Revision 8

#12972

Store at -20C

CST Logo
Orders:

877-616-CELL (2355)

[email protected]

Support:

877-678-TECH (8324)

3 Trask Lane | Danvers | Massachusetts | 01923 | USA

For Research Use Only. Not for Use in Diagnostic Procedures.

Applications:
W, IP, IHC-P, IF-IC, FC-FP, ChIP, ChIP-seq, C&R, C&T

Reactivity:
H M R Mk B Dg Pg

Sensitivity:
Endogenous

MW (kDa):
80

Source/Isotype:
Rabbit IgG

UniProt ID:
#Q00613

Entrez-Gene Id:
3297

Product Usage Information

For optimal ChIP and ChIP-seq results, use 10 μl of antibody and 10 μg of chromatin (approximately 4 x 106 cells) per IP. This antibody has been validated using SimpleChIP® Enzymatic Chromatin IP Kits.

The CUT&RUN dilution was determined using CUT&RUN Assay Kit #86652.

The CUT&Tag dilution was determined using CUT&Tag Assay Kit #77552.

Application Dilution
Western Blotting 1:1000
Immunoprecipitation 1:50
Immunohistochemistry (Paraffin) 1:250 - 1:1000
Immunofluorescence (Immunocytochemistry) 1:200 - 1:400
Flow Cytometry (Fixed/Permeabilized) 1:100 - 1:400
Chromatin IP 1:50
Chromatin IP-seq 1:50
CUT&RUN 1:50
CUT&Tag 1:100

Storage

Supplied in 10 mM sodium HEPES (pH 7.5), 150 mM NaCl, 100 µg/ml BSA, 50% glycerol and less than 0.02% sodium azide. Store at –20°C. Do not aliquot the antibody.

For a carrier free (BSA and azide free) version of this product see product #76196.

Specificity/Sensitivity

HSF1 (D3L8I) Rabbit Monoclonal Antibody recognizes endogenous levels of total HSF1 protein. This antibody is not predicted to cross-react with HSF2.

Source / Purification

Monoclonal antibody is produced by immunizing animals with a synthetic peptide corresponding to residues near the carboxy terminus of human HSF1 protein.

Background

All organisms respond to increased temperatures and other environmental stresses by rapidly inducing the expression of highly conserved heat shock proteins (HSPs) that serve as molecular chaperones to refold denatured proteins and promote the degradation of damaged proteins. Heat shock gene transcription is regulated by a family of heat shock factors (HSFs), transcriptional activators that bind to heat shock response elements (HSEs) located upstream of all heat shock genes (1). HSEs are highly conserved among organisms and contain multiple adjacent and inverse iterations of the pentanucleotide motif 5'-nGAAn-3'. HSFs are less conserved and share only 40% sequence identity. Vertebrate cells contain four HSF proteins: HSF1, 2 and 4 are ubiquitous, while HSF3 has only been characterized in avian species. HSF1 induces heat shock gene transcription in response to heat, heavy metals, and oxidative agents, while HSF2 is involved in spermatogenesis and erythroid cell development. HSF3 and HSF4 show overlapping functions with HSF1 and HSF2. The inactive form of HSF1 exists as a monomer that localizes to both the cytoplasm and nucleus, but does not bind DNA (1,2). In response to stress, HSF1 becomes phosphorylated, forms homotrimers, binds DNA and activates heat shock gene transcription (1,2). HSF1 activity is positively regulated by phosphorylation of Ser419 by PLK1, which enhances nuclear translocation, and phosphorylation of Ser230 by CaMKII, which enhances transactivation (3,4). Alternatively, HSF1 activity is repressed by phosphorylation of serines at 303 and 307 by GSK3 and ERK1, respectively, which leads to binding of 14-3-3 protein and sequestration of HSF1 in the cytoplasm (5,6). In addition, during attenuation from the heat shock response, HSF1 is repressed by direct binding of Hsp70, HSP40/Hdj-1, and HSF binding protein 1 (HSBP1) (7).

Species Reactivity

Species reactivity is determined by testing in at least one approved application (e.g., western blot).

Western Blot Buffer

IMPORTANT: For western blots, incubate membrane with diluted primary antibody in 5% w/v BSA, 1X TBS, 0.1% Tween® 20 at 4°C with gentle shaking, overnight.

Applications Key

W: Western Blotting IP: Immunoprecipitation IHC-P: Immunohistochemistry (Paraffin) IF-IC: Immunofluorescence (Immunocytochemistry) FC-FP: Flow Cytometry (Fixed/Permeabilized) ChIP: Chromatin IP ChIP-seq: Chromatin IP-seq C&R: CUT&RUN C&T: CUT&Tag

Cross-Reactivity Key

H: Human M: Mouse R: Rat Mk: Monkey B: Bovine Dg: Dog Pg: Pig

Trademarks and Patents

Cell Signaling Technology is a trademark of Cell Signaling Technology, Inc.

Alexa Fluor is a registered trademark of Life Technologies Corporation.

The transfer of the secondary cocktail contained in this kit is contingent on the buyer using the purchased product solely in research conducted by the buyer (whether the buyer is an academic or for-profit entity), for immunocytochemistry, high content screening (HCS) analysis, or flow cytometry applications. The sale of this product is expressly conditioned on the buyer not using the product or its components (1) in manufacturing; (2) to provide a service, information, or data to an unaffiliated third party for payment; (3) for therapeutic, diagnostic or prophylactic purposes; (4) resale, whether or not such product or its components are resold for use in research; or for any other commercial purpose. For information on purchasing a license to this product for purposes other than research, contact Life Technologies Corporation, 5791 Van Allen Way, Carlsbad, CA 92008 USA or [email protected]. Alexa Fluor® is a registered trademark of Molecular Probes, Inc.

All other trademarks are the property of their respective owners. Visit cellsignal.com/trademarks for more information.

Limited Uses

Except as otherwise expressly agreed in a writing signed by a legally authorized representative of CST, the following terms apply to Products provided by CST, its affiliates or its distributors. Any Customer's terms and conditions that are in addition to, or different from, those contained herein, unless separately accepted in writing by a legally authorized representative of CST, are rejected and are of no force or effect.

Products are labeled with For Research Use Only or a similar labeling statement and have not been approved, cleared, or licensed by the FDA or other regulatory foreign or domestic entity, for any purpose. Customer shall not use any Product for any diagnostic or therapeutic purpose, or otherwise in any manner that conflicts with its labeling statement. Products sold or licensed by CST are provided for Customer as the end-user and solely for research and development uses. Any use of Product for diagnostic, prophylactic or therapeutic purposes, or any purchase of Product for resale (alone or as a component) or other commercial purpose, requires a separate license from CST. Customer shall (a) not sell, license, loan, donate or otherwise transfer or make available any Product to any third party, whether alone or in combination with other materials, or use the Products to manufacture any commercial products, (b) not copy, modify, reverse engineer, decompile, disassemble or otherwise attempt to discover the underlying structure or technology of the Products, or use the Products for the purpose of developing any products or services that would compete with CST products or services, (c) not alter or remove from the Products any trademarks, trade names, logos, patent or copyright notices or markings, (d) use the Products solely in accordance with CST Product Terms of Sale and any applicable documentation, and (e) comply with any license, terms of service or similar agreement with respect to any third party products or services used by Customer in connection with the Products.

Orders: 877-616-CELL (2355) [email protected] Support: 877-678-TECH (8324) [email protected] Web: cellsignal.com
For Research Use Only. Not for Use in Diagnostic Procedures.

Revision 8

Cell Signaling Technology Logo
Western blot analysis of extracts from various cell lines using HSF1 (D3L8I) Rabbit mAb.
Western Blotting Image 1: HSF1 (D3L8I) Rabbit Monoclonal Antibody
Immunoprecipitation of HSF1 from HeLa cell extracts using Rabbit (DA1E) mAb IgG XP® Isotype Control #3900 (lane 2), HSF1 Antibody #4356 (lane 3) or HSF1 (D8L8I) Rabbit mAb (lane 4). Lane 1 is 10% input. Western blot analysis was performed using HSF1 (D8L8I) Rabbit mAb.
Immunoprecipitation Image 1: HSF1 (D3L8I) Rabbit Monoclonal Antibody
Immunohistochemical analysis of paraffin-embedded human lung carcinoma using HSF1 (D3L8I) Rabbit mAb.
Immunohistochemistry Image 1: HSF1 (D3L8I) Rabbit Monoclonal Antibody
Orders: 877-616-CELL (2355) [email protected] Support: 877-678-TECH (8324) [email protected] Web: cellsignal.com
For Research Use Only. Not for Use in Diagnostic Procedures.

Revision 8

Cell Signaling Technology Logo
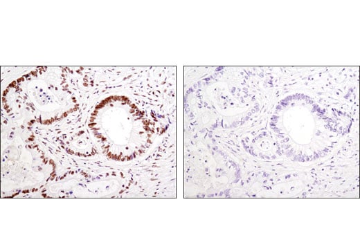
Immunohistochemical analysis of paraffin-embedded human colon carcinoma using HSF1 (D3L8I) Rabbit mAb in the presence of control peptide (left) or antigen-specific peptide (right).
Immunohistochemistry Image 2: HSF1 (D3L8I) Rabbit Monoclonal Antibody
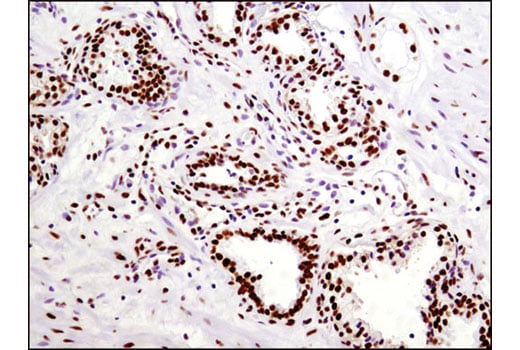
Immunohistochemical analysis of paraffin-embedded human prostate carcinoma using HSF1 (D3L8I) Rabbit mAb.
Immunohistochemistry Image 3: HSF1 (D3L8I) Rabbit Monoclonal Antibody
Immunohistochemical analysis of paraffin-embedded mouse spleen, HSF1 wild type (left), HSF1 knock out (middle) or HSF2 knock out (right), using HSF1 (D3L8I) Rabbit mAb. Tissues courtesy of Dr. Nahid Mivechi, Georgia Health Sciences University, Atlanta, Georgia.
Immunohistochemistry Image 4: HSF1 (D3L8I) Rabbit Monoclonal Antibody
Orders: 877-616-CELL (2355) [email protected] Support: 877-678-TECH (8324) [email protected] Web: cellsignal.com
For Research Use Only. Not for Use in Diagnostic Procedures.

Revision 8

Cell Signaling Technology Logo
Confocal immunofluorescent analysis of HeLa cells, untreated or heat-treated (43.5ºC, 1 hr without recovery), using HSF1 (D3L8I) Rabbit mAb (green). Actin filaments were labeled with DyLight® 554 Phalloidin #13054 (red). HSF1 is redistributed to nuclear stress granules following heat shock (insets).
Immunofluorescence Image 1: HSF1 (D3L8I) Rabbit Monoclonal Antibody
Flow cytometric analysis of HeLa cells using HSF1 (D3L8I) Rabbit mAb (solid line) compared to concentration-matched Rabbit (DA1E) mAb IgG XP® Isotype Control #3900 (dashed line). Anti-rabbit IgG (H+L), F(ab')2 Fragment (Alexa Fluor® 488 Conjugate) #4412 was used as a secondary antibody.
Flow Cytometry Image 1: HSF1 (D3L8I) Rabbit Monoclonal Antibody
Chromatin immunoprecipitations were performed with cross-linked chromatin from HeLa cells heat shocked for 1h and HSF1 (D3L8I) Rabbit mAb, using SimpleChIP® Plus Enzymatic Chromatin IP Kit (Magnetic Beads) #9005. DNA Libraries were prepared using SimpleChIP® ChIP-seq DNA Library Prep Kit for Illumina® (ChIP-seq, CUT&RUN) #56795. The figure shows binding across HSPA6, a known target gene of HSF1 (see additional figure containing ChIP-qPCR data).
Chromatin Immunoprecipitation Image 1: HSF1 (D3L8I) Rabbit Monoclonal Antibody
Orders: 877-616-CELL (2355) [email protected] Support: 877-678-TECH (8324) [email protected] Web: cellsignal.com
For Research Use Only. Not for Use in Diagnostic Procedures.

Revision 8

Cell Signaling Technology Logo
Chromatin immunoprecipitations were performed with cross-linked chromatin from HeLa cells heat shocked for 1h and HSF1 (D3L8I) Rabbit mAb, using SimpleChIP® Plus Enzymatic Chromatin IP Kit (Magnetic Beads) #9005. DNA Libraries were prepared using SimpleChIP® ChIP-seq DNA Library Prep Kit for Illumina® (ChIP-seq, CUT&RUN) #56795. The figure shows binding across chromosome 1 (upper), including HSPA6 (lower), a known target gene of HSF1 (see additional figure containing ChIP-qPCR data).
Chromatin Immunoprecipitation Image 2: HSF1 (D3L8I) Rabbit Monoclonal Antibody
Chromatin immunoprecipitations were performed with cross-linked chromatin from HeLa cells heat shocked for 1h and either HSF1 (D3L8I) Rabbit mAb or Normal Rabbit IgG #2729 using SimpleChIP® Enzymatic Chromatin IP Kit (Magnetic Beads) #9003. The enriched DNA was quantified by real-time PCR using SimpleChIP® Human HSPA6 Promoter Primers #5551, human HSP70 intron 1 primers, and SimpleChIP® Human α Satellite Repeat Primers #4486. The amount of immunoprecipitated DNA in each sample is represented as signal relative to the total amount of input chromatin, which is equivalent to one.
Chromatin Immunoprecipitation Image 3: HSF1 (D3L8I) Rabbit Monoclonal Antibody
CUT&RUN was performed with HeLa cells heat shocked for 1h and HSF1 (D3L8I) Rabbit mAb, using CUT&RUN Assay Kit #86652. DNA libraries were prepared using SimpleChIP® ChIP-seq DNA Library Prep Kit for Illumina® (ChIP-seq, CUT&RUN) #56795. The figure shows binding across HSP90AB1 gene.
CUT & RUN Image 1: HSF1 (D3L8I) Rabbit Monoclonal Antibody
Orders: 877-616-CELL (2355) [email protected] Support: 877-678-TECH (8324) [email protected] Web: cellsignal.com
For Research Use Only. Not for Use in Diagnostic Procedures.

Revision 8

Cell Signaling Technology Logo
CUT&RUN was performed with HeLa cells heat shocked for 1h and HSF1 (D3L8I) Rabbit mAb, using CUT&RUN Assay Kit #86652. DNA libraries were prepared using SimpleChIP® ChIP-seq DNA Library Prep Kit for Illumina® (ChIP-seq, CUT&RUN) #56795. The figures show binding across chromosome 6 (upper), including HSP90AB1 gene (lower).
CUT & RUN Image 2: HSF1 (D3L8I) Rabbit Monoclonal Antibody
CUT&RUN was performed with HeLa cells heat shocked for 1h and either HSF1 (D3L8I) Rabbit mAb or Rabbit (DA1E) mAb IgG XP® Isotype Control (CUT&RUN) #66362, using CUT&RUN Assay Kit #86652. The enriched DNA was quantified by real-time PCR using human CRTC2 intron 1 primers and human ITM2A upstream primers. The amount of immunoprecipitated DNA in each sample is represented as signal relative to the total amount of input chromatin, which is equivalent to one.
CUT & RUN Image 3: HSF1 (D3L8I) Rabbit Monoclonal Antibody
CUT&Tag was performed with HeLa cells heat shocked for 1 hour and HSF1 (D3L8I) Rabbit mAb, using CUT&Tag Assay Kit #77552. DNA libraries were prepared using CUT&Tag Dual Index Primers and PCR Master Mix for Illumina Systems #47415. The figure shows binding across HSPA6, a known target gene of HSF1 (see additional figure containing ChIP-qPCR data).
CUT & Tag Image 1: HSF1 (D3L8I) Rabbit Monoclonal Antibody
Orders: 877-616-CELL (2355) [email protected] Support: 877-678-TECH (8324) [email protected] Web: cellsignal.com
For Research Use Only. Not for Use in Diagnostic Procedures.

Revision 8

Cell Signaling Technology Logo
CUT&Tag was performed with HeLa cells heat shocked for 1 hour and HSF1 (D3L8I) Rabbit mAb, using CUT&Tag Assay Kit #77552. DNA library was prepared using CUT&Tag Dual Index Primers and PCR Master Mix for Illumina Systems #47415. The figures show binding across chromosome 1 (upper), including HSPA6 (lower), a known target gene of HSF1 (see additional figure containing ChIP-qPCR data).
CUT & Tag Image 2: HSF1 (D3L8I) Rabbit Monoclonal Antibody
Orders: 877-616-CELL (2355) [email protected] Support: 877-678-TECH (8324) [email protected] Web: cellsignal.com
For Research Use Only. Not for Use in Diagnostic Procedures.