Revision 1

#45456

Store at -20C

CST Logo
Orders:

877-616-CELL (2355)

[email protected]

Support:

877-678-TECH (8324)

3 Trask Lane | Danvers | Massachusetts | 01923 | USA

For Research Use Only. Not for Use in Diagnostic Procedures.

Product Includes Product # Quantity Mol. Wt Isotype/Source
Phospho-Histone H2A.X (Ser139) (20E3) Rabbit Monoclonal Antibody9718100 µl15 kDaRabbit IgG
Histone H2A.X (D17A3) Rabbit Monoclonal Antibody7631100 µl15 kDaRabbit IgG

Please visit cellsignal.com for individual component applications, species cross-reactivity, dilutions, protocols, and additional product information.

UniProt ID:
#P16104

Entrez-Gene Id:
3014

Description

PhosphoPlus® Duets from Cell Signaling Technology (CST) provide a means to assess protein activation status. Each Duet contains an activation-state and total protein antibody to your target of interest. These antibodies have been selected from CST's product offering based upon superior performance in specified applications.

Storage

Supplied in 10 mM sodium HEPES (pH 7.5), 150 mM NaCl, 100 µg/ml BSA, 50% glycerol and less than 0.02% sodium azide. Store at –20°C. Do not aliquot the antibodies.

Background

Histone H2A.X is a variant histone that represents approximately 10% of the total H2A histone proteins in normal human fibroblasts (1). H2A.X is required for checkpoint-mediated cell cycle arrest and DNA repair following double-stranded DNA breaks (1). DNA damage, caused by ionizing radiation, UV-light, or radiomimetic agents, results in rapid phosphorylation of H2A.X at Ser139 by PI3K-like kinases, including ATM, ATR, and DNA-PK (2,3). Within minutes following DNA damage, H2A.X is phosphorylated at Ser139 at sites of DNA damage to generate γ-H2A.X (4). This very early event in the DNA-damage response is required for recruitment of a multitude of DNA-damage response proteins, including MDC1, NBS1, RAD50, MRE11, 53BP1, and BRCA1 (1). In addition to its role in DNA-damage repair, H2A.X is required for DNA fragmentation during apoptosis and is phosphorylated by various kinases in response to apoptotic signals. H2A.X is phosphorylated at Ser139 by DNA-PK in response to cell death receptor activation, c-Jun N-terminal Kinase (JNK1) in response to UV-A irradiation, and p38 MAPK in response to serum starvation (5-8). H2A.X is constitutively phosphorylated on Tyr142 in undamaged cells by WSTF (Williams-Beuren syndrome transcription factor) (9,10). Upon DNA damage, and concurrent with phosphorylation of Ser139, Tyr142 is dephosphorylated at sites of DNA damage by recruited EYA1 and EYA3 phosphatases (9). While phosphorylation at Ser139 facilitates the recruitment of DNA repair proteins and apoptotic proteins to sites of DNA damage, phosphorylation at Tyr142 appears to determine which set of proteins are recruited. Phosphorylation of H2A.X at Tyr142 inhibits the recruitment of DNA repair proteins and promotes binding of pro-apoptotic factors such as JNK1 (9). Mouse embryonic fibroblasts expressing only mutant H2A.X Y142F, which favors recruitment of DNA repair proteins over apoptotic proteins, show a reduced apoptotic response to ionizing radiation (9). Thus, it appears that the balance of H2A.X Tyr142 phosphorylation and dephosphorylation provides a switch mechanism to determine cell fate after DNA damage.

Trademarks and Patents

Cell Signaling Technology is a trademark of Cell Signaling Technology, Inc.

PhosphoPlus is a registered trademark of Cell Signaling Technology, Inc.

All other trademarks are the property of their respective owners. Visit cellsignal.com/trademarks for more information.

Limited Uses

Except as otherwise expressly agreed in a writing signed by a legally authorized representative of CST, the following terms apply to Products provided by CST, its affiliates or its distributors. Any Customer's terms and conditions that are in addition to, or different from, those contained herein, unless separately accepted in writing by a legally authorized representative of CST, are rejected and are of no force or effect.

Products are labeled with For Research Use Only or a similar labeling statement and have not been approved, cleared, or licensed by the FDA or other regulatory foreign or domestic entity, for any purpose. Customer shall not use any Product for any diagnostic or therapeutic purpose, or otherwise in any manner that conflicts with its labeling statement. Products sold or licensed by CST are provided for Customer as the end-user and solely for research and development uses. Any use of Product for diagnostic, prophylactic or therapeutic purposes, or any purchase of Product for resale (alone or as a component) or other commercial purpose, requires a separate license from CST. Customer shall (a) not sell, license, loan, donate or otherwise transfer or make available any Product to any third party, whether alone or in combination with other materials, or use the Products to manufacture any commercial products, (b) not copy, modify, reverse engineer, decompile, disassemble or otherwise attempt to discover the underlying structure or technology of the Products, or use the Products for the purpose of developing any products or services that would compete with CST products or services, (c) not alter or remove from the Products any trademarks, trade names, logos, patent or copyright notices or markings, (d) use the Products solely in accordance with CST Product Terms of Sale and any applicable documentation, and (e) comply with any license, terms of service or similar agreement with respect to any third party products or services used by Customer in connection with the Products.

Orders: 877-616-CELL (2355) [email protected] Support: 877-678-TECH (8324) [email protected] Web: cellsignal.com
For Research Use Only. Not for Use in Diagnostic Procedures.

Revision 1

Cell Signaling Technology Logo
Western blot analysis of extracts from various cell lines using Histone H2A.X (D17A3) XP® Rabbit mAb.
undefined Image 1: PhosphoPlus<sup>®</sup> Histone H2A.X (Ser139) Antibody Duet
Western blot analysis of extracts from untreated or UV-treated 293 cells, using Phospho-Histone H2A.X (Ser139) (20E3) Rabbit mAb (upper) or Histone H2A.X Antibody #2595 (lower).
undefined Image 2: PhosphoPlus<sup>®</sup> Histone H2A.X (Ser139) Antibody Duet
Immunohistochemical analysis of paraffin-embedded human ovarian clear cell carcinoma using Phospho-Histone H2A.X (Ser139) (20E3) Rabbit mAb performed on the Leica BOND Rx.
undefined Image 3: PhosphoPlus<sup>®</sup> Histone H2A.X (Ser139) Antibody Duet
Orders: 877-616-CELL (2355) [email protected] Support: 877-678-TECH (8324) [email protected] Web: cellsignal.com
For Research Use Only. Not for Use in Diagnostic Procedures.

Revision 1

Cell Signaling Technology Logo
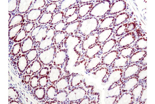
Immunohistochemical analysis of paraffin-embedded mouse colon using H2A.X (D17A3) Rabbit mAb.
undefined Image 4: PhosphoPlus<sup>®</sup> Histone H2A.X (Ser139) Antibody Duet
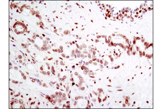
Immunohistochemical analysis of paraffin-embedded human prostate adenocarcinoma using Phospho-Histone H2A.X (Ser139) (20E3) Rabbit mAb performed on the Leica BOND Rx.
undefined Image 5: PhosphoPlus<sup>®</sup> Histone H2A.X (Ser139) Antibody Duet
Immunohistochemical analysis of paraffin-embedded human breast carcinoma using Histone H2A.X (D17A3) XP® Rabbit mAb.
undefined Image 6: PhosphoPlus<sup>®</sup> Histone H2A.X (Ser139) Antibody Duet
Orders: 877-616-CELL (2355) [email protected] Support: 877-678-TECH (8324) [email protected] Web: cellsignal.com
For Research Use Only. Not for Use in Diagnostic Procedures.

Revision 1

Cell Signaling Technology Logo
Immunohistochemical analysis of paraffin-embedded human lung carcinoma, using Phospho-Histone H2A.X (Ser139) (20E3) Rabbit mAb, showing nuclear localization.
undefined Image 7: PhosphoPlus<sup>®</sup> Histone H2A.X (Ser139) Antibody Duet
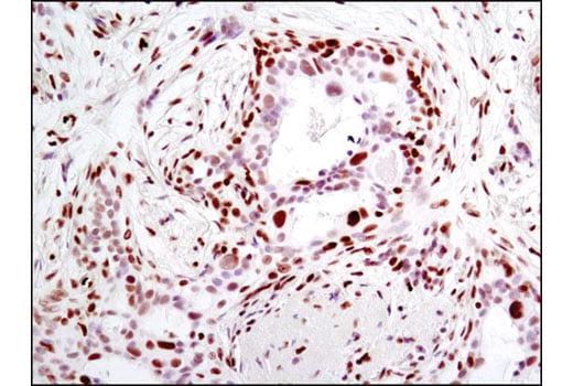
Immunohistochemical analysis of paraffin-embedded human prostate carcinoma using Histone H2A.X (D17A3) XP® Rabbit mAb.
undefined Image 8: PhosphoPlus<sup>®</sup> Histone H2A.X (Ser139) Antibody Duet
Immunohistochemical analysis of paraffin-embedded human colon carcinoma, using Phospho-Histone H2A.X (Ser139) (20E3) Rabbit mAb.
undefined Image 9: PhosphoPlus<sup>®</sup> Histone H2A.X (Ser139) Antibody Duet
Orders: 877-616-CELL (2355) [email protected] Support: 877-678-TECH (8324) [email protected] Web: cellsignal.com
For Research Use Only. Not for Use in Diagnostic Procedures.

Revision 1

Cell Signaling Technology Logo
Confocal immunofluorescent analysis of MCF7 cells using Histone H2A.X (D17A3) XP® Rabbit mAb (green). Actin filaments were labeled with DY-554 phalloidin (red).
undefined Image 10: PhosphoPlus<sup>®</sup> Histone H2A.X (Ser139) Antibody Duet
Immunohistochemical analysis of paraffin-embedded human lung carcinoma untreated (left) or lambda-phosphatase-treated (right), using Phospho-Histone H2A.X (Ser139) (20E3) Rabbit mAb.
undefined Image 11: PhosphoPlus<sup>®</sup> Histone H2A.X (Ser139) Antibody Duet
Flow cytometric analysis of MCF7 cells (green) using Histone H2A.X (D17A3) XP® Rabbit mAb (solid lines) or a concentration matched Rabbit (DA1E) mAb IgG XP® Isotype Control #3900 (dashed lines). Anti-rabbit IgG (H+L), F(ab')2 Fragment (Alexa Fluor® 488 Conjugate) #4412 was used as a secondary antibody.
undefined Image 12: PhosphoPlus<sup>®</sup> Histone H2A.X (Ser139) Antibody Duet
Orders: 877-616-CELL (2355) [email protected] Support: 877-678-TECH (8324) [email protected] Web: cellsignal.com
For Research Use Only. Not for Use in Diagnostic Procedures.

Revision 1

Cell Signaling Technology Logo
Immunohistochemical analysis of paraffin-embedded HT-29 cells untreated (left) or UV-treated (right), using Phospho-Histone H2A.X (Ser139) (20E3) Rabbit mAb.
undefined Image 13: PhosphoPlus<sup>®</sup> Histone H2A.X (Ser139) Antibody Duet
Confocal immunofluorescent analysis of HeLa cells, untreated (left) or UV-treated (right), using Phospho-Histone H2A.X (Ser139) (20E3) Rabbit mAb (green). Actin filaments have been labeled with DY-554 phalloidin (red).
undefined Image 14: PhosphoPlus<sup>®</sup> Histone H2A.X (Ser139) Antibody Duet
Flow cytometric analysis of HeLa cells, untreated (blue) or treated with UV (100 mJ, 2hr recovery; green) using Phospho-H2A.X (Ser139) (20E3) Rabbit mAb (solid lines) or concentration-matched Rabbit (DA1E) mAb IgG XP® isotype control #3900 (dashed lines). Anti-rabbit IgG (H+L), F(ab')2 Fragment (Alexa Fluor® 488 Conjugate) #4412 was used as a secondary antibody.
undefined Image 15: PhosphoPlus<sup>®</sup> Histone H2A.X (Ser139) Antibody Duet
Orders: 877-616-CELL (2355) [email protected] Support: 877-678-TECH (8324) [email protected] Web: cellsignal.com
For Research Use Only. Not for Use in Diagnostic Procedures.

Revision 1

Cell Signaling Technology Logo
Simple Western™ analysis of lysates (0.1 mg/mL) from COS-7 cells using Histone H2A.X (D17A3) XP® Rabbit mAb #7361. The virtual lane view (left) shows the target band (as indicated) and a band corresponding to Histone H2A.X (as indicated) at 1:10 and 1:50 dilutions of primary antibody. The corresponding electropherogram view (right) plots chemiluminescence by molecular weight along the capillary at 1:10 (blue line) and 1:50 (green line) dilutions of primary antibody. This experiment was performed under reducing conditions on the Jess™ Simple Western instrument from ProteinSimple, a BioTechne brand, using the 12-230 kDa separation module.
undefined Image 16: PhosphoPlus<sup>®</sup> Histone H2A.X (Ser139) Antibody Duet
Orders: 877-616-CELL (2355) [email protected] Support: 877-678-TECH (8324) [email protected] Web: cellsignal.com
For Research Use Only. Not for Use in Diagnostic Procedures.