Revision 6

#97971

Store at -20C

CST Logo
Orders:

877-616-CELL (2355)

[email protected]

Support:

877-678-TECH (8324)

3 Trask Lane | Danvers | Massachusetts | 01923 | USA

For Research Use Only. Not for Use in Diagnostic Procedures.

Applications:
W, IHC-Bond, IHC-P

Reactivity:
H Mk

Sensitivity:
Endogenous

MW (kDa):
30-40

Source/Isotype:
Rabbit IgG

UniProt ID:
#P01903

Entrez-Gene Id:
3122

Product Usage Information

Application Dilution
Western Blotting 1:1000
IHC Leica Bond 1:50 - 1:200
Immunohistochemistry (Paraffin) 1:125 - 1:500

Storage

Supplied in 10 mM sodium HEPES (pH 7.5), 150 mM NaCl, 100 µg/ml BSA, 50% glycerol and less than 0.02% sodium azide. Store at –20°C. Do not aliquot the antibody.

For a carrier-free (BSA and azide free) version of this product see product #25328.

Specificity/Sensitivity

HLA-DRA (E9R2Q) Rabbit Monoclonal Antibody recognizes endogenous levels of total HLA-DRA protein.

Source / Purification

Monoclonal antibody is produced by immunizing animals with a synthetic peptide corresponding to residues surrounding Val153 of human HLA-DRA protein.

Background

Major histocompatibility complex class II (MHC class II) molecules are heterodimeric, transmembrane glycoproteins expressed on the surface of antigen-presenting cells, such as macrophages, dendritic cells, and B cells. Expression can also be induced on other cell types through interferon-γ signaling (1). Prior to being displayed on the cell membrane, MHC class II molecules are loaded with exogenous peptide antigens approximately 15-24 amino acids in length that were derived from endocytosed extracellular proteins digested in the lysosome (2). Antigen-presentation through MHC class II is required for T cell activation during the immune response to extracellular pathogens (2). In humans, the MHC class II protein complex is encoded by the human leukocyte antigen gene complex (HLA). HLAs corresponding to MHC class II are HLA-DP, HLA-DM, HLA-DOA, HLA-DOB, HLA-DQ, and HLA-DR (3).

Species Reactivity

Species reactivity is determined by testing in at least one approved application (e.g., western blot).

Western Blot Buffer

IMPORTANT: For western blots, incubate membrane with diluted primary antibody in 5% w/v BSA, 1X TBS, 0.1% Tween® 20 at 4°C with gentle shaking, overnight.

Applications Key

W: Western Blotting IHC-Bond: IHC Leica Bond IHC-P: Immunohistochemistry (Paraffin)

Cross-Reactivity Key

H: Human Mk: Monkey

Trademarks and Patents

Cell Signaling Technology is a trademark of Cell Signaling Technology, Inc.

SignalStain is a registered trademark of Cell Signaling Technology, Inc.

All other trademarks are the property of their respective owners. Visit cellsignal.com/trademarks for more information.

Limited Uses

Except as otherwise expressly agreed in a writing signed by a legally authorized representative of CST, the following terms apply to Products provided by CST, its affiliates or its distributors. Any Customer's terms and conditions that are in addition to, or different from, those contained herein, unless separately accepted in writing by a legally authorized representative of CST, are rejected and are of no force or effect.

Products are labeled with For Research Use Only or a similar labeling statement and have not been approved, cleared, or licensed by the FDA or other regulatory foreign or domestic entity, for any purpose. Customer shall not use any Product for any diagnostic or therapeutic purpose, or otherwise in any manner that conflicts with its labeling statement. Products sold or licensed by CST are provided for Customer as the end-user and solely for research and development uses. Any use of Product for diagnostic, prophylactic or therapeutic purposes, or any purchase of Product for resale (alone or as a component) or other commercial purpose, requires a separate license from CST. Customer shall (a) not sell, license, loan, donate or otherwise transfer or make available any Product to any third party, whether alone or in combination with other materials, or use the Products to manufacture any commercial products, (b) not copy, modify, reverse engineer, decompile, disassemble or otherwise attempt to discover the underlying structure or technology of the Products, or use the Products for the purpose of developing any products or services that would compete with CST products or services, (c) not alter or remove from the Products any trademarks, trade names, logos, patent or copyright notices or markings, (d) use the Products solely in accordance with CST Product Terms of Sale and any applicable documentation, and (e) comply with any license, terms of service or similar agreement with respect to any third party products or services used by Customer in connection with the Products.

Orders: 877-616-CELL (2355) [email protected] Support: 877-678-TECH (8324) [email protected] Web: cellsignal.com
For Research Use Only. Not for Use in Diagnostic Procedures.

Revision 6

Cell Signaling Technology Logo
Western blot analysis of extracts from 293T cells, mock transfected (-) or transfected (+) with constructs expressing full-length human Myc/DDK-tagged HLA-DRA (hHLA-DRA-Myc/DDK), HLA-DPA1 (hHLA-DPA1-Myc/DDK), HLA-DOA (hHLA-DOA-Myc/DDK), HLA-DQA1 (hHLA-DQA1-MycDDK), HLA-DQA2 (hHLA-DQA2-Myc/DKK), or HLA-DMA (hHLA-DMA-Myc/DKK), using HLA-DRA (E9R2Q) XP® Rabbit mAb (upper), Myc-Tag (71D10) Rabbit mAb #2278 (middle), and β-Actin (D6A8) Rabbit mAb #8457 (lower).
Western Blotting Image 1: HLA-DRA (E9R2Q) Rabbit Monoclonal Antibody
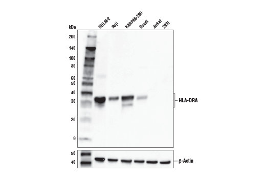
Western blot analysis of extracts from various cell lines using HLA-DRA (E9R2Q) XP® Rabbit mAb (upper) or β-Actin (D6A8) Rabbit mAb #8457 (lower).
Western Blotting Image 2: HLA-DRA (E9R2Q) Rabbit Monoclonal Antibody
Immunohistochemical analysis of paraffin-embedded human bladder adenocarcinoma using HLA-DRA (E9R2Q) XP® Rabbit mAb performed on the Leica® BOND™ Rx.
Immunohistochemistry Image 1: HLA-DRA (E9R2Q) Rabbit Monoclonal Antibody
Orders: 877-616-CELL (2355) [email protected] Support: 877-678-TECH (8324) [email protected] Web: cellsignal.com
For Research Use Only. Not for Use in Diagnostic Procedures.

Revision 6

Cell Signaling Technology Logo
Immunohistochemical analysis of paraffin-embedded human prostate carcinoma using HLA-DRA (E9R2Q) XP® Rabbit mAb performed on the Leica® BOND™ Rx.
Immunohistochemistry Image 2: HLA-DRA (E9R2Q) Rabbit Monoclonal Antibody
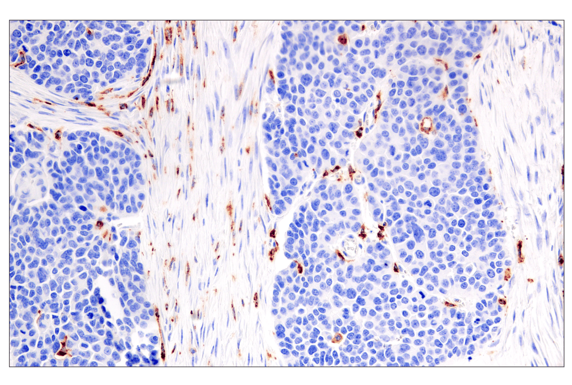
Immunohistochemical analysis of paraffin-embedded human colon carcinoma using HLA-DRA (E9R2Q) XP® Rabbit mAb performed on the Leica® BOND™ Rx.
Immunohistochemistry Image 3: HLA-DRA (E9R2Q) Rabbit Monoclonal Antibody
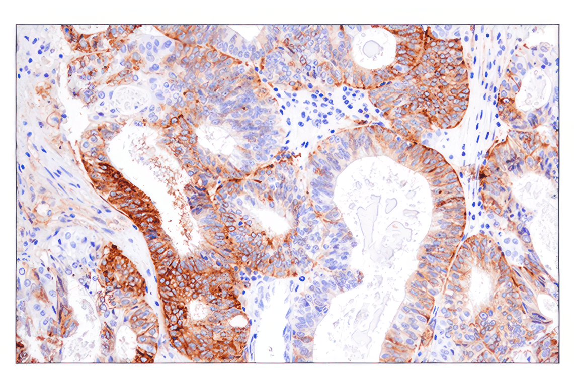
Immunohistochemical analysis of paraffin-embedded human gastric carcinoma using HLA-DRA (E9R2Q) XP® Rabbit mAb.
Immunohistochemistry Image 1: HLA-DRA (E9R2Q) Rabbit Monoclonal Antibody
Orders: 877-616-CELL (2355) [email protected] Support: 877-678-TECH (8324) [email protected] Web: cellsignal.com
For Research Use Only. Not for Use in Diagnostic Procedures.

Revision 6

Cell Signaling Technology Logo
Immunohistochemical analysis of paraffin-embedded human endometrioid adenocarcinoma using HLA-DRA (E9R2Q) XP® Rabbit mAb.
Immunohistochemistry Image 2: HLA-DRA (E9R2Q) Rabbit Monoclonal Antibody
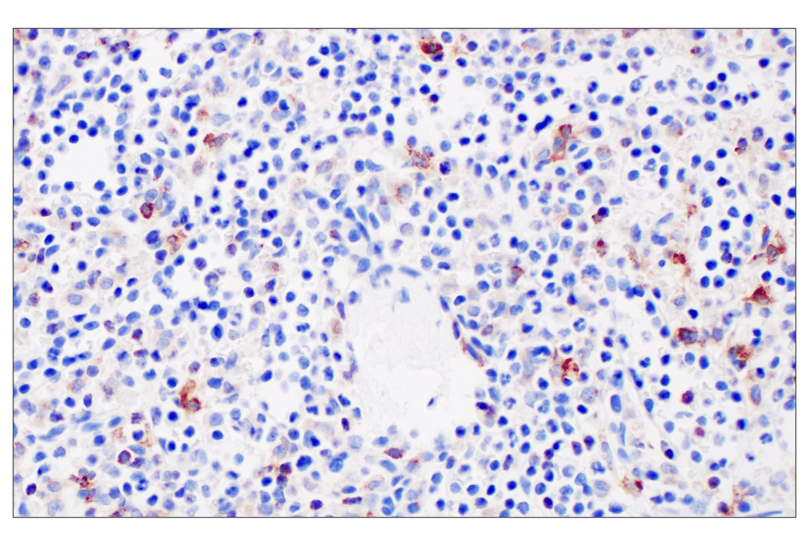
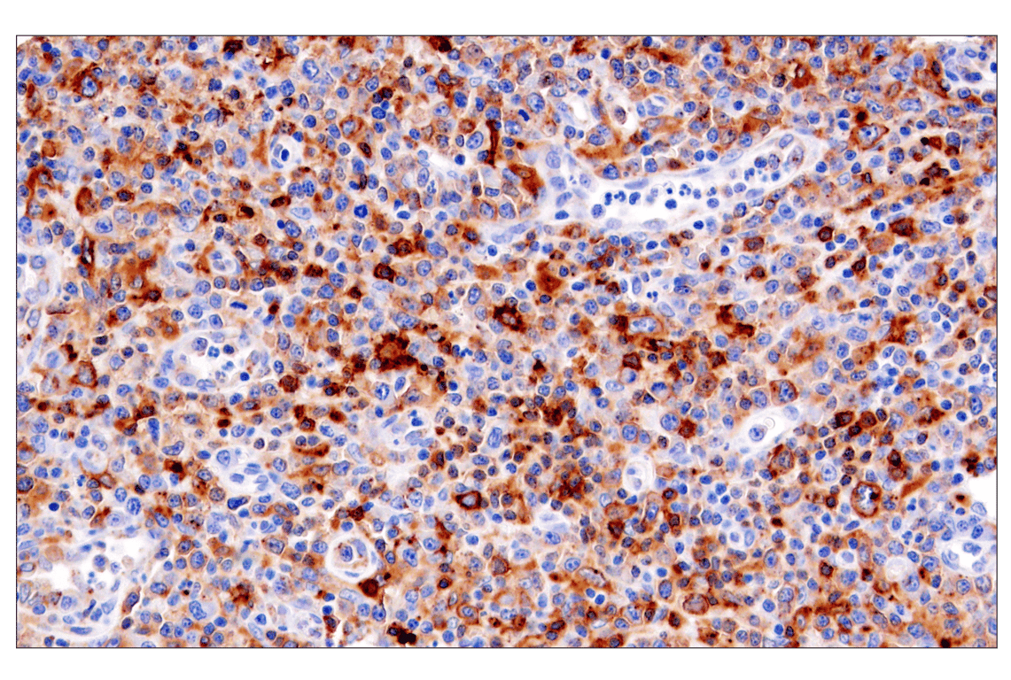
Immunohistochemical analysis of paraffin-embedded human T-cell lymphoma using HLA-DRA (E9R2Q) XP® Rabbit mAb.
Immunohistochemistry Image 3: HLA-DRA (E9R2Q) Rabbit Monoclonal Antibody
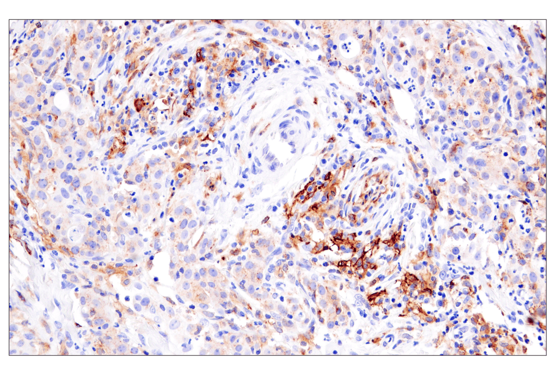
Immunohistochemical analysis of paraffin-embedded human mucoepidermoid carcinoma of the larynx using HLA-DRA (E9R2Q) XP® Rabbit mAb.
Immunohistochemistry Image 4: HLA-DRA (E9R2Q) Rabbit Monoclonal Antibody
Orders: 877-616-CELL (2355) [email protected] Support: 877-678-TECH (8324) [email protected] Web: cellsignal.com
For Research Use Only. Not for Use in Diagnostic Procedures.

Revision 6

Cell Signaling Technology Logo
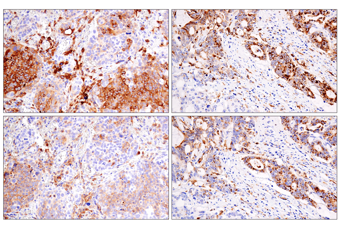
Immunohistochemical analysis of paraffin-embedded ovarian carcinoma (left) or colon carcinoma (right) using HLA-DRA (E9R2Q) XP® Rabbit mAb (top) or HLA-DRA Rabbit mAb (bottom). These two antibodies detect unique, non-overlapping epitopes on human HLA-DRA. The similar staining patterns obtained with both antibodies help to confirm the specificity of the staining.
Immunohistochemistry Image 5: HLA-DRA (E9R2Q) Rabbit Monoclonal Antibody
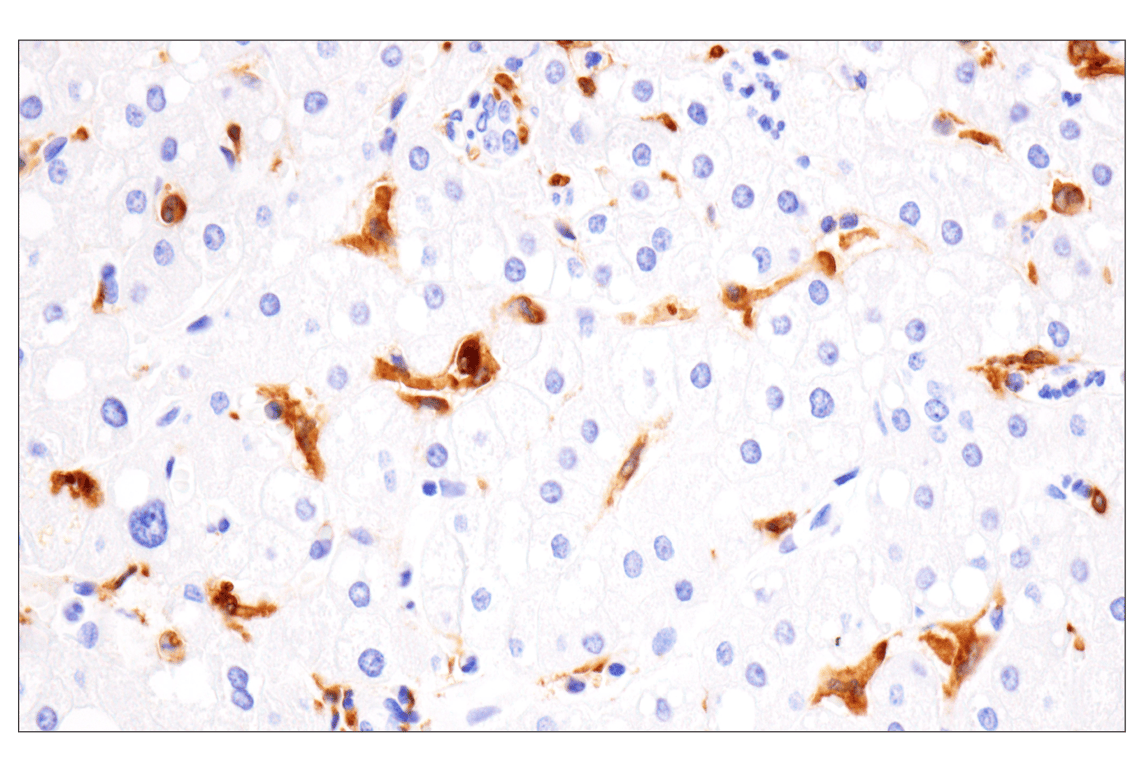
Immunohistochemical analysis of paraffin-embedded normal human liver using HLA-DRA (E9R2Q) XP® Rabbit mAb.
Immunohistochemistry Image 6: HLA-DRA (E9R2Q) Rabbit Monoclonal Antibody
Immunohistochemical analysis of paraffin-embedded human lung carcinoma using HLA-DRA (E9R2Q) XP® Rabbit mAb (left) compared to concentration-matched Rabbit (DA1E) mAb IgG XP® Isotype Control #3900 (right).
Immunohistochemistry Image 7: HLA-DRA (E9R2Q) Rabbit Monoclonal Antibody
Orders: 877-616-CELL (2355) [email protected] Support: 877-678-TECH (8324) [email protected] Web: cellsignal.com
For Research Use Only. Not for Use in Diagnostic Procedures.

Revision 6

Cell Signaling Technology Logo
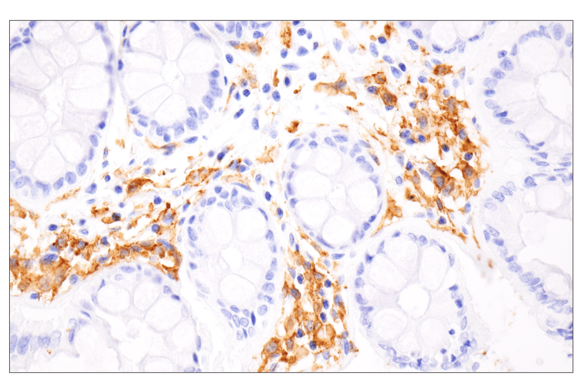
Immunohistochemical analysis of paraffin-embedded normal human colon using HLA-DRA (E9R2Q) XP® Rabbit mAb.
Immunohistochemistry Image 8: HLA-DRA (E9R2Q) Rabbit Monoclonal Antibody
Immunohistochemical analysis of paraffin-embedded rhesus monkey lung using HLA-DRA (E9R2Q) XP® Rabbit mAb.
Immunohistochemistry Image 9: HLA-DRA (E9R2Q) Rabbit Monoclonal Antibody
Immunohistochemical analysis of paraffin-embedded rhesus monkey spleen using HLA-DRA (E9R2Q) XP® Rabbit mAb.
Immunohistochemistry Image 10: HLA-DRA (E9R2Q) Rabbit Monoclonal Antibody
Orders: 877-616-CELL (2355) [email protected] Support: 877-678-TECH (8324) [email protected] Web: cellsignal.com
For Research Use Only. Not for Use in Diagnostic Procedures.

Revision 6

Cell Signaling Technology Logo
Immunohistochemical analysis of paraffin-embedded Raji cell pellet (left, positive) or Jurkat cell pellet (right, negative) using HLA-DRA (E9R2Q) XP® Rabbit mAb.
Immunohistochemistry Image 11: HLA-DRA (E9R2Q) Rabbit Monoclonal Antibody
Orders: 877-616-CELL (2355) [email protected] Support: 877-678-TECH (8324) [email protected] Web: cellsignal.com
For Research Use Only. Not for Use in Diagnostic Procedures.