Revision 4

#47289

Store at -20C

CST Logo
Orders:

877-616-CELL (2355)

[email protected]

Support:

877-678-TECH (8324)

3 Trask Lane | Danvers | Massachusetts | 01923 | USA

For Research Use Only. Not for Use in Diagnostic Procedures.

Applications:
W, IHC-P, IF-IC, ELISA

Reactivity:
H Mk

Sensitivity:
Endogenous

MW (kDa):
27

Source/Isotype:
Mouse IgG1

UniProt ID:
#P04792

Entrez-Gene Id:
3315

Product Usage Information

This product is the carrier free version of product #2402. All data were generated using the same antibody clone in the standard formulation which contains BSA and glycerol.

This formulation is ideal for use with technologies requiring specialized or custom antibody labeling, including fluorophores, metals, lanthanides, and oligonucleotides. It is not recommended for ChIP, ChIP-seq, CUT&RUN or CUT&Tag assays. If you require a carrier free formulation for chromatin profiling, please contact us. Optimal dilutions/concentrations should be determined by the end user.

BSA and Azide Free antibodies are quality control tested by size exclusion chromatography (SEC) to determine antibody integrity.

Formulation

Supplied in 1X PBS (10 mM Na2HPO4, 3 mM KCl, 2 mM KH2PO4, and 140 mM NaCl (pH 7.8)). BSA and Azide Free.

For standard formulation of this product see product #2402

Storage

Store at -20°C. This product will freeze at -20°C so it is recommended to aliquot into single-use vials to avoid multiple freeze/thaw cycles. A slight precipitate may be present and can be dissolved by gently vortexing. This will not interfere with antibody performance.

Specificity/Sensitivity

HSP27 (G31) Mouse Monoclonal Antibody (BSA and Azide Free) detects endogenous levels of total HSP27 protein. This antibody does not cross-react with other heat shock proteins. Non-specific staining was observed in red blood cells of few tissues by immunohistochemistry.

Source / Purification

Monoclonal antibody is produced by immunizing animals with full length HSP27 protein.

Background

Heat shock protein (HSP) 27 is one of the small HSPs that are constitutively expressed at different levels in various cell types and tissues. Like other small HSPs, HSP27 is regulated at both the transcriptional and posttranslational levels (1). In response to stress, the HSP27 expression increases several-fold to confer cellular resistance to the adverse environmental change. HSP27 is phosphorylated at Ser15, Ser78, and Ser82 by MAPKAPK-2 as a result of the activation of the p38 MAP kinase pathway (2,3). Phosphorylation of HSP27 causes a change in its tertiary structure, which shifts from large homotypic multimers to dimers and monomers (4). It has been shown that phosphorylation and increased concentration of HSP27 modulates actin polymerization and reorganization (5,6).

Species Reactivity

Species reactivity is determined by testing in at least one approved application (e.g., western blot).

Applications Key

W: Western Blotting IHC-P: Immunohistochemistry (Paraffin) IF-IC: Immunofluorescence (Immunocytochemistry) ELISA: ELISA

Cross-Reactivity Key

H: Human Mk: Monkey

Trademarks and Patents

Cell Signaling Technology is a trademark of Cell Signaling Technology, Inc.

All other trademarks are the property of their respective owners. Visit cellsignal.com/trademarks for more information.

Limited Uses

Except as otherwise expressly agreed in a writing signed by a legally authorized representative of CST, the following terms apply to Products provided by CST, its affiliates or its distributors. Any Customer's terms and conditions that are in addition to, or different from, those contained herein, unless separately accepted in writing by a legally authorized representative of CST, are rejected and are of no force or effect.

Products are labeled with For Research Use Only or a similar labeling statement and have not been approved, cleared, or licensed by the FDA or other regulatory foreign or domestic entity, for any purpose. Customer shall not use any Product for any diagnostic or therapeutic purpose, or otherwise in any manner that conflicts with its labeling statement. Products sold or licensed by CST are provided for Customer as the end-user and solely for research and development uses. Any use of Product for diagnostic, prophylactic or therapeutic purposes, or any purchase of Product for resale (alone or as a component) or other commercial purpose, requires a separate license from CST. Customer shall (a) not sell, license, loan, donate or otherwise transfer or make available any Product to any third party, whether alone or in combination with other materials, or use the Products to manufacture any commercial products, (b) not copy, modify, reverse engineer, decompile, disassemble or otherwise attempt to discover the underlying structure or technology of the Products, or use the Products for the purpose of developing any products or services that would compete with CST products or services, (c) not alter or remove from the Products any trademarks, trade names, logos, patent or copyright notices or markings, (d) use the Products solely in accordance with CST Product Terms of Sale and any applicable documentation, and (e) comply with any license, terms of service or similar agreement with respect to any third party products or services used by Customer in connection with the Products.

Orders: 877-616-CELL (2355) [email protected] Support: 877-678-TECH (8324) [email protected] Web: cellsignal.com
For Research Use Only. Not for Use in Diagnostic Procedures.

Revision 4

Cell Signaling Technology Logo
Western blot analysis of extracts from HeLa cells (lane 1) or HSP27 knock-out cells (lane 2) using HSP27 (G31) Mouse mAb #2402 (upper), and α-Actinin (D6F6) XP® Rabbit mAb #6487 (lower). The absence of signal in the HSP27 knock-out HeLa cells confirms specificity of the antibody for HSP27. Data were generated using the standard formulation of this product.
Western Blotting Image 1: HSP27 (G31) Mouse Monoclonal Antibody (BSA and Azide Free)
Western blot analysis of extracts from HeLa and COS-7 cells using HSP27 (G31) Mouse mAb. Data were generated using the standard formulation of this product.
Western Blotting Image 2: HSP27 (G31) Mouse Monoclonal Antibody (BSA and Azide Free)
Western blot analysis of extracts from HeLa cells, transfected with 100 nM SignalSilence® Control siRNA (Fluorescein Conjugate) #6201 (-) or SignalSilence® HSP27 siRNA I (+) using HSP27 (G31) Mouse mAb and p44/42 MAPK (Erk1/2) (3A7) Mouse mAb #9107. The HSP27 (G31) Mouse mAb confirms silencing of HSP27 expression, while the p44/42 MAPK (Erk1/2) (3A7) Mouse mAb is used to control for loading and specificity of HSP27 siRNA. Data were generated using the standard formulation of this product.
Western Blotting Image 3: HSP27 (G31) Mouse Monoclonal Antibody (BSA and Azide Free)
Orders: 877-616-CELL (2355) [email protected] Support: 877-678-TECH (8324) [email protected] Web: cellsignal.com
For Research Use Only. Not for Use in Diagnostic Procedures.

Revision 4

Cell Signaling Technology Logo
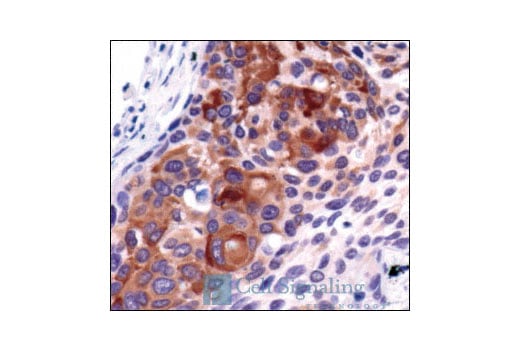
Immunohistochemical analysis of paraffin-embedded human endometrioid adenocarcinoma using HSP27 (G31) Mouse mAb. Data were generated using the standard formulation of this product.
Immunohistochemistry Image 1: HSP27 (G31) Mouse Monoclonal Antibody (BSA and Azide Free)
Immunohistochemical analysis of paraffin-embedded human thymoma using HSP27 (G31) Mouse mAb. Data were generated using the standard formulation of this product.
Immunohistochemistry Image 2: HSP27 (G31) Mouse Monoclonal Antibody (BSA and Azide Free)
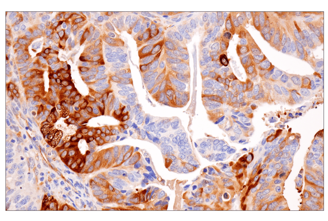
Immunohistochemical analysis of paraffin-embedded human lung carcinoma, using HSP27 (G31) Mouse mAb. Data were generated using the standard formulation of this product.
Immunohistochemistry Image 3: HSP27 (G31) Mouse Monoclonal Antibody (BSA and Azide Free)
Orders: 877-616-CELL (2355) [email protected] Support: 877-678-TECH (8324) [email protected] Web: cellsignal.com
For Research Use Only. Not for Use in Diagnostic Procedures.

Revision 4

Cell Signaling Technology Logo
Immunohistochemical analysis of paraffin-embedded human breast carcinoma, untreated (left panels) or lambda phosphatase-treated (right panels), using Phospho-HSP27 (Ser82) Antibody #2401 (upper panels) or HSP27 (G31) Mouse mAb (lower panels). Data were generated using the standard formulation of this product.
Immunohistochemistry Image 4: HSP27 (G31) Mouse Monoclonal Antibody (BSA and Azide Free)
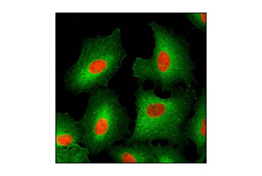
Confocal immunofluorescent analysis of A549 cells using HSP27 (G31) Mouse mAb (green). Red = Propidium iodide (fluorescent DNA dye). Data were generated using the standard formulation of this product.
Immunofluorescence Image 1: HSP27 (G31) Mouse Monoclonal Antibody (BSA and Azide Free)
Data using Phospho-HSP27 (Ser82) Matched Antibody Pair #89161 are shown. The two antibodies function as a capture-target-detection sandwich (#47289 and #64293, respectively) to detect endogenous protein expression in positive and negative controls.
ELISA Image 1: HSP27 (G31) Mouse Monoclonal Antibody (BSA and Azide Free)
Orders: 877-616-CELL (2355) [email protected] Support: 877-678-TECH (8324) [email protected] Web: cellsignal.com
For Research Use Only. Not for Use in Diagnostic Procedures.

Revision 4

Cell Signaling Technology Logo
Data using Total HSP27 Matched Antibody Pair #97914 are shown. The two antibodies function as a capture-target-detection sandwich (#38908 and #47289, respectively) to detect endogenous protein expression in treated and untreated cells.
ELISA Image 2: HSP27 (G31) Mouse Monoclonal Antibody (BSA and Azide Free)
Orders: 877-616-CELL (2355) [email protected] Support: 877-678-TECH (8324) [email protected] Web: cellsignal.com
For Research Use Only. Not for Use in Diagnostic Procedures.