Revision 3

#60322

Store at -20C

CST Logo
Orders:

877-616-CELL (2355)

[email protected]

Support:

877-678-TECH (8324)

3 Trask Lane | Danvers | Massachusetts | 01923 | USA

For Research Use Only. Not for Use in Diagnostic Procedures.

Applications:
W, IP, IHC-P, IF-IC, FC-FP

Reactivity:
H M R Mk

Sensitivity:
Endogenous

MW (kDa):
43

Source/Isotype:
Mouse IgG2b

UniProt ID:
#P48735

Entrez-Gene Id:
3418

Product Usage Information

Application Dilution
Western Blotting 1:1000
Immunoprecipitation 1:50
Immunohistochemistry (Paraffin) 1:50 - 1:200
Immunofluorescence (Immunocytochemistry) 1:50
Flow Cytometry (Fixed/Permeabilized) 1:50 - 1:200

Storage

Supplied in 10 mM sodium HEPES (pH 7.5), 150 mM NaCl, 100 µg/ml BSA, 50% glycerol and less than 0.02% sodium azide. Store at –20°C. Do not aliquot the antibody.

Specificity/Sensitivity

IDH2 (KrMab-3) Mouse Monoclonal Antibody recognizes endogenous levels of total IDH2 protein.

Source / Purification

Monoclonal antibody is produced by immunizing animals with a synthetic peptide corresponding to residues surrounding Ala174 of human IDH2 protein, as described by Kaneko et al. (2013) [8].

Background

IDH2 is one of three isocitrate dehydrogenases (IDH1-3) that catalyze the oxidative decarboxylation of isocitrate to produce CO2 and α-ketoglutarate (α-KG). These enzymes belong to two distinct subclasses that utilize either NAD or NADP+ as an electron acceptor. IDH2 is an NADP+-dependent isocitrate dehydrogenase expressed primarily in the mitochondria, where it also functions in the TCA cycle (1,2). Mutations in IDH2 or its cytoplasmic counterpart (IDH1) have been reported in glioblastoma multiforme (3), acute myeloid leukemia (4,5), and other malignancies (6). Research studies have shown that gain-of-function mutations in IDH2 can lead to the accumulation and secretion of the oncometabolite R-2-hydroxyglutarate (2HG) in cancer cells (6,7).

Species Reactivity

Species reactivity is determined by testing in at least one approved application (e.g., western blot).

Western Blot Buffer

IMPORTANT: For western blots, incubate membrane with diluted primary antibody in 5% w/v BSA, 1X TBS, 0.1% Tween® 20 at 4°C with gentle shaking, overnight.

Applications Key

W: Western Blotting IP: Immunoprecipitation IHC-P: Immunohistochemistry (Paraffin) IF-IC: Immunofluorescence (Immunocytochemistry) FC-FP: Flow Cytometry (Fixed/Permeabilized)

Cross-Reactivity Key

H: Human M: Mouse R: Rat Mk: Monkey

Trademarks and Patents

Cell Signaling Technology is a trademark of Cell Signaling Technology, Inc.

SignalStain is a registered trademark of Cell Signaling Technology, Inc.

All other trademarks are the property of their respective owners. Visit cellsignal.com/trademarks for more information.

Limited Uses

Except as otherwise expressly agreed in a writing signed by a legally authorized representative of CST, the following terms apply to Products provided by CST, its affiliates or its distributors. Any Customer's terms and conditions that are in addition to, or different from, those contained herein, unless separately accepted in writing by a legally authorized representative of CST, are rejected and are of no force or effect.

Products are labeled with For Research Use Only or a similar labeling statement and have not been approved, cleared, or licensed by the FDA or other regulatory foreign or domestic entity, for any purpose. Customer shall not use any Product for any diagnostic or therapeutic purpose, or otherwise in any manner that conflicts with its labeling statement. Products sold or licensed by CST are provided for Customer as the end-user and solely for research and development uses. Any use of Product for diagnostic, prophylactic or therapeutic purposes, or any purchase of Product for resale (alone or as a component) or other commercial purpose, requires a separate license from CST. Customer shall (a) not sell, license, loan, donate or otherwise transfer or make available any Product to any third party, whether alone or in combination with other materials, or use the Products to manufacture any commercial products, (b) not copy, modify, reverse engineer, decompile, disassemble or otherwise attempt to discover the underlying structure or technology of the Products, or use the Products for the purpose of developing any products or services that would compete with CST products or services, (c) not alter or remove from the Products any trademarks, trade names, logos, patent or copyright notices or markings, (d) use the Products solely in accordance with CST Product Terms of Sale and any applicable documentation, and (e) comply with any license, terms of service or similar agreement with respect to any third party products or services used by Customer in connection with the Products.

Orders: 877-616-CELL (2355) [email protected] Support: 877-678-TECH (8324) [email protected] Web: cellsignal.com
For Research Use Only. Not for Use in Diagnostic Procedures.

Revision 3

Cell Signaling Technology Logo
Western blot analysis of extracts from various cell lines using IDH2 (KrMab-3) Mouse mAb (upper) and β-Actin (D6A8) Rabbit mAb #8457 (lower). The relative levels of IDH2 protein expression detected among cell lines are consistent with expression data reported in public bioinformatic databases.
Western Blotting Image 1: IDH2 (KrMab-3) Mouse Monoclonal Antibody
Immunoprecipitation of IDH2 from Jurkat cell extracts. Lane 1 is 10% input, lane 2 is Mouse (E7Q5L) mAb IgG2b Isotype Control #53484, and lane 3 is IDH2 (KrMab-3) Mouse mAb. Western blot analysis was performed using IDH2 (D8E3B) Rabbit mAb #56439. Anti-rabbit IgG, HRP-linked Antibody #7074 was used as the secondary antibody.
Immunoprecipitation Image 1: IDH2 (KrMab-3) Mouse Monoclonal Antibody
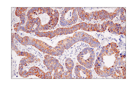
Immunohistochemical analysis of paraffin-embedded human ductal breast carcinoma using IDH2 (KrMab-3) Mouse mAb.
Immunohistochemistry Image 1: IDH2 (KrMab-3) Mouse Monoclonal Antibody
Orders: 877-616-CELL (2355) [email protected] Support: 877-678-TECH (8324) [email protected] Web: cellsignal.com
For Research Use Only. Not for Use in Diagnostic Procedures.

Revision 3

Cell Signaling Technology Logo
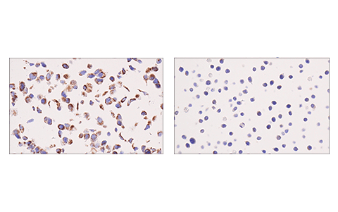
Immunohistochemical analysis of paraffin-embedded MCF7 cell pellet (left, positive) or SR cell pellet (right, negative) using IDH2 (KrMab-3) Mouse mAb.
Immunohistochemistry Image 2: IDH2 (KrMab-3) Mouse Monoclonal Antibody
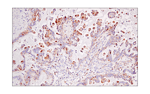
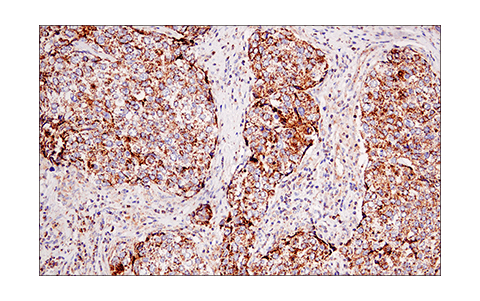
Immunohistochemical analysis of paraffin-embedded human colon carcinoma using IDH2 (KrMab-3) Mouse mAb.
Immunohistochemistry Image 3: IDH2 (KrMab-3) Mouse Monoclonal Antibody
Immunohistochemical analysis of paraffin-embedded human lung adenocarcinoma using IDH2 (KrMab-3) Mouse mAb.
Immunohistochemistry Image 4: IDH2 (KrMab-3) Mouse Monoclonal Antibody
Orders: 877-616-CELL (2355) [email protected] Support: 877-678-TECH (8324) [email protected] Web: cellsignal.com
For Research Use Only. Not for Use in Diagnostic Procedures.

Revision 3

Cell Signaling Technology Logo
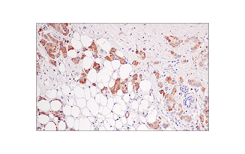
Immunohistochemical analysis of paraffin-embedded human ovarian serous carcinoma using IDH2 (KrMab-3) Mouse mAb.
Immunohistochemistry Image 5: IDH2 (KrMab-3) Mouse Monoclonal Antibody
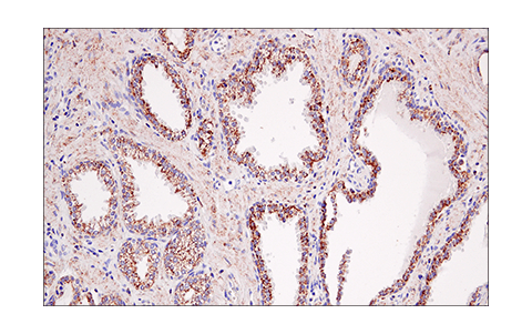
Immunohistochemical analysis of paraffin-embedded human prostate carcinoma using IDH2 (KrMab-3) Mouse mAb.
Immunohistochemistry Image 6: IDH2 (KrMab-3) Mouse Monoclonal Antibody
Confocal immunofluorescent analysis of MCF7 cells (left, positive) and SR cells (right, negative) using IDH2 (KrMab-3) Mouse mAb (green). Samples were mounted in ProLong® Gold Antifade Reagent with DAPI #8961 (blue).
Immunofluorescence Image 1: IDH2 (KrMab-3) Mouse Monoclonal Antibody
Orders: 877-616-CELL (2355) [email protected] Support: 877-678-TECH (8324) [email protected] Web: cellsignal.com
For Research Use Only. Not for Use in Diagnostic Procedures.

Revision 3

Cell Signaling Technology Logo
Flow cytometric analysis of SR cells (blue, negative) and MCF7 cells (green, positive) using IDH2 (KrMab-3) Mouse mAb #60322 (solid lines) or a concentration matched Mouse (E7Q5L) mAb IgG2b Isotype Control #53484 (dashed lines). Anti-mouse IgG (H+L), F(ab')2 Fragment (Alexa Fluor® 488 Conjugate) #4408 was used as a secondary antibody.
Flow Cytometry Image 1: IDH2 (KrMab-3) Mouse Monoclonal Antibody
Orders: 877-616-CELL (2355) [email protected] Support: 877-678-TECH (8324) [email protected] Web: cellsignal.com
For Research Use Only. Not for Use in Diagnostic Procedures.