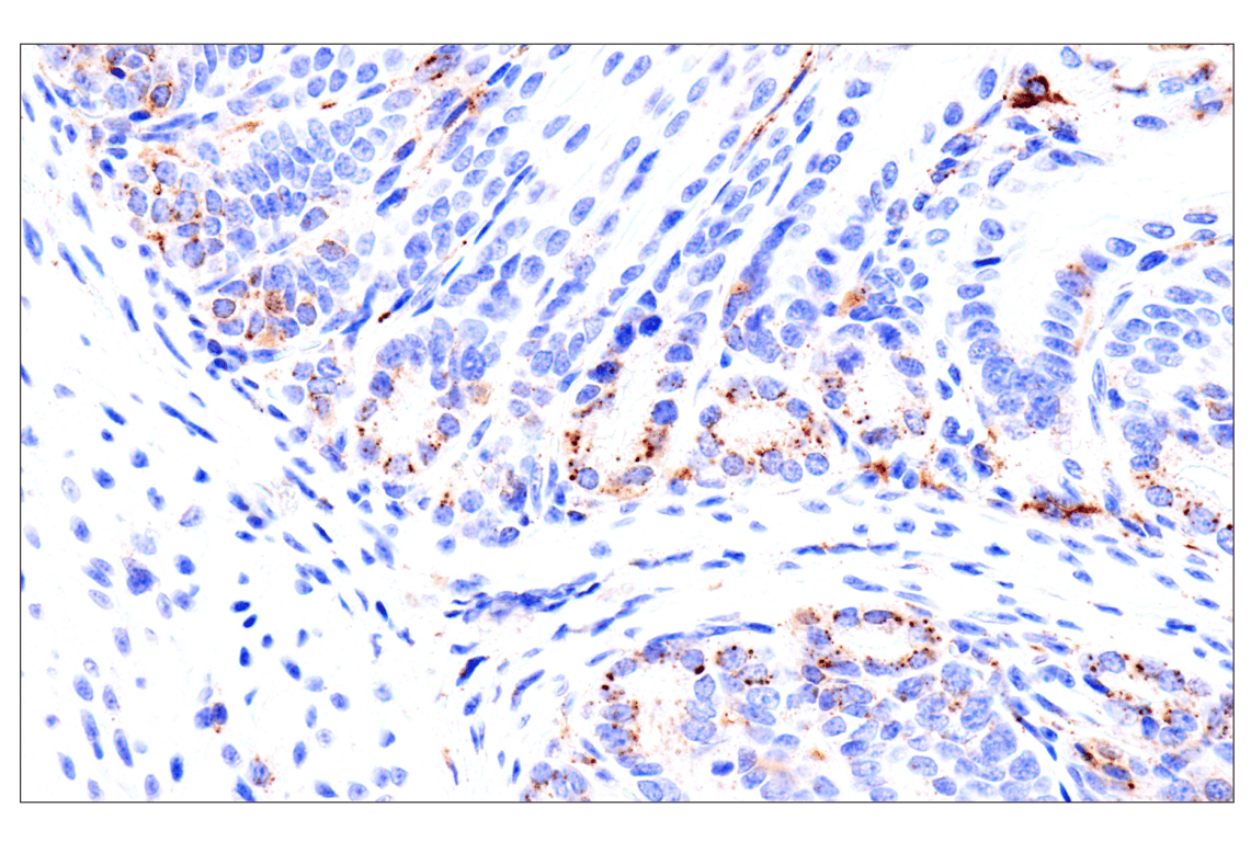
Immunohistochemical analysis of paraffin-embedded mouse small intestine using HEXB (E9X5S) Rabbit mAb. Data were generated using the standard formulation of this product.
Immunohistochemistry Image 7: HEXB (E9X5S) Rabbit Monoclonal Antibody (BSA and Azide Free)
Orders: 877-616-CELL (2355) [email protected] Support: 877-678-TECH (8324) [email protected] Web: cellsignal.com
For Research Use Only. Not for Use in Diagnostic Procedures.

Revision 1

Cell Signaling Technology Logo
Immunohistochemical analysis of paraffin-embedded mouse prostate using HEXB (E9X5S) Rabbit mAb. Data were generated using the standard formulation of this product.
Immunohistochemistry Image 8: HEXB (E9X5S) Rabbit Monoclonal Antibody (BSA and Azide Free)
Immunohistochemical analysis of paraffin-embedded mouse spleen using HEXB (E9X5S) Rabbit mAb. Data were generated using the standard formulation of this product.
Immunohistochemistry Image 9: HEXB (E9X5S) Rabbit Monoclonal Antibody (BSA and Azide Free)
Immunohistochemical analysis of paraffin-embedded mouse thymus using HEXB (E9X5S) Rabbit mAb. Data were generated using the standard formulation of this product.
Immunohistochemistry Image 10: HEXB (E9X5S) Rabbit Monoclonal Antibody (BSA and Azide Free)
Orders: 877-616-CELL (2355) [email protected] Support: 877-678-TECH (8324) [email protected] Web: cellsignal.com
For Research Use Only. Not for Use in Diagnostic Procedures.

Revision 1

Cell Signaling Technology Logo
Immunohistochemical analysis of paraffin-embedded mouse colon using HEXB (E9X5S) Rabbit mAb (left) compared to concentration-matched Rabbit (DA1E) mAb IgG XP® Isotype Control #3900 (right). Data were generated using the standard formulation of this product.
Immunohistochemistry Image 11: HEXB (E9X5S) Rabbit Monoclonal Antibody (BSA and Azide Free)
Immunohistochemical analysis of paraffin-embedded RAW 264.7 cell pellet (left, high-expressing) or NIH/3T3 cell pellet (right, low-expressing) using HEXB (E9X5S) Rabbit mAb. Data were generated using the standard formulation of this product.
Immunohistochemistry Image 12: HEXB (E9X5S) Rabbit Monoclonal Antibody (BSA and Azide Free)
Confocal immunofluorescent analysis of fixed frozen mouse colon using HEXB (E9X5S) Rabbit mAb (green) and ProLong Gold Antifade Reagent with DAPI #8961 (blue). Data were generated using the standard formulation of this product.
Immunofluorescence Image 1: HEXB (E9X5S) Rabbit Monoclonal Antibody (BSA and Azide Free)
Orders: 877-616-CELL (2355) [email protected] Support: 877-678-TECH (8324) [email protected] Web: cellsignal.com
For Research Use Only. Not for Use in Diagnostic Procedures.

Revision 1

Cell Signaling Technology Logo
Confocal immunofluorescent analysis of fixed frozen mouse cornu ammonis using HEXB (E9X5S) Rabbit mAb (left, green), GFAP (GA5) Mouse mAb (Alexa Fluor® 488 Conjugate) #3655 (right, red pseudocolor), and ProLong Gold Antifade Reagent with DAPI #8961 (right, blue). Data were generated using the standard formulation of this product.
Immunofluorescence Image 2: HEXB (E9X5S) Rabbit Monoclonal Antibody (BSA and Azide Free)
Confocal immunofluorescent analysis of fixed frozen mouse striatum using HEXB (E9X5S) Rabbit mAb (left, green), GFAP (GA5) Mouse mAb (Alexa Fluor® 488 Conjugate) #3655 (right, red pseudocolor), and DAPI #4083 (right, blue). Data were generated using the standard formulation of this product.
Immunofluorescence Image 3: HEXB (E9X5S) Rabbit Monoclonal Antibody (BSA and Azide Free)
Confocal immunofluorescent analysis of RAW 264.7 cells (left, positive) and NIH/3T3 cells (right, negative) using HEXB (E9X5S) Rabbit mAb (green), β-Actin (8H10D10) Mouse mAb #3700 (red), and DAPI #4083 (blue). Data were generated using the standard formulation of this product.
Immunofluorescence Image 1: HEXB (E9X5S) Rabbit Monoclonal Antibody (BSA and Azide Free)
Orders: 877-616-CELL (2355) [email protected] Support: 877-678-TECH (8324) [email protected] Web: cellsignal.com
For Research Use Only. Not for Use in Diagnostic Procedures.