Revision 1

#25520

Store at -20C

CST Logo
Orders:

877-616-CELL (2355)

[email protected]

Support:

877-678-TECH (8324)

3 Trask Lane | Danvers | Massachusetts | 01923 | USA

For Research Use Only. Not for Use in Diagnostic Procedures.

Product Includes Product # Quantity Mol. Wt Isotype/Source
Histone H3 (K9M Mutant Specific) (E2E9L) Rabbit Monoclonal Antibody7041420 µl17 kDaRabbit IgG
Histone H3 (K27M Mutant Specific) (D3B5T) Rabbit Monoclonal Antibody7482920 µl17 kDaRabbit IgG
Histone H3 (K36M Mutant Specific) Antibody2621820 µl17 kDaRabbit
Histone H3 (D1H2) Rabbit Monoclonal Antibody449920 µl17 kDaRabbit IgG
Anti-rabbit IgG, HRP-linked Antibody7074100 µlGoat

Please visit cellsignal.com for individual component applications, species cross-reactivity, dilutions, protocols, and additional product information.

Description

The Histone H3 Lysine Mutant-Specific Antibody Sampler Kit provides an economical means of detecting Lys (K) to Meth (M) cancer driver mutations in histone H3. The kit includes enough antibodies to perform two western blot experiments with each primary antibody.

Storage

Supplied in 10 mM sodium HEPES (pH 7.5), 150 mM NaCl, 100 µg/ml BSA, 50% glycerol and less than 0.02% sodium azide. Store at –20°C. Do not aliquot the antibodies.

Background

Multiple exome sequencing analyses have uncovered a high frequency of histone H3 driver mutations in a number of different cancers, including diffuse intrinsic pontine glioma (DIPG), chondroblastoma, sarcomas, and HPV-negative head and neck squamous cell carcinoma. Previous studies have shown that lysine to methionine histone mutations in these cancers act as potent inhibitors of their respective lysine methyltransferases, resulting in gross alterations to the histone methylation landscape and deregulation of gene expression. In DIPG for example, the histone H3 K27M mutation is accompanied by a dramatic reduction in the levels of polycomb repressive complex 2 (PRC2)-mediated tri-methylation of histone H3 lysine 27, changes in the distribution of PRC2 on the genome, and altered expression of genes associated with various cancer pathways (1-3). In chondrocytomas, the histone H3 K36M mutation functions to inhibit the WHSC1 (MMSET) and SETD2 histone methyltransferases, resulting in a reduction in the levels of histone H3 lysine 36 tri-methylation and deregulation of a number of cancer-associated genes (4). Similar to the H3K27M and H3K36M mutations, the histone H3 K9M mutation has been shown to inhibit the H3K9-directed histone methyltransferase G9a, resulting in reduced levels of histone H3 lysine 9 trimethylation (5). Given the widespread role of G9a in the regulation of gene expression, it is likely that this K9M mutation also plays a role in cancer.

Trademarks and Patents

Cell Signaling Technology is a trademark of Cell Signaling Technology, Inc.

All other trademarks are the property of their respective owners. Visit cellsignal.com/trademarks for more information.

Limited Uses

Except as otherwise expressly agreed in a writing signed by a legally authorized representative of CST, the following terms apply to Products provided by CST, its affiliates or its distributors. Any Customer's terms and conditions that are in addition to, or different from, those contained herein, unless separately accepted in writing by a legally authorized representative of CST, are rejected and are of no force or effect.

Products are labeled with For Research Use Only or a similar labeling statement and have not been approved, cleared, or licensed by the FDA or other regulatory foreign or domestic entity, for any purpose. Customer shall not use any Product for any diagnostic or therapeutic purpose, or otherwise in any manner that conflicts with its labeling statement. Products sold or licensed by CST are provided for Customer as the end-user and solely for research and development uses. Any use of Product for diagnostic, prophylactic or therapeutic purposes, or any purchase of Product for resale (alone or as a component) or other commercial purpose, requires a separate license from CST. Customer shall (a) not sell, license, loan, donate or otherwise transfer or make available any Product to any third party, whether alone or in combination with other materials, or use the Products to manufacture any commercial products, (b) not copy, modify, reverse engineer, decompile, disassemble or otherwise attempt to discover the underlying structure or technology of the Products, or use the Products for the purpose of developing any products or services that would compete with CST products or services, (c) not alter or remove from the Products any trademarks, trade names, logos, patent or copyright notices or markings, (d) use the Products solely in accordance with CST Product Terms of Sale and any applicable documentation, and (e) comply with any license, terms of service or similar agreement with respect to any third party products or services used by Customer in connection with the Products.

Orders: 877-616-CELL (2355) [email protected] Support: 877-678-TECH (8324) [email protected] Web: cellsignal.com
For Research Use Only. Not for Use in Diagnostic Procedures.

Revision 1

Cell Signaling Technology Logo
Western blot analysis of extracts from wild-type mES cells (mES/H3.3 WT) and K36M-mutant histone H3.3 knock-in mES cells (mES/H3.3 K36M), using Histone H3 (K36M Mutant Specific) Antibody (upper) and Histone H3 (D1H2) XP® Rabbit mAb #4499 (lower). As expected, the Histone H3 (K36M Mutant Specific) Antibody only detects the K36M mutant histone H3.3 protein and not the wild-type H3.3 protein. Cell lines were generously provided by Dr. Konrad Hochedlinger at Massachusetts General Hospital.
undefined Image 1: Histone H3 Lysine Mutant-Specific Antibody Sampler Kit
Western blot analysis of extracts from various cell lines using Histone H3 (D1H2) XP® Rabbit mAb.
undefined Image 2: Histone H3 Lysine Mutant-Specific Antibody Sampler Kit
Immunohistochemical analysis of paraffin-embedded human breast carcinoma using Histone H3 (D1H2) XP® Rabbit mAb.
undefined Image 3: Histone H3 Lysine Mutant-Specific Antibody Sampler Kit
Orders: 877-616-CELL (2355) [email protected] Support: 877-678-TECH (8324) [email protected] Web: cellsignal.com
For Research Use Only. Not for Use in Diagnostic Procedures.

Revision 1

Cell Signaling Technology Logo
Western blot analysis of extracts from wild-type mES (mES/H3.3 WT), K9M mutant histone H3.3 knock-in mES (mES/H3.3 K9M), HeLa, and C2C12 cells, using Histone H3 (K9M Mutant Specific) (E2E9L) Rabbit mAb (upper) and Histone H3 (D1H2) XP® Rabbit mAb #4499 (lower). As expected, Histone H3 (K9M Mutant Specific) (E2E9L) Rabbit mAb only detects the K9M mutant histone H3.3 protein and not the wild-type H3.3 protein. Cell lines were generously provided by Dr. Konrad Hochedlinger at Massachusetts General Hospital.
undefined Image 4: Histone H3 Lysine Mutant-Specific Antibody Sampler Kit
After the primary antibody is bound to the target protein, a complex with HRP-linked secondary antibody is formed. The LumiGLO® is added and emits light during enzyme catalyzed decomposition.
undefined Image 5: Histone H3 Lysine Mutant-Specific Antibody Sampler Kit
Western blot analyis of extracts from wild-type mouse astrocytes, and mouse astrocytes containing either a knock-in FLAG-tagged wild-type histone H3.3 gene (Flag-H3.3 WT) or a knock-in FLAG-tagged K27M mutant histone H3.3 gene (Flag-H3.3 K27M), using Histone H3 (K27M Mutant Specific) (D3B5T) Rabbit mAb (upper), DYKDDDDK Tag (D6W5B) Rabbit mAb #14793 (middle), and Histone H3 (D1H2) XP® Rabbit mAb #4499 (lower).
undefined Image 6: Histone H3 Lysine Mutant-Specific Antibody Sampler Kit
Orders: 877-616-CELL (2355) [email protected] Support: 877-678-TECH (8324) [email protected] Web: cellsignal.com
For Research Use Only. Not for Use in Diagnostic Procedures.

Revision 1

Cell Signaling Technology Logo
Western blot analysis of extracts from 293T cells, either mock transfected (-) or transfected (+) with Myc-tagged wild-type histone H3 (Myc-Histone H3 WT) or Myc-tagged K36M mutant histone H3 (Myc-Histone H3 K36M), using Histone H3 (K36M Mutant Specific) Antibody (upper), Myc-Tag (71D10) Rabbit mAb #2278 (middle), and Histone H3 (D1H2) XP® Rabbit mAb #4499 (lower). As expected, the Histone H3 (K36M Mutant Specific) Antibody only detects the Myc-tagged K36M mutant histone H3 protein and not the Myc-tagged wild-type histone H3 or endogenous wild-type histone H3 proteins. This antibody does detect endogenous levels of K36M mutant histone H3 protein.
undefined Image 7: Histone H3 Lysine Mutant-Specific Antibody Sampler Kit
Immunohistochemical analysis of paraffin-embedded 4T1 syngeneic mammary tumor using Histone H3 (D1H2) XP® Rabbit mAb.
undefined Image 8: Histone H3 Lysine Mutant-Specific Antibody Sampler Kit
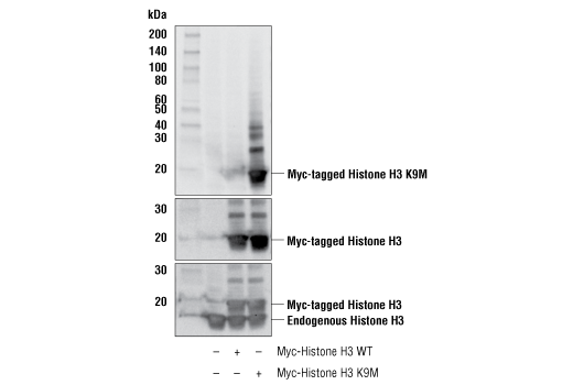
Western blot analysis of extracts from 293T cells, mock transfected (-) or transfected with constructs expressing Myc-tagged wild-type histone H3 protein (Myc-Histone H3 WT; +) and Myc-tagged K9M mutant histone H3 protein (Myc-Histone H3 K9M; +), using Histone H3 (K9M Mutant Specific) (E2E9L) Rabbit mAb (upper), Myc-Tag (71D10) Rabbit mAb #2278 (middle), and Histone H3 (D1H2) XP® Rabbit mAb #4499 (lower). As expected, Histone H3 (K9M Mutant Specific) (E2E9L) Rabbit mAb only detects the Myc-tagged K9M mutant histone H3 protein and not the Myc-tagged wild-type histone H3 or endogenous wild-type histone H3 proteins. This antibody does detect endogenous levels of K9M mutant histone H3 protein.
undefined Image 9: Histone H3 Lysine Mutant-Specific Antibody Sampler Kit
Orders: 877-616-CELL (2355) [email protected] Support: 877-678-TECH (8324) [email protected] Web: cellsignal.com
For Research Use Only. Not for Use in Diagnostic Procedures.

Revision 1

Cell Signaling Technology Logo
Confocal immunofluorescent analysis of mouse astrocytes, containing either a knock-in FLAG-tagged K27M mutant histone H3.3 gene (left, positive) or a knock-in FLAG-tagged wild-type histone H3.3 gene (center, negative), and HeLa cells (right, negative), using Histone H3 (K27M Mutant Specific) (D3B5T) Rabbit mAb (green) and β-Actin (8H10D10) Mouse mAb #3700 (red).
undefined Image 10: Histone H3 Lysine Mutant-Specific Antibody Sampler Kit
Confocal immunofluorescent analysis of HeLa cells using Histone H3 (D1H2) XP® Rabbit mAb (green) and β-Tubulin (9F3) Rabbit mAb (Alexa Fluor® 555 Conjugate) #2116 (red).
undefined Image 11: Histone H3 Lysine Mutant-Specific Antibody Sampler Kit
Immunohistochemical analysis of paraffin-embedded LL/2 syngeneic tumor using Histone H3 (D1H2) XP® Rabbit mAb.
undefined Image 12: Histone H3 Lysine Mutant-Specific Antibody Sampler Kit
Orders: 877-616-CELL (2355) [email protected] Support: 877-678-TECH (8324) [email protected] Web: cellsignal.com
For Research Use Only. Not for Use in Diagnostic Procedures.

Revision 1

Cell Signaling Technology Logo
Immunoprecipitation of histone H3.3 K9M mutant protein from K9M mutant histone H3.3 knock-in mES cell extracts. Lane 1 is 10% input, lane 2 is Rabbit (DA1E) mAb IgG XP® Isotype Control #3900, and lane 3 is Histone H3 (K9M Mutant Specific) (E2E9L) Rabbit mAb. Western blot analysis was performed using Histone H3 (K9M Mutant Specific) (E2E9L) Rabbit mAb. Mouse Anti-rabbit IgG (Conformation Specific) (L27A9) mAb (HRP Conjugate) #5127 was used as the secondary antibody.
undefined Image 13: Histone H3 Lysine Mutant-Specific Antibody Sampler Kit
Flow cytometric analysis of mouse astrocytes, containing either a knock-in FLAG-tagged K27M mutant histone H3.3 gene (green) or a knock-in FLAG-tagged wild-type histone H3.3 gene (blue), using Histone H3 (K27M Mutant Specific) (D3B5T) Rabbit mAb (solid lines) or or a concentration-matched Rabbit (DA1E) mAb IgG XP® Isotype Control #3900 (dashed lines). Anti-rabbit IgG (H+L), F(ab')2 Fragment (Alexa Fluor® 488 Conjugate) #4412 was used as a secondary antibody.
undefined Image 14: Histone H3 Lysine Mutant-Specific Antibody Sampler Kit
Flow cytometric analysis of HeLa cells using Histone H3 (D1H2) XP® Rabbit mAb (solid line) or a concentration-matched Rabbit (DA1E) mAb IgG XP® Isotype Control #3900 (dashed line). Anti-rabbit IgG (H+L), F(ab')2 Fragment (Alexa Fluor® 488 Conjugate) #4412 was used as a secondary antibody.
undefined Image 15: Histone H3 Lysine Mutant-Specific Antibody Sampler Kit
Orders: 877-616-CELL (2355) [email protected] Support: 877-678-TECH (8324) [email protected] Web: cellsignal.com
For Research Use Only. Not for Use in Diagnostic Procedures.

Revision 1

Cell Signaling Technology Logo
Immunohistochemical analysis of paraffin-embedded mouse brain using Histone H3 (D1H2) XP® Rabbit mAb.
undefined Image 16: Histone H3 Lysine Mutant-Specific Antibody Sampler Kit
Confocal immunofluorescent analysis of mES cells containing either a knock-in K9M mutant histone H3.3 gene (left, positive) or a knock-in K36M mutant histone H3.3 gene (right, negative) using Histone H3 (K9M Mutant Specific) (E2E9L) Rabbit mAb (green) and β-Actin (8H10D10) Mouse mAb #3700 (red). Samples were mounted in ProLong® Gold Antifade Reagent with DAPI #8961 (blue).
undefined Image 17: Histone H3 Lysine Mutant-Specific Antibody Sampler Kit
Immunohistochemical analysis of paraffin-embedded rhesus monkey liver using Histone H3 (D1H2) XP® Rabbit mAb.
undefined Image 18: Histone H3 Lysine Mutant-Specific Antibody Sampler Kit
Orders: 877-616-CELL (2355) [email protected] Support: 877-678-TECH (8324) [email protected] Web: cellsignal.com
For Research Use Only. Not for Use in Diagnostic Procedures.

Revision 1

Cell Signaling Technology Logo
Flow cytometric analysis of mES cells containing a knock-in K36M mutant histone H3.3 gene (blue) or a knock-in K9M mutant histone H3.3 gene (green) using Histone H3 (K9M Mutant Specific) (E2E9L) Rabbit mAb (solid lines) or a concentration-matched Rabbit (DA1E) mAb IgG XP® Isotype Control #3900 (dashed lines). Anti-rabbit IgG (H+L), F(ab')2 Fragment (Alexa Fluor® 488 Conjugate) #4412 was used as a secondary antibody.
undefined Image 19: Histone H3 Lysine Mutant-Specific Antibody Sampler Kit
Orders: 877-616-CELL (2355) [email protected] Support: 877-678-TECH (8324) [email protected] Web: cellsignal.com
For Research Use Only. Not for Use in Diagnostic Procedures.