Revision 1

#50438

Store at -20C

CST Logo
Orders:

877-616-CELL (2355)

[email protected]

Support:

877-678-TECH (8324)

3 Trask Lane | Danvers | Massachusetts | 01923 | USA

For Research Use Only. Not for Use in Diagnostic Procedures.

Applications:
W, IHC-P

Reactivity:
H M R Mk

Sensitivity:
Endogenous

MW (kDa):
29

Source/Isotype:
Rabbit IgG

UniProt ID:
#P09429

Entrez-Gene Id:
3146

Product Usage Information

This product is the carrier free version of product #6893. All data were generated using the same antibody clone in the standard formulation which contains BSA and glycerol.

This formulation is ideal for use with technologies requiring specialized or custom antibody labeling, including fluorophores, metals, lanthanides, and oligonucleotides. It is not recommended for ChIP, ChIP-seq, CUT&RUN or CUT&Tag assays. If you require a carrier free formulation for chromatin profiling, please contact us. Optimal dilutions/concentrations should be determined by the end user.

BSA and Azide Free antibodies are quality control tested by size exclusion chromatography (SEC) to determine antibody integrity.

Formulation

Supplied in 1X PBS (10 mM Na2HPO4, 3 mM KCl, 2 mM KH2PO4, and 140 mM NaCl (pH 7.8)). BSA and Azide Free.

For standard formulation of this product see product #6893

Storage

Store at -20°C. This product will freeze at -20°C so it is recommended to aliquot into single-use vials to avoid multiple freeze/thaw cycles. A slight precipitate may be present and can be dissolved by gently vortexing. This will not interfere with antibody performance.

Specificity/Sensitivity

HMGB1 (D3E5) Rabbit Monoclonal Antibody (BSA and Azide Free) recognizes endogenous levels of total HMGB1 protein. This antibody does not cross-react with other HMGB proteins, including HMGB2 and HMGB3.

Species predicted to react based on 100% sequence homology

Chicken, Bovine, Horse

Source / Purification

Monoclonal antibody is produced by immunizing animals with a synthetic peptide corresponding to residues surrounding Ala137 of human HMGB1 protein.

Background

High mobility group protein B1 (HMGB1) belongs to a family of highly conserved proteins that contain HMG box domains (1,2). All three family members (HMGB1, HMGB2, and HMGB3) contain two HMG box domains and a C-terminal acidic domain. HMGB1 is a widely expressed and highly abundant protein (2). HMGB2 is widely expressed during embryonic development, but is restricted to lymphoid organs and testis in adult animals (3). HMGB3 is only expressed during embryogenesis (4). While expression varies, the biochemical properties of the different family members may be indistinguishable. The HMG box domains facilitate the binding of HMGB proteins to the minor groove of DNA, which results in local bending of the DNA double helix (1,2). HMGB proteins are recruited by and help facilitate the assembly of site-specific DNA binding proteins to their cognate binding sites in chromatin. For example, HMGB1 facilitates the binding of Hox proteins, Oct-1, p53, Rel proteins, and steroid hormone receptor proteins to their target gene promoters (1,2). In addition to their functions in the nucleus, HMGB proteins play a significant role in extracellular signaling associated with inflammation (5,6). HMGB1 is massively released into the extracellular environment during cell necrosis, but not apoptosis. Extracellular HMGB1 "alarms" the innate immune system by acting as a chemoattractant for inflammatory leukocytes, smooth muscle cells, and stem cells, functioning as an immune adjuvant for soluble and particulate antigens, and triggering activation of T cells and dendritic cells. In addition, activated monocytes, macrophages and, dendritic cells also secrete HMGB1, forming a positive feedback loop that results in the release of additional cytokines and neutrophils. Hypoxia has also been shown to cause the release of HMGB1 in the liver, and some studies suggest a role for extracellular HMGB1 in tumor homeostasis (5,6).

Species Reactivity

Species reactivity is determined by testing in at least one approved application (e.g., western blot).

Applications Key

W: Western Blotting IHC-P: Immunohistochemistry (Paraffin)

Cross-Reactivity Key

H: Human M: Mouse R: Rat Mk: Monkey

Trademarks and Patents

Cell Signaling Technology is a trademark of Cell Signaling Technology, Inc.

All other trademarks are the property of their respective owners. Visit cellsignal.com/trademarks for more information.

Limited Uses

Except as otherwise expressly agreed in a writing signed by a legally authorized representative of CST, the following terms apply to Products provided by CST, its affiliates or its distributors. Any Customer's terms and conditions that are in addition to, or different from, those contained herein, unless separately accepted in writing by a legally authorized representative of CST, are rejected and are of no force or effect.

Products are labeled with For Research Use Only or a similar labeling statement and have not been approved, cleared, or licensed by the FDA or other regulatory foreign or domestic entity, for any purpose. Customer shall not use any Product for any diagnostic or therapeutic purpose, or otherwise in any manner that conflicts with its labeling statement. Products sold or licensed by CST are provided for Customer as the end-user and solely for research and development uses. Any use of Product for diagnostic, prophylactic or therapeutic purposes, or any purchase of Product for resale (alone or as a component) or other commercial purpose, requires a separate license from CST. Customer shall (a) not sell, license, loan, donate or otherwise transfer or make available any Product to any third party, whether alone or in combination with other materials, or use the Products to manufacture any commercial products, (b) not copy, modify, reverse engineer, decompile, disassemble or otherwise attempt to discover the underlying structure or technology of the Products, or use the Products for the purpose of developing any products or services that would compete with CST products or services, (c) not alter or remove from the Products any trademarks, trade names, logos, patent or copyright notices or markings, (d) use the Products solely in accordance with CST Product Terms of Sale and any applicable documentation, and (e) comply with any license, terms of service or similar agreement with respect to any third party products or services used by Customer in connection with the Products.

Orders: 877-616-CELL (2355) [email protected] Support: 877-678-TECH (8324) [email protected] Web: cellsignal.com
For Research Use Only. Not for Use in Diagnostic Procedures.

Revision 1

Cell Signaling Technology Logo
Western blot analysis of extracts from various cell lines using HMGB1 (D3E5) Rabbit mAb. Data were generated using the standard formulation of this product.
Western Blotting Image 1: HMGB1 (D3E5) Rabbit Monoclonal Antibody (BSA and Azide Free)
Western blot analysis of extracts from the media of mouse bone marrow derived macrophages (mBMDM), untreated (-) or treated with Lipopolysaccharides (LPS) #14011 (50 ng/ml, 4 hr; +) followed by Nigericin (15 μM, 45 min; +), using HMGB1 (D3E5) Rabbit mAb. Data were generated using the standard formulation of this product.
Western Blotting Image 2: HMGB1 (D3E5) Rabbit Monoclonal Antibody (BSA and Azide Free)
Immunohistochemical analysis of paraffin-embedded mouse lung using HMGB1 (D3E5) Rabbit mAb. Data were generated using the standard formulation of this product.
Immunohistochemistry Image 1: HMGB1 (D3E5) Rabbit Monoclonal Antibody (BSA and Azide Free)
Orders: 877-616-CELL (2355) [email protected] Support: 877-678-TECH (8324) [email protected] Web: cellsignal.com
For Research Use Only. Not for Use in Diagnostic Procedures.

Revision 1

Cell Signaling Technology Logo
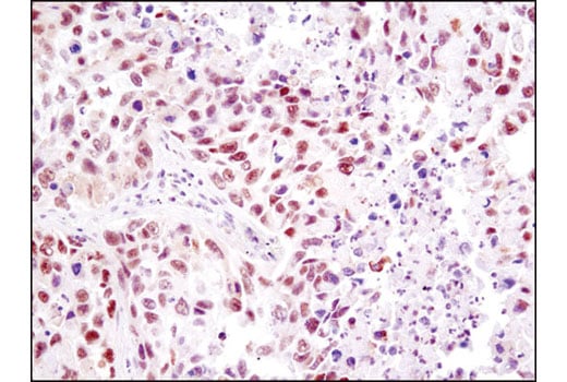
Immunohistochemical analysis of paraffin-embedded human colon carcioma using HMGB1 (D3E5) Rabbit mAb. Data were generated using the standard formulation of this product.
Immunohistochemistry Image 2: HMGB1 (D3E5) Rabbit Monoclonal Antibody (BSA and Azide Free)
Immunohistochemical analysis of paraffin-embedded human lung carcioma using HMGB1 (D3E5) Rabbit mAb. Data were generated using the standard formulation of this product.
Immunohistochemistry Image 3: HMGB1 (D3E5) Rabbit Monoclonal Antibody (BSA and Azide Free)
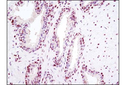
Immunohistochemical analysis of paraffin-embedded human prostate carcioma using HMGB1 (D3E5) Rabbit mAb. Data were generated using the standard formulation of this product.
Immunohistochemistry Image 4: HMGB1 (D3E5) Rabbit Monoclonal Antibody (BSA and Azide Free)
Orders: 877-616-CELL (2355) [email protected] Support: 877-678-TECH (8324) [email protected] Web: cellsignal.com
For Research Use Only. Not for Use in Diagnostic Procedures.