Revision 1

#26218

Store at -20C

CST Logo
Orders:

877-616-CELL (2355)

[email protected]

Support:

877-678-TECH (8324)

3 Trask Lane | Danvers | Massachusetts | 01923 | USA

For Research Use Only. Not for Use in Diagnostic Procedures.

Applications:
W

Reactivity:
H M

Sensitivity:
Endogenous

MW (kDa):
17

Source/Isotype:
Rabbit

UniProt ID:
#P84243

Entrez-Gene Id:
3020

Product Usage Information

Application Dilution
Western Blotting 1:1000

Storage

Supplied in 10 mM sodium HEPES (pH 7.5), 150 mM NaCl, 100 µg/ml BSA and 50% glycerol. Store at –20°C. Do not aliquot the antibody.

Specificity/Sensitivity

Histone H3 (K36M Mutant Specific) Antibody recognizes endogenous levels of K36M mutant histone H3.1, H3.2, and H3.3 proteins. The antibody may show slight cross-reactivity with wild-type histone H3.1, 3.2, or 3.3 when used at a high concentration. Careful titration of this antibody may be required to obtain optimal specificity.

Species predicted to react based on 100% sequence homology

Rat

Source / Purification

Polyclonal antibodies are produced by immunizing animals with a synthetic peptide corresponding to K36M mutant sequence of human histone H3.3 protein. Antibodies are purified by protein A and peptide affinity chromatography.

Background

Chondroblastoma is a rare type of benign tumor that is found at the rounded ends of the long bones in the arms and legs. More than 90% of chondroblastomas have been found to contain a heterozygous mutation in the H3F3A gene encoding the histone variant H3.3 (1). This mutation, a lysine to methionine amino acid substitution in codon 36 (K36M), inhibits at least two histone H3 lysine 36 methyltransferases, WHSC1 (MMSET) and SETD2, resulting in reduced global levels of histone H3 lysine 36 methylation (1). Chondrocytes containing the histone H3 K36M mutation exhibit several hallmarks of cancer cells, including increased ability to form colonies, resistance to apoptosis, and defects in differentiation. Reduction of global methylation levels in chondrocytes, resulting from the K36M mutation, contributes to tumorigenesis by altering the expression of cancer-associated genes. The histone H3 K36M mutation is also found to promote sarcomagenesis by impairing the differentiation of mesenchymal progenitor cells, resulting in undifferentiated sarcomas (2). The K36M mutation alters the histone methylation landscape, resulting in a genome-wide gain in histone H3 lysine 27 methylation, redistribution of polycomb repressive complex 1, and derepression of its target genes known to block mesenchymal differentiation. Finally, the histone H3 K36M mutation is also found in 13% of HPV-negative head and neck squamous cell carcinomas, again contributing to tumorigenesis by altering global methylation levels of histone H3 lysine 36 (3).

Species Reactivity

Species reactivity is determined by testing in at least one approved application (e.g., western blot).

Western Blot Buffer

IMPORTANT: For western blots, incubate membrane with diluted primary antibody in 5% w/v BSA, 1X TBS, 0.1% Tween® 20 at 4°C with gentle shaking, overnight.

Applications Key

W: Western Blotting

Cross-Reactivity Key

H: Human M: Mouse

Trademarks and Patents

Cell Signaling Technology is a trademark of Cell Signaling Technology, Inc.

All other trademarks are the property of their respective owners. Visit cellsignal.com/trademarks for more information.

Limited Uses

Except as otherwise expressly agreed in a writing signed by a legally authorized representative of CST, the following terms apply to Products provided by CST, its affiliates or its distributors. Any Customer's terms and conditions that are in addition to, or different from, those contained herein, unless separately accepted in writing by a legally authorized representative of CST, are rejected and are of no force or effect.

Products are labeled with For Research Use Only or a similar labeling statement and have not been approved, cleared, or licensed by the FDA or other regulatory foreign or domestic entity, for any purpose. Customer shall not use any Product for any diagnostic or therapeutic purpose, or otherwise in any manner that conflicts with its labeling statement. Products sold or licensed by CST are provided for Customer as the end-user and solely for research and development uses. Any use of Product for diagnostic, prophylactic or therapeutic purposes, or any purchase of Product for resale (alone or as a component) or other commercial purpose, requires a separate license from CST. Customer shall (a) not sell, license, loan, donate or otherwise transfer or make available any Product to any third party, whether alone or in combination with other materials, or use the Products to manufacture any commercial products, (b) not copy, modify, reverse engineer, decompile, disassemble or otherwise attempt to discover the underlying structure or technology of the Products, or use the Products for the purpose of developing any products or services that would compete with CST products or services, (c) not alter or remove from the Products any trademarks, trade names, logos, patent or copyright notices or markings, (d) use the Products solely in accordance with CST Product Terms of Sale and any applicable documentation, and (e) comply with any license, terms of service or similar agreement with respect to any third party products or services used by Customer in connection with the Products.

Orders: 877-616-CELL (2355) [email protected] Support: 877-678-TECH (8324) [email protected] Web: cellsignal.com
For Research Use Only. Not for Use in Diagnostic Procedures.

Revision 1

Cell Signaling Technology Logo
Western blot analysis of extracts from wild-type mES cells (mES/H3.3 WT) and K36M-mutant histone H3.3 knock-in mES cells (mES/H3.3 K36M), using Histone H3 (K36M Mutant Specific) Antibody (upper) and Histone H3 (D1H2) XP® Rabbit mAb #4499 (lower). As expected, the Histone H3 (K36M Mutant Specific) Antibody only detects the K36M mutant histone H3.3 protein and not the wild-type H3.3 protein. Cell lines were generously provided by Dr. Konrad Hochedlinger at Massachusetts General Hospital.
Western Blotting Image 1: Histone H3 (K36M Mutant Specific) Antibody
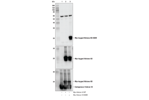
Western blot analysis of extracts from 293T cells, either mock transfected (-) or transfected (+) with Myc-tagged wild-type histone H3 (Myc-Histone H3 WT) or Myc-tagged K36M mutant histone H3 (Myc-Histone H3 K36M), using Histone H3 (K36M Mutant Specific) Antibody (upper), Myc-Tag (71D10) Rabbit mAb #2278 (middle), and Histone H3 (D1H2) XP® Rabbit mAb #4499 (lower). As expected, the Histone H3 (K36M Mutant Specific) Antibody only detects the Myc-tagged K36M mutant histone H3 protein and not the Myc-tagged wild-type histone H3 or endogenous wild-type histone H3 proteins. This antibody does detect endogenous levels of K36M mutant histone H3 protein.
Western Blotting Image 2: Histone H3 (K36M Mutant Specific) Antibody
Orders: 877-616-CELL (2355) [email protected] Support: 877-678-TECH (8324) [email protected] Web: cellsignal.com
For Research Use Only. Not for Use in Diagnostic Procedures.