Revision 3

#79394

Store at -20C

CST Logo
Orders:

877-616-CELL (2355)

[email protected]

Support:

877-678-TECH (8324)

3 Trask Lane | Danvers | Massachusetts | 01923 | USA

For Research Use Only. Not for Use in Diagnostic Procedures.

Applications:
W, IHC-Bond, IHC-P, IF-F, IF-IC, FC-FP

Reactivity:
H M R Hm Mk

Sensitivity:
Endogenous

MW (kDa):
17

Source/Isotype:
Rabbit IgG

UniProt ID:
#P55008

Entrez-Gene Id:
199

Product Usage Information

This product is the carrier-free version of product #17198. All data were generated using the same antibody clone in the standard formulation which contains BSA and glycerol.

This formulation is ideal for use with technologies requiring specialized or custom antibody labeling, including fluorophores, metals, lanthanides, and oligonucleotides. It is not recommended for ChIP, ChIP-seq, CUT&RUN, or CUT&Tag assays. If you require a carrier-free formulation for chromatin profiling, please contact us. Optimal dilutions/concentrations should be determined by the end user.

BSA and Azide Free antibodies are quality control tested by size exclusion chromatography (SEC) to determine antibody integrity.

Formulation

Supplied in 1X PBS (10 mM Na2HPO4, 3 mM KCl, 2 mM KH2PO4, and 140 mM NaCl (pH 7.8)). BSA and Azide Free.

For standard formulation of this product see product #www.cellsignal.com/products/primary-antibodies/iba1-aif-1-e4o4w-xp-rabbit-mab/17198?_=1654003758885&Ntt=17198&tahead=true">17198.

Storage

Store at –20°C. This product will freeze at -20°C so it is recommended to aliquot into single-use vials to avoid multiple freeze/thaw cycles. A slight precipitate may be present and can be dissolved by gently vortexing. This will not interfere with antibody performance.

Specificity/Sensitivity

Iba1/AIF-1 (E4O4W) Rabbit Monoclonal Antibody (BSA and Azide Free) recognizes endogenous levels of total Iba1/AIF-1 protein.

Source / Purification

Monoclonal antibody is produced by immunizing animals with a synthetic peptide corresponding to residues surrounding Ala139 of human Iba1/AIF-1 protein.

Background

Ionized calcium-binding adaptor molecule 1 (Iba1), also known as allograft inflammatory factor 1 (AIF-1), is an evolutionarily conserved cytoplasmic calcium binding protein containing a central pair of EF-hand calcium binding motifs (1,2). Iba1/AIF-1 was originally cloned from activated macrophages in human atherosclerotic allogenic heart grafts undergoing chronic transplant rejection as well as from rat monocytes (3,4). Its function is not very well understood, but Iba1/AIF-1 expression is upregulated in response to interferon-gamma and, therefore, could modulate macrophage-dependent immune response (3). As an F-actin-binding protein, Iba1/AIF-1 may function to remodel the actin cytoskeleton and contribute to morphological changes that correlate with various microglial/macrophage states (5). Iba1/AIF-1 is also uniquely expressed in cells of monocytic lineage and is, therefore, widely used as a marker for microglia/macrophages in the brain and other tissue (6).

Species Reactivity

Species reactivity is determined by testing in at least one approved application (e.g., western blot).

Applications Key

W: Western Blotting IHC-Bond: IHC Leica Bond IHC-P: Immunohistochemistry (Paraffin) IF-F: Immunofluorescence (Frozen) IF-IC: Immunofluorescence (Immunocytochemistry) FC-FP: Flow Cytometry (Fixed/Permeabilized)

Cross-Reactivity Key

H: Human M: Mouse R: Rat Hm: Hamster Mk: Monkey

Trademarks and Patents

Cell Signaling Technology is a trademark of Cell Signaling Technology, Inc.

Alexa Fluor is a registered trademark of Life Technologies Corporation.

All other trademarks are the property of their respective owners. Visit cellsignal.com/trademarks for more information.

Limited Uses

Except as otherwise expressly agreed in a writing signed by a legally authorized representative of CST, the following terms apply to Products provided by CST, its affiliates or its distributors. Any Customer's terms and conditions that are in addition to, or different from, those contained herein, unless separately accepted in writing by a legally authorized representative of CST, are rejected and are of no force or effect.

Products are labeled with For Research Use Only or a similar labeling statement and have not been approved, cleared, or licensed by the FDA or other regulatory foreign or domestic entity, for any purpose. Customer shall not use any Product for any diagnostic or therapeutic purpose, or otherwise in any manner that conflicts with its labeling statement. Products sold or licensed by CST are provided for Customer as the end-user and solely for research and development uses. Any use of Product for diagnostic, prophylactic or therapeutic purposes, or any purchase of Product for resale (alone or as a component) or other commercial purpose, requires a separate license from CST. Customer shall (a) not sell, license, loan, donate or otherwise transfer or make available any Product to any third party, whether alone or in combination with other materials, or use the Products to manufacture any commercial products, (b) not copy, modify, reverse engineer, decompile, disassemble or otherwise attempt to discover the underlying structure or technology of the Products, or use the Products for the purpose of developing any products or services that would compete with CST products or services, (c) not alter or remove from the Products any trademarks, trade names, logos, patent or copyright notices or markings, (d) use the Products solely in accordance with CST Product Terms of Sale and any applicable documentation, and (e) comply with any license, terms of service or similar agreement with respect to any third party products or services used by Customer in connection with the Products.

Orders: 877-616-CELL (2355) [email protected] Support: 877-678-TECH (8324) [email protected] Web: cellsignal.com
For Research Use Only. Not for Use in Diagnostic Procedures.

Revision 3

Cell Signaling Technology Logo
Western blot analysis of extracts from various cell lines using Iba1/AIF-1 (E4O4W) XP® Rabbit mAb (upper) and β-Tubulin (D2N5G) Rabbit mAb #15115 (lower). Data were generated using the standard formulation of this product.
Western Blotting Image 1: Iba1/AIF-1 (E4O4W) Rabbit Monoclonal Antibody (BSA and Azide Free)
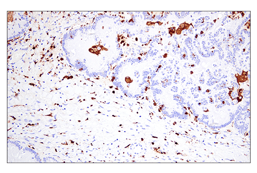
Immunohistochemical analysis of paraffin-embedded human neuroendocrine carcinoma of the lung using Iba1/AIF-1 (E4O4W) XP® Rabbit mAb performed on the Leica® BOND™ Rx. Data were generated using the standard formulation of this product.
Immunohistochemistry Image 1: Iba1/AIF-1 (E4O4W) Rabbit Monoclonal Antibody (BSA and Azide Free)
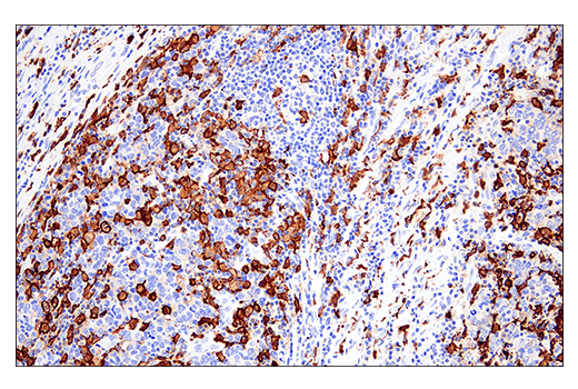
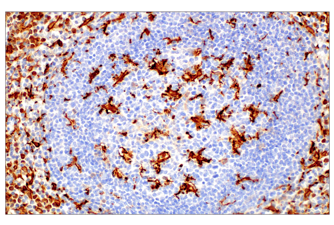
Immunohistochemical analysis of paraffin-embedded human non-Hodgkin lymphoma using Iba1/AIF-1 (E4O4W) XP® Rabbit mAb performed on the Leica® BOND™ Rx. Data were generated using the standard formulation of this product.
Immunohistochemistry Image 2: Iba1/AIF-1 (E4O4W) Rabbit Monoclonal Antibody (BSA and Azide Free)
Orders: 877-616-CELL (2355) [email protected] Support: 877-678-TECH (8324) [email protected] Web: cellsignal.com
For Research Use Only. Not for Use in Diagnostic Procedures.

Revision 3

Cell Signaling Technology Logo
Immunohistochemical analysis of paraffin-embedded human ovarian clear cell carcinoma using Iba1/AIF-1 (E4O4W) XP® Rabbit mAb (left) or Iba1/AIF-1 (E5N4J) Mouse mAb (IHC Formulated) #58970 (right) performed on the Leica® BOND™ Rx. These two antibodies detect independent, unique epitopes on human Iba1/AIF-1 protein. The similar staining patterns obtained with both antibodies help to confirm the specificity of the staining. Data were generated using the standard formulation of this product.
Immunohistochemistry Image 3: Iba1/AIF-1 (E4O4W) Rabbit Monoclonal Antibody (BSA and Azide Free)
Immunohistochemical analysis of paraffin-embedded mouse brain using Iba1/AIF-1 (E4O4W) XP® Rabbit mAb. Data were generated using the standard formulation of this product.
Immunohistochemistry Image 4: Iba1/AIF-1 (E4O4W) Rabbit Monoclonal Antibody (BSA and Azide Free)
Immunohistochemical analysis of paraffin-embedded THP-1 cell pellet (left, positive) or SH-SY5Y cell pellet (right, negative) using Iba1/AIF-1 (E4O4W) XP® Rabbit mAb. Data were generated using the standard formulation of this product.
Immunohistochemistry Image 5: Iba1/AIF-1 (E4O4W) Rabbit Monoclonal Antibody (BSA and Azide Free)
Orders: 877-616-CELL (2355) [email protected] Support: 877-678-TECH (8324) [email protected] Web: cellsignal.com
For Research Use Only. Not for Use in Diagnostic Procedures.

Revision 3

Cell Signaling Technology Logo
Immunohistochemical analysis of paraffin-embedded human ductal breast carcinoma using Iba1/AIF-1 (E4O4W) XP® Rabbit mAb (left) compared to concentration-matched Rabbit (DA1E) mAb IgG XP® Isotype Control #3900 (right). Data were generated using the standard formulation of this product.
Immunohistochemistry Image 6: Iba1/AIF-1 (E4O4W) Rabbit Monoclonal Antibody (BSA and Azide Free)
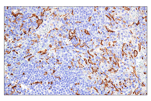
Immunohistochemical analysis of paraffin-embedded human ovarian serous carcinoma using Iba1/AIF-1 (E4O4W) XP® Rabbit mAb. Data were generated using the standard formulation of this product.
Immunohistochemistry Image 7: Iba1/AIF-1 (E4O4W) Rabbit Monoclonal Antibody (BSA and Azide Free)
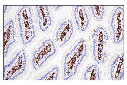
Immunohistochemical analysis of paraffin-embedded mouse small intestine using Iba1/AIF-1 (E4O4W) XP® Rabbit mAb. Data were generated using the standard formulation of this product.
Immunohistochemistry Image 8: Iba1/AIF-1 (E4O4W) Rabbit Monoclonal Antibody (BSA and Azide Free)
Orders: 877-616-CELL (2355) [email protected] Support: 877-678-TECH (8324) [email protected] Web: cellsignal.com
For Research Use Only. Not for Use in Diagnostic Procedures.

Revision 3

Cell Signaling Technology Logo
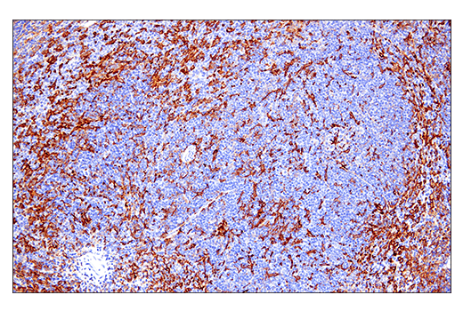
Immunohistochemical analysis of paraffin-embedded mouse spleen using Iba1/AIF-1 (E4O4W) XP® Rabbit mAb. Data were generated using the standard formulation of this product.
Immunohistochemistry Image 9: Iba1/AIF-1 (E4O4W) Rabbit Monoclonal Antibody (BSA and Azide Free)
Immunohistochemical analysis of paraffin-embedded human colon carcinoma using Iba1/AIF-1 (E4O4W) XP® Rabbit mAb. Data were generated using the standard formulation of this product.
Immunohistochemistry Image 10: Iba1/AIF-1 (E4O4W) Rabbit Monoclonal Antibody (BSA and Azide Free)
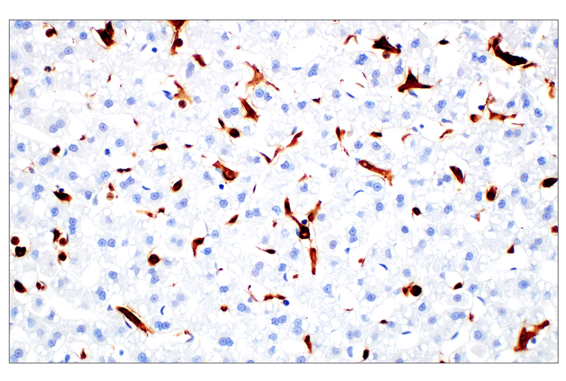
Immunohistochemical analysis of paraffin-embedded rhesus monkey liver using Iba1/AIF-1 (E4O4W) XP® Rabbit mAb. Data were generated using the standard formulation of this product.
Immunohistochemistry Image 11: Iba1/AIF-1 (E4O4W) Rabbit Monoclonal Antibody (BSA and Azide Free)
Orders: 877-616-CELL (2355) [email protected] Support: 877-678-TECH (8324) [email protected] Web: cellsignal.com
For Research Use Only. Not for Use in Diagnostic Procedures.

Revision 3

Cell Signaling Technology Logo
Immunohistochemical analysis of paraffin-embedded rat brain using Iba1/AIF-1 (E4O4W) XP® Rabbit mAb. Data were generated using the standard formulation of this product.
Immunohistochemistry Image 12: Iba1/AIF-1 (E4O4W) Rabbit Monoclonal Antibody (BSA and Azide Free)
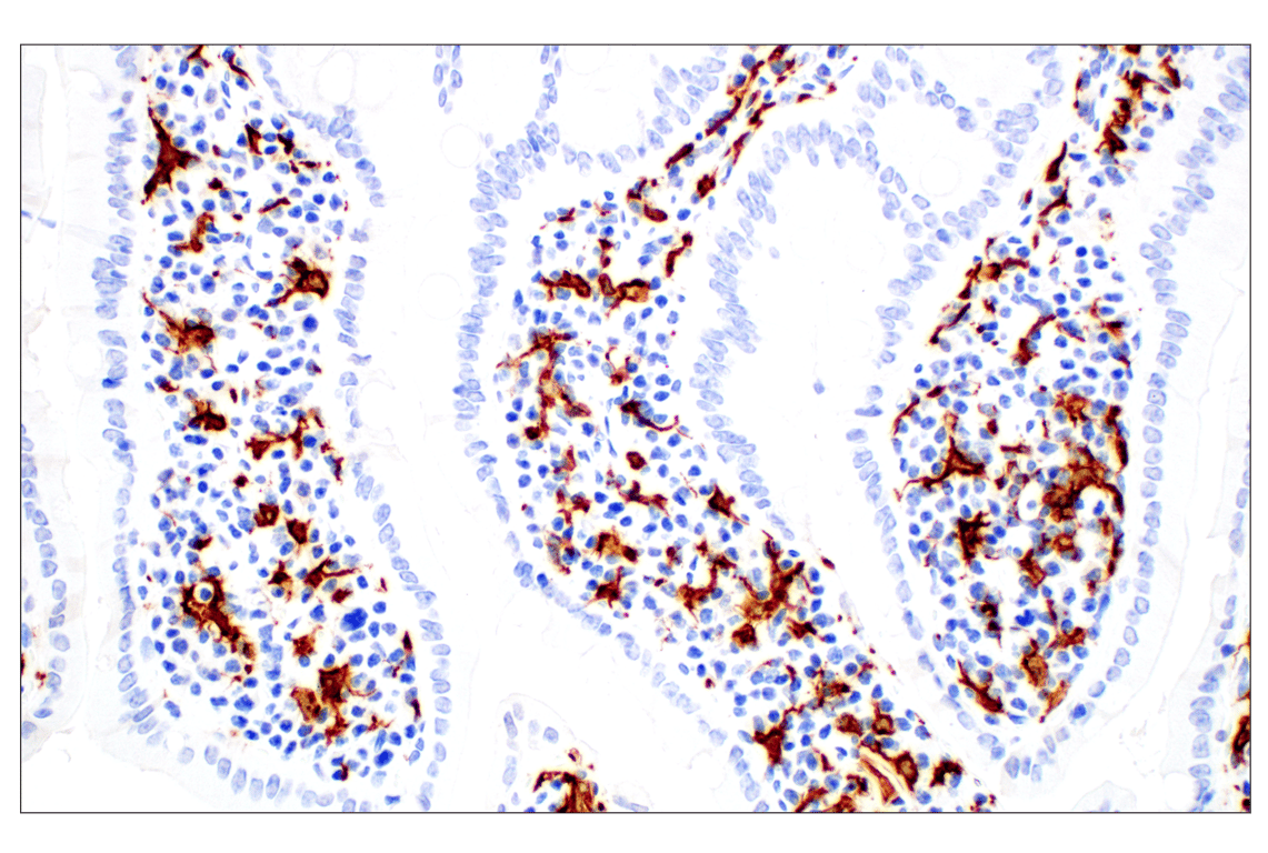
Immunohistochemical analysis of paraffin-embedded Syrian hamster small intestine using Iba1/AIF-1 (E4O4W) XP® Rabbit mAb. Data were generated using the standard formulation of this product.
Immunohistochemistry Image 13: Iba1/AIF-1 (E4O4W) Rabbit Monoclonal Antibody (BSA and Azide Free)
Immunohistochemical analysis of paraffin-embedded rhesus monkey spleen using Iba1/AIF-1 (E4O4W) XP® Rabbit mAb. Data were generated using the standard formulation of this product.
Immunohistochemistry Image 14: Iba1/AIF-1 (E4O4W) Rabbit Monoclonal Antibody (BSA and Azide Free)
Orders: 877-616-CELL (2355) [email protected] Support: 877-678-TECH (8324) [email protected] Web: cellsignal.com
For Research Use Only. Not for Use in Diagnostic Procedures.

Revision 3

Cell Signaling Technology Logo
Confocal immunofluorescent analysis of human cortex (left) and mouse CA1 hippocampus (right) using Iba1/AIF-1 (E4O4W) XP® Rabbit mAb (green). In mouse tissue sections, cell nuclei were labeled with DAPI (blue). Images kindly provided by Dr. Simone Brioschi and Dr. Marco Colonna (Washington University) and used with permission. Data were generated using the standard formulation of this product.
Immunofluorescence Image 1: Iba1/AIF-1 (E4O4W) Rabbit Monoclonal Antibody (BSA and Azide Free)
Confocal immunofluorescent analysis of mouse small intestine using Iba1/AIF-1 (E4O4W) XP® Rabbit mAb (green). Actin filaments were labeled with DyLight™ 554 Phalloidin #13054 (red). Sections were mounted in ProLong® Gold Antifade Reagent with DAPI #8961 (blue). Data were generated using the standard formulation of this product.
Immunofluorescence Image 2: Iba1/AIF-1 (E4O4W) Rabbit Monoclonal Antibody (BSA and Azide Free)
Confocal immunofluorescent analysis of mouse liver using Iba1/AIF-1 (E4O4W) XP® Rabbit mAb (green). Actin filaments were labeled with DyLight™ 554 Phalloidin #13054 (red). Sections were mounted in ProLong® Gold Antifade Reagent with DAPI #8961 (blue). Data were generated using the standard formulation of this product.
Immunofluorescence Image 3: Iba1/AIF-1 (E4O4W) Rabbit Monoclonal Antibody (BSA and Azide Free)
Orders: 877-616-CELL (2355) [email protected] Support: 877-678-TECH (8324) [email protected] Web: cellsignal.com
For Research Use Only. Not for Use in Diagnostic Procedures.

Revision 3

Cell Signaling Technology Logo
Confocal immunofluorescent analysis of microglia in mouse hippocampus using Iba1/AIF-1 (E4O4W) XP® Rabbit mAb (green). Sections were mounted in ProLong® Gold Antifade Reagent with DAPI #8961 (blue). Data were generated using the standard formulation of this product.
Immunofluorescence Image 4: Iba1/AIF-1 (E4O4W) Rabbit Monoclonal Antibody (BSA and Azide Free)
Confocal immunofluorescent analysis of THP-1 cells differentiated with TPA (12-O-Tetradecanoylphorbol-13-Acetate) #4174 (80 nM, 24 hr; left, positive) and SH-SY5Y cells (right, negative), using Iba1/AIF-1 (E4O4W) XP® Rabbit mAb (green). Actin filaments were labeled with DyLight™ 554 Phalloidin #13054 (red). Samples were mounted in ProLong® Gold Antifade Reagent with DAPI #8961 (blue). Data were generated using the standard formulation of this product.
Immunofluorescence Image 1: Iba1/AIF-1 (E4O4W) Rabbit Monoclonal Antibody (BSA and Azide Free)
Flow cytometric analysis of SH-SY5Y cells (blue, negative) and THP-1 cells (green, positive) using Iba1/AIF-1 (E4O4W) XP® Rabbit mAb (solid lines) or concentration-matched Rabbit (DA1E) mAb IgG XP® Isotype Control #3900 (dashed lines). Anti-rabbit IgG (H+L), F(ab')2 Fragment (Alexa Fluor® 488 Conjugate) #4412 was used as a secondary antibody. Data were generated using the standard formulation of this product.
Flow Cytometry Image 1: Iba1/AIF-1 (E4O4W) Rabbit Monoclonal Antibody (BSA and Azide Free)
Orders: 877-616-CELL (2355) [email protected] Support: 877-678-TECH (8324) [email protected] Web: cellsignal.com
For Research Use Only. Not for Use in Diagnostic Procedures.