Revision 6

#67223

Store at -20C

CST Logo
Orders:

877-616-CELL (2355)

[email protected]

Support:

877-678-TECH (8324)

3 Trask Lane | Danvers | Massachusetts | 01923 | USA

For Research Use Only. Not for Use in Diagnostic Procedures.

Applications:
W, IP, IHC-P, IF-F

Reactivity:
M R

Sensitivity:
Endogenous

MW (kDa):
22-35

Source/Isotype:
Rabbit IgG

UniProt ID:
#Q9WVS0

Entrez-Gene Id:
54167

Product Usage Information

Application Dilution
Western Blotting 1:1000
Immunoprecipitation 1:100
Immunohistochemistry (Paraffin) 1:50 - 1:200
Immunofluorescence (Frozen) 1:200 - 1:800

Storage

Supplied in 10 mM sodium HEPES (pH 7.5), 150 mM NaCl, 100 µg/ml BSA, 50% glycerol and less than 0.02% sodium azide. Store at –20°C. Do not aliquot the antibody.

For a carrier free (BSA and azide free) version of this product see product #18670.

Specificity/Sensitivity

ICOS (E5F7E) Rabbit Monoclonal Antibody recognizes endogenous levels of total mouse ICOS protein.

Source / Purification

Monoclonal antibody is produced by immunizing animals with a synthetic peptide corresponding to residues surrounding Val198 of mouse ICOS protein.

Background

ICOS (Inducible Co-Stimulator, CD278) is a member of the CD28 family that regulates T cell activity and immune responses (1). The ICOS protein contains an extracellular IgV-like domain, a transmembrane domain, and an intracellular domain with a YMFM motif (1-2). ICOS is primarily expressed on activated CD4+ and CD8+ T cells (1). Upon binding to its ligand, ICOS potentiates the T cell response to antigen through activation of the PI3K signaling pathway (3). In addition to enhancing T cell activation and proliferation, ICOS plays an important role in the regulation of T follicular helper cells (4). Research studies suggest that ICOS is a potential therapeutic target, and could serve as a prognostic biomarker for neoplastic therapy involving CTLA-4 blockade (5-7).

Species Reactivity

Species reactivity is determined by testing in at least one approved application (e.g., western blot).

Western Blot Buffer

IMPORTANT: For western blots, incubate membrane with diluted primary antibody in 5% w/v nonfat dry milk, 1X TBS, 0.1% Tween® 20 at 4°C with gentle shaking, overnight.

Applications Key

W: Western Blotting IP: Immunoprecipitation IHC-P: Immunohistochemistry (Paraffin) IF-F: Immunofluorescence (Frozen)

Cross-Reactivity Key

M: Mouse R: Rat

Trademarks and Patents

Cell Signaling Technology is a trademark of Cell Signaling Technology, Inc.

All other trademarks are the property of their respective owners. Visit cellsignal.com/trademarks for more information.

Limited Uses

Except as otherwise expressly agreed in a writing signed by a legally authorized representative of CST, the following terms apply to Products provided by CST, its affiliates or its distributors. Any Customer's terms and conditions that are in addition to, or different from, those contained herein, unless separately accepted in writing by a legally authorized representative of CST, are rejected and are of no force or effect.

Products are labeled with For Research Use Only or a similar labeling statement and have not been approved, cleared, or licensed by the FDA or other regulatory foreign or domestic entity, for any purpose. Customer shall not use any Product for any diagnostic or therapeutic purpose, or otherwise in any manner that conflicts with its labeling statement. Products sold or licensed by CST are provided for Customer as the end-user and solely for research and development uses. Any use of Product for diagnostic, prophylactic or therapeutic purposes, or any purchase of Product for resale (alone or as a component) or other commercial purpose, requires a separate license from CST. Customer shall (a) not sell, license, loan, donate or otherwise transfer or make available any Product to any third party, whether alone or in combination with other materials, or use the Products to manufacture any commercial products, (b) not copy, modify, reverse engineer, decompile, disassemble or otherwise attempt to discover the underlying structure or technology of the Products, or use the Products for the purpose of developing any products or services that would compete with CST products or services, (c) not alter or remove from the Products any trademarks, trade names, logos, patent or copyright notices or markings, (d) use the Products solely in accordance with CST Product Terms of Sale and any applicable documentation, and (e) comply with any license, terms of service or similar agreement with respect to any third party products or services used by Customer in connection with the Products.

Orders: 877-616-CELL (2355) [email protected] Support: 877-678-TECH (8324) [email protected] Web: cellsignal.com
For Research Use Only. Not for Use in Diagnostic Procedures.

Revision 6

Cell Signaling Technology Logo
Western blot analysis of extracts from various cells and tissues using ICOS (E5F7E) Rabbit mAb (upper) or β-Actin (D6A8) Rabbit mAb #8457 (lower). CD4+ T cells were purified from mouse spleens or human blood and stimulated for 7 days using beads coated with CD3 and CD28 antibodies in the presence of Mouse Interleukin-2 (mIL-2) (20 ng/ml) or Human Interleukin-2 (hIL-2) #8907 (20 ng/ml).
Western Blotting Image 1: ICOS (E5F7E) Rabbit Monoclonal Antibody
Immunoprecipitation of ICOS protein from mouse CD4+ T cell extracts. Lane 1 is 10% input, lane 2 is Rabbit (DA1E) mAb IgG XP® Isotype Control #3900, and lane 3 is ICOS (E5F7E) Rabbit mAb. Western blot analysis was performed using ICOS (E5F7E) Rabbit mAb. CD4+ T cells were purified from mouse spleens and stimulated for 7 days using beads coated with CD3 and CD28 antibodies in the presence of Mouse Interleukin-2 (mIL-2) (20 ng/ml).
Immunoprecipitation Image 1: ICOS (E5F7E) Rabbit Monoclonal Antibody
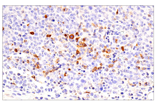
Immunohistochemical analysis of paraffin-embedded A20 syngeneic tumor using ICOS (E5F7E) Rabbit mAb.
Immunohistochemistry Image 1: ICOS (E5F7E) Rabbit Monoclonal Antibody
Orders: 877-616-CELL (2355) [email protected] Support: 877-678-TECH (8324) [email protected] Web: cellsignal.com
For Research Use Only. Not for Use in Diagnostic Procedures.

Revision 6

Cell Signaling Technology Logo
Immunohistochemical analysis of paraffin-embedded 4T1 syngeneic mammary tumor (two regions of interest) using ICOS (E5F7E) Rabbit mAb.
Immunohistochemistry Image 2: ICOS (E5F7E) Rabbit Monoclonal Antibody
Immunohistochemical analysis of paraffin-embedded normal mouse spleen using ICOS (E5F7E) Rabbit mAb.
Immunohistochemistry Image 3: ICOS (E5F7E) Rabbit Monoclonal Antibody
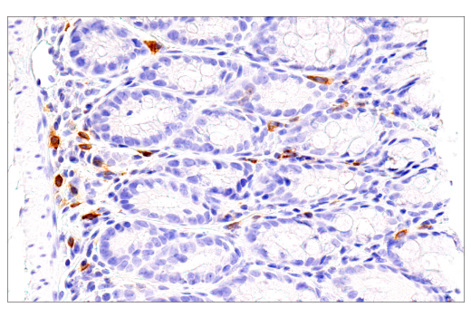
Immunohistochemical analysis of paraffin-embedded normal mouse colon using ICOS (E5F7E) Rabbit mAb.
Immunohistochemistry Image 4: ICOS (E5F7E) Rabbit Monoclonal Antibody
Orders: 877-616-CELL (2355) [email protected] Support: 877-678-TECH (8324) [email protected] Web: cellsignal.com
For Research Use Only. Not for Use in Diagnostic Procedures.

Revision 6

Cell Signaling Technology Logo
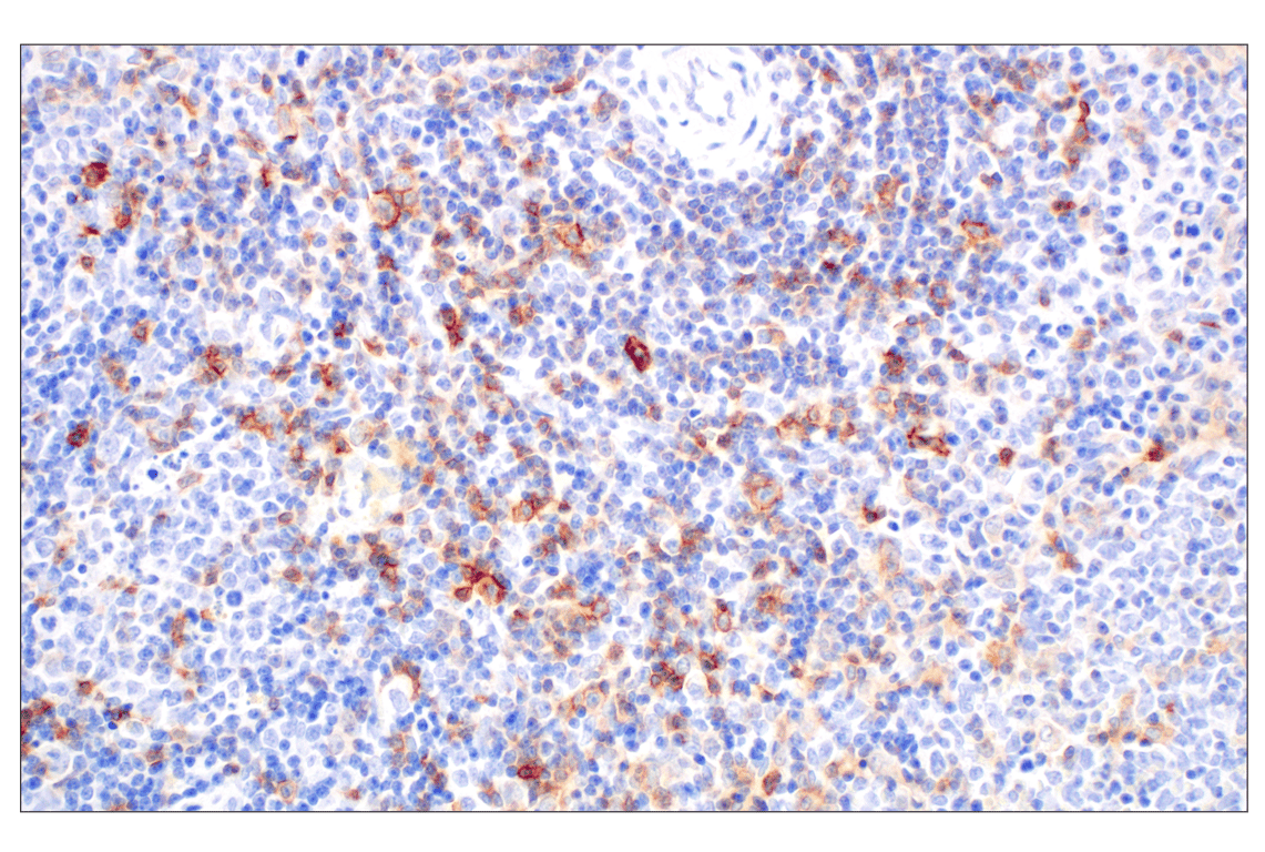
Immunohistochemical analysis of paraffin-embedded normal mouse thymus using ICOS (E5F7E) Rabbit mAb.
Immunohistochemistry Image 5: ICOS (E5F7E) Rabbit Monoclonal Antibody
Immunohistochemical analysis of paraffin-embedded rat spleen using ICOS (E5F7E) Rabbit mAb.
Immunohistochemistry Image 6: ICOS (E5F7E) Rabbit Monoclonal Antibody
Immunohistochemical analysis of paraffin-embedded normal mouse spleen using ICOS (E5F7E) Rabbit mAb (left) compared to concentration-matched Rabbit (DA1E) mAb IgG XP® Isotype Control #3900 (right).
Immunohistochemistry Image 7: ICOS (E5F7E) Rabbit Monoclonal Antibody
Orders: 877-616-CELL (2355) [email protected] Support: 877-678-TECH (8324) [email protected] Web: cellsignal.com
For Research Use Only. Not for Use in Diagnostic Procedures.

Revision 6

Cell Signaling Technology Logo
Immunohistochemical analysis of paraffin-embedded purified CD4+ cell pellet (left, positive) or C2C12 cell pellet (right, negative) using ICOS (E5F7E) Rabbit mAb. CD4+ cells were purified from mouse spleens and stimulated for 12 days using beads coated with CD3 and CD28 antibodies in the presence of Mouse Interleukin-2 (mIL-2) (20 ng/mL).
Immunohistochemistry Image 8: ICOS (E5F7E) Rabbit Monoclonal Antibody
Confocal immunofluorescent analysis of mouse spleen using ICOS (E5F7E) Rabbit mAb (green pseudocolor) and CD4 (RM4-5) Rat mAb #96127 (FITC Conjugate) (red pseudocolor). Samples were mounted in ProLong® Gold Antifade Reagent with DAPI #8961 (blue).
Immunofluorescence Image 1: ICOS (E5F7E) Rabbit Monoclonal Antibody
Orders: 877-616-CELL (2355) [email protected] Support: 877-678-TECH (8324) [email protected] Web: cellsignal.com
For Research Use Only. Not for Use in Diagnostic Procedures.