Revision 1

#9965

Store at -20C

HSP/Chaperone Antibody Sampler Kit

1 Kit

(8 x 20 microliters)

CST Logo
Orders:

877-616-CELL (2355)

[email protected]

Support:

877-678-TECH (8324)

3 Trask Lane | Danvers | Massachusetts | 01923 | USA

For Research Use Only. Not for Use in Diagnostic Procedures.

Product Includes Product # Quantity Mol. Wt Isotype/Source
HSP60 (D6F1) Rabbit Monoclonal Antibody1216520 µl60 kDaRabbit IgG
HSP70 Antibody487220 µl72, 73 kDaRabbit
HSF1 Antibody435620 µl82 kDaRabbit
BiP (C50B12) Rabbit Monoclonal Antibody317720 µl78 kDaRabbit IgG
HSP40 (C64B4) Rabbit Monoclonal Antibody487120 µl40 kDaRabbit
HSP90 (C45G5) Rabbit Monoclonal Antibody487720 µl90 kDaRabbit IgG
Calnexin (C5C9) Rabbit Monoclonal Antibody267920 µl90 kDaRabbit IgG
PDI (C81H6) Rabbit Monoclonal Antibody350120 µl57 kDaRabbit
Anti-rabbit IgG, HRP-linked Antibody7074100 µlGoat

Please visit cellsignal.com for individual component applications, species cross-reactivity, dilutions, protocols, and additional product information.

Description

The HSP/Chaperone Sampler Kit provides an economical means to investigate protein folding within the cell. The kit contains enough primary and secondary antibodies to perform two Western blot experiments with each antibody.

Storage

Supplied in 10 mM sodium HEPES (pH 7.5), 150 mM NaCl, 100 µg/ml BSA, 50% glycerol and less than 0.02% sodium azide. Store at –20°C. Do not aliquot the antibody.

Background

HSP70 and HSP90 are molecular chaperones expressed constitutively under normal conditions to maintain protein homeostasis and are induced upon environmental stress (1). HSP70 and HSP90 interact with unfolded proteins to prevent irreversible aggregation and catalyze the refolding of their substrates in an ATP-dependent manner (1). HSP40 family proteins bind unfolded proteins and prevent their aggregation, and deliver unfolded protiens to HSP70 (2). HSP60 has primarily been known as a mitochondrial protein that is important for folding key proteins after import into the mitochondria (3). HSP60 is also present in the cytosol of many cells and is induced by stress, inflammatory and immune responses, autoantibodies correlated with Alzheimer's, coronary artery diseases, MS, and diabetes (4-7). Secretory and transmembrane proteins are synthesized on polysomes and translocate into the endoplasmic reticulum (ER) where they are often modified by the formation of disulfide bonds, amino-linked glycosylation and folding. The ER contains a pool of molecular chaperones including calnexin, BiP and protein disulfide isomerase (PDI). Calenxin is a calcium-binding protein embedded in the ER membrane that retains newly synthesized glycoproteins inside the ER to ensure proper folding and quality control (8,9). When protein folding is disturbed inside the ER, Bip synthesis is increased. Subsequently, BiP binds to misfolded proteins to prevent them from forming aggregates and assists them to refold properly (10). PDI catalyzes the formation and isomerization of disulfide bonds required to reach a proteins native state (11). Heat shock gene transcription is regulated by a familly of heat shock factors (HSFs), transcriptional activators that bind to heat shock response elements (HSEs) located upstream of all heat shock genes (12). During attenuation from the heat shock response, HSF1 is repressed by direct binding of HSP70, HSP40/Hdj-1 and HSF binding protein 1 (HSBP1) (13).

Trademarks and Patents

Cell Signaling Technology is a trademark of Cell Signaling Technology, Inc.

U.S. Patent No. 7,429,487, foreign equivalents, and child patents deriving therefrom.

All other trademarks are the property of their respective owners. Visit cellsignal.com/trademarks for more information.

Limited Uses

Except as otherwise expressly agreed in a writing signed by a legally authorized representative of CST, the following terms apply to Products provided by CST, its affiliates or its distributors. Any Customer's terms and conditions that are in addition to, or different from, those contained herein, unless separately accepted in writing by a legally authorized representative of CST, are rejected and are of no force or effect.

Products are labeled with For Research Use Only or a similar labeling statement and have not been approved, cleared, or licensed by the FDA or other regulatory foreign or domestic entity, for any purpose. Customer shall not use any Product for any diagnostic or therapeutic purpose, or otherwise in any manner that conflicts with its labeling statement. Products sold or licensed by CST are provided for Customer as the end-user and solely for research and development uses. Any use of Product for diagnostic, prophylactic or therapeutic purposes, or any purchase of Product for resale (alone or as a component) or other commercial purpose, requires a separate license from CST. Customer shall (a) not sell, license, loan, donate or otherwise transfer or make available any Product to any third party, whether alone or in combination with other materials, or use the Products to manufacture any commercial products, (b) not copy, modify, reverse engineer, decompile, disassemble or otherwise attempt to discover the underlying structure or technology of the Products, or use the Products for the purpose of developing any products or services that would compete with CST products or services, (c) not alter or remove from the Products any trademarks, trade names, logos, patent or copyright notices or markings, (d) use the Products solely in accordance with CST Product Terms of Sale and any applicable documentation, and (e) comply with any license, terms of service or similar agreement with respect to any third party products or services used by Customer in connection with the Products.

Orders: 877-616-CELL (2355) [email protected] Support: 877-678-TECH (8324) [email protected] Web: cellsignal.com
For Research Use Only. Not for Use in Diagnostic Procedures.

Revision 1

Cell Signaling Technology Logo
Western blot analysis of extracts from various cell lines using HSP60 (D6F1) XP® Rabbit mAb.
undefined Image 1: HSP/Chaperone Antibody Sampler Kit
Western blot analysis of extracts from PANC1, HepG2 and A204 cells using Calnexin (C5C9) Rabbit mAb.
undefined Image 2: HSP/Chaperone Antibody Sampler Kit
Western blot analysis of extracts from various cell lines using BiP (C50B12) Rabbit mAb.
undefined Image 3: HSP/Chaperone Antibody Sampler Kit
Orders: 877-616-CELL (2355) [email protected] Support: 877-678-TECH (8324) [email protected] Web: cellsignal.com
For Research Use Only. Not for Use in Diagnostic Procedures.

Revision 1

Cell Signaling Technology Logo
Western blot analysis of extracts from various cell types using PDI (C81H6) Rabbit mAb.
undefined Image 4: HSP/Chaperone Antibody Sampler Kit
Western blot analysis of extracts from HeLa, NIH/3T3, C6 and COS cells, using HSF1 antibody.
undefined Image 5: HSP/Chaperone Antibody Sampler Kit
Western blot analysis of extracts from HeLa, C2C12, C6 and COS cells using HSP40 (C64B4) Rabbit mAb.
undefined Image 6: HSP/Chaperone Antibody Sampler Kit
Orders: 877-616-CELL (2355) [email protected] Support: 877-678-TECH (8324) [email protected] Web: cellsignal.com
For Research Use Only. Not for Use in Diagnostic Procedures.

Revision 1

Cell Signaling Technology Logo
Western blot analysis of extracts from HeLa, NIH/3T3, C6 and COS cells, using HSP70 Antibody.
undefined Image 7: HSP/Chaperone Antibody Sampler Kit
Western blot analysis of extracts from HeLa, NIH/3T3, PC12 and COS cells using HSP90 (C45G5) Rabbit mAb.
undefined Image 8: HSP/Chaperone Antibody Sampler Kit
After the primary antibody is bound to the target protein, a complex with HRP-linked secondary antibody is formed. The LumiGLO® is added and emits light during enzyme catalyzed decomposition.
undefined Image 9: HSP/Chaperone Antibody Sampler Kit
Orders: 877-616-CELL (2355) [email protected] Support: 877-678-TECH (8324) [email protected] Web: cellsignal.com
For Research Use Only. Not for Use in Diagnostic Procedures.

Revision 1

Cell Signaling Technology Logo
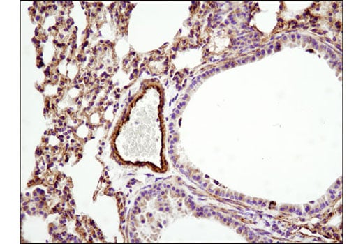
Immunohistochemical analysis of paraffin-embedded mouse lung using HSP60 (D6F1) XP® Rabbit mAb.
undefined Image 10: HSP/Chaperone Antibody Sampler Kit
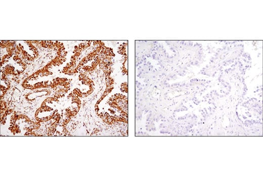
Immunohistochemical analysis of paraffin-embedded human breast carcinoma using Calnexin (C5C9) Rabbit mAb in the presence of control peptide (left) or antigen-specific peptide (right).
undefined Image 11: HSP/Chaperone Antibody Sampler Kit
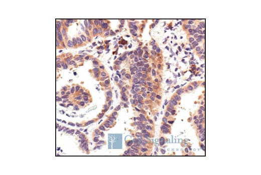
Immunohistochemical analysis of paraffin-embedded human lung carcinoma using PDI (C81H6) Rabbit mAb.
undefined Image 12: HSP/Chaperone Antibody Sampler Kit
Orders: 877-616-CELL (2355) [email protected] Support: 877-678-TECH (8324) [email protected] Web: cellsignal.com
For Research Use Only. Not for Use in Diagnostic Procedures.

Revision 1

Cell Signaling Technology Logo
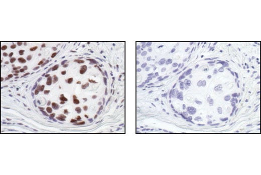
Immunohistochemical analysis of paraffin-embedded human breast carcinoma, using HSF1 Antibody in the presence of control peptide (left) or antigen-specific peptide (right).
undefined Image 13: HSP/Chaperone Antibody Sampler Kit
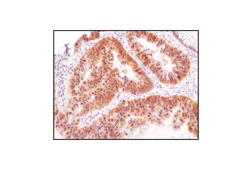
Immunohistochemical analysis of paraffin-embedded human colon carcinoma using HSP40 (C64B4) Rabbit mAb.
undefined Image 14: HSP/Chaperone Antibody Sampler Kit
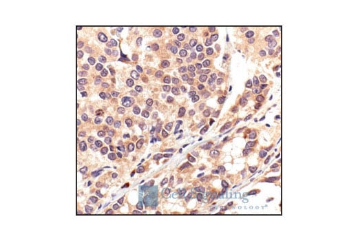
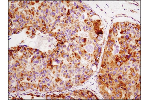
Immunohistochemical analysis of paraffin-embedded human breast carcinoma, using HSP70 Antibody.
undefined Image 15: HSP/Chaperone Antibody Sampler Kit
Orders: 877-616-CELL (2355) [email protected] Support: 877-678-TECH (8324) [email protected] Web: cellsignal.com
For Research Use Only. Not for Use in Diagnostic Procedures.

Revision 1

Cell Signaling Technology Logo
Immunohistochemical analysis of paraffin-embedded human colon using HSP90 (C45G5) Rabbit mAb.
undefined Image 16: HSP/Chaperone Antibody Sampler Kit
Immunohistochemical analysis of paraffin-embedded human breast carcinoma using HSP60 (D6F1) XP® Rabbit mAb.
undefined Image 17: HSP/Chaperone Antibody Sampler Kit
Immunohistochemical analysis of paraffin-embedded human lymphoma using PDI (C81H6) Rabbit mAb.
undefined Image 18: HSP/Chaperone Antibody Sampler Kit
Orders: 877-616-CELL (2355) [email protected] Support: 877-678-TECH (8324) [email protected] Web: cellsignal.com
For Research Use Only. Not for Use in Diagnostic Procedures.

Revision 1

Cell Signaling Technology Logo
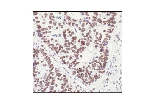
Immunohistochemical analysis of paraffin-embedded human pituitary adenoma, using HSF1 Antibody.
undefined Image 19: HSP/Chaperone Antibody Sampler Kit
Immunohistochemical analysis of paraffin-embedded human colon carcinoma, using HSP70 Antibody.
undefined Image 20: HSP/Chaperone Antibody Sampler Kit
Immunohistochemical analysis of paraffin-embedded human colon carcinoma using HSP90 (C45G5) Rabbit mAb.
undefined Image 21: HSP/Chaperone Antibody Sampler Kit
Orders: 877-616-CELL (2355) [email protected] Support: 877-678-TECH (8324) [email protected] Web: cellsignal.com
For Research Use Only. Not for Use in Diagnostic Procedures.

Revision 1

Cell Signaling Technology Logo
Immunohistochemical analysis of paraffin-embedded human ovarian carcinoma using HSP60 (D6F1) XP® Rabbit mAb in the presence of control peptide (left) or antigen-specific peptide (right).
undefined Image 22: HSP/Chaperone Antibody Sampler Kit
Immunohistochemical analysis of paraffin-embedded mouse spleen using PDI (C81H6) Rabbit mAb.
undefined Image 23: HSP/Chaperone Antibody Sampler Kit
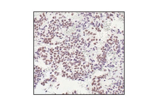
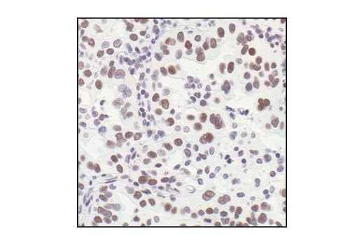
Immunohistochemical analysis of paraffin-embedded human breast carcinoma showing nuclear localization, using HSF1 Antibody.
undefined Image 24: HSP/Chaperone Antibody Sampler Kit
Orders: 877-616-CELL (2355) [email protected] Support: 877-678-TECH (8324) [email protected] Web: cellsignal.com
For Research Use Only. Not for Use in Diagnostic Procedures.

Revision 1

Cell Signaling Technology Logo
Immunohistochemical analysis of paraffin-embedded human lung carcinoma showing cytoplasmic localization using HSP70 Antibody.
undefined Image 25: HSP/Chaperone Antibody Sampler Kit
Confocal immunofluorescent analysis of HeLa cells using HSP90 (C45G5) Rabbit mAb (green) and β-Actin (8H10D10) Mouse mAb #3700 (red).
undefined Image 26: HSP/Chaperone Antibody Sampler Kit
Confocal immunofluorescent analysis of A-204 cells using HSP60 (D6F1) XP® Rabbit mAb (green). Actin filaments were labeled with DY-554 phalloidin (red). Blue pseudocolor = DRAQ5® #4084 (fluorescent DNA dye).
undefined Image 27: HSP/Chaperone Antibody Sampler Kit
Orders: 877-616-CELL (2355) [email protected] Support: 877-678-TECH (8324) [email protected] Web: cellsignal.com
For Research Use Only. Not for Use in Diagnostic Procedures.

Revision 1

Cell Signaling Technology Logo
Confocal immunofluorescent analysis of NIH/3T3 cells using PDI (C81H6) Rabbit mAb (green) and β-Actin (8H10D10) Mouse mAb #3700 (red). Blue pseudocolor = DRAQ5® #4084 (fluorescent DNA dye).
undefined Image 28: HSP/Chaperone Antibody Sampler Kit
Immunohistochemical analysis of paraffin-embedded human colon carcinoma, using HSF1 Antibody.
undefined Image 29: HSP/Chaperone Antibody Sampler Kit
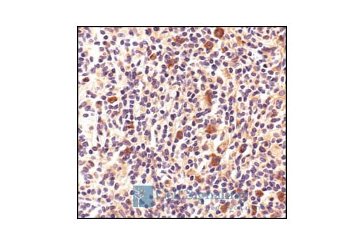
Immunohistochemical analysis of paraffin-embedded human Non-Hodgkin's lymphoma, using HSP70 Antibody.
undefined Image 30: HSP/Chaperone Antibody Sampler Kit
Orders: 877-616-CELL (2355) [email protected] Support: 877-678-TECH (8324) [email protected] Web: cellsignal.com
For Research Use Only. Not for Use in Diagnostic Procedures.

Revision 1

Cell Signaling Technology Logo
Flow cytometric analysis of Jurkat cells using HSP90 (C45G5) Rabbit mAb (solid line) compared to concentration-matched Rabbit (DA1E) mAb IgG XP® Isotype Control #3900 (dashed line). Anti-rabbit IgG (H+L), F(ab')2 Fragment (Alexa Fluor® 488 Conjugate) #4412 was used as a secondary antibody.
undefined Image 31: HSP/Chaperone Antibody Sampler Kit
Flow cytometric analysis of HeLa cells using HSP60 (D6F1) XP® Rabbit mAb (blue) compared to concentration-matched Rabbit (DA1E) mAb IgG XP® Isotype Control #3900 (red). Anti-rabbit IgG (H+L), F(ab')2 Fragment (Alexa Fluor® 488 Conjugate) #4412 was used as a secondary antibody.
undefined Image 32: HSP/Chaperone Antibody Sampler Kit
Immunohistochemical analysis of paraffin-embedded human lung carcinoma, using HSF1 Antibody.
undefined Image 33: HSP/Chaperone Antibody Sampler Kit
Orders: 877-616-CELL (2355) [email protected] Support: 877-678-TECH (8324) [email protected] Web: cellsignal.com
For Research Use Only. Not for Use in Diagnostic Procedures.

Revision 1

Cell Signaling Technology Logo
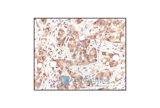
Immunohistochemical analysis of paraffin-embedded human prostate carcinoma, using HSP70 Antibody.
undefined Image 34: HSP/Chaperone Antibody Sampler Kit
DAPI staining (left) and immunofluorescent staining (right) of paraformaldehyde-fixed HeLa cells, using HSF1 antibody.
undefined Image 35: HSP/Chaperone Antibody Sampler Kit
Flow cytometric analysis of K562 cells, using HSF1 Antibody (blue) compared to a nonspecific negative control antibody (red).
undefined Image 36: HSP/Chaperone Antibody Sampler Kit
Orders: 877-616-CELL (2355) [email protected] Support: 877-678-TECH (8324) [email protected] Web: cellsignal.com
For Research Use Only. Not for Use in Diagnostic Procedures.

Revision 1

Cell Signaling Technology Logo
HeLa cells were either untreated (left panel) or heat shocked (right panel) for 1h. Chromatin immunoprecipitations were performed with cross-linked chromatin from cells and either HSF1 Antibody or Normal Rabbit IgG #2729 using SimpleChIP® Enzymatic Chromatin IP Kit (Magnetic Beads) #9003. The enriched DNA was quantified by real-time PCR using SimpleChIP® Human HSPA6 Promoter Primers #5551, human HSP70 intron 1 primers, and SimpleChIP® Human α Satellite Repeat Primers #4486. The amount of immunoprecipitated DNA in each sample is represented as signal relative to the total amount of input chromatin, which is equivalent to one.
undefined Image 37: HSP/Chaperone Antibody Sampler Kit
Simple Western™ analysis of lysates (0.1 mg/mL) from HepG2 cells using Calnexin (C5C9) Rabbit mAb #2679. The virtual lane view (left) shows the target bands (as indicated) at 1:50 and 1:250 dilutions of primary antibody. The corresponding electropherogram view (right) plots chemiluminescence by molecular weight along the capillary at 1:50 (blue line) and 1:250 (green line) dilutions of primary antibody. This experiment was performed under reducing conditions on the Jess™ ​​​​​​​Simple Western instrument from ProteinSimple, a BioTechne brand, using the 12-230 kDa separation module.
undefined Image 38: HSP/Chaperone Antibody Sampler Kit
Confocal immunofluorescent analysis of HeLa cells using Calnexin (C5C9) Rabbit mAb (green), β-Actin (8H10D10) Mouse mAb #3700 (red), and DAPI #4083 (blue).
undefined Image 39: HSP/Chaperone Antibody Sampler Kit
Orders: 877-616-CELL (2355) [email protected] Support: 877-678-TECH (8324) [email protected] Web: cellsignal.com
For Research Use Only. Not for Use in Diagnostic Procedures.

Revision 1

Cell Signaling Technology Logo
Immunohistochemical analysis of paraffin-embedded human glioblastoma using BiP (C50B12) Rabbit mAb.
undefined Image 40: HSP/Chaperone Antibody Sampler Kit
Immunohistochemical analysis of paraffin-embedded human colon carcinoma using BiP (C50B12) Rabbit mAb.
undefined Image 41: HSP/Chaperone Antibody Sampler Kit
Immunohistochemical analysis of paraffin-embedded human hepatocellular carcinoma using BiP (C50B12) Rabbit mAb.
undefined Image 42: HSP/Chaperone Antibody Sampler Kit
Orders: 877-616-CELL (2355) [email protected] Support: 877-678-TECH (8324) [email protected] Web: cellsignal.com
For Research Use Only. Not for Use in Diagnostic Procedures.

Revision 1

Cell Signaling Technology Logo
Immunohistochemical analysis of paraffin-embedded human breast carcinoma using BiP (C50B12) Rabbit mAb in the presence of control peptide (left) or BiP Blocking Peptide #1084 (right).
undefined Image 43: HSP/Chaperone Antibody Sampler Kit
Flow cytometric analysis of fixed and permeabilized MDA-MB-231 cells, untreated (blue) or treated with tunicamycin (1 µg/mL, 18 hr; green) using BiP (C50B12) Rabbit Monoclonal Antibody (solid lines) or concentration-matched Rabbit (DA1E) Monoclonal Antibody IgG Isotype Control #3900 (dashed lines). Anti-rabbit IgG (H+L), F(ab')2 Fragment (Alexa Fluor® 488 Conjugate) #4412 was used as a secondary antibody.
undefined Image 44: HSP/Chaperone Antibody Sampler Kit
Confocal immunofluorescent analysis of human iPSC-derived astrocyte cells at 7 days in vitro using PDI (C81H6) Rabbit mAb (green), GFAP (GA5) Mouse mAb #3670 (red), and DAPI #4083 (blue). iCell Astrocytes 2.0 were kindly provided by FUJIFILM Cellular Dynamics, Inc.
undefined Image 45: HSP/Chaperone Antibody Sampler Kit
Orders: 877-616-CELL (2355) [email protected] Support: 877-678-TECH (8324) [email protected] Web: cellsignal.com
For Research Use Only. Not for Use in Diagnostic Procedures.

Revision 1

Cell Signaling Technology Logo
Confocal immunofluorescent analysis of fixed frozen mouse spleen using PDI (C81H6) Rabbit mAb and ProLong Gold Antifade Reagent with DAPI #8961 (blue).
undefined Image 46: HSP/Chaperone Antibody Sampler Kit
Confocal immunofluorescent analysis of fixed frozen mouse lung using PDI (C81H6) Rabbit mAb and ProLong Gold Antifade Reagent with DAPI #8961 (blue).
undefined Image 47: HSP/Chaperone Antibody Sampler Kit
Simple Western™ analysis of lysates (0.1 mg/mL) from HeLa cells using HSP90 (C45G5) Rabbit mAb #4877. The virtual lane view (left) shows the target band (as indicated) at 1:10 and 1:50 dilutions of primary antibody. The corresponding electropherogram view (right) plots chemiluminescence by molecular weight along the capillary at 1:10 (blue line) and 1:50 (green line) dilutions of primary antibody. This experiment was performed under reducing conditions on the Jess™ Simple Western instrument from ProteinSimple, a BioTechne brand, using the 12-230 kDa separation module.
undefined Image 48: HSP/Chaperone Antibody Sampler Kit
Orders: 877-616-CELL (2355) [email protected] Support: 877-678-TECH (8324) [email protected] Web: cellsignal.com
For Research Use Only. Not for Use in Diagnostic Procedures.