Revision 1

#42867

Store at -20C

CST Logo
Orders:

877-616-CELL (2355)

[email protected]

Support:

877-678-TECH (8324)

3 Trask Lane | Danvers | Massachusetts | 01923 | USA

For Research Use Only. Not for Use in Diagnostic Procedures.

Product Includes Product # Quantity Mol. Wt Isotype/Source
Cleaved Caspase-3 (Asp175) (5A1E) Rabbit Monoclonal Antibody966420 µl17, 19 kDaRabbit IgG
Cleaved PARP (Asp214) (D64E10) Rabbit Monoclonal Antibody562520 µl89 kDaRabbit IgG
Phospho-RIP (Ser166) (D1L3S) Rabbit Monoclonal Antibody6574620 µl78-82 kDaRabbit IgG
Phospho-RIP3 (Ser227) (D6W2T) Rabbit Monoclonal Antibody9365420 µl46-62 kDaRabbit IgG
Phospho-MLKL (Ser358) (D6H3V) Rabbit Monoclonal Antibody9168920 µl54 kDaRabbit IgG
Cleaved Gasdermin D (Asp275) (E7H9G) Rabbit Monoclonal Antibody3642520 µl30 kDaRabbit IgG
Cleaved-IL-1 beta (Asp116) (D3A3Z) Rabbit Monoclonal Antibody8318620 µl17 kDaRabbit IgG
LC3B (E5Q2K) Mouse Monoclonal Antibody8350620 µl14, 16 kDaMouse IgG2b
SQSTM1/p62 (D5L7G) Mouse Monoclonal Antibody8858820 µl62 kDaMouse IgG1
Anti-rabbit IgG, HRP-linked Antibody7074100 µlGoat

Please visit cellsignal.com for individual component applications, species cross-reactivity, dilutions, protocols, and additional product information.

Description

The Human Reactive Cell Death and Autophagy Antibody Sampler Kit provides an economical means of detecting common readouts in apoptosis, necroptosis, pyroptosis, and autophagy. The kit includes enough antibodies to perform two western blot experiments with each primary antibody.

Storage

Supplied in 10 mM sodium HEPES (pH 7.5), 150 mM NaCl, 100 µg/ml BSA, 50% glycerol and less than 0.02% sodium azide. Store at –20°C. Do not aliquot the antibodies.

Background

Regulated cell death has been classified based on distinct morphological and biochemical pathways (1). Type I cell death, or apoptosis, is characterized by cytoplasmic shrinkage, chromatin condensation, nuclear fragmentation, plasma membrane blebbing, and phagocytic update of dead cells. Apoptosis can occur through extrinsic pathways involving extracellular factors, including the activation of death receptors, or through intrinsic pathways involving intracellular perturbations, including mitochondrial outer membrane permeabilization (2). Both of these apoptotic pathways lead to activation of caspases, a family of cysteine acid proteases that are synthesized as inactive zymogens containing pro-domains, followed by large (p20) and small (p10) subunits which are proteolytically activated in a cascade-like fashion. Caspase-3 is a key downstream protease activated by both extrinsic and intrinsic apoptotic pathways and cleaves a large number of proteins involved in the disassembly of the cell, including poly(ADP-ribose) polymerase (PARP), a protein involved in the DNA damage response.
 
Type II cell death, or autophagy, manifests with extensive cytoplasmic vacuolization, and like apoptosis, can include phagocytic update. Autophagy is a catabolic process for the degradation of cellular components including protein aggregates, damaged organelles, and pathogens (3). The process involves the engulfment of these components into a double membrane structure, the autophagosome, which fuses to the lysosome for degradation. Autophagy requires, and can be monitored by, the conversion of LC3 family members, such as LC3B, from a type I form to a lipidated type II form that is incorporated into the autophagosome membrane and binds to a variety of cargo receptors. Cargo receptors such as SQSTM1/p62 bind LC3 along with ubiquitinated proteins that are targeted for degradation. SQSTM1/p62 is also degraded during this process, and thus its expression is frequently used to monitor this process.

Type III cell death, or necrosis, manifests with plasma membrane permeability with cellular swelling and fragmentation, and lacks a clear phagocytic response which then leads to an inflammatory signaling with the release of damage-associated molecular patterns (DAMPs). Necrosis can be triggered by multiple regulated pathways including necroptosis and pyroptosis. Necroptosis is regulated by the kinase activities of RIP and RIP3 and the pore forming ability of MLKL (4). Necroptosis requires the activation of RIP3 which then phosphorylates MLKL at Ser358 (Ser345 in mouse). Phosphorylation of MLKL leads to generation of a pore complex involved in cell swelling and the secretion of DAMPs. RIP3 activation is triggered through several RIP homotypic interaction motif (RHIM) domain interactions including RIP, TRIF, and ZBP1 and results in the phosphorylation of RIP3 at Ser227 (Thr231/Ser232 in mouse). Canonical necroptosis signaling is mediated by RIP, and this can be inhibited by necrostatins, small molecules that directly inhibit RIP kinase activity. Activation of RIP can be monitored through autophosphorylation sites including Ser166. Pyroptosis is generally induced in cells of the innate immune system, and is characterized by cleavage of Gasdermin D (5). The amino-terminal fragment of Gasdermin D produced following cleavage by inflammatory caspases (Caspase-1, -4, -5), oligomerizes to form a pore. Canonical cleavage of Gasdermin D occurs through a two-step process. The first step involves transcriptional regulation of targets such as NLRP3 and the pro-forms of IL-1β and IL-18. In the second execution step, Caspase-1 is activated through formation of inflammasome complexes. Activated Caspase-1 cleaves Gasdermin D as well as IL-1β and IL-18 to their mature forms, and these active cytokines are secreted through pores formed by Gasdermin D.

Trademarks and Patents

Cell Signaling Technology is a trademark of Cell Signaling Technology, Inc.

All other trademarks are the property of their respective owners. Visit cellsignal.com/trademarks for more information.

Limited Uses

Except as otherwise expressly agreed in a writing signed by a legally authorized representative of CST, the following terms apply to Products provided by CST, its affiliates or its distributors. Any Customer's terms and conditions that are in addition to, or different from, those contained herein, unless separately accepted in writing by a legally authorized representative of CST, are rejected and are of no force or effect.

Products are labeled with For Research Use Only or a similar labeling statement and have not been approved, cleared, or licensed by the FDA or other regulatory foreign or domestic entity, for any purpose. Customer shall not use any Product for any diagnostic or therapeutic purpose, or otherwise in any manner that conflicts with its labeling statement. Products sold or licensed by CST are provided for Customer as the end-user and solely for research and development uses. Any use of Product for diagnostic, prophylactic or therapeutic purposes, or any purchase of Product for resale (alone or as a component) or other commercial purpose, requires a separate license from CST. Customer shall (a) not sell, license, loan, donate or otherwise transfer or make available any Product to any third party, whether alone or in combination with other materials, or use the Products to manufacture any commercial products, (b) not copy, modify, reverse engineer, decompile, disassemble or otherwise attempt to discover the underlying structure or technology of the Products, or use the Products for the purpose of developing any products or services that would compete with CST products or services, (c) not alter or remove from the Products any trademarks, trade names, logos, patent or copyright notices or markings, (d) use the Products solely in accordance with CST Product Terms of Sale and any applicable documentation, and (e) comply with any license, terms of service or similar agreement with respect to any third party products or services used by Customer in connection with the Products.

Orders: 877-616-CELL (2355) [email protected] Support: 877-678-TECH (8324) [email protected] Web: cellsignal.com
For Research Use Only. Not for Use in Diagnostic Procedures.

Revision 1

Cell Signaling Technology Logo
Western blot analysis of extracts from THP-1 cells, differentiated with TPA #4174 (50 ng/ml, overnight) and then treated with LPS #14011 (5 μg/ml, indicated times), using Cleaved Gasdermin D (Asp275) (E7H9G) Rabbit mAb (upper), total Gasdermin D (L60) Antibody (middle), or β-Actin (D6A8) Rabbit mAb #8457 (lower).
undefined Image 1: Human Reactive Cell Death and Autophagy Antibody Sampler Kit
Orders: 877-616-CELL (2355) [email protected] Support: 877-678-TECH (8324) [email protected] Web: cellsignal.com
For Research Use Only. Not for Use in Diagnostic Procedures.

Revision 1

Cell Signaling Technology Logo
Western blot analysis of extracts from HeLa cells, untreated or treated with Staurosporine #9953 (1 μM, 3 hr), Jurkat cells, untreated or etoposide-treated (25 μM, overnight), and THP-1 cells, untreated or cycloheximide-treated (CHX, 10 μg/ml, overnight) followed by treatment with TNF-α #8902 (20 ng/ml, 4 hr), using Cleaved PARP (Asp214) (D64E10) XP® Rabbit mAb (upper), or total PARP Antibody #9542 (lower).
undefined Image 2: Human Reactive Cell Death and Autophagy Antibody Sampler Kit
Orders: 877-616-CELL (2355) [email protected] Support: 877-678-TECH (8324) [email protected] Web: cellsignal.com
For Research Use Only. Not for Use in Diagnostic Procedures.

Revision 1

Cell Signaling Technology Logo
Western blot analysis of HT-29 cells, untreated (-) or treated with combinations of the following treatments as indicated: Z-VAD (20 μM, added 30 min prior to other compounds; +), human TNF-α (hTNF-α, 20 ng/ml, 7 hr; +), SM-164 (100 nM, 7 hr; +), and necrostatin-1 (Nec-1, 50 μM, 7 hr; +), using Phospho-RIP (Ser166) (D1L3S) Rabbit mAb (upper) or β-Actin (D6A8) Rabbit mAb #8457 (lower).
undefined Image 3: Human Reactive Cell Death and Autophagy Antibody Sampler Kit
After the primary antibody is bound to the target protein, a complex with HRP-linked secondary antibody is formed. The LumiGLO® is added and emits light during enzyme catalyzed decomposition.
undefined Image 4: Human Reactive Cell Death and Autophagy Antibody Sampler Kit
Western blot analysis of recombinant Human Interleukin-1β (hIL-1β) using Cleaved-IL-1β (Asp116) (D3A3Z) Rabbit mAb.
undefined Image 5: Human Reactive Cell Death and Autophagy Antibody Sampler Kit
Orders: 877-616-CELL (2355) [email protected] Support: 877-678-TECH (8324) [email protected] Web: cellsignal.com
For Research Use Only. Not for Use in Diagnostic Procedures.

Revision 1

Cell Signaling Technology Logo
Western blot analysis of extracts from HCT 116 and HCT 116 LC3B knockout cells, untreated (-) or treated with Chloroquine #14774 (50 μM, 18 hr) using LC3B (E5Q2K) Mouse mAb #83506 (upper) or GAPDH (D16H11) XP® Rabbit mAb #5174 (lower). The absence of signal in the HCT 116 knockout cells confirms the specificity of the antibody for LC3B.
undefined Image 6: Human Reactive Cell Death and Autophagy Antibody Sampler Kit
Confocal immunofluorescent analysis of fixed frozen mouse cerebellum, labeled with LC3B (E5Q2K) Mouse mAb #83506 (left, green) and co-labeled with GFAP (E4L7M) XP® Rabbit mAb #80788 (right, red) and DAPI #4083 (right, blue).
undefined Image 7: Human Reactive Cell Death and Autophagy Antibody Sampler Kit
Confocal immunofluorescent analysis of fixed frozen mouse pons, labeled with LC3B (E5Q2K) Mouse mAb #83506 (left, green) and co-labeled with GFAP (E4L7M) XP® Rabbit mAb #80788 (right, red) and DAPI #4083 (right, blue).
undefined Image 8: Human Reactive Cell Death and Autophagy Antibody Sampler Kit
Orders: 877-616-CELL (2355) [email protected] Support: 877-678-TECH (8324) [email protected] Web: cellsignal.com
For Research Use Only. Not for Use in Diagnostic Procedures.

Revision 1

Cell Signaling Technology Logo
Western blot analysis of extracts from HeLa cells (lane 1) or SQSTM1 knock-out cells (lane 2) using SQSTM1/p62 (D5L7G) Mouse mAb #88588 (upper), and β-actin (D6A8) Rabbit mAb #8457 (lower). The absence of signal in the SQSTM1 knock-out HeLa cells confirms specificity of the antibody for SQSTM1.
undefined Image 9: Human Reactive Cell Death and Autophagy Antibody Sampler Kit
Western blot analysis of HT-29 cells, untreated (-), or treated with combinations of the following treatments as indicated: Z-VAD (20 μM, added 30 min prior to other compounds; +), human TNF-α (hTNF-α, 20 ng/ml, 7 hr; +), SM-164 (100 nM, 7 hr; +), and necrostatin-1 (Nec-1, 50 μM, 7 hr; +), using Phospho-MLKL (Ser358) (D6H3V) Rabbit mAb (upper), or MLKL (D2I6N) Rabbit mAb #14993 (lower).
undefined Image 10: Human Reactive Cell Death and Autophagy Antibody Sampler Kit
Western blot analysis of HT-29 cells, untreated (-) or treated with a combination of the following treatments as indicated: Z-VAD (20 μM, added 30 min prior to other compounds; +), Human Tumor Necrosis Factor-α #8902 (hTNF-α, 20 ng/ml, 7 hr; +), and SM-164 (100 nM, 7 hr; +), using Phospho-RIP3 (Ser227) (D6W2T) Rabbit mAb. To confirm phospho-specificity, membranes were either untreated (left) or treated with Calf Intestinal Phosphatase (CIP; right).
undefined Image 11: Human Reactive Cell Death and Autophagy Antibody Sampler Kit
Orders: 877-616-CELL (2355) [email protected] Support: 877-678-TECH (8324) [email protected] Web: cellsignal.com
For Research Use Only. Not for Use in Diagnostic Procedures.

Revision 1

Cell Signaling Technology Logo
Immunoprecipitation of Cleaved Gasdermin D (Asp725) from THP-1 cells differentiated with TPA #4174 (50 ng/ml, overnight) and then treated with LPS #14011 (5 μg/ml, 6 hr). Lane 1 is 10% input, lane 2 is Rabbit (DA1E) mAb IgG XP® Isotype Control #3900, and lane 3 is Cleaved Gasdermin D (Asp275) (E7H9G) Rabbit mAb. Western blot was performed using Cleaved Gasdermin D (Asp275) (E7H9G) Rabbit mAb. Anti-rabbit IgG, HRP-linked Antibody #7074 was used as a secondary antibody.
undefined Image 12: Human Reactive Cell Death and Autophagy Antibody Sampler Kit
Orders: 877-616-CELL (2355) [email protected] Support: 877-678-TECH (8324) [email protected] Web: cellsignal.com
For Research Use Only. Not for Use in Diagnostic Procedures.

Revision 1

Cell Signaling Technology Logo
Immunohistochemical analysis of paraffin-embedded human tonsil using Cleaved PARP (Asp214) (D64E10) XP® Rabbit mAb.
undefined Image 13: Human Reactive Cell Death and Autophagy Antibody Sampler Kit
Orders: 877-616-CELL (2355) [email protected] Support: 877-678-TECH (8324) [email protected] Web: cellsignal.com
For Research Use Only. Not for Use in Diagnostic Procedures.

Revision 1

Cell Signaling Technology Logo
Western blot analysis of extracts from cells or media collected from THP-1 cells, differentiated with TPA #4147 (80 nM, overnight) and subsequently treated with (+) or without (-) Lipopolysaccharides (LPS) #14011 (1 μg/ml, 6 hr), using Cleaved-IL-1β (Asp116) (D3A3Z) Rabbit mAb.
undefined Image 14: Human Reactive Cell Death and Autophagy Antibody Sampler Kit
Western blot analysis of extracts from HeLa, C2C12, and KNRK cells, untreated (-) or treated with Chloroquine (50 μM, overnight; +) #14774 using LC3B (E5Q2K) Mouse mAb (upper) or β-Actin (D6A8) Rabbit mAb #8457 (lower).
undefined Image 15: Human Reactive Cell Death and Autophagy Antibody Sampler Kit
Western blot analysis of extracts from various cell lines using SQSTM1/p62 (D5L7G) Mouse mAb (upper) or β-Actin (D6A8) Rabbit mAb #8457 (lower).
undefined Image 16: Human Reactive Cell Death and Autophagy Antibody Sampler Kit
Orders: 877-616-CELL (2355) [email protected] Support: 877-678-TECH (8324) [email protected] Web: cellsignal.com
For Research Use Only. Not for Use in Diagnostic Procedures.

Revision 1

Cell Signaling Technology Logo
Western blot analysis of HT-29 cells, untreated (-) or treated with a combination of the following treatments as indicated: Z-VAD (20 μM, added 30 min prior to other compounds; +), Human Tumor Necrosis Factor-α #8902 (hTNF-α, 20 ng/ml, 7 hr; +), SM-164 (100 nM, 7 hr; +), and necrostatin-1 (Nec-1, 50 μM, 7 hr; +), using Phospho-RIP3 (Ser227) (D6W2T) Rabbit mAb (upper), RIP3 (E1Z1D) Rabbit mAb #13526 (middle), or β-Actin (D6A8) Rabbit mAb #8457 (lower).
undefined Image 17: Human Reactive Cell Death and Autophagy Antibody Sampler Kit
Immunohistochemical analysis of paraffin-embedded human ductal breast carcinoma using Cleaved Gasdermin D (Asp275) (E7H9G) Rabbit mAb.
undefined Image 18: Human Reactive Cell Death and Autophagy Antibody Sampler Kit
Orders: 877-616-CELL (2355) [email protected] Support: 877-678-TECH (8324) [email protected] Web: cellsignal.com
For Research Use Only. Not for Use in Diagnostic Procedures.

Revision 1

Cell Signaling Technology Logo
Confocal immunofluorescent analysis of HeLa cells, untreated (left) or treated with Staurosporine #9953 (right), using Cleaved PARP (Asp214) (D64E10) XP® Rabbit mAb (green). Actin filament were labeled with DY-554 phalloidin. Blue pseudocolor = DRAQ5® #4084 (fluorescent DNA dye).
undefined Image 19: Human Reactive Cell Death and Autophagy Antibody Sampler Kit
Orders: 877-616-CELL (2355) [email protected] Support: 877-678-TECH (8324) [email protected] Web: cellsignal.com
For Research Use Only. Not for Use in Diagnostic Procedures.

Revision 1

Cell Signaling Technology Logo
Immunoprecipitation of Cleaved-IL-1β (Asp116) from extracts of THP-1 cells differentiated with TPA #4147 (80 nM, overnight) followed by treatment with Lipopolysaccharides (LPS) #14011 (1 μg/ml, 6 hr). Lane 1 is 10% input, lane 2 is precipitated with Rabbit (DA1E) mAb IgG XP® Isotype Control #3900, and lane 3 is precipitated with Cleaved-IL-1β (Asp116) (D3A3Z) Rabbit mAb. Western blot was performed using Cleaved-IL-1β (Asp116) (D3A3Z) Rabbit mAb.
undefined Image 20: Human Reactive Cell Death and Autophagy Antibody Sampler Kit
Western blot analysis of extracts from HeLa cells or HeLa cells with a knockout of LC3B (HeLa/LC3B KO) using LC3B (E5Q2K) Mouse mAb (upper) or β-Actin (D6A8) Rabbit mAb #8457 (lower).
undefined Image 21: Human Reactive Cell Death and Autophagy Antibody Sampler Kit
Western blot analysis of extract from HCT 116 cells, untreated (-) or starved with Earles Basic Salt Solution (EBSS; 4 hr; +) using SQSTM1/p62 (D5L7G) Mouse mAb (upper) or β-Actin (D6A8) Rabbit mAb #8457 (lower).
undefined Image 22: Human Reactive Cell Death and Autophagy Antibody Sampler Kit
Orders: 877-616-CELL (2355) [email protected] Support: 877-678-TECH (8324) [email protected] Web: cellsignal.com
For Research Use Only. Not for Use in Diagnostic Procedures.

Revision 1

Cell Signaling Technology Logo
Western blot analysis of HT-29 cells or HT-29 RIPK1 KO cells, untreated (-) or treated with a combination of the following treatments as indicated: Z-VAD (20 μM, added 30 min prior to other compounds; +), Human Tumor Necrosis Factor-α #8902 (hTNF-α, 20 ng/ml, 7 hr; +), and SM-164 (100 nM, 7 hr; +), using Phospho-RIP3 (Ser227) (D6W2T) Rabbit mAb (upper), RIP3 (E1Z1D) Rabbit mAb #13526 (middle) or β-Actin (D6A8) Rabbit mAb #8457 (lower). HT-29 RIPK1 KO cells were kindly provided by Dr. Junying Yuan, Harvard Medical School, Boston, MA.
undefined Image 23: Human Reactive Cell Death and Autophagy Antibody Sampler Kit
Immunohistochemical analysis of paraffin-embedded human colon carcinoma using Cleaved Gasdermin D (Asp275) (E7H9G) Rabbit mAb in the presence of non-cleaved Gasdermin D peptide (left) or Asp275 cleavage-specific Gasdermin D peptide (right).
undefined Image 24: Human Reactive Cell Death and Autophagy Antibody Sampler Kit
Orders: 877-616-CELL (2355) [email protected] Support: 877-678-TECH (8324) [email protected] Web: cellsignal.com
For Research Use Only. Not for Use in Diagnostic Procedures.

Revision 1

Cell Signaling Technology Logo
Flow cytometric analysis of Jurkat cells, untreated (blue) or treated with Etoposide #2200 (25 uM, 18 hr; green) using Cleaved PARP (Asp214) (D64E10) XP® Rabbit mAb (solid lines) or concentration-matched Rabbit (DA1E) mAb IgG XP® Isotype Control #3900 (dashed lines). Anti-rabbit IgG (H+L), F(ab')2 Fragment (Alexa Fluor® 488 Conjugate) #4412 was used as a secondary antibody.
undefined Image 25: Human Reactive Cell Death and Autophagy Antibody Sampler Kit
Orders: 877-616-CELL (2355) [email protected] Support: 877-678-TECH (8324) [email protected] Web: cellsignal.com
For Research Use Only. Not for Use in Diagnostic Procedures.

Revision 1

Cell Signaling Technology Logo
Confocal immunofluorescent analysis of THP-1 cells, differentiated with TPA #4174 (80 nM, 24 hr) and subsequently treated with (right) or without (left) Lipopolysaccharides (LPS) #14011 (1 μg/ml, 6 hr), using Cleaved-IL-1β (Asp116) (D3A3Z) Rabbit mAb (green). Actin filaments were labeled with DyLight™ 554 Phalloidin #13054 (red). Blue pseudocolor = DRAQ5® #4084 (fluorescent DNA dye).
undefined Image 26: Human Reactive Cell Death and Autophagy Antibody Sampler Kit
Western blot analysis of extracts from A549 cells, untreated (-) or starved with Earle's Balanced Salt Solution (EBSS) (indicated times) using LC3B (E5Q2K) Mouse mAb (upper) or β-Actin (D6A8) Rabbit mAb (lower).
undefined Image 27: Human Reactive Cell Death and Autophagy Antibody Sampler Kit
Western blot anlaysis of extracts from HeLa cells, untreated (-) or treated with Chloroquine #14774 (50 μM, overnight; +) using SQSTM1/p62 (D5L7G) Mouse mAb (upper) or β-Actin (D6A8) Rabbit mAb #8457 (lower).
undefined Image 28: Human Reactive Cell Death and Autophagy Antibody Sampler Kit
Orders: 877-616-CELL (2355) [email protected] Support: 877-678-TECH (8324) [email protected] Web: cellsignal.com
For Research Use Only. Not for Use in Diagnostic Procedures.

Revision 1

Cell Signaling Technology Logo
Confocal immunofluorescent analysis of HT-29 cells, untreated (left), pre-treated with Z-VAD (20 μM, 30 min) followed by treatment with SM-164 (100 nM) and Human Tumor Necrosis Factor-α (hTNF-α) #8902 (20 ng/mL, 6 hr; center), or pre-treated with Z-VAD followed by treatment with SM-164 and hTNF-α and post-processed with λ-phosphatase (right), using Phospho-RIPK3 (Ser227) (D6W2T) Rabbit mAb (green). Actin filaments were labeled with DyLight™ 554 Phalloidin #13054 (red). Blue pseudocolor = DRAQ5® #4084 (fluorescent DNA dye).
undefined Image 29: Human Reactive Cell Death and Autophagy Antibody Sampler Kit
Immunohistochemical analysis of paraffin-embedded human squamous cell lung carcinoma using Cleaved Gasdermin D (Asp275) (E7H9G) Rabbit mAb.
undefined Image 30: Human Reactive Cell Death and Autophagy Antibody Sampler Kit
Western blot analysis of extracts from MCF7 and Raji cells, untreated (-) or treated with Torin 1 (250 nM, 5 hr; +) #14379, using LC3B (E5Q2K) Mouse mAb (upper) or β-Actin (D6A8) Rabbit mAb #8457 (lower).
undefined Image 31: Human Reactive Cell Death and Autophagy Antibody Sampler Kit
Orders: 877-616-CELL (2355) [email protected] Support: 877-678-TECH (8324) [email protected] Web: cellsignal.com
For Research Use Only. Not for Use in Diagnostic Procedures.

Revision 1

Cell Signaling Technology Logo
Western blot analysis of extracts from HeLa cells transfected with 100 nM SignalSilence® Control siRNA (Unconjugated) #6568 (-), SignalSilence® SQSTM1/p62 siRNA I #6394 (+), or SignalSilence® SQSTM1/p62 siRNA II #6399 (+), using SQSTM1/p62 (D5L7G) Mouse mAb (upper) or β-Actin (D6A8) Rabbit mAb #8457 (lower).
undefined Image 32: Human Reactive Cell Death and Autophagy Antibody Sampler Kit
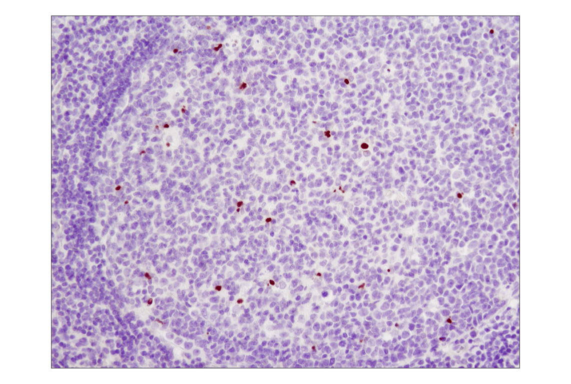
Immunohistochemical analysis of paraffin-embedded human non-Hodgkin's Lymphoma using Cleaved Gasdermin D (Asp275) (E7H9G) Rabbit mAb.
undefined Image 33: Human Reactive Cell Death and Autophagy Antibody Sampler Kit
Immunoprecipitation of LC3B from HeLa cells treated with Chloroquine (50 μM, overnight) # 14774. Lane 1 is 10% input, lane 2 is Mouse (G3A1) mAb IgG1 Isotype Control, and lane 3 is LC3B (E5Q2K) Mouse mAb. Western blot was performed using LC3B (E5Q2K) Mouse mAb. Anti-mouse IgG, HRP-linked Antibody #7076 was used as a secondary antibody.
undefined Image 34: Human Reactive Cell Death and Autophagy Antibody Sampler Kit
Orders: 877-616-CELL (2355) [email protected] Support: 877-678-TECH (8324) [email protected] Web: cellsignal.com
For Research Use Only. Not for Use in Diagnostic Procedures.

Revision 1

Cell Signaling Technology Logo
Immunoprecipitation of SQSTM1/p62 protein from PANC-1 cell extracts. Lane 1 is 10% input, lane 2 is Mouse (G3A1) mAb IgG1 Isotype Control #5415, and lane 3 is SQSTM1/p62 (D5L7G) Mouse mAb. Western blot was performed using SQSTM1/p62 (D5L7G) Mouse mAb. A light chain-specific secondary antibody was used to avoid reactivity with heavy chain IgG.
undefined Image 35: Human Reactive Cell Death and Autophagy Antibody Sampler Kit
Immunohistochemical analysis of paraffin-embedded human prostate carcinoma using Cleaved Gasdermin D (Asp275) (E7H9G) Rabbit mAb.
undefined Image 36: Human Reactive Cell Death and Autophagy Antibody Sampler Kit
Immunohistochemical analysis of paraffin-embedded human colon carcinoma using LC3B (E5Q2K) Mouse mAb.
undefined Image 37: Human Reactive Cell Death and Autophagy Antibody Sampler Kit
Orders: 877-616-CELL (2355) [email protected] Support: 877-678-TECH (8324) [email protected] Web: cellsignal.com
For Research Use Only. Not for Use in Diagnostic Procedures.

Revision 1

Cell Signaling Technology Logo
Immunohistochemical analysis of paraffin-embedded human colon carcinoma using SQSTM1/p62 (D5L7G) Mouse mAb.
undefined Image 38: Human Reactive Cell Death and Autophagy Antibody Sampler Kit
Immunohistochemical analysis of paraffin-embedded human spleen (left, positive) and skeletal muscle (right, negative) using Cleaved Gasdermin D (Asp275) (E7H9G) Rabbit mAb.
undefined Image 39: Human Reactive Cell Death and Autophagy Antibody Sampler Kit
Immunohistochemical analysis of paraffin-embedded human esophageal carcinoma using LC3B (E5Q2K) Mouse mAb.
undefined Image 40: Human Reactive Cell Death and Autophagy Antibody Sampler Kit
Orders: 877-616-CELL (2355) [email protected] Support: 877-678-TECH (8324) [email protected] Web: cellsignal.com
For Research Use Only. Not for Use in Diagnostic Procedures.

Revision 1

Cell Signaling Technology Logo
Immunohistochemical analysis of paraffin-embedded human lung carcinoma using SQSTM1/p62 (D5L7G) Mouse mAb.
undefined Image 41: Human Reactive Cell Death and Autophagy Antibody Sampler Kit
Immunohistochemical analysis of paraffin-embedded THP-1 cell pellets, differentiated with TPA #4174 (left) and then treated with LPS #14011 (right), using Cleaved Gasdermin D (Asp275) (E7H9G) Rabbit mAb.
undefined Image 42: Human Reactive Cell Death and Autophagy Antibody Sampler Kit
Immunohistochemical analysis of paraffin-embedded human lung carcinoma using LC3B (E5Q2K) Mouse mAb.
undefined Image 43: Human Reactive Cell Death and Autophagy Antibody Sampler Kit
Orders: 877-616-CELL (2355) [email protected] Support: 877-678-TECH (8324) [email protected] Web: cellsignal.com
For Research Use Only. Not for Use in Diagnostic Procedures.

Revision 1

Cell Signaling Technology Logo
Immunohistochemical analysis of paraffin-embedded human endometrioid adenocarcinoma using SQSTM1/p62 (D5L7G) Mouse mAb.
undefined Image 44: Human Reactive Cell Death and Autophagy Antibody Sampler Kit
Immunohistochemical analysis of paraffin-embedded human ulcerative colitis using Cleaved Gasdermin D (Asp275) (E7H9G) Rabbit mAb.
undefined Image 45: Human Reactive Cell Death and Autophagy Antibody Sampler Kit
Immunohistochemical analysis of paraffin-embedded human non-Hodgkin's lymphoma using LC3B (E5Q2K) Mouse mAb.
undefined Image 46: Human Reactive Cell Death and Autophagy Antibody Sampler Kit
Orders: 877-616-CELL (2355) [email protected] Support: 877-678-TECH (8324) [email protected] Web: cellsignal.com
For Research Use Only. Not for Use in Diagnostic Procedures.

Revision 1

Cell Signaling Technology Logo
Immunohistochemical analysis of paraffin-embedded HDLM-2 (left) and Daudi (right) cell pellets using SQSTM1/p62 (D5L7G) Mouse mAb.
undefined Image 47: Human Reactive Cell Death and Autophagy Antibody Sampler Kit
Immunohistochemical analysis of paraffin-embedded HCT116 cell pellets, untreated (left-top) or treated with Chloroquine #14774 (right-top), and HCT116 LC3B knockout cell pellets, untreated (left-bottom) or treated with Chloroquine #14774 (right-bottom), using LC3B (E5Q2K) Mouse mAb.
undefined Image 48: Human Reactive Cell Death and Autophagy Antibody Sampler Kit
Immunohistochemical analysis of paraffin-embedded human inflamed gall bladder using SQSTM1/p62 (D5L7G) Mouse mAb in the presence of control peptide (left) or antigen-specific peptide (right).
undefined Image 49: Human Reactive Cell Death and Autophagy Antibody Sampler Kit
Orders: 877-616-CELL (2355) [email protected] Support: 877-678-TECH (8324) [email protected] Web: cellsignal.com
For Research Use Only. Not for Use in Diagnostic Procedures.

Revision 1

Cell Signaling Technology Logo
Immunohistochemical analysis of paraffin-embedded normal human brain using LC3B (E5Q2K) Mouse mAb.
undefined Image 50: Human Reactive Cell Death and Autophagy Antibody Sampler Kit
Confocal immunofluorescent analysis of HeLa cells, untreated (left) or treated with chloroquine (50 μM overnight; right), using SQSTM1/p62 (D5L7G) Mouse mAb (green). Blue pseudocolor = DRAQ5® #4084 (fluorescent DNA dye).
undefined Image 51: Human Reactive Cell Death and Autophagy Antibody Sampler Kit
Immunohistochemical analysis of paraffin-embedded KARPAS 299 cell pellet (left, high-expressing) or VCaP cell pellet (right, low-expressing) using LC3B (E5Q2K) Mouse mAb.
undefined Image 52: Human Reactive Cell Death and Autophagy Antibody Sampler Kit
Orders: 877-616-CELL (2355) [email protected] Support: 877-678-TECH (8324) [email protected] Web: cellsignal.com
For Research Use Only. Not for Use in Diagnostic Procedures.

Revision 1

Cell Signaling Technology Logo
Immunohistochemical analysis of paraffin-embedded HeLa cell pellets, untreated (left) or treated with Chloroquine #14774 (right), using LC3B (E5Q2K) Mouse mAb.
undefined Image 53: Human Reactive Cell Death and Autophagy Antibody Sampler Kit
Immunohistochemical analysis of paraffin-embedded normal human spleen using LC3B (E5Q2K) Mouse mAb.
undefined Image 54: Human Reactive Cell Death and Autophagy Antibody Sampler Kit
Confocal immunofluorescent analysis of HCT 116 cells either untreated (left) or treated with Chloroquine #14774 (50 µM, overnight) (center) or LC3B HCT 116 knockout cells treated with Chloroquine #14774 (50 µM, overnight) (right) using LC3B (E5Q2K) Mouse mAb (green). Actin filaments were labeled with β-Actin (13E5) Rabbit mAb #4970 (red) and nuclei were labeled with DAPI #4083 (blue).
undefined Image 55: Human Reactive Cell Death and Autophagy Antibody Sampler Kit
Orders: 877-616-CELL (2355) [email protected] Support: 877-678-TECH (8324) [email protected] Web: cellsignal.com
For Research Use Only. Not for Use in Diagnostic Procedures.

Revision 1

Cell Signaling Technology Logo
Flow cytometric analysis of HCT-116 cells, wild-type (green, high expression) or LC3B knockdown (blue, negative expression), using LC3B (E5Q2K) Mouse mAb or a concentration-matched Mouse (E7Q5L) mAb IgG2b Isotype Control #53484 (dashed lines). Anti-mouse IgG (H+L), F(ab')2 Fragment (Alexa Fluor® 488 Conjugate) #4408 was used as a secondary antibody.
undefined Image 56: Human Reactive Cell Death and Autophagy Antibody Sampler Kit
Orders: 877-616-CELL (2355) [email protected] Support: 877-678-TECH (8324) [email protected] Web: cellsignal.com
For Research Use Only. Not for Use in Diagnostic Procedures.

Revision 1

Cell Signaling Technology Logo
Simple Western™ analysis of lysates (1 mg/mL) from Jurkat cells treated with Etoposide (25 μM, 5 hours) using Cleaved PARP (Asp214) (D64E10) XP® Rabbit mAb #5625. The virtual lane view (left) shows a single target band (as indicated) at 1:10 and 1:50 dilutions of primary antibody. The corresponding electropherogram view (right) plots chemiluminescence by molecular weight along the capillary at 1:10 (blue line) and 1:50 (green line) dilutions of primary antibody. This experiment was performed under reducing conditions on the Jess™ Simple Western instrument from ProteinSimple, a BioTechne brand, using the 12-230 kDa separation module.
undefined Image 57: Human Reactive Cell Death and Autophagy Antibody Sampler Kit
Orders: 877-616-CELL (2355) [email protected] Support: 877-678-TECH (8324) [email protected] Web: cellsignal.com
For Research Use Only. Not for Use in Diagnostic Procedures.

Revision 1

Cell Signaling Technology Logo
Simple Western™ analysis of lysates (0.1 mg/mL) from HT-29 cells treated with ZVAD (20uM, 7.5 hours) + hTNF-alpha (20ng/mL, 7 hours) + SM-164 (100nM, 7 hours) using Phospho-RIP (Ser166) (D1L3S) Rabbit mAb #65746. The virtual lane view (left) shows the target band (as indicated) at 1:10 and 1:50 dilutions of primary antibody. The corresponding electropherogram view (right) plots chemiluminescence by molecular weight along the capillary at 1:10 (blue line) and 1:50 (green line) dilutions of primary antibody. This experiment was performed under reducing conditions on the Jess™ Simple Western instrument from ProteinSimple, a BioTechne brand, using the 12-230 kDa separation module.
undefined Image 58: Human Reactive Cell Death and Autophagy Antibody Sampler Kit
Flow cytometric analysis of HCT-116 cells, untreated (blue) or treated with Chloroquine #14774 (50 μM, 18 hr; green) using LC3B (E5Q2K) Mouse mAb Antibody (solid lines) or concentration-matched Mouse (E7Q5L) mAb IgG2b Isotype Control #53484 (dashed lines). Anti-mouse IgG (H+L), F(ab')2 Fragment (Alexa Fluor® 488 Conjugate) #4408 was used as a secondary antibody.
undefined Image 59: Human Reactive Cell Death and Autophagy Antibody Sampler Kit
Simple WesternTM analysis of lysates (1.0 mg/mL) from HT-29 + ZVAD + hTNFa + SM-164 cells using Phospho-MLKL (Ser358) (D6H3V) Rabbit mAb #91689.  The virtual lane view (left) shows the target band (as indicated) at 1:50 and 1:250 dilutions of primary antibody.  The corresponding electropherogram view (right) plots chemiluminescence by molecular weight along the capillary at 1:50 (blue line) and 1:250 (green line) dilutions of primary antibody.  This experiment was performed under reducing conditions on the JessTM Simple Western instrument from ProteinSimple, a BioTechne brand, using the 12-230 kDa separation module.
undefined Image 60: Human Reactive Cell Death and Autophagy Antibody Sampler Kit
Orders: 877-616-CELL (2355) [email protected] Support: 877-678-TECH (8324) [email protected] Web: cellsignal.com
For Research Use Only. Not for Use in Diagnostic Procedures.

Revision 1

Cell Signaling Technology Logo
Western blot analysis of extracts from C6 (rat), NIH/3T3 (mouse), and Jurkat (human) cells, untreated or treated with staurosporine #9953 (1uM, 3hrs) or etoposide #2200 (25uM, 5hrs) as indicated, using Cleaved Caspase-3 (Asp175) (5A1E) Rabbit mAb.
undefined Image 61: Human Reactive Cell Death and Autophagy Antibody Sampler Kit
Immunohistochemical analysis of paraffin-embedded mouse embryo, using Cleaved Caspase-3 (Asp175) (5A1E) Rabbit mAb in the presence of control peptide (left) or Cleaved Caspase-3 (Asp175) Blocking Peptide (#1050) (right).
undefined Image 62: Human Reactive Cell Death and Autophagy Antibody Sampler Kit
Immunohistochemical analysis using Cleaved Caspase-3 (Asp175) (5A1E) Rabbit mAb on SignalSlide® Cleaved Caspase-3 IHC Controls #8104 (paraffin-embedded Jurkat cells, untreated (left) or etoposide-treated (right)).
undefined Image 63: Human Reactive Cell Death and Autophagy Antibody Sampler Kit
Orders: 877-616-CELL (2355) [email protected] Support: 877-678-TECH (8324) [email protected] Web: cellsignal.com
For Research Use Only. Not for Use in Diagnostic Procedures.

Revision 1

Cell Signaling Technology Logo
Immunohistochemical staining of paraffin-embedded mouse embryo, showing cytoplasmic localization in apoptotic cells, using Cleaved Caspase-3 (Asp175) (5A1E) Rabbit mAb.
undefined Image 64: Human Reactive Cell Death and Autophagy Antibody Sampler Kit
Confocal immunofluorescent images of HT-29 cells, untreated (left) or Staurosporine #9953 treated (right) labeled with Cleaved Caspase-3 (Asp175) (5A1E) Rabbit mAb (green). Actin filaments have been labeled with Alexa Fluor® 555 phalloidin #8953 (red). Blue pseudocolor = DRAQ5® #4084 (fluorescent DNA dye).
undefined Image 65: Human Reactive Cell Death and Autophagy Antibody Sampler Kit
Simple Western™ analysis of lysates (0.1 mg/mL) from Jurkat cells treated with Cytochrome C using Cleaved Caspase-3 (Asp175) (5A1E) Rabbit mAb #9664. The virtual lane view (left) shows the target bands (as indicated) at 1:10 and 1:50 dilutions of primary antibody. The corresponding electropherogram view (right) plots chemiluminescence by molecular weight along the capillary at 1:10 (blue line) and 1:50 (green line) dilutions of primary antibody. This experiment was performed under reducing conditions on the Jess™ Simple Western instrument from ProteinSimple, a BioTechne brand, using the 12-230 kDa separation module.
undefined Image 66: Human Reactive Cell Death and Autophagy Antibody Sampler Kit
Orders: 877-616-CELL (2355) [email protected] Support: 877-678-TECH (8324) [email protected] Web: cellsignal.com
For Research Use Only. Not for Use in Diagnostic Procedures.

Revision 1

Cell Signaling Technology Logo
Immunoprecipitation of Cleaved Caspase-3 from Jurkat cells treated with etoposide (25uM, 5hrs). Lane 1 is 10% input, lane 2 is Rabbit (DA1E) mAb IgG XP® Isotype Control #3900, and lane 3 is Cleaved Caspase-3 (Asp175) (5A1E) Rabbit mAb. Western blot was performed using Cleaved Caspase-3 (Asp175) (5A1E) Rabbit mAb. Anti-rabbit IgG, HRP-linked Antibody #7074 was used as a secondary antibody.
undefined Image 67: Human Reactive Cell Death and Autophagy Antibody Sampler Kit
Flow cytometric analysis of Jurkat cells, untreated (blue) or treated with Etoposide #2200 (25 μM, 18 hr; green) using Cleaved Caspase-3 (Asp175) (5A1E) Rabbit mAb (solid lines) or concentration-matched Rabbit (DA1E) mAb IgG XP® Isotype Control #3900 (dashed lines). Anti-rabbit IgG (H+L), F(ab')2 Fragment (Alexa Fluor® 488 Conjugate) #4412 was used as a secondary antibody.
undefined Image 68: Human Reactive Cell Death and Autophagy Antibody Sampler Kit
Orders: 877-616-CELL (2355) [email protected] Support: 877-678-TECH (8324) [email protected] Web: cellsignal.com
For Research Use Only. Not for Use in Diagnostic Procedures.