Revision 1

#78087

Store at -20C

CST Logo
Orders:

877-616-CELL (2355)

[email protected]

Support:

877-678-TECH (8324)

3 Trask Lane | Danvers | Massachusetts | 01923 | USA

For Research Use Only. Not for Use in Diagnostic Procedures.

Applications:
W

Reactivity:
H M

Sensitivity:
Endogenous

MW (kDa):
17

Source/Isotype:
Rabbit

UniProt ID:
#P84243

Entrez-Gene Id:
3020

Product Usage Information

Application Dilution
Western Blotting 1:1000

Storage

Supplied in 10 mM sodium HEPES (pH 7.5), 150 mM NaCl, 100 µg/ml BSA and 50% glycerol. Store at –20°C. Do not aliquot the antibody.

Specificity/Sensitivity

Histone H3 (K9M Mutant Specific) Antibody recognizes endogenous levels of K9M mutant histone H3.1, H3.2, and H3.3 proteins. This antibody does not cross-react with wild-type histone H3.1, 3.2, or 3.3.

Species predicted to react based on 100% sequence homology

Rat

Source / Purification

Polyclonal antibodies are produced by immunizing animals with a synthetic peptide corresponding to K9M mutant sequence of human histone H3.3 protein. Antibodies are purified by protein A and peptide affinity chromatography.

Background

Multiple exome sequencing analyses have uncovered a high frequency of histone H3 driver mutations in a number of different cancers, including diffuse intrinsic pontine glioma (DIPG), chondroblastoma, sarcomas, and HPV-negative head and neck squamous cell carcinoma. Previous studies have shown that lysine to methionine histone mutations in these cancers act as potent inhibitors of their respective lysine methyltransferases, resulting in gross alterations to the histone methylation landscape and deregulation of gene expression. In DIPG for example, the histone H3 K27M mutation is accompanied by a dramatic reduction in the levels of polycomb repressive complex 2 (PRC2)-mediated tri-methylation of histone H3 lysine 27, changes in the distribution of PRC2 on the genome, and altered expression of genes associated with various cancer pathways (1-3). In chondrocytomas, the histone H3 K36M mutation functions to inhibit the WHSC1 (MMSET) and SETD2 histone methyltransferases, resulting in a reduction in the levels of histone H3 lysine 36 tri-methylation and deregulation of a number of cancer-associated genes (4). Similar to the H3K27M and H3K36M mutations, the histone H3 K9M mutation has been shown to inhibit the H3K9-directed histone methyltransferase G9a, resulting in reduced levels of histone H3 lysine 9 trimethylation (5). Given the widespread role of G9a in the regulation of gene expression, it is likely that this K9M mutation also plays a role in cancer.

Species Reactivity

Species reactivity is determined by testing in at least one approved application (e.g., western blot).

Western Blot Buffer

IMPORTANT: For western blots, incubate membrane with diluted primary antibody in 5% w/v BSA, 1X TBS, 0.1% Tween® 20 at 4°C with gentle shaking, overnight.

Applications Key

W: Western Blotting

Cross-Reactivity Key

H: Human M: Mouse

Trademarks and Patents

Cell Signaling Technology is a trademark of Cell Signaling Technology, Inc.

All other trademarks are the property of their respective owners. Visit cellsignal.com/trademarks for more information.

Limited Uses

Except as otherwise expressly agreed in a writing signed by a legally authorized representative of CST, the following terms apply to Products provided by CST, its affiliates or its distributors. Any Customer's terms and conditions that are in addition to, or different from, those contained herein, unless separately accepted in writing by a legally authorized representative of CST, are rejected and are of no force or effect.

Products are labeled with For Research Use Only or a similar labeling statement and have not been approved, cleared, or licensed by the FDA or other regulatory foreign or domestic entity, for any purpose. Customer shall not use any Product for any diagnostic or therapeutic purpose, or otherwise in any manner that conflicts with its labeling statement. Products sold or licensed by CST are provided for Customer as the end-user and solely for research and development uses. Any use of Product for diagnostic, prophylactic or therapeutic purposes, or any purchase of Product for resale (alone or as a component) or other commercial purpose, requires a separate license from CST. Customer shall (a) not sell, license, loan, donate or otherwise transfer or make available any Product to any third party, whether alone or in combination with other materials, or use the Products to manufacture any commercial products, (b) not copy, modify, reverse engineer, decompile, disassemble or otherwise attempt to discover the underlying structure or technology of the Products, or use the Products for the purpose of developing any products or services that would compete with CST products or services, (c) not alter or remove from the Products any trademarks, trade names, logos, patent or copyright notices or markings, (d) use the Products solely in accordance with CST Product Terms of Sale and any applicable documentation, and (e) comply with any license, terms of service or similar agreement with respect to any third party products or services used by Customer in connection with the Products.

Orders: 877-616-CELL (2355) [email protected] Support: 877-678-TECH (8324) [email protected] Web: cellsignal.com
For Research Use Only. Not for Use in Diagnostic Procedures.

Revision 1

Cell Signaling Technology Logo
Western blot analysis of extracts from wild-type mES cells (mES/H3.3 WT) and K9M mutant histone H3.3 knock-in mES cells (mES/H3.3 K9M), using Histone H3 (K9M Mutant Specific) Antibody (upper) and Histone H3 (D1H2) XP® Rabbit mAb #4499 (lower). As expected, the Histone H3 (K9M Mutant Specific) Antibody only detects the K9M mutant histone H3.3 protein and not the wild-type H3.3 protein. Cell lines were generously provided by Dr. Konrad Hochedlinger at Massachusetts General Hospital.
Western Blotting Image 1: Histone H3 (K9M Mutant Specific) Antibody
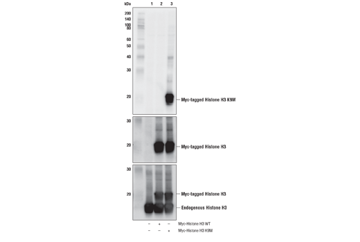
Western blot analysis of extracts from 293T cells, either mock transfected (-) or transfected (+) with Myc-tagged wild-type histone H3 (Myc-Histone H3 WT) or Myc-tagged K9M mutant histone H3 (Myc-Histone H3 K9M), using Histone H3 (K9M Mutant Specific) Antibody (upper), Myc-Tag (71D10) Rabbit mAb #2278 (middle), and Histone H3 (D1H2) XP® Rabbit mAb #4499 (lower). As expected, the Histone H3 (K9M Mutant Specific) Antibody only detects the Myc-tagged K9M mutant histone H3 protein and not the Myc-tagged wild-type histone H3 or endogenous wild-type histone H3 proteins. This antibody does detect endogenous levels of K9M mutant histone H3 protein.
Western Blotting Image 2: Histone H3 (K9M Mutant Specific) Antibody
Orders: 877-616-CELL (2355) [email protected] Support: 877-678-TECH (8324) [email protected] Web: cellsignal.com
For Research Use Only. Not for Use in Diagnostic Procedures.