Revision 5

#33663

Store at -20C

CST Logo
Orders:

877-616-CELL (2355)

[email protected]

Support:

877-678-TECH (8324)

3 Trask Lane | Danvers | Massachusetts | 01923 | USA

For Research Use Only. Not for Use in Diagnostic Procedures.

Applications:
W, IHC-P, IF-F, IF-IC

Reactivity:
M R

Sensitivity:
Endogenous

MW (kDa):
52, 70

Source/Isotype:
Rabbit IgG

UniProt ID:
#P20060

Entrez-Gene Id:
15212

Product Usage Information

Application Dilution
Western Blotting 1:1000
Immunohistochemistry (Paraffin) 1:100 - 1:400
Immunofluorescence (Frozen) 1:800 - 1:3200
Immunofluorescence (Immunocytochemistry) 1:200

Storage

Supplied in 10 mM sodium HEPES (pH 7.5), 150 mM NaCl, 100 µg/mL BSA, 50% glycerol, and less than 0.02% sodium azide. Store at –20°C. Do not aliquot the antibody.

For a carrier free (BSA and azide free) version of this product see product #28112.

Specificity/Sensitivity

HEXB (E9X5S) Rabbit Monoclonal Antibody recognizes endogenous levels of total HEXB protein. This antibody is unable to detect HEXB in some low-expressing cell lines by immunofluorescence.

Source / Purification

Monoclonal antibody is produced by immunizing animals with a synthetic peptide corresponding to residues surrounding Pro300 of mouse HEXB protein.

Background

β-hexosaminidase (Hex) is an important lysosomal enzyme system that degrades various cellular substrates, such as oligosaccharides, glycosaminoglycans, and glycolipids. It is encoded by two genes, HEXA and HEXB, respectively, and these subunits dimerize to form β-hexosaminidase A (HexA; αβ) and β-hexosaminidase B (HexB; ββ) (1). Loss-of-function mutations result in ganglioside (GM2) accumulation and progressive neurodegenerative diseases, such as Sandhoff disease (SD) and Tay-Sachs disease (TSD) (1). HexB knockout mice display, similarly to human patients, a near-normal phenotype at birth but quickly develop muscle weakness, rigidity, and motor deterioration, typically leading to death at approximately four months of age (2). It has been shown that loss of HEXB leads to reduction of early neuronal migration and differentiation in the embryonic cerebral cortices of these mice (3). Hex also plays an important role in cancer, being a new potential biomarker in laryngeal cancer. Furthermore, higher expression of HEXA and HEXB is associated with poor prognosis in glioblastoma multiforme (GBM) patients (1).

Species Reactivity

Species reactivity is determined by testing in at least one approved application (e.g., western blot).

Western Blot Buffer

IMPORTANT: For western blots, incubate membrane with diluted primary antibody in 5% w/v BSA, 1X TBS, 0.1% Tween® 20 at 4°C with gentle shaking, overnight.

Applications Key

W: Western Blotting IHC-P: Immunohistochemistry (Paraffin) IF-F: Immunofluorescence (Frozen) IF-IC: Immunofluorescence (Immunocytochemistry)

Cross-Reactivity Key

M: Mouse R: Rat

Trademarks and Patents

Cell Signaling Technology is a trademark of Cell Signaling Technology, Inc.

All other trademarks are the property of their respective owners. Visit cellsignal.com/trademarks for more information.

Limited Uses

Except as otherwise expressly agreed in a writing signed by a legally authorized representative of CST, the following terms apply to Products provided by CST, its affiliates or its distributors. Any Customer's terms and conditions that are in addition to, or different from, those contained herein, unless separately accepted in writing by a legally authorized representative of CST, are rejected and are of no force or effect.

Products are labeled with For Research Use Only or a similar labeling statement and have not been approved, cleared, or licensed by the FDA or other regulatory foreign or domestic entity, for any purpose. Customer shall not use any Product for any diagnostic or therapeutic purpose, or otherwise in any manner that conflicts with its labeling statement. Products sold or licensed by CST are provided for Customer as the end-user and solely for research and development uses. Any use of Product for diagnostic, prophylactic or therapeutic purposes, or any purchase of Product for resale (alone or as a component) or other commercial purpose, requires a separate license from CST. Customer shall (a) not sell, license, loan, donate or otherwise transfer or make available any Product to any third party, whether alone or in combination with other materials, or use the Products to manufacture any commercial products, (b) not copy, modify, reverse engineer, decompile, disassemble or otherwise attempt to discover the underlying structure or technology of the Products, or use the Products for the purpose of developing any products or services that would compete with CST products or services, (c) not alter or remove from the Products any trademarks, trade names, logos, patent or copyright notices or markings, (d) use the Products solely in accordance with CST Product Terms of Sale and any applicable documentation, and (e) comply with any license, terms of service or similar agreement with respect to any third party products or services used by Customer in connection with the Products.

Orders: 877-616-CELL (2355) [email protected] Support: 877-678-TECH (8324) [email protected] Web: cellsignal.com
For Research Use Only. Not for Use in Diagnostic Procedures.

Revision 5

Cell Signaling Technology Logo
Western blot analysis of extracts from mouse kidney and testis tissue using HEXB (E9X5S) Rabbit mAb (upper) or β-Actin (D6A8) Rabbit mAb #8457 (lower). Negative expression of HEXB protein in mouse testis tissue is consistent with the predicted expression pattern.
Western Blotting Image 1: HEXB (E9X5S) Rabbit Monoclonal Antibody

Western blot analysis of extracts from NIH/3T3 and RAW 264.7 cells, untreated (-) or treated with peptide N-glycosidase F (PNGase F; +), using HEXB (E9X5S) Rabbit mAb or β-Actin (D6A8) Rabbit mAb #8457 (lower).

Western Blotting Image 2: HEXB (E9X5S) Rabbit Monoclonal Antibody
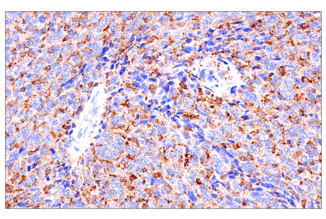
Immunohistochemical analysis of paraffin-embedded 4T1 syngeneic tumor using HEXB (E9X5S) Rabbit mAb.
Immunohistochemistry Image 1: HEXB (E9X5S) Rabbit Monoclonal Antibody
Orders: 877-616-CELL (2355) [email protected] Support: 877-678-TECH (8324) [email protected] Web: cellsignal.com
For Research Use Only. Not for Use in Diagnostic Procedures.

Revision 5

Cell Signaling Technology Logo
Immunohistochemical analysis of paraffin-embedded Renca syngeneic tumor using HEXB (E9X5S) Rabbit mAb.
Immunohistochemistry Image 2: HEXB (E9X5S) Rabbit Monoclonal Antibody

Immunohistochemical analysis of paraffin-embedded mouse cerebellar nuclei using HEXB (E9X5S) Rabbit mAb.

Immunohistochemistry Image 3: HEXB (E9X5S) Rabbit Monoclonal Antibody
Immunohistochemical analysis of paraffin-embedded mouse cerebellum using HEXB (E9X5S) Rabbit mAb.
Immunohistochemistry Image 4: HEXB (E9X5S) Rabbit Monoclonal Antibody
Orders: 877-616-CELL (2355) [email protected] Support: 877-678-TECH (8324) [email protected] Web: cellsignal.com
For Research Use Only. Not for Use in Diagnostic Procedures.

Revision 5

Cell Signaling Technology Logo
Immunohistochemical analysis of paraffin-embedded mouse uterus using HEXB (E9X5S) Rabbit mAb.
Immunohistochemistry Image 5: HEXB (E9X5S) Rabbit Monoclonal Antibody
Immunohistochemical analysis of paraffin-embedded mouse pancreas using HEXB (E9X5S) Rabbit mAb.
Immunohistochemistry Image 6: HEXB (E9X5S) Rabbit Monoclonal Antibody
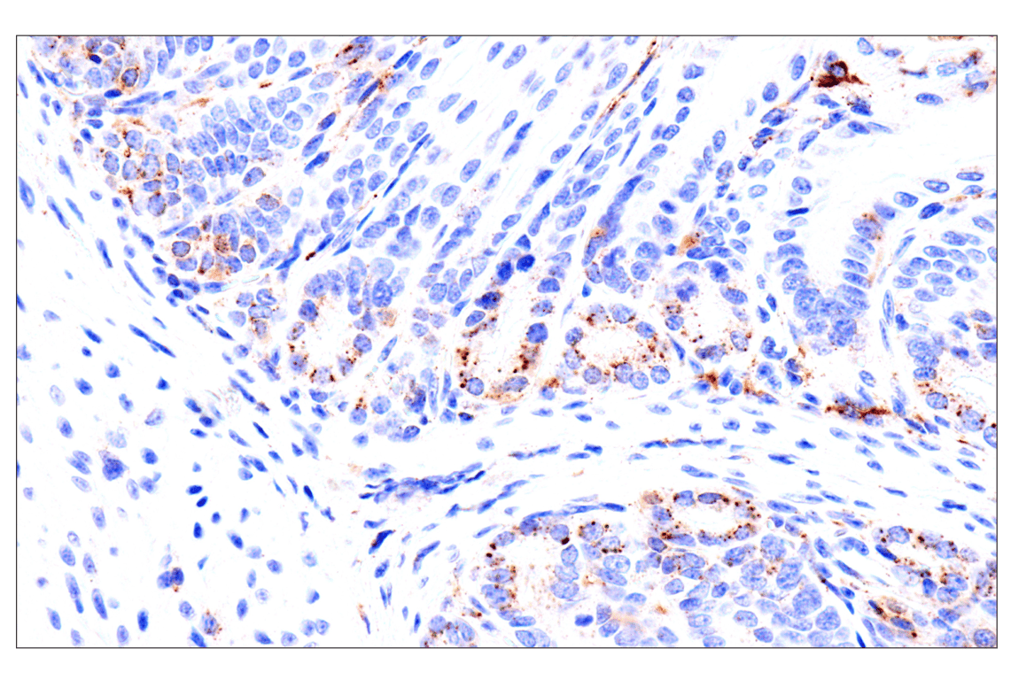
Immunohistochemical analysis of paraffin-embedded mouse small intestine using HEXB (E9X5S) Rabbit mAb.
Immunohistochemistry Image 7: HEXB (E9X5S) Rabbit Monoclonal Antibody
Orders: 877-616-CELL (2355) [email protected] Support: 877-678-TECH (8324) [email protected] Web: cellsignal.com
For Research Use Only. Not for Use in Diagnostic Procedures.

Revision 5

Cell Signaling Technology Logo
Immunohistochemical analysis of paraffin-embedded mouse prostate using HEXB (E9X5S) Rabbit mAb.
Immunohistochemistry Image 8: HEXB (E9X5S) Rabbit Monoclonal Antibody
Immunohistochemical analysis of paraffin-embedded mouse spleen using HEXB (E9X5S) Rabbit mAb.
Immunohistochemistry Image 9: HEXB (E9X5S) Rabbit Monoclonal Antibody
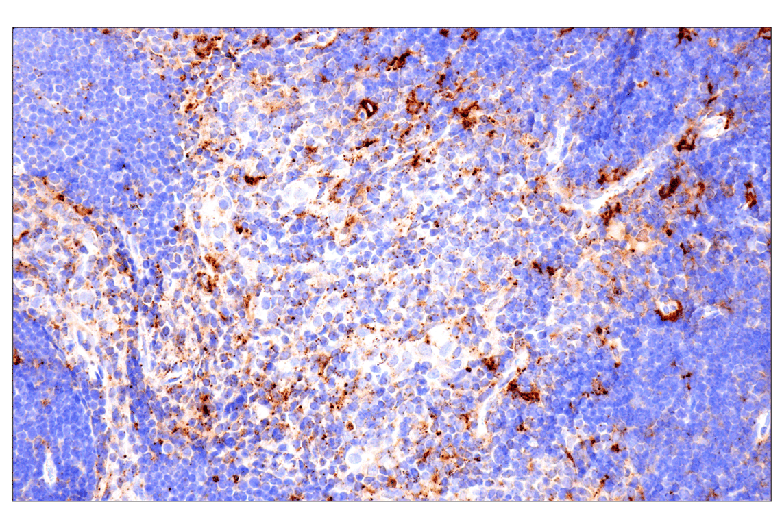
Immunohistochemical analysis of paraffin-embedded mouse thymus using HEXB (E9X5S) Rabbit mAb.
Immunohistochemistry Image 10: HEXB (E9X5S) Rabbit Monoclonal Antibody
Orders: 877-616-CELL (2355) [email protected] Support: 877-678-TECH (8324) [email protected] Web: cellsignal.com
For Research Use Only. Not for Use in Diagnostic Procedures.

Revision 5

Cell Signaling Technology Logo
Immunohistochemical analysis of paraffin-embedded mouse colon using HEXB (E9X5S) Rabbit mAb (left) compared to concentration-matched Rabbit (DA1E) mAb IgG XP® Isotype Control #3900 (right).
Immunohistochemistry Image 11: HEXB (E9X5S) Rabbit Monoclonal Antibody
Immunohistochemical analysis of paraffin-embedded RAW 264.7 cell pellet (left, high-expressing) or NIH/3T3 cell pellet (right, low-expressing) using HEXB (E9X5S) Rabbit mAb.
Immunohistochemistry Image 12: HEXB (E9X5S) Rabbit Monoclonal Antibody
Confocal immunofluorescent analysis of fixed frozen mouse colon using HEXB (E9X5S) Rabbit mAb (green) and ProLong Gold Antifade Reagent with DAPI #8961 (blue).
Immunofluorescence Image 1: HEXB (E9X5S) Rabbit Monoclonal Antibody
Orders: 877-616-CELL (2355) [email protected] Support: 877-678-TECH (8324) [email protected] Web: cellsignal.com
For Research Use Only. Not for Use in Diagnostic Procedures.

Revision 5

Cell Signaling Technology Logo
Confocal immunofluorescent analysis of fixed frozen mouse cornu ammonis using HEXB (E9X5S) Rabbit mAb (left, green), GFAP (GA5) Mouse mAb (Alexa Fluor® 488 Conjugate) #3655 (right, red pseudocolor), and ProLong Gold Antifade Reagent with DAPI #8961 (right, blue).
Immunofluorescence Image 2: HEXB (E9X5S) Rabbit Monoclonal Antibody
Confocal immunofluorescent analysis of fixed frozen mouse striatum using HEXB (E9X5S) Rabbit mAb (left, green), GFAP (GA5) Mouse mAb (Alexa Fluor® 488 Conjugate) #3655 (right, red pseudocolor), and DAPI #4083 (right, blue).
Immunofluorescence Image 3: HEXB (E9X5S) Rabbit Monoclonal Antibody
Confocal immunofluorescent analysis of RAW 264.7 cells (left, high-expressing) and NIH/3T3 cells (right, low-expressing) cells using HEXB (E9X5S) Rabbit mAb (green), β-Actin (8H10D10) Mouse mAb #3700 (red), and DAPI #4083 (blue).
Immunofluorescence Image 1: HEXB (E9X5S) Rabbit Monoclonal Antibody
Orders: 877-616-CELL (2355) [email protected] Support: 877-678-TECH (8324) [email protected] Web: cellsignal.com
For Research Use Only. Not for Use in Diagnostic Procedures.