Revision 1

#55091

Store at -20C

CST Logo
Orders:

877-616-CELL (2355)

[email protected]

Support:

877-678-TECH (8324)

3 Trask Lane | Danvers | Massachusetts | 01923 | USA

For Research Use Only. Not for Use in Diagnostic Procedures.

Applications:
W, IHC-P, IF-IC

Reactivity:
H R

Sensitivity:
Endogenous

MW (kDa):
17

Source/Isotype:
Rabbit IgG

UniProt ID:
#O14558

Entrez-Gene Id:
126393

Product Usage Information

Application Dilution
Western Blotting 1:1000
Immunohistochemistry (Paraffin) 1:50 - 1:200
Immunofluorescence (Immunocytochemistry) 1:200 - 1:800

Storage

Supplied in 10 mM sodium HEPES (pH 7.5), 150 mM NaCl, 100 µg/mL BSA, 50% glycerol, and less than 0.02% sodium azide. Store at –20°C. Do not aliquot the antibody.

Specificity/Sensitivity

HSP20 (E6O7A) Rabbit Monoclonal Antibody recognizes endogenous levels of total HSP20 protein.

Source / Purification

Monoclonal antibody is produced by immunizing animals with a synthetic peptide corresponding to residues surrounding Pro25 of human HSP20 protein.

Background

The small heat shock protein 20 (HSP20/HSPB6) is a ubiquitously expressed molecular chaperone, with higher levels found in skeletal, cardiac, and smooth muscle (1). HSP20 plays a cardioprotective role in response to injury through cardiac β-adrenergic signaling, which induces increased HSP20 protein expression and phosphorylation at Ser16 by PKA (2-4). Phosphorylation of HSP20 at Ser16 protects cells from undergoing apoptosis (5) and mediates HSP20 interaction with the cytoskeleton (6). Constitutive phosphorylation of HSP20 at Ser16 in mice leads to fibrosis and heart failure through interleukin-6 (IL-6) and STAT3 signaling (7).

Species Reactivity

Species reactivity is determined by testing in at least one approved application (e.g., western blot).

Western Blot Buffer

IMPORTANT: For western blots, incubate membrane with diluted primary antibody in 5% w/v BSA, 1X TBS, 0.1% Tween® 20 at 4°C with gentle shaking, overnight.

Applications Key

W: Western Blotting IHC-P: Immunohistochemistry (Paraffin) IF-IC: Immunofluorescence (Immunocytochemistry)

Cross-Reactivity Key

H: Human R: Rat

Trademarks and Patents

Cell Signaling Technology is a trademark of Cell Signaling Technology, Inc.

SignalStain is a registered trademark of Cell Signaling Technology, Inc.

All other trademarks are the property of their respective owners. Visit cellsignal.com/trademarks for more information.

Limited Uses

Except as otherwise expressly agreed in a writing signed by a legally authorized representative of CST, the following terms apply to Products provided by CST, its affiliates or its distributors. Any Customer's terms and conditions that are in addition to, or different from, those contained herein, unless separately accepted in writing by a legally authorized representative of CST, are rejected and are of no force or effect.

Products are labeled with For Research Use Only or a similar labeling statement and have not been approved, cleared, or licensed by the FDA or other regulatory foreign or domestic entity, for any purpose. Customer shall not use any Product for any diagnostic or therapeutic purpose, or otherwise in any manner that conflicts with its labeling statement. Products sold or licensed by CST are provided for Customer as the end-user and solely for research and development uses. Any use of Product for diagnostic, prophylactic or therapeutic purposes, or any purchase of Product for resale (alone or as a component) or other commercial purpose, requires a separate license from CST. Customer shall (a) not sell, license, loan, donate or otherwise transfer or make available any Product to any third party, whether alone or in combination with other materials, or use the Products to manufacture any commercial products, (b) not copy, modify, reverse engineer, decompile, disassemble or otherwise attempt to discover the underlying structure or technology of the Products, or use the Products for the purpose of developing any products or services that would compete with CST products or services, (c) not alter or remove from the Products any trademarks, trade names, logos, patent or copyright notices or markings, (d) use the Products solely in accordance with CST Product Terms of Sale and any applicable documentation, and (e) comply with any license, terms of service or similar agreement with respect to any third party products or services used by Customer in connection with the Products.

Orders: 877-616-CELL (2355) [email protected] Support: 877-678-TECH (8324) [email protected] Web: cellsignal.com
For Research Use Only. Not for Use in Diagnostic Procedures.

Revision 1

Cell Signaling Technology Logo
Western blot analysis of extracts from human and rat heart and cerebellum tissue using HSP20 (E6O7A) XP® Rabbit mAb (upper) or GAPDH (D16H11) XP® Rabbit mAb #5174 (lower). High expression of HSP20 protein in heart tissue is consistent with the predicted expression pattern.
Western Blotting Image 1: HSP20 (E6O7A) Rabbit Monoclonal Antibody
Western blot analysis of extracts from various cell lines using HSP20 (E6O7A) XP® Rabbit mAb (upper) or GAPDH (D16H11) XP® Rabbit mAb #5174 (lower). Low expression of HSP20 protein in OVCAR-8 and A-375 cells is consistent with the predicted expression pattern.
Western Blotting Image 2: HSP20 (E6O7A) Rabbit Monoclonal Antibody
Immunohistochemical analysis of paraffin-embedded human prostate adenocarcinoma using HSP20 (E6O7A)
XP® Rabbit mAb.
Immunohistochemistry Image 1: HSP20 (E6O7A) Rabbit Monoclonal Antibody
Orders: 877-616-CELL (2355) [email protected] Support: 877-678-TECH (8324) [email protected] Web: cellsignal.com
For Research Use Only. Not for Use in Diagnostic Procedures.

Revision 1

Cell Signaling Technology Logo
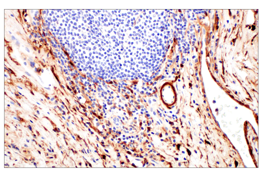
Immunohistochemical analysis of paraffin-embedded human small cell carcinoma of the salivary gland using HSP20 (E6O7A) XP® Rabbit mAb.
Immunohistochemistry Image 2: HSP20 (E6O7A) Rabbit Monoclonal Antibody
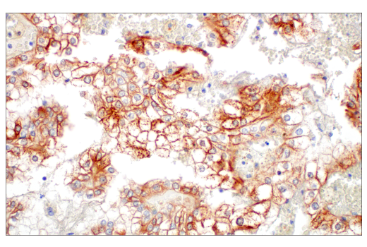
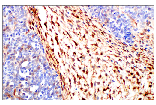
Immunohistochemical analysis of paraffin-embedded human renal cell carcinoma using HSP20 (E6O7A) XP® Rabbit mAb.
Immunohistochemistry Image 3: HSP20 (E6O7A) Rabbit Monoclonal Antibody
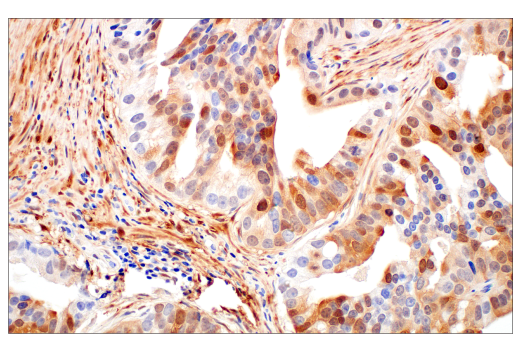
Immunohistochemical analysis of paraffin-embedded human ovarian serous adenocarcinoma using HSP20 (E6O7A) XP® Rabbit mAb.
Immunohistochemistry Image 4: HSP20 (E6O7A) Rabbit Monoclonal Antibody
Orders: 877-616-CELL (2355) [email protected] Support: 877-678-TECH (8324) [email protected] Web: cellsignal.com
For Research Use Only. Not for Use in Diagnostic Procedures.

Revision 1

Cell Signaling Technology Logo
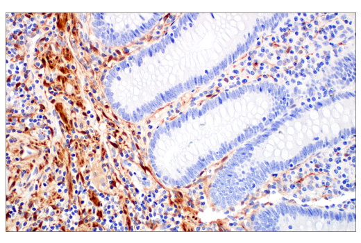
Immunohistochemical analysis of paraffin-embedded human appendix using HSP20 (E6O7A)
XP® Rabbit mAb.
Immunohistochemistry Image 5: HSP20 (E6O7A) Rabbit Monoclonal Antibody
Immunohistochemical analysis of paraffin-embedded normal human esophagus using HSP20 (E6O7A)
XP® Rabbit mAb.
Immunohistochemistry Image 6: HSP20 (E6O7A) Rabbit Monoclonal Antibody
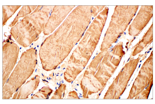
Immunohistochemical analysis of paraffin-embedded normal human skeletal muscle using HSP20 (E6O7A)
XP® Rabbit mAb.
Immunohistochemistry Image 7: HSP20 (E6O7A) Rabbit Monoclonal Antibody
Orders: 877-616-CELL (2355) [email protected] Support: 877-678-TECH (8324) [email protected] Web: cellsignal.com
For Research Use Only. Not for Use in Diagnostic Procedures.

Revision 1

Cell Signaling Technology Logo
Immunohistochemical analysis of paraffin-embedded normal human thymus using HSP20 (E6O7A)
XP® Rabbit mAb.
Immunohistochemistry Image 8: HSP20 (E6O7A) Rabbit Monoclonal Antibody
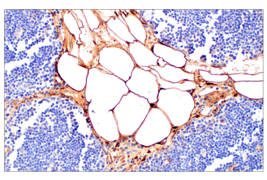
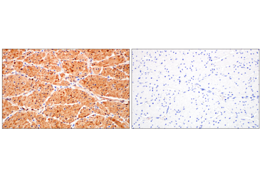
Immunohistochemical analysis of paraffin-embedded normal human smooth muscle using HSP20 (E6O7A) XP® Rabbit mAb (left) compared to concentration-matched Rabbit (DA1E) mAb IgG XP® Isotype Control #3900 (right). 
Immunohistochemistry Image 9: HSP20 (E6O7A) Rabbit Monoclonal Antibody
Immunohistochemical analysis of paraffin-embedded U-118 MG cell pellet (left, positive) or A-375 cell pellet (right, negative) using HSP20 (E6O7A) XP® Rabbit mAb.
Immunohistochemistry Image 10: HSP20 (E6O7A) Rabbit Monoclonal Antibody
Orders: 877-616-CELL (2355) [email protected] Support: 877-678-TECH (8324) [email protected] Web: cellsignal.com
For Research Use Only. Not for Use in Diagnostic Procedures.

Revision 1

Cell Signaling Technology Logo
Confocal immunofluorescent analysis of U-118 MG cells (left, positive) and A-375 cells (right, negative) using HSP20 (E6O7A) XP® Rabbit mAb (green), DyLight™ 650 Phalloidin #12956 (red), and DAPI #4083 (blue).
Immunofluorescence Image 1: HSP20 (E6O7A) Rabbit Monoclonal Antibody
Orders: 877-616-CELL (2355) [email protected] Support: 877-678-TECH (8324) [email protected] Web: cellsignal.com
For Research Use Only. Not for Use in Diagnostic Procedures.