Revision 1

#43049

Store at -20C

CST Logo
Orders:

877-616-CELL (2355)

[email protected]

Support:

877-678-TECH (8324)

3 Trask Lane | Danvers | Massachusetts | 01923 | USA

For Research Use Only. Not for Use in Diagnostic Procedures.

Product Includes Product # Quantity Mol. Wt Isotype/Source
CD3 epsilon (D7A6E) Rabbit Monoclonal Antibody8506120 µl23 kDaRabbit IgG
CD8 alpha (D8A8Y) Rabbit Monoclonal Antibody8533620 µl29 kDaRabbit IgG
Tox/Tox2 (E6I3Q) Rabbit Monoclonal Antibody7375820 µl60-80 kDaRabbit IgG
TCF1/TCF7 (C63D9) Rabbit Monoclonal Antibody220320 µl48, 50 kDaRabbit IgG
Granzyme B (D6E9W) Rabbit Monoclonal Antibody4689020 µl30 kDaRabbit IgG
PD-1 (Intracellular Domain) (D4W2J) Rabbit Monoclonal Antibody8616320 µl52-65 kDaRabbit IgG
TIGIT (E5Y1W) Rabbit Monoclonal Antibody9956720 µl18, 30-40 kDaRabbit IgG
TIM-3 (D5D5R) Rabbit Monoclonal Antibody4520820 µl45-70 kDaRabbit IgG
LAG3 (D2G4O) Rabbit Monoclonal Antibody1537220 µl60-80 kDaRabbit IgG
Anti-rabbit IgG, HRP-linked Antibody7074100 µlGoat

Please visit cellsignal.com for individual component applications, species cross-reactivity, dilutions, protocols, and additional product information.

Description

The Human Exhausted CD8+ T Cell IHC Antibody Sampler Kit provides an economical means of characterizing the extent of exhaustion in T cells in formalin-fixed, paraffin-embedded tissue samples.

Storage

Supplied in 10 mM sodium HEPES (pH 7.5), 150 mM NaCl, 100 µg/ml BSA, 50% glycerol and less than 0.02% sodium azide. Store at –20°C. Do not aliquot the antibodies.

Background

Cluster of Differentiation 3 (CD3) is a multiunit protein complex expressed on the surface of T cells that directly associates with the T cell receptor (TCR). CD3 is composed of four polypeptides: ζ, γ, ε, and δ. Engagement of the TCR complex with antigens presented in major histocompatibility complexes induces tyrosine phosphorylation in the immunoreceptor tyrosine-based activation motif (ITAM) of CD3 proteins. CD3 phosphorylation is required for downstream signaling through ZAP-70 and p85 subunit of PI-3 kinase, leading to T cell activation, proliferation, and effector functions (1). CD8 is a transmembrane glycoprotein expressed primarily on cytotoxic T cells, but has also been described on a subset of dendritic cells in mice (2,3). On T cells, CD8 is a co-receptor for the TCR, and these two distinct structures are required to recognize antigen bound to MHC Class I. CD8 ensures specificity of the TCR–antigen interaction, prolongs the contact between the T cell and the antigen presenting cell, and recruits the tyrosine kinase Lck, which is essential for T cell activation (2).


Tox, Tox2, and TCF1/TCF7 play key roles in T cell development. Tox is also induced by high antigen stimulation during chronic viral infection or cancer, regulating T cell persistence and exhaustion. TCF1/TCF7 preserves the effector function of exhausted T cells during viral infection or cancer. EOMES is a key transcription factor for memory T cells and for full effector differentiation of CD8+ T cells. The dynamic expression of these transcription factors help characterize the extent to which a T cell is exhausted and will respond to antigen stimulation (4-8). Granzyme B is a serine protease expressed by cytotoxic T lymphocytes and natural killer (NK) cells and is a key component of immune responses to pathogens and transformed cells (9).

PD-1 (PDCD1, CD279), TIGIT (VSIG9, VSTM3), TIM-3 (HAVCR2), and LAG3 (CD223) are immune cell co-inhibitory receptors (also known as immune checkpoints) that negatively regulate T cell function and dampen the immune response to pathogens and cancer (10-15). In addition to activated T cells, PD-1 is expressed by activated B cells and monocytes. Following interaction with its ligands, PD-L1 and PD-L2, PD-1 is phosphorylated at ITIM and ITSM motifs leading to recruitment of protein tyrosine phosphatases SHP-1 and SHP-2 and suppression of TCR signaling. TIGIT is expressed at low levels on subsets of T cells and NK cells, and is upregulated at the protein level following activation of these cells. TIGIT marks exhausted T cells in the tumor microenvironment and during human immunodeficiency virus (HIV) infection. TIM-3 is expressed by exhausted T cells in the settings of chronic infection and cancer. Tumor-infiltrating macrophages and dendritic cells also express TIM-3. LAG3 is primarily expressed by activated CD4+ T cells, CD8+ T cells, FoxP3+ T regulatory cells (Tregs), and natural killer (NK) cells. Co-expression of multiple immune checkpoints help characterize the extent to which a T cell is exhausted and will respond to antigen stimulation. Therapeutic blockade of several of these immune checkpoint receptors is a promising strategy for neoplastic intervention by enabling anti-tumor immune responses (10-15).

Trademarks and Patents

Cell Signaling Technology is a trademark of Cell Signaling Technology, Inc.

U.S. Patent No. 7,429,487, foreign equivalents, and child patents deriving therefrom.

All other trademarks are the property of their respective owners. Visit cellsignal.com/trademarks for more information.

Limited Uses

Except as otherwise expressly agreed in a writing signed by a legally authorized representative of CST, the following terms apply to Products provided by CST, its affiliates or its distributors. Any Customer's terms and conditions that are in addition to, or different from, those contained herein, unless separately accepted in writing by a legally authorized representative of CST, are rejected and are of no force or effect.

Products are labeled with For Research Use Only or a similar labeling statement and have not been approved, cleared, or licensed by the FDA or other regulatory foreign or domestic entity, for any purpose. Customer shall not use any Product for any diagnostic or therapeutic purpose, or otherwise in any manner that conflicts with its labeling statement. Products sold or licensed by CST are provided for Customer as the end-user and solely for research and development uses. Any use of Product for diagnostic, prophylactic or therapeutic purposes, or any purchase of Product for resale (alone or as a component) or other commercial purpose, requires a separate license from CST. Customer shall (a) not sell, license, loan, donate or otherwise transfer or make available any Product to any third party, whether alone or in combination with other materials, or use the Products to manufacture any commercial products, (b) not copy, modify, reverse engineer, decompile, disassemble or otherwise attempt to discover the underlying structure or technology of the Products, or use the Products for the purpose of developing any products or services that would compete with CST products or services, (c) not alter or remove from the Products any trademarks, trade names, logos, patent or copyright notices or markings, (d) use the Products solely in accordance with CST Product Terms of Sale and any applicable documentation, and (e) comply with any license, terms of service or similar agreement with respect to any third party products or services used by Customer in connection with the Products.

Orders: 877-616-CELL (2355) [email protected] Support: 877-678-TECH (8324) [email protected] Web: cellsignal.com
For Research Use Only. Not for Use in Diagnostic Procedures.

Revision 1

Cell Signaling Technology Logo
Western blot analysis of extracts from HDLM-2, HuT 78, and Jurkat cells using LAG3 (D2G4O) XP® Rabbit mAb (upper) and β-Actin (D6A8) Rabbit mAb #8457 (lower).
undefined Image 1: Human Exhausted CD8<sup>+</sup> T Cell IHC Antibody Sampler Kit
Western blot analysis of total cell lysates from HT29, Colo201, Jurkat and mouse thymocytes using TCF1/TCF7 (C63D9) Rabbit mAb.
undefined Image 2: Human Exhausted CD8<sup>+</sup> T Cell IHC Antibody Sampler Kit
Western blot analysis of extracts from primary human CD4+ T cells and various cell lines using TIM-3 (D5D5R) Rabbit mAb (upper) or β-Actin (D6A8) Rabbit mAb #8457 (lower). CD4+ T cells were purified from human blood and stimulated for 9 days using beads coated with CD3 and CD28 antibodies in the presence of Human Interleukin-2 (hIL-2) (6.7 ng/ml).
undefined Image 3: Human Exhausted CD8<sup>+</sup> T Cell IHC Antibody Sampler Kit
Orders: 877-616-CELL (2355) [email protected] Support: 877-678-TECH (8324) [email protected] Web: cellsignal.com
For Research Use Only. Not for Use in Diagnostic Procedures.

Revision 1

Cell Signaling Technology Logo
Western blot analysis of extracts from various human cells using Granzyme B (D6E9W) Rabbit mAb (upper) and β-actin (D6A8) Rabbit mAb #8457 (lower). CD8+ T cells were purified from human blood and stimulated for 9 days using beads coated with CD3 and CD28 antibodies in the presence of human interleukin-2 (hIL-2) (20 ng/ml). KARPAS cell line source: Dr. Abraham Karpas at the University of Cambridge.
undefined Image 4: Human Exhausted CD8<sup>+</sup> T Cell IHC Antibody Sampler Kit
After the primary antibody is bound to the target protein, a complex with HRP-linked secondary antibody is formed. The LumiGLO® is added and emits light during enzyme catalyzed decomposition.
undefined Image 5: Human Exhausted CD8<sup>+</sup> T Cell IHC Antibody Sampler Kit
Western blot analysis of extracts from human and mouse cell lines and rat tissue using Tox/Tox2 (E6I3Q) Rabbit mAb (upper) and β-Actin (D6A8) Rabbit mAb #8457 (lower).
undefined Image 6: Human Exhausted CD8<sup>+</sup> T Cell IHC Antibody Sampler Kit
Orders: 877-616-CELL (2355) [email protected] Support: 877-678-TECH (8324) [email protected] Web: cellsignal.com
For Research Use Only. Not for Use in Diagnostic Procedures.

Revision 1

Cell Signaling Technology Logo
Western blot analysis of extracts from MOLT-4, HuT 102, and PC-3 cells using CD3ε (D7A6E) Rabbit mAb (upper) or β-Actin (D6A8) Rabbit mAb #8457 (lower).
undefined Image 7: Human Exhausted CD8<sup>+</sup> T Cell IHC Antibody Sampler Kit
Western blot analysis of extracts from MOLT-4 and PC-3 cells using CD8α (D8A8Y) Rabbit mAb (upper) and β-Actin (D6A8) Rabbit mAb #8457 (lower).
undefined Image 8: Human Exhausted CD8<sup>+</sup> T Cell IHC Antibody Sampler Kit
Western blot analysis of extracts from human CD4+ T cells, MOLT-4, and Jurkat cells using PD-1 (Intracellular Domain) (D4W2J) XP® Rabbit mAb (upper), and β-Actin (D6A8) Rabbit mAb #8457 (lower). CD4+ T cells were purified from human blood and stimulated for 9 days using beads coated with CD3 and CD28 antibodies in the presence of human interleukin-2 (hIL-2) (6.7 ng/ml).
undefined Image 9: Human Exhausted CD8<sup>+</sup> T Cell IHC Antibody Sampler Kit
Orders: 877-616-CELL (2355) [email protected] Support: 877-678-TECH (8324) [email protected] Web: cellsignal.com
For Research Use Only. Not for Use in Diagnostic Procedures.

Revision 1

Cell Signaling Technology Logo
Western blot analysis of extracts from human CD8+ T cells and various human cell lines using TIGIT (E5Y1W) XP® Rabbit mAb (upper) and β-Actin (D6A8) Rabbit mAb #8457 (lower).
undefined Image 10: Human Exhausted CD8<sup>+</sup> T Cell IHC Antibody Sampler Kit
Immunohistochemical analysis of paraffin-embedded human breast ductal carcinoma using LAG3 (D2G4O) XP® Rabbit mAb performed on the Leica® Bond™ Rx.
undefined Image 11: Human Exhausted CD8<sup>+</sup> T Cell IHC Antibody Sampler Kit
Immunohistochemical analysis of paraffin-embedded human Non-Hodgkin lymphoma using TCF1/TCF7 (C63D9) Rabbit mAb.
undefined Image 12: Human Exhausted CD8<sup>+</sup> T Cell IHC Antibody Sampler Kit
Orders: 877-616-CELL (2355) [email protected] Support: 877-678-TECH (8324) [email protected] Web: cellsignal.com
For Research Use Only. Not for Use in Diagnostic Procedures.

Revision 1

Cell Signaling Technology Logo
Western blot analysis of extracts from various cell lines using TIM-3 (D5D5R) Rabbit mAb #45208 (upper) or β-Actin (D6A8) Rabbit mAb #8457 (lower).
undefined Image 13: Human Exhausted CD8<sup>+</sup> T Cell IHC Antibody Sampler Kit
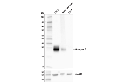
Western blot analysis of extracts from CTLL-2, mouse CD8+ T, and C2C12 cells using Granzyme B (D6E9W) Rabbit mAb (upper) and β-actin (D6A8) Rabbit mAb #8457 (lower). CD8+ T cells were purified from mouse spleens and stimulated for 9 days using beads coated with mouse CD3 and CD28 antibodies in the presence of Mouse Interleukin-2 (mIL-2) (20 ng/ml).
undefined Image 14: Human Exhausted CD8<sup>+</sup> T Cell IHC Antibody Sampler Kit
Western blot analysis of extracts from 293T cells, mock transfected (-) or transfected (+) with constructs expressing Myc/DDK-tagged full-length human Tox protein (hTox-Myc/DDK), Myc/DDK-tagged full-length human Tox2 protein (hTox2-Myc/DDK), Myc/DDK-tagged full-length human Tox3 protein (hTox3-Myc/DDK), or Myc/DDK-tagged full-length human Tox4 protein (hTox4-Myc/DDK), using Tox/Tox2 (E6I3Q) Rabbit mAb (upper), Myc-Tag (71D10) Rabbit mAb #2278 (middle), and β-Actin (D6A8) Rabbit mAb #8457 (lower).
undefined Image 15: Human Exhausted CD8<sup>+</sup> T Cell IHC Antibody Sampler Kit
Orders: 877-616-CELL (2355) [email protected] Support: 877-678-TECH (8324) [email protected] Web: cellsignal.com
For Research Use Only. Not for Use in Diagnostic Procedures.

Revision 1

Cell Signaling Technology Logo
Immunohistochemical analysis of paraffin-embedded human mucoepidermoid carcinoma of the larynx using CD3ε (D7A6E) Rabbit mAb performed on the Leica® BOND™ Rx.
undefined Image 16: Human Exhausted CD8<sup>+</sup> T Cell IHC Antibody Sampler Kit
Immunohistochemical analysis of paraffin-embedded human Crohn's diseased colon using CD8a (D8A8Y) Rabbit mAb.
undefined Image 17: Human Exhausted CD8<sup>+</sup> T Cell IHC Antibody Sampler Kit
Immunoprecipitation of PD-1 protein from Molt-4 cell extracts. Lane 1 is 10% input, lane 2 is Rabbit (DA1E) mAb IgG XP® Isotype Control #3900, and lane 3 is PD-1 (Intracellular Domain) (D4W2J) XP® Rabbit mAb. Western blot analysis was performed using PD-1 (Intracellular Domain) (D4W2J) XP® Rabbit mAb.
undefined Image 18: Human Exhausted CD8<sup>+</sup> T Cell IHC Antibody Sampler Kit
Orders: 877-616-CELL (2355) [email protected] Support: 877-678-TECH (8324) [email protected] Web: cellsignal.com
For Research Use Only. Not for Use in Diagnostic Procedures.

Revision 1

Cell Signaling Technology Logo
Immunoprecipitation of TIGIT protein from MJ [G11] cell extracts. Lane 1 is 10% input, lane 2 is Rabbit (DA1E) mAb IgG XP® Isotype Control #3900, and lane 3 is TIGIT (E5Y1W) XP® Rabbit mAb. Western blot analysis was performed using TIGIT (E5Y1W) XP® Rabbit mAb. Mouse Anti-rabbit IgG (Conformation Specific) (L27A9) mAb (HRP Conjugate) #5127 was used as the secondary antibody.
undefined Image 19: Human Exhausted CD8<sup>+</sup> T Cell IHC Antibody Sampler Kit
Immunohistochemical analysis of paraffin-embedded HDLM-2 (left) and PC-3 (right) cell pellets on SignalSlide® PD-L1 IHC Controls #13747 using LAG3 (D2G4O) XP® Rabbit mAb.
undefined Image 20: Human Exhausted CD8<sup>+</sup> T Cell IHC Antibody Sampler Kit
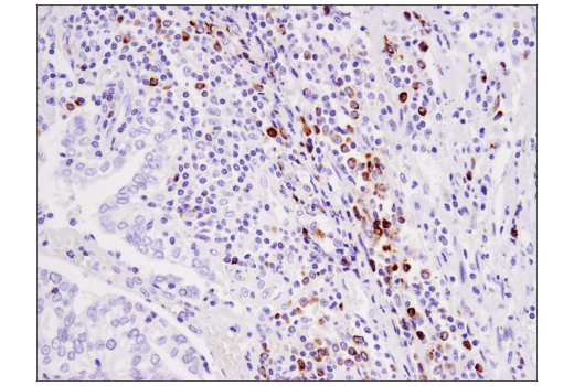
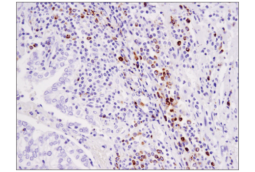
Immunohistochemical analysis of paraffin-embedded human lung carcinoma using TCF1/TCF7 (C63D9) Rabbit mAb in the presence of control peptide (left) or TCF1/TCF7 blocking peptide #1007 (right).
undefined Image 21: Human Exhausted CD8<sup>+</sup> T Cell IHC Antibody Sampler Kit
Orders: 877-616-CELL (2355) [email protected] Support: 877-678-TECH (8324) [email protected] Web: cellsignal.com
For Research Use Only. Not for Use in Diagnostic Procedures.

Revision 1

Cell Signaling Technology Logo
Immunohistochemical analysis of paraffin-embedded renal clear cell carcinoma using TIM-3 (D5D5R) Rabbit mAb performed on the Leica® BOND™ Rx.
undefined Image 22: Human Exhausted CD8<sup>+</sup> T Cell IHC Antibody Sampler Kit
Immunohistochemical analysis of paraffin-embedded human colon adenocarinoma using Granzyme B (D6E9W) Rabbit mAb performed on the Leica® BOND™ Rx.
undefined Image 23: Human Exhausted CD8<sup>+</sup> T Cell IHC Antibody Sampler Kit
Immunoprecipitation of Tox/Tox2 protein from SU-DHL-4 cell extracts. Lane 1 is 10% input, lane 2 is Rabbit (DA1E) mAb IgG XP® Isotype Control #3900, and lane 3 is Tox/Tox2 (E6I3Q) Rabbit mAb. Western blot analysis was performed using Tox/Tox2 (E6I3Q) Rabbit mAb.
undefined Image 24: Human Exhausted CD8<sup>+</sup> T Cell IHC Antibody Sampler Kit
Orders: 877-616-CELL (2355) [email protected] Support: 877-678-TECH (8324) [email protected] Web: cellsignal.com
For Research Use Only. Not for Use in Diagnostic Procedures.

Revision 1

Cell Signaling Technology Logo
Immunohistochemical analysis of paraffin-embedded human endometrioid adenocarcinoma using CD3ε (D7A6E) Rabbit mAb performed on the Leica® BOND™ Rx.
undefined Image 25: Human Exhausted CD8<sup>+</sup> T Cell IHC Antibody Sampler Kit
Immunohistochemical analysis of paraffin-embedded human lung carcinoma using CD8a (D8A8Y) Rabbit mAb.
undefined Image 26: Human Exhausted CD8<sup>+</sup> T Cell IHC Antibody Sampler Kit
Immunohistochemical analysis of paraffin-embedded human infiltrating papillary carcinoma of the breast using PD-1 (Intracellular Domain) (D4W2J) XP® Rabbit mAb performed on the Leica® BOND™ Rx.
undefined Image 27: Human Exhausted CD8<sup>+</sup> T Cell IHC Antibody Sampler Kit
Orders: 877-616-CELL (2355) [email protected] Support: 877-678-TECH (8324) [email protected] Web: cellsignal.com
For Research Use Only. Not for Use in Diagnostic Procedures.

Revision 1

Cell Signaling Technology Logo
Immunohistochemical analysis of paraffin-embedded 293T cell pellets, control (left-top) or TIGIT-transfected (right-top), MJ [G11] cell pellet (left-bottom, positive), and purified CD8+ human peripheral blood mononuclear cell pellet (right-bottom, positive), using TIGIT (E5Y1W) XP® Rabbit mAb. CD8+ T cells were purified from human blood and stimulated for 7 days using beads coated with CD3 and CD28 antibodies in the presence of Human Interleukin-2 (hIL-2) (7 ng/mL).
undefined Image 28: Human Exhausted CD8<sup>+</sup> T Cell IHC Antibody Sampler Kit
Immunohistochemical analysis of paraffin-embedded human colitis using LAG3 (D2G4O) XP® Rabbit mAb.
undefined Image 29: Human Exhausted CD8<sup>+</sup> T Cell IHC Antibody Sampler Kit
Immunohistochemical analysis of paraffin-embedded human tonsil using TCF1/TCF7 (C63D9) Rabbit mAb.
undefined Image 30: Human Exhausted CD8<sup>+</sup> T Cell IHC Antibody Sampler Kit
Orders: 877-616-CELL (2355) [email protected] Support: 877-678-TECH (8324) [email protected] Web: cellsignal.com
For Research Use Only. Not for Use in Diagnostic Procedures.

Revision 1

Cell Signaling Technology Logo
Immunohistochemical analysis of paraffin-embedded human tonsil using TIM-3 (D5D5R) Rabbit mAb.
undefined Image 31: Human Exhausted CD8<sup>+</sup> T Cell IHC Antibody Sampler Kit
Immunohistochemical analysis of paraffin-embedded human colon carcinoma using Tox/Tox2 (E6I3Q) Rabbit mAb performed on the Leica® BOND™ Rx.
undefined Image 32: Human Exhausted CD8<sup>+</sup> T Cell IHC Antibody Sampler Kit
Immunohistochemical analysis of paraffin-embedded human tonsil using CD3ε (D7A6E) Rabbit mAb.
undefined Image 33: Human Exhausted CD8<sup>+</sup> T Cell IHC Antibody Sampler Kit
Orders: 877-616-CELL (2355) [email protected] Support: 877-678-TECH (8324) [email protected] Web: cellsignal.com
For Research Use Only. Not for Use in Diagnostic Procedures.

Revision 1

Cell Signaling Technology Logo
Immunohistochemical analysis of paraffin-embedded human lymphoma using CD8a (D8A8Y) Rabbit mAb.
undefined Image 34: Human Exhausted CD8<sup>+</sup> T Cell IHC Antibody Sampler Kit
Immunohistochemical analysis of paraffin-embedded human colon carcinoma using PD-1 (Intracellular Domain) (D4W2J) XP® Rabbit mAb.
undefined Image 35: Human Exhausted CD8<sup>+</sup> T Cell IHC Antibody Sampler Kit
Immunohistochemical analysis of paraffin-embedded human urothelial carcinoma using TIGIT (E5Y1W) XP® Rabbit mAb.
undefined Image 36: Human Exhausted CD8<sup>+</sup> T Cell IHC Antibody Sampler Kit
Orders: 877-616-CELL (2355) [email protected] Support: 877-678-TECH (8324) [email protected] Web: cellsignal.com
For Research Use Only. Not for Use in Diagnostic Procedures.

Revision 1

Cell Signaling Technology Logo
Immunohistochemical analysis of paraffin-embedded human tonsil using LAG3 (D2G4O) XP® Rabbit mAb.
undefined Image 37: Human Exhausted CD8<sup>+</sup> T Cell IHC Antibody Sampler Kit
Confocal immunofluorescent analysis of DLD-1 cells using TCF1/TCF7 (C63D9) Rabbit mAb (green). Actin filaments have been labeled with Alexa Fluor® 555 phalloidin (red).
undefined Image 38: Human Exhausted CD8<sup>+</sup> T Cell IHC Antibody Sampler Kit
Immunohistochemical analysis of paraffin-embedded human colon carcinoma using TIM-3 (D5D5R) Rabbit mAb.
undefined Image 39: Human Exhausted CD8<sup>+</sup> T Cell IHC Antibody Sampler Kit
Orders: 877-616-CELL (2355) [email protected] Support: 877-678-TECH (8324) [email protected] Web: cellsignal.com
For Research Use Only. Not for Use in Diagnostic Procedures.

Revision 1

Cell Signaling Technology Logo
Immunohistochemical analysis of paraffin-embedded human papillary carcinoma of the breast using Granzyme B (D6E9W) Rabbit mAb.
undefined Image 40: Human Exhausted CD8<sup>+</sup> T Cell IHC Antibody Sampler Kit
Immunohistochemical analysis of paraffin-embedded human colon carcinoma using Tox/Tox2 (E6I3Q) Rabbit mAb performed on the Leica® BOND™ Rx.
undefined Image 41: Human Exhausted CD8<sup>+</sup> T Cell IHC Antibody Sampler Kit
Immunohistochemical analysis of paraffin-embedded human breast carcinoma using CD3ε (D7A6E) Rabbit mAb.
undefined Image 42: Human Exhausted CD8<sup>+</sup> T Cell IHC Antibody Sampler Kit
Orders: 877-616-CELL (2355) [email protected] Support: 877-678-TECH (8324) [email protected] Web: cellsignal.com
For Research Use Only. Not for Use in Diagnostic Procedures.

Revision 1

Cell Signaling Technology Logo
Immunohistochemical analysis of paraffin-embedded normal rhesus monkey spleen using CD8α (D8A8Y) Rabbit mAb.
undefined Image 43: Human Exhausted CD8<sup>+</sup> T Cell IHC Antibody Sampler Kit
Immunohistochemical analysis of paraffin-embedded human B-cell non-Hodgkin lymphoma using PD-1 (Intracellular Domain) (D4W2J) XP® Rabbit mAb.
undefined Image 44: Human Exhausted CD8<sup>+</sup> T Cell IHC Antibody Sampler Kit
Immunohistochemical analysis of paraffin-embedded human colon adenocarcinoma using TIGIT (E5Y1W) XP® Rabbit mAb.
undefined Image 45: Human Exhausted CD8<sup>+</sup> T Cell IHC Antibody Sampler Kit
Orders: 877-616-CELL (2355) [email protected] Support: 877-678-TECH (8324) [email protected] Web: cellsignal.com
For Research Use Only. Not for Use in Diagnostic Procedures.

Revision 1

Cell Signaling Technology Logo
Multiplex immunohistochemical analysis of paraffin-embedded human breast carcinoma usng LAG3 (D2G4O) XP® rabbit mAb (magenta), PD-1 (D4W2J) XP® rabbit mAb #86163 (green), PD-L1 (E1L3N®) XP® rabbit mAb #13684 (red), TIM-3 (D5D5R™) XP® rabbit mAb #45208 (yellow), CD8α (C8/144B) mouse mAb #70306 (orange), and Pan-keratin (C11) mouse mAb #4545 (cyan).
undefined Image 46: Human Exhausted CD8<sup>+</sup> T Cell IHC Antibody Sampler Kit
Flow cytometric analysis of A20 cells (blue) and EL-4 cells (green) using TCF1/TCF7 (C63D9) Rabbit mAb (solid lines) or a concentration-matched Rabbit (DA1E) mAb IgG XP® Isotype Control #3900 (dashed lines). Anti-rabbit IgG (H+L), F(ab')2 Fragment (Alexa Fluor® 488 Conjugate) #4412 was used as a secondary antibody.
undefined Image 47: Human Exhausted CD8<sup>+</sup> T Cell IHC Antibody Sampler Kit
Immunohistochemical analysis of paraffin-embedded human lung carcinoma using TIM-3 (D5D5R) Rabbit mAb. Note staining of alveolar macrophages.
undefined Image 48: Human Exhausted CD8<sup>+</sup> T Cell IHC Antibody Sampler Kit
Orders: 877-616-CELL (2355) [email protected] Support: 877-678-TECH (8324) [email protected] Web: cellsignal.com
For Research Use Only. Not for Use in Diagnostic Procedures.

Revision 1

Cell Signaling Technology Logo
Immunohistochemical analysis of paraffin-embedded human renal cell carcinoma using Tox/Tox2 (E6I3Q) Rabbit mAb performed on the Leica® BOND™ Rx.
undefined Image 49: Human Exhausted CD8<sup>+</sup> T Cell IHC Antibody Sampler Kit
Immunohistochemical analysis of paraffin-embedded human non-Hodgkin lymphoma using CD3ε (D7A6E) Rabbit mAb.
undefined Image 50: Human Exhausted CD8<sup>+</sup> T Cell IHC Antibody Sampler Kit
Flow cytometric analysis of fixed and permeabilized human whole blood using CD8α (D8A8Y) Rabbit mAb co-stained with CD4-PE, showing a distinct CD8α positive population with no cross reactivity to CD4 positive cells. Anti-rabbit IgG (H+L), F(ab')2 Fragment (Alexa Fluor® 647 Conjugate) #4414 was used as a secondary antibody.
undefined Image 51: Human Exhausted CD8<sup>+</sup> T Cell IHC Antibody Sampler Kit
Orders: 877-616-CELL (2355) [email protected] Support: 877-678-TECH (8324) [email protected] Web: cellsignal.com
For Research Use Only. Not for Use in Diagnostic Procedures.

Revision 1

Cell Signaling Technology Logo
Immunohistochemical analysis of paraffin-embedded 293 cell pellets, control (left) or PD-1 transfected (right), using PD-1 (Intracellular Domain) (D4W2J) XP® Rabbit mAb.
undefined Image 52: Human Exhausted CD8<sup>+</sup> T Cell IHC Antibody Sampler Kit
Immunohistochemical analysis of paraffin-embedded human esophageal carcinoma using TIGIT (E5Y1W) XP® Rabbit mAb.
undefined Image 53: Human Exhausted CD8<sup>+</sup> T Cell IHC Antibody Sampler Kit
Multiplex immunohistochemical analysis of paraffin-embedded human lung adenocarcinoma using LAG3 (D2G4O) XP® rabbit mAb (orange), PD-1 (EH33) mouse mAb #43248 (green), CD8α (C8/144B) mouse mAb #70306 (magenta), CD68 (D4B9C) XP® rabbit mAb #76437 (red), Pan-keratin (C11) mouse mAb #4545 (cyan), and TIM-3 (D5D5R™) XP® rabbit mAb #45208 (yellow).
undefined Image 54: Human Exhausted CD8<sup>+</sup> T Cell IHC Antibody Sampler Kit
Orders: 877-616-CELL (2355) [email protected] Support: 877-678-TECH (8324) [email protected] Web: cellsignal.com
For Research Use Only. Not for Use in Diagnostic Procedures.

Revision 1

Cell Signaling Technology Logo
Immunohistochemical analysis of paraffin-embedded cell pellets, primary CD4+ T cells (left) and HT-29 cells (right), using TIM-3 (D5D5R) Rabbit mAb. CD4+ T cells were purified from human blood and stimulated for 7 days using beads coated with CD3 and CD28 antibodies in the presence of Human Interleukin-2 (hIL-2) (6.7 ng/ml).
undefined Image 55: Human Exhausted CD8<sup>+</sup> T Cell IHC Antibody Sampler Kit
Immunohistochemical analysis of paraffin-embedded KARPAS-299 cell pellet (left, positive) or Jurkat cell pellet (right, negative) using Granzyme B (D6E9W) Rabbit mAb. KARPAS cell line source: Dr. Abraham Karpas at the University of Cambridge.
undefined Image 56: Human Exhausted CD8<sup>+</sup> T Cell IHC Antibody Sampler Kit
Immunohistochemical analysis of paraffin-embedded human gastric adenocarcinoma using Tox/Tox2 (E6I3Q) Rabbit mAb performed on the Leica® BOND™ Rx.
undefined Image 57: Human Exhausted CD8<sup>+</sup> T Cell IHC Antibody Sampler Kit
Orders: 877-616-CELL (2355) [email protected] Support: 877-678-TECH (8324) [email protected] Web: cellsignal.com
For Research Use Only. Not for Use in Diagnostic Procedures.

Revision 1

Cell Signaling Technology Logo
Immunohistochemical analysis of paraffin-embedded normal cynomolgus monkey spleen using CD3ε (D7A6E) Rabbit mAb.
undefined Image 58: Human Exhausted CD8<sup>+</sup> T Cell IHC Antibody Sampler Kit
Multiplex immunohistochemical analysis of paraffin-embedded human breast carcinoma usng PD-1 (Intracellular Domain) (D4W2J) XP® rabbit mAb (green), PD-L1 (E1L3N®) XP® rabbit mAb #13684 (red), LAG3 (D2G4O™) XP® rabbit mAb #15372 (magenta), TIM-3 (D5D5R™) XP® rabbit mAb #45208 (yellow), CD8α (C8/144B) mouse mAb #70306 (orange), and Pan-keratin (C11) mouse mAb #4545 (cyan).
undefined Image 59: Human Exhausted CD8<sup>+</sup> T Cell IHC Antibody Sampler Kit
Immunohistochemical analysis of paraffin-embedded human squamous cell carcinoma of the tonsil using TIGIT (E5Y1W) XP® Rabbit mAb.
undefined Image 60: Human Exhausted CD8<sup>+</sup> T Cell IHC Antibody Sampler Kit
Orders: 877-616-CELL (2355) [email protected] Support: 877-678-TECH (8324) [email protected] Web: cellsignal.com
For Research Use Only. Not for Use in Diagnostic Procedures.

Revision 1

Cell Signaling Technology Logo
Multiplex immunohistochemical analysis of paraffin-embedded human ovarian carcinoma using LAG3 (D2G4O) XP® rabbit mAb (magenta), PD-1 (D4W2J) XP® rabbit mAb #86163 (green), B7-H3 (D9M2L) XP® rabbit mAb #14058 (red), B7-H4 (D1M8I) XP® rabbit mAb (cyan), TIM-3 (D5D5R™) XP® rabbit mAb #45208 (yellow), and VISTA (D1L2G™) XP® rabbit mAb #64953 (orange).
undefined Image 61: Human Exhausted CD8<sup>+</sup> T Cell IHC Antibody Sampler Kit
Chromatin immunoprecipitations were performed with cross-linked chromatin from mouse thymocytes and either TCF1/TCF7 (C63D9) Rabbit mAb or Normal Rabbit IgG #2729 using SimpleChIP® Plus Enzymatic Chromatin IP Kit (Magnetic Beads) #9005. The enriched DNA was quantified by real-time PCR using SimpleChIP® Mouse LEF1 Upstream Primers #80993 and SimpleChIP® Mouse MYT-1 Promoter Primers #8985. The amount of immunoprecipitated DNA in each sample is represented as signal relative to the total amount of input chromatin, which is equivalent to one.
undefined Image 62: Human Exhausted CD8<sup>+</sup> T Cell IHC Antibody Sampler Kit
Multiplex immunohistochemical analysis of paraffin-embedded human breast carcinoma usng TIM-3 (D5D5R) rabbit mAb (yellow), PD-1 (D4W2J) rabbit mAb #86163 (green), PD-L1 (E1L3N) rabbit mAb #13684 (red), LAG3 (D2G4O) rabbit mAb #15372 (magenta), CD8α (C8/144B) mouse mAb #70306 (orange), and Pan-keratin (C11) mouse mAb #4545 (cyan).
undefined Image 63: Human Exhausted CD8<sup>+</sup> T Cell IHC Antibody Sampler Kit
Orders: 877-616-CELL (2355) [email protected] Support: 877-678-TECH (8324) [email protected] Web: cellsignal.com
For Research Use Only. Not for Use in Diagnostic Procedures.

Revision 1

Cell Signaling Technology Logo
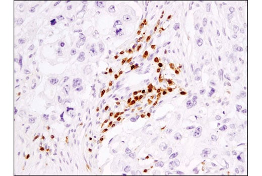
Immunohistochemical analysis of paraffin-embedded human colon carcinoma using Granzyme B (D6E9W) Rabbit mAb.
undefined Image 64: Human Exhausted CD8<sup>+</sup> T Cell IHC Antibody Sampler Kit
Immunohistochemical analysis of paraffin-embedded normal human spleen using Tox/Tox2 (E6I3Q) Rabbit mAb.
undefined Image 65: Human Exhausted CD8<sup>+</sup> T Cell IHC Antibody Sampler Kit
Immunohistochemical analysis of paraffin-embedded MOLT-4 (left) and PC-3 (right) cell pellets using CD3ε (D7A6E) Rabbit mAb.
undefined Image 66: Human Exhausted CD8<sup>+</sup> T Cell IHC Antibody Sampler Kit
Orders: 877-616-CELL (2355) [email protected] Support: 877-678-TECH (8324) [email protected] Web: cellsignal.com
For Research Use Only. Not for Use in Diagnostic Procedures.

Revision 1

Cell Signaling Technology Logo
Multiplex immunohistochemical analysis of paraffin-embedded human ovarian carcinoma using PD-1 (Intracellular Domain) (D4W2J) XP® rabbit mAb (green), B7-H3 (D9M2L) XP® rabbit mAb #14058 (red), B7-H4 (D1M8I) XP® rabbit mAb (cyan), LAG3 (D2G4O™) XP® rabbit mAb #15372 (magenta), TIM-3 (D5D5R™) XP® rabbit mAb #45208 (yellow), and VISTA (D1L2G™) XP® rabbit mAb #64953 (orange).
undefined Image 67: Human Exhausted CD8<sup>+</sup> T Cell IHC Antibody Sampler Kit
Immunohistochemical analysis of paraffin-embedded human non-small cell lung carcinoma using TIGIT (E5Y1W) XP® Rabbit mAb.
undefined Image 68: Human Exhausted CD8<sup>+</sup> T Cell IHC Antibody Sampler Kit
Multiplex immunohistochemical analysis of paraffin-embedded human lung adenocarcinoma using TIM-3 (D5D5R) rabbit mAb (yellow), PD-1 (EH33) mouse mAb #43248 (green), CD8α (C8/144B) mouse mAb #70306 (magenta), CD68 (D4B9C) rabbit mAb #76437 (red), Pan-keratin (C11) mouse mAb #4545 (cyan), and LAG3 (D2G4O) rabbit mAb #15372 (orange).
undefined Image 69: Human Exhausted CD8<sup>+</sup> T Cell IHC Antibody Sampler Kit
Orders: 877-616-CELL (2355) [email protected] Support: 877-678-TECH (8324) [email protected] Web: cellsignal.com
For Research Use Only. Not for Use in Diagnostic Procedures.

Revision 1

Cell Signaling Technology Logo
Immunohistochemical analysis of paraffin-embedded human non-Hodgkin lymphoma using Granzyme B (D6E9W) Rabbit mAb.
undefined Image 70: Human Exhausted CD8<sup>+</sup> T Cell IHC Antibody Sampler Kit
Immunohistochemical analysis of paraffin-embedded rat testis using Tox/Tox2 (E6I3Q) Rabbit mAb.
undefined Image 71: Human Exhausted CD8<sup>+</sup> T Cell IHC Antibody Sampler Kit
Immunohistochemical analysis of paraffin-embedded human B-cell non-Hodgkin lymphoma using TIGIT (E5Y1W) XP® Rabbit mAb (left) compared to concentration-matched Rabbit (DA1E) mAb IgG XP® Isotype Control #3900 (right).
undefined Image 72: Human Exhausted CD8<sup>+</sup> T Cell IHC Antibody Sampler Kit
Orders: 877-616-CELL (2355) [email protected] Support: 877-678-TECH (8324) [email protected] Web: cellsignal.com
For Research Use Only. Not for Use in Diagnostic Procedures.

Revision 1

Cell Signaling Technology Logo
Multiplex immunohistochemical analysis of paraffin-embedded human ovarian carcinoma using TIM-3 (D5D5R) rabbit mAb (yellow), PD-1 (D4W2J) rabbit mAb #86163 (green), B7-H3 (D9M2L) rabbit mAb #14058 (red), B7-H4 (D1M8I) rabbit mAb (cyan), LAG3 (D2G4O) rabbit mAb #15372 (magenta), and VISTA (D1L2G) rabbit mAb #64953 (orange).
undefined Image 73: Human Exhausted CD8<sup>+</sup> T Cell IHC Antibody Sampler Kit
Immunohistochemical analysis of paraffin-embedded rat spleen using Tox/Tox2 (E6I3Q) Rabbit mAb.
undefined Image 74: Human Exhausted CD8<sup>+</sup> T Cell IHC Antibody Sampler Kit
Flow cytometric analysis of fixed and permeabilized human peripheral blood mononuclear cells, untreated (left column) or treated with anti-CD3 (10ug/ml, 72hr) and anti-CD28 (5ug/ml, 72 hr; right column), using PD-1 (Intracellular Domain) (D4W2J) XP® Rabbit mAb #86163 (top row) or concentration-matched Rabbit (DA1E) mAb IgG XP® Isotype Control #3900 (bottom row), and co-stained with CD3 (UCHT1) Mouse mAb (APC Conjugate) #19881. Anti-rabbit IgG (H+L), F(ab')2 Fragment (Alexa Fluor® 488 Conjugate) #4412 was used as a secondary antibody.
undefined Image 75: Human Exhausted CD8<sup>+</sup> T Cell IHC Antibody Sampler Kit
Orders: 877-616-CELL (2355) [email protected] Support: 877-678-TECH (8324) [email protected] Web: cellsignal.com
For Research Use Only. Not for Use in Diagnostic Procedures.

Revision 1

Cell Signaling Technology Logo
Immunohistochemical analysis of paraffin-embedded human prostate adenocarcinoma using TIGIT (E5Y1W) XP® Rabbit mAb.
undefined Image 76: Human Exhausted CD8<sup>+</sup> T Cell IHC Antibody Sampler Kit
Western blot analysis of extracts from 293T cells, untransfected (-) or transfected with a construct expressing full-length human Myc/DDK-tagged TIM-3 (hTIM-3-Myc/DDK; +), using TIM-3 (D5D5R) Rabbit mAb.
undefined Image 77: Human Exhausted CD8<sup>+</sup> T Cell IHC Antibody Sampler Kit
Immunohistochemical analysis of paraffin-embedded rat small intestine using Tox/Tox2 (E6I3Q) Rabbit mAb.
undefined Image 78: Human Exhausted CD8<sup>+</sup> T Cell IHC Antibody Sampler Kit
Orders: 877-616-CELL (2355) [email protected] Support: 877-678-TECH (8324) [email protected] Web: cellsignal.com
For Research Use Only. Not for Use in Diagnostic Procedures.

Revision 1

Cell Signaling Technology Logo
Immunohistochemical analysis of paraffin-embedded human tonsil using TIGIT (E5Y1W) XP® Rabbit mAb.
undefined Image 79: Human Exhausted CD8<sup>+</sup> T Cell IHC Antibody Sampler Kit
Flow cytometric analysis of Jurkat cells (blue) and primary CD4+ T cells (green) using TIM-3 (D5D5R) Rabbit mAb (solid lines) or a concentration-matched Rabbit (DA1E) mAb IgG Isotype Control #3900 (dashed lines). Anti-rabbit IgG (H+L), F(ab')2 fragment (Alexa Fluor® 488 Conjugate) #4412 was used as a secondary antibody. CD4+ T cells were purified from human blood and stimulated for 9 days using beads coated with CD3 and CD28 antibodies in the presence of Human Interleukin-2 (hIL-2) #8907 (6.7 ng/ml).
undefined Image 80: Human Exhausted CD8<sup>+</sup> T Cell IHC Antibody Sampler Kit
Immunohistochemical analysis of paraffin-embedded SU-DHL-4 cell pellet (left, positive) or ZR-75-1 cell pellet (right, negative) using Tox/Tox2 (E6I3Q) Rabbit mAb.
undefined Image 81: Human Exhausted CD8<sup>+</sup> T Cell IHC Antibody Sampler Kit
Orders: 877-616-CELL (2355) [email protected] Support: 877-678-TECH (8324) [email protected] Web: cellsignal.com
For Research Use Only. Not for Use in Diagnostic Procedures.

Revision 1

Cell Signaling Technology Logo
Confocal immunofluorescent analysis of human CD8+ T cells using TIGIT (E5Y1W) XP® Rabbit mAb (green) and CD8α (RPA-T8) Mouse mAb (FITC Conjugate) #55397 (red pseudocolor). Samples were mounted in ProLong® Gold Antifade Reagent with DAPI #8961 (blue). CD8+ T cells were purified from human blood and stimulated for 7 days using beads coated with CD3 and CD28 antibodies in the presence of Human Interleukin-2 (hIL-2) (20 ng/mL).
undefined Image 82: Human Exhausted CD8<sup>+</sup> T Cell IHC Antibody Sampler Kit
Immunohistochemical analysis of paraffin-embedded human tonsil using Tox/Tox2 (E6I3Q) Rabbit mAb (left) compared to concentration-matched Rabbit (DA1E) mAb IgG XP® Isotype Control #3900 (right).
undefined Image 83: Human Exhausted CD8<sup>+</sup> T Cell IHC Antibody Sampler Kit
Confocal immunofluorescent analysis of MJ [G11] cells (left, positive) and IGROV-1 cells (right, negative) using TIGIT (E5Y1W) XP® Rabbit mAb (green). Samples were mounted in ProLong® Gold Antifade Reagent with DAPI #8961 (blue).
undefined Image 84: Human Exhausted CD8<sup>+</sup> T Cell IHC Antibody Sampler Kit
Orders: 877-616-CELL (2355) [email protected] Support: 877-678-TECH (8324) [email protected] Web: cellsignal.com
For Research Use Only. Not for Use in Diagnostic Procedures.

Revision 1

Cell Signaling Technology Logo
Immunohistochemical analysis of paraffin-embedded human endometrioid adenocarcinoma (left), human T-cell lymphoma (middle), or mouse spleen (right) using Tox/Tox2 (E6I3Q) Rabbit mAb (top) or Tox Rat mAb (bottom). These two antibodies detect independent, unique epitopes on human Tox. The similar staining patterns obtained with both antibodies help to confirm the specificity of the staining.
undefined Image 85: Human Exhausted CD8<sup>+</sup> T Cell IHC Antibody Sampler Kit
Confocal immunofluorescent analysis of fixed frozen lymph node from wild-type (left) Tcf7GFP flox (right; Jax Strain 030909) mice using TCF1/TCF7 (C63D9) Rabbit mAb #2203 (red) and CD4 (RM4-5) Rat mAb (redFluor™ 710 Conjugate) #75508 (blue). EGFP insertion around Tcf7 exon 2 interferes with expression of long isoforms, but not short isoforms.
undefined Image 86: Human Exhausted CD8<sup>+</sup> T Cell IHC Antibody Sampler Kit
Immunoprecipitation of TCF1/TCF7 protein from Jurkat cell extracts. Lane 1 is 10% input, lane 2 is Rabbit (DA1E) mAb IgG XP® Isotype Control #3900, and lane 3 is TCF1/TCF7 (C63D9) Rabbit mAb. Western blot analysis was performed using TCF1/TCF7 (C63D9) Rabbit mAb. Mouse Anti-rabbit IgG (Conformation Specific) (L27A9) mAb #3678 was used as a secondary antibody.
undefined Image 87: Human Exhausted CD8<sup>+</sup> T Cell IHC Antibody Sampler Kit
Orders: 877-616-CELL (2355) [email protected] Support: 877-678-TECH (8324) [email protected] Web: cellsignal.com
For Research Use Only. Not for Use in Diagnostic Procedures.

Revision 1

Cell Signaling Technology Logo
Flow cytometric analysis of human peripheral blood mononuclear cells using TCF1/TCF7 (C63D9) Rabbit mAb (right) or concentration-matched Rabbit (DA1E) mAb IgG XP® Isotype Control #3900 (left), co-stained with CD3 (UCHT1) Mouse mAb (APC Conjugate) #19881. Anti-rabbit IgG (H+L), F(ab')2 Fragment (Alexa Fluor® 488 Conjugate) #4412 was used as a secondary antibody.
undefined Image 88: Human Exhausted CD8<sup>+</sup> T Cell IHC Antibody Sampler Kit
Immunoprecipitation of TIM-3 from RPMI 8226 cell extracts. Lane 1 is 10% input, lane 2 is precipitated with Rabbit (DA1E) mAb IgG Isotype Control #3900, and lane 3 is TIM-3 (D5D5R) Rabbit mAb, #45208. Western blot was performed using TIM-3 (D5D5R) Rabbit mAb. Secondary detection was performed using #12291, Protein A (HRP Conjugate).
undefined Image 89: Human Exhausted CD8<sup>+</sup> T Cell IHC Antibody Sampler Kit
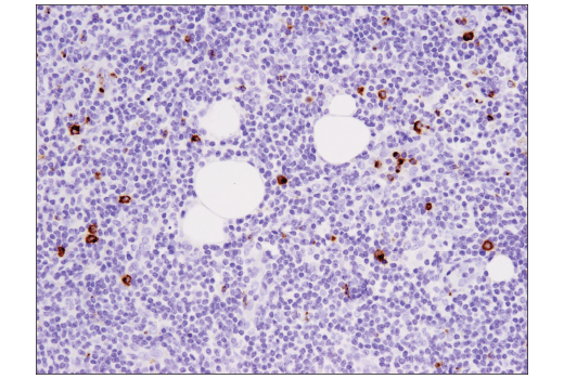
Immunohistochemical analysis of paraffin-embedded normal rhesus monkey spleen using Granzyme B (D6E9W) Rabbit mAb.
undefined Image 90: Human Exhausted CD8<sup>+</sup> T Cell IHC Antibody Sampler Kit
Orders: 877-616-CELL (2355) [email protected] Support: 877-678-TECH (8324) [email protected] Web: cellsignal.com
For Research Use Only. Not for Use in Diagnostic Procedures.

Revision 1

Cell Signaling Technology Logo
Confocal immunofluorescent analysis of Jurkat cells (left, positive) or Raji cells (right, negative) using CD3ε (D7A6E) Rabbit mAb (green) and DAPI #4083 (blue).
undefined Image 91: Human Exhausted CD8<sup>+</sup> T Cell IHC Antibody Sampler Kit
Confocal immunofluorescent analysis of MOLT-4 cells (left, positive) or HeLa cells (right, negative) using PD-1 (Intracellular Domain) (D4W2J) XP® Rabbit mAb (green), Cytochrome c (6H2.B4) Mouse mAb #12963 (red), and DAPI #4083 (blue).
undefined Image 92: Human Exhausted CD8<sup>+</sup> T Cell IHC Antibody Sampler Kit
Orders: 877-616-CELL (2355) [email protected] Support: 877-678-TECH (8324) [email protected] Web: cellsignal.com
For Research Use Only. Not for Use in Diagnostic Procedures.