Revision 1

#25620

Store at -20C

CST Logo
Orders:

877-616-CELL (2355)

[email protected]

Support:

877-678-TECH (8324)

3 Trask Lane | Danvers | Massachusetts | 01923 | USA

For Research Use Only. Not for Use in Diagnostic Procedures.

Product Includes Product # Quantity Mol. Wt Isotype/Source
NLRP3 (D4D8T) Rabbit Monoclonal Antibody1510120 µl110 kDaRabbit IgG
AIM2 (D5X7K) Rabbit Monoclonal Antibody1294820 µl40 kDaRabbit IgG
NLRC4 (D5Y8E) Rabbit Monoclonal Antibody1242120 µl110 kDaRabbit IgG
Caspase-1 (D7F10) Rabbit Monoclonal Antibody386620 µl48, 20 kDaRabbit IgG
ASC/TMS1 (E1E3I) Rabbit Monoclonal Antibody1383320 µl22, 19, 15 kDaRabbit IgG
Cleaved Caspase-1 (Asp297) (D57A2) Rabbit Monoclonal Antibody419920 µl20, 22 kDaRabbit IgG
Cleaved-IL-1 beta (Asp116) (D3A3Z) Rabbit Monoclonal Antibody8318620 µl17 kDaRabbit IgG
IL-1 beta (D3U3E) Rabbit Monoclonal Antibody1270320 µl17, 31 kDaRabbit IgG
Anti-rabbit IgG, HRP-linked Antibody7074100 µlGoat

Please visit cellsignal.com for individual component applications, species cross-reactivity, dilutions, protocols, and additional product information.

Description

The Human Reactive Inflammasome Antibody Sampler Kit II provides an economical means of detecting multiple inflammasome components. The kit contains enough primary antibodies to perform at least two western blot experiments.

Storage

Supplied in 10 mM sodium HEPES (pH 7.5), 150 mM NaCl, 100 µg/ml BSA, 50% glycerol and less than 0.02% sodium azide. Store at –20°C. Do not aliquot the antibody.

Background

The innate immune system works as the first line of defense in protection from pathogenic microbes and host-derived signals of cellular distress. One way in which these “danger” signals trigger inflammation is through activation of inflammasomes, which are multiprotein complexes that assemble in the cytosol after exposure to pathogen-associated molecular patterns (PAMPs) or danger-associated molecular patterns (DAMPs) and result in the activation of caspase-1 and subsequent cleavage of proinflammatory cytokines IL-1β and IL-18 (Reviewed in 1-6). Inflammasome complexes typically consist of a cytosolic pattern recognition receptor (PRR; a nucleotide-binding domain and leucine-rich-repeat [NLR] or AIM2-like receptor [ALR] family member), an adaptor protein (ASC/TMS1), and pro-caspase-1. A number of distinct inflammasome complexes have been identified, each with a unique PRR and activation triggers. The best characterized is the NLRP3 complex, which contains NLRP3, ASC/TMS1, and pro-caspase-1. The NLRP3 inflammasome is activated in a two-step process. First, NF-κB signaling is induced through PAMP- or DAMP-mediated activation of TLR4 or TNFR, resulting in increased expression of NLRP3, pro-IL-1β, and pro-IL-18 (priming step, signal 1). Next, indirect activation of NLRP3 occurs by a multitude of signals (whole pathogens, PAMPs/DAMPs, potassium efflux, lysosomal-damaging environmental factors [uric acid, silica, alum] and endogenous factors [amyloid-β, cholesterol crystals], and mitochondrial damage), leading to complex assembly and activation of caspase-1 (signal 2). The complex inflammasome structure is built via domain interactions among the protein components. Other inflammasomes are activated by more direct means: double-stranded DNA activates the AIM2 complex, anthrax toxin activates NLRP1, and bacterial flagellin activates NLRC4. Activated caspase-1 induces secretion of proinflammatory cytokines IL-1β and -18, but also regulates metabolic enzyme expression, phagosome maturation, vasodilation, and pyroptosis, an inflammatory programmed cell death. Inflammasome signaling contributes to the onset of a number of diseases, including atherosclerosis, type II diabetes, Alzheimer’s disease, and autoimmune disorders.

Trademarks and Patents

Cell Signaling Technology is a trademark of Cell Signaling Technology, Inc.

All other trademarks are the property of their respective owners. Visit cellsignal.com/trademarks for more information.

Limited Uses

Except as otherwise expressly agreed in a writing signed by a legally authorized representative of CST, the following terms apply to Products provided by CST, its affiliates or its distributors. Any Customer's terms and conditions that are in addition to, or different from, those contained herein, unless separately accepted in writing by a legally authorized representative of CST, are rejected and are of no force or effect.

Products are labeled with For Research Use Only or a similar labeling statement and have not been approved, cleared, or licensed by the FDA or other regulatory foreign or domestic entity, for any purpose. Customer shall not use any Product for any diagnostic or therapeutic purpose, or otherwise in any manner that conflicts with its labeling statement. Products sold or licensed by CST are provided for Customer as the end-user and solely for research and development uses. Any use of Product for diagnostic, prophylactic or therapeutic purposes, or any purchase of Product for resale (alone or as a component) or other commercial purpose, requires a separate license from CST. Customer shall (a) not sell, license, loan, donate or otherwise transfer or make available any Product to any third party, whether alone or in combination with other materials, or use the Products to manufacture any commercial products, (b) not copy, modify, reverse engineer, decompile, disassemble or otherwise attempt to discover the underlying structure or technology of the Products, or use the Products for the purpose of developing any products or services that would compete with CST products or services, (c) not alter or remove from the Products any trademarks, trade names, logos, patent or copyright notices or markings, (d) use the Products solely in accordance with CST Product Terms of Sale and any applicable documentation, and (e) comply with any license, terms of service or similar agreement with respect to any third party products or services used by Customer in connection with the Products.

Orders: 877-616-CELL (2355) [email protected] Support: 877-678-TECH (8324) [email protected] Web: cellsignal.com
For Research Use Only. Not for Use in Diagnostic Procedures.

Revision 1

Cell Signaling Technology Logo
Western blot analysis of extracts from THP-1 and MUTZ-3 cells using NLRC4 (D5Y8E) Rabbit mAb.
undefined Image 1: Human Reactive Inflammasome Antibody Sampler Kit II
Western blot analysis of extracts from THP-1 cells, untreated (-) or LPS-treated (100 ng/ml, 3 hr; +), using IL-1β (D3U3E) Rabbit mAb (upper) and β-Actin (D6A8) Rabbit mAb #8457 (lower).
undefined Image 2: Human Reactive Inflammasome Antibody Sampler Kit II
Western blot analysis of extracts from Daudi, KARPAS-299, and L-540 cell lines using AIM2 (D5X7K) Rabbit mAb.
undefined Image 3: Human Reactive Inflammasome Antibody Sampler Kit II
Orders: 877-616-CELL (2355) [email protected] Support: 877-678-TECH (8324) [email protected] Web: cellsignal.com
For Research Use Only. Not for Use in Diagnostic Procedures.

Revision 1

Cell Signaling Technology Logo
Western blot analysis of extracts from various cell lines using ASC/TMS1 (E1E3I) Rabbit mAb (upper) or β-Actin (D6A8) Rabbit mAb #8457 (lower). As expected, Jurkat cells do not express ASC/TMS1.
undefined Image 4: Human Reactive Inflammasome Antibody Sampler Kit II
Western blot analysis of extracts from mouse bone marrow-derived dendritic cells (BMDC) and various cell lines using NLRP3 (D4D8T) Rabbit mAb (upper) and β-Actin (D6A8) Rabbit mAb #8457 (lower).
undefined Image 5: Human Reactive Inflammasome Antibody Sampler Kit II
Western blot analysis of extracts from THP-1 and NK-92 cells using Caspase-1 (D7F10) Rabbit mAb.
undefined Image 6: Human Reactive Inflammasome Antibody Sampler Kit II
Orders: 877-616-CELL (2355) [email protected] Support: 877-678-TECH (8324) [email protected] Web: cellsignal.com
For Research Use Only. Not for Use in Diagnostic Procedures.

Revision 1

Cell Signaling Technology Logo
Western blot analysis of extracts from COS-7 cells, untransfected (-) or transfected with construct overexpressing human caspase-1 (+), using Cleaved Caspase-1 (Asp297) (D57A2) Rabbit mAb (upper) or Caspase-1 (D7F10) Rabbit mAb #3866 (lower).
undefined Image 7: Human Reactive Inflammasome Antibody Sampler Kit II
After the primary antibody is bound to the target protein, a complex with HRP-linked secondary antibody is formed. The LumiGLO® is added and emits light during enzyme catalyzed decomposition.
undefined Image 8: Human Reactive Inflammasome Antibody Sampler Kit II
Western blot analysis of recombinant Human Interleukin-1β (hIL-1β) #8900 using Cleaved-IL-1β (Asp116) (D3A3Z) Rabbit mAb.
undefined Image 9: Human Reactive Inflammasome Antibody Sampler Kit II
Orders: 877-616-CELL (2355) [email protected] Support: 877-678-TECH (8324) [email protected] Web: cellsignal.com
For Research Use Only. Not for Use in Diagnostic Procedures.

Revision 1

Cell Signaling Technology Logo
Western blot analysis of extracts from 293T cells, mock transfected (-) or transfected with a construct expressing full-length human NLRC4 (hNLRC4; +), using NLRC4 (D5Y8E) Rabbit mAb.
undefined Image 10: Human Reactive Inflammasome Antibody Sampler Kit II
Western blot analysis of recombinant Human Interleukin-1β (hIL-1β) #8900 using IL-1β (D3U3E) Rabbit mAb.
undefined Image 11: Human Reactive Inflammasome Antibody Sampler Kit II
Western blot analysis of extracts from HL-60 cells, serum-starved and either untreated (-) or treated overnight with Human Interferon-γ (hIFN-γ) #8901 (100 ng/ml; +), using AIM2 (D5X7K) Rabbit mAb (upper) or β-Actin (D6A8) Rabbit mAb #8457 (lower).
undefined Image 12: Human Reactive Inflammasome Antibody Sampler Kit II
Orders: 877-616-CELL (2355) [email protected] Support: 877-678-TECH (8324) [email protected] Web: cellsignal.com
For Research Use Only. Not for Use in Diagnostic Procedures.

Revision 1

Cell Signaling Technology Logo
Immunoprecipitation of ASC/TMS1 from THP-1 cell extracts using Rabbit (D1AE) mAb XP® Isotype Control #3900 (lane 2) or ASC/TMS1 (E1E3I) Rabbit mAb (lane 3). Lane 1 is 10% input. Western blot was performed using ASC/TMS1 (E1E3I) Rabbit mAb.
undefined Image 13: Human Reactive Inflammasome Antibody Sampler Kit II
Western blot analysis of THP-1 extracts from WT or NLRP3 KO untreated (-) or treated with PMA (+) using NLRP3 (D4D8T) Rabbit mAb. Membranes stained with Ponceau S for total protein normalization (lower). These data were provided by YCharOS Inc., an open science company with the mission of characterizing commercially available antibodies, as a companion to validation data generated by CST scientists.
undefined Image 14: Human Reactive Inflammasome Antibody Sampler Kit II
Western blot analysis of extracts from COS cells, untransfected or transfected with human caspase-1, using Caspase-1 (D7F10) Rabbit mAb.
undefined Image 15: Human Reactive Inflammasome Antibody Sampler Kit II
Orders: 877-616-CELL (2355) [email protected] Support: 877-678-TECH (8324) [email protected] Web: cellsignal.com
For Research Use Only. Not for Use in Diagnostic Procedures.

Revision 1

Cell Signaling Technology Logo
Western blot analysis of extracts from the media of THP-1 cells, differentiated with TPA #9905 (80 nM, overnight) followed by treatment with LPS (1 ug/ml, 8 hours), using Cleaved Caspase-1 (Asp297) (D57A2) Rabbit mAb.
undefined Image 16: Human Reactive Inflammasome Antibody Sampler Kit II
Western blot analysis of extracts from cells or media collected from THP-1 cells, differentiated with TPA #4147 (80 nM, overnight) and subsequently treated with (+) or without (-) Lipopolysaccharides (LPS) #14011 (1 μg/ml, 6 hr), using Cleaved-IL-1β (Asp116) (D3A3Z) Rabbit mAb.
undefined Image 17: Human Reactive Inflammasome Antibody Sampler Kit II
Immunoprecipitation of NLRC4 from MUTZ-3 cell extracts using Rabbit (DA1E) mAb IgG XP® Isotype Control #3900 (lane 2) or NLRC4 (D5Y8E) Rabbit mAb (lane 3). Lane 1 is 10% input. Western blot analysis was performed using NLRC4 (D5Y8E) Rabbit mAb.
undefined Image 18: Human Reactive Inflammasome Antibody Sampler Kit II
Orders: 877-616-CELL (2355) [email protected] Support: 877-678-TECH (8324) [email protected] Web: cellsignal.com
For Research Use Only. Not for Use in Diagnostic Procedures.

Revision 1

Cell Signaling Technology Logo
Confocal immunofluorescent analysis of THP-1 cells, untreated (left) or LPS-treated (500 ng/ml, 2 hr; right), using IL-1β (D3U3E) Rabbit mAb (green). Actin filaments were labeled with DY-554 phalloidin (red).
undefined Image 19: Human Reactive Inflammasome Antibody Sampler Kit II
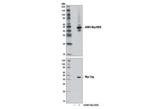
Western blot analysis of extracts from 293T cells, mock transfected (-) or transfected with a construct expressing Myc-DDK tagged human AIM2 (hAIM2-Myc/DDK; +), using AIM2 (D5X7K) Rabbit mAb (upper) and Myc-Tag (71D10) Rabbit mAb #2278 (lower).
undefined Image 20: Human Reactive Inflammasome Antibody Sampler Kit II
Immunohistochemical analysis of paraffin-embedded human ductal breast carcinoma using ASC/TMS1 (E1E3I) Rabbit mAb.
undefined Image 21: Human Reactive Inflammasome Antibody Sampler Kit II
Orders: 877-616-CELL (2355) [email protected] Support: 877-678-TECH (8324) [email protected] Web: cellsignal.com
For Research Use Only. Not for Use in Diagnostic Procedures.

Revision 1

Cell Signaling Technology Logo
Simple Western™ analysis of lysates (0.1 mg/mL) from THP-1 cells using NLRP3 (D4D8T) Rabbit mAb #15101. The virtual lane view (left) shows the target band (as indicated) at 1:10 and 1:50 dilutions of primary antibody. The corresponding electropherogram view (right) plots chemiluminescence by molecular weight along the capillary at 1:10 (blue line) and 1:50 (green line) dilutions of primary antibody. This experiment was performed under reducing conditions on the Jess™ Simple Western instrument from ProteinSimple, a BioTechne brand, using the 12-230 kDa separation module.
undefined Image 22: Human Reactive Inflammasome Antibody Sampler Kit II
Flow cytometric analysis of THP-1, untreated (blue, negative) or treated with LPS #14011 (100 ng/ml, 3 hr; green, positive) using IL-1β (D3U3E) Rabbit mAb (solid lines) or concentration-matched Rabbit (DA1E) mAb IgG XP® Isotype Control #3900 (dashed lines). Anti-rabbit IgG (H+L), F(ab')₂ Fragment (Alexa Fluor® 488 Conjugate) #4412 was used as a secondary antibody.
undefined Image 23: Human Reactive Inflammasome Antibody Sampler Kit II
Immunoprecipitation of AIM2 from HL-60 cell extracts treated with Human Interferon-γ (hIFN-γ) #8901 (100 ng/ml, overnight) using Rabbit (DA1E) mAb IgG XP® Isotype Control #3900 (lane 2) or AIM2 (D5X7K) Rabbit mAb (lane 3). Lane 1 is 10% input. Western blot was performed using AIM2 (D5X7K) Rabbit mAb.
undefined Image 24: Human Reactive Inflammasome Antibody Sampler Kit II
Orders: 877-616-CELL (2355) [email protected] Support: 877-678-TECH (8324) [email protected] Web: cellsignal.com
For Research Use Only. Not for Use in Diagnostic Procedures.

Revision 1

Cell Signaling Technology Logo
Immunohistochemical analysis of paraffin-embedded THP-1 cell pellet (left, positive) or Jurkat cell pellet (right, negative) using ASC/TMS1 (E1E3I) Rabbit mAb.
undefined Image 25: Human Reactive Inflammasome Antibody Sampler Kit II
Immunoprecipitation of NLRP3 from J774A.1 cell extracts using Rabbit (DA1E) mAb IgG XP® Isotype Control #3900 (lane 2) or NLRP3 (D4D8T) Rabbit mAb (lane 3). Lane 1 is 10% input. Western blot analysis was performed using NLRP3 (D4D8T) Rabbit mAb.
undefined Image 26: Human Reactive Inflammasome Antibody Sampler Kit II
Confocal immunofluorescent analysis of THP-1 cells, differentiated with TPA #4174 (80 nM, 24 hr) and subsequently treated with (right) or without (left) Lipopolysaccharides (LPS) #14011 (1 μg/ml, 6 hr), using Cleaved-IL-1β (Asp116) (D3A3Z) Rabbit mAb (green). Actin filaments were labeled with DyLight™ 554 Phalloidin #13054 (red). Blue pseudocolor = DRAQ5® #4084 (fluorescent DNA dye).
undefined Image 27: Human Reactive Inflammasome Antibody Sampler Kit II
Orders: 877-616-CELL (2355) [email protected] Support: 877-678-TECH (8324) [email protected] Web: cellsignal.com
For Research Use Only. Not for Use in Diagnostic Procedures.

Revision 1

Cell Signaling Technology Logo
Immunohistochemical analysis of paraffin-embedded human colon carcinoma using ASC/TMS1 (E1E3I) Rabbit mAb (left) compared to concentration-matched Rabbit (DA1E) mAb IgG XP® Isotype Control #3900 (right).
undefined Image 28: Human Reactive Inflammasome Antibody Sampler Kit II
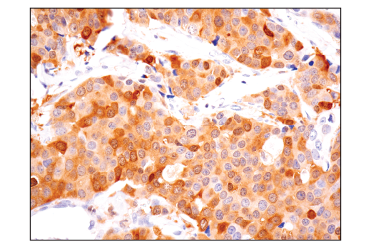
Immunohistochemical analysis of paraffin-embedded human renal cell carcinoma using ASC/TMS1 (E1E3I) Rabbit mAb.
undefined Image 29: Human Reactive Inflammasome Antibody Sampler Kit II
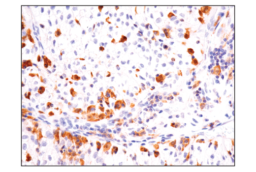
Immunohistochemical analysis of paraffin-embedded human T-cell lymphoma using ASC/TMS1 (E1E3I) Rabbit mAb.
undefined Image 30: Human Reactive Inflammasome Antibody Sampler Kit II
Orders: 877-616-CELL (2355) [email protected] Support: 877-678-TECH (8324) [email protected] Web: cellsignal.com
For Research Use Only. Not for Use in Diagnostic Procedures.

Revision 1

Cell Signaling Technology Logo
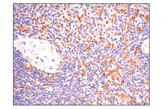
Immunohistochemical analysis of paraffin-embedded human spleen using ASC/TMS1 (E1E3I) Rabbit mAb.
undefined Image 31: Human Reactive Inflammasome Antibody Sampler Kit II
Simple Western™ analysis of lysates (0.1 mg/mL) from THP-1 cells treated with TPA (80nM, O/N) + LPS (1 µg/ml 15min) using IL-1β (D3U3E) Rabbit mAb #12703. The virtual lane view (left) shows the target band (as indicated) at 1:10 and 1:50 dilutions of primary antibody. The corresponding electropherogram view (right) plots chemiluminescence by molecular weight along the capillary at 1:10 (blue line) and 1:50 (green line) dilutions of primary antibody. This experiment was performed under reducing conditions on the Jess™ Simple Western instrument from ProteinSimple, a BioTechne brand, using the 12-230 kDa separation module.
undefined Image 32: Human Reactive Inflammasome Antibody Sampler Kit II

Simple WesternTM analysis of lysates (1.0 mg/mL) from THP-1 cells using Caspase-1 (D7F10) Rabbit mAb #3866. The virtual lane view (left) shows the target band (as indicated) at 1:10 and 1:50 dilutions of primary antibody. The corresponding electropherogram view (right) plots chemiluminescence by molecular weight along the capillary at 1:10 (blue line) and 1:50 (green line) dilutions of primary antibody. This experiment was performed under reducing conditions on the JessTM Simple Western instrument from ProteinSimple, a BioTechne brand, using the 12-230 kDa separation module.

undefined Image 33: Human Reactive Inflammasome Antibody Sampler Kit II
Orders: 877-616-CELL (2355) [email protected] Support: 877-678-TECH (8324) [email protected] Web: cellsignal.com
For Research Use Only. Not for Use in Diagnostic Procedures.