Revision 1

#66969

Store at -20C

CST Logo
Orders:

877-616-CELL (2355)

[email protected]

Support:

877-678-TECH (8324)

3 Trask Lane | Danvers | Massachusetts | 01923 | USA

For Research Use Only. Not for Use in Diagnostic Procedures.

Applications:
W, IHC-P

Reactivity:
H Mk

Sensitivity:
Endogenous

MW (kDa):
46

Source/Isotype:
Rat IgG2a

UniProt ID:
#O75874

Entrez-Gene Id:
3417

Product Usage Information

Application Dilution
Western Blotting 1:1000
Immunohistochemistry (Paraffin) 1:50 - 1:200

Storage

Supplied in 10 mM sodium HEPES (pH 7.5), 150 mM NaCl, 100 µg/ml BSA, 50% glycerol and less than 0.02% sodium azide. Store at –20°C. Do not aliquot the antibody.

Specificity/Sensitivity

IDH1 (RcMab-1) Rat Monoclonal Antibody recognizes endogenous levels of total IDH1 protein. This antibody also detects IDH1 when mutated at Arg132 (9).

Source / Purification

Monoclonal antibody is produced by immunizing animals with recombinant protein corresponding to human IDH1 protein (9,10).

Background

IDH1 is one of three isocitrate dehydrogenases that catalyze the oxidative decarboxylation of isocitrate to α-ketoglutarate (α-KG). These enzymes exist in two distinct subclasses that utilize either NAD or NADP+ respectively, as an electron acceptor (1). IDH1 is the NADP+-dependent isocitrate dehydrogenase found in the cytoplasm and peroxisomes. IDH2 and 3 are mitochondrial enzymes that also function in the Krebs cycle. IDH1 is inactivated by phosphorylation at Ser113 and contains a clasp-like domain wherein both polypeptide chains in the dimer interlock (2,3). IDH1 is expressed in a wide range of species and also in organisms that lack a complete citric acid cycle. Mutations in IDH1 have been reported in glioblastoma (4), acute myeloid leukemia (5,6), and other malignancies (7). IDH1 appears to function as a tumor suppressor that, when mutationally inactivated, contributes to tumorigenesis in part through induction of the HIF-1 pathway (8).

Species Reactivity

Species reactivity is determined by testing in at least one approved application (e.g., western blot).

Western Blot Buffer

IMPORTANT: For western blots, incubate membrane with diluted primary antibody in 5% w/v BSA, 1X TBS, 0.1% Tween® 20 at 4°C with gentle shaking, overnight.

Applications Key

W: Western Blotting IHC-P: Immunohistochemistry (Paraffin)

Cross-Reactivity Key

H: Human Mk: Monkey

Trademarks and Patents

Cell Signaling Technology is a trademark of Cell Signaling Technology, Inc.

SignalStain is a registered trademark of Cell Signaling Technology, Inc.

All other trademarks are the property of their respective owners. Visit cellsignal.com/trademarks for more information.

Limited Uses

Except as otherwise expressly agreed in a writing signed by a legally authorized representative of CST, the following terms apply to Products provided by CST, its affiliates or its distributors. Any Customer's terms and conditions that are in addition to, or different from, those contained herein, unless separately accepted in writing by a legally authorized representative of CST, are rejected and are of no force or effect.

Products are labeled with For Research Use Only or a similar labeling statement and have not been approved, cleared, or licensed by the FDA or other regulatory foreign or domestic entity, for any purpose. Customer shall not use any Product for any diagnostic or therapeutic purpose, or otherwise in any manner that conflicts with its labeling statement. Products sold or licensed by CST are provided for Customer as the end-user and solely for research and development uses. Any use of Product for diagnostic, prophylactic or therapeutic purposes, or any purchase of Product for resale (alone or as a component) or other commercial purpose, requires a separate license from CST. Customer shall (a) not sell, license, loan, donate or otherwise transfer or make available any Product to any third party, whether alone or in combination with other materials, or use the Products to manufacture any commercial products, (b) not copy, modify, reverse engineer, decompile, disassemble or otherwise attempt to discover the underlying structure or technology of the Products, or use the Products for the purpose of developing any products or services that would compete with CST products or services, (c) not alter or remove from the Products any trademarks, trade names, logos, patent or copyright notices or markings, (d) use the Products solely in accordance with CST Product Terms of Sale and any applicable documentation, and (e) comply with any license, terms of service or similar agreement with respect to any third party products or services used by Customer in connection with the Products.

Orders: 877-616-CELL (2355) [email protected] Support: 877-678-TECH (8324) [email protected] Web: cellsignal.com
For Research Use Only. Not for Use in Diagnostic Procedures.

Revision 1

Cell Signaling Technology Logo
Western blot analysis of extracts from Hela cells, either wild type (lane 1) or IDH1 knock-out (lane 2), using IDH1 (RcMab-1) Rat mAb (upper) and β-Actin (D6A8) Rabbit mAb #8457 (lower).  The absence of signal in lane 2 (upper panel) demonstrates specificity of the antibody for IDH1.
Western Blotting Image 1: IDH1 (RcMab-1) Rat Monoclonal Antibody
Western blot analysis of extracts from various cell lines using IDH1 (RcMab-1) Rat mAb (upper) and β-Actin (D6A8) Rabbit mAb #8457 (lower). Expression levels of IDH1 among cell lines are consistent with expectations based on publicly available bioinformatic databases.
Western Blotting Image 2: IDH1 (RcMab-1) Rat Monoclonal Antibody
Western blot analysis of recombinant GST-tagged IDH1 (lane 1) or recombinant GST-tagged IDH2 (lane 2), using IDH1 (RcMab-1) Rat mAb (upper) and GST (91G1) Rabbit mAb #2625 (lower). The absence of signal in lane 2 (upper panel) demonstrates lack of cross-reactivity of the antibody with IDH2.
Western Blotting Image 3: IDH1 (RcMab-1) Rat Monoclonal Antibody
Orders: 877-616-CELL (2355) [email protected] Support: 877-678-TECH (8324) [email protected] Web: cellsignal.com
For Research Use Only. Not for Use in Diagnostic Procedures.

Revision 1

Cell Signaling Technology Logo
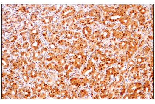
Immunohistochemical analysis of paraffin-embedded human prostate adenocarcinoma using IDH1 (RcMab-1) Rat mAb.
Immunohistochemistry Image 1: IDH1 (RcMab-1) Rat Monoclonal Antibody
Immunohistochemical analysis of paraffin-embedded OV-90 cell pellet (left, high-expressing) or HBP-ALL cell pellet (right, low-expressing) using IDH1 (RcMab-1) Rat mAb.
Immunohistochemistry Image 2: IDH1 (RcMab-1) Rat Monoclonal Antibody
Immunohistochemical analysis of paraffin-embedded human prostate adenocarcinoma using IDH1 (RcMab-1) Rat mAb (left) or IDH1 Mouse mAb (right). These two antibodies detect independent, unique epitopes on human IDH1. The similar staining patterns obtained with both antibodies help to confirm the specificity of the staining. Note: IDH1 Mouse mAb is weaker than IDH1 (RcMab-1) Rat mAb and, therefore, does not stain all features with the same intensity, but it does help to confirm the specificity of the nuclear staining.
Immunohistochemistry Image 3: IDH1 (RcMab-1) Rat Monoclonal Antibody
Orders: 877-616-CELL (2355) [email protected] Support: 877-678-TECH (8324) [email protected] Web: cellsignal.com
For Research Use Only. Not for Use in Diagnostic Procedures.

Revision 1

Cell Signaling Technology Logo
Immunohistochemical analysis of paraffin-embedded human ductal breast carcinoma using IDH1 (RcMab-1) Rat mAb.
Immunohistochemistry Image 4: IDH1 (RcMab-1) Rat Monoclonal Antibody
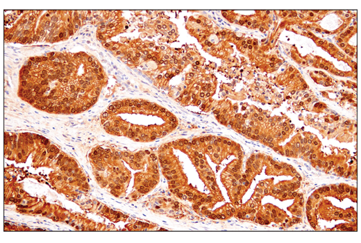
Immunohistochemical analysis of paraffin-embedded human colon adenocarcinoma using IDH1 (RcMab-1) Rat mAb.
Immunohistochemistry Image 5: IDH1 (RcMab-1) Rat Monoclonal Antibody
Orders: 877-616-CELL (2355) [email protected] Support: 877-678-TECH (8324) [email protected] Web: cellsignal.com
For Research Use Only. Not for Use in Diagnostic Procedures.