Revision 1

#51851

Store at -20C

CST Logo
Orders:

877-616-CELL (2355)

[email protected]

Support:

877-678-TECH (8324)

3 Trask Lane | Danvers | Massachusetts | 01923 | USA

For Research Use Only. Not for Use in Diagnostic Procedures.

Applications:
W, IP, IF-IC

Reactivity:
M

Sensitivity:
Endogenous

MW (kDa):
43

Source/Isotype:
Rabbit IgG

UniProt ID:
#P28776

Entrez-Gene Id:
15930

Product Usage Information

Application Dilution
Western Blotting 1:1000
Immunoprecipitation 1:200
Immunofluorescence (Immunocytochemistry) 1:1600

Storage

Supplied in 10 mM sodium HEPES (pH 7.5), 150 mM NaCl, 100 µg/ml BSA, 50% glycerol and less than 0.02% sodium azide. Store at –20°C. Do not aliquot the antibody.

Specificity/Sensitivity

IDO (D8W5E) Rabbit Monoclonal Antibody recognizes endogenous levels of total IDO protein. This antibody does not cross-react with mouse IDO2.

Source / Purification

Monoclonal antibody is produced by immunizing animals with recombinant mouse IDO protein.

Background

INDO/IDO1/indoleamine 2,3-dioxygenase (IDO) is an IFN-γ-inducible enzyme that catalyzes the rate-limiting step of tryptophan degradation (1). IDO is upregulated in many tumors and in dendritic cells in tumor-draining lymph nodes. Elevated tryptophan catabolism in these cells leads to tryptophan starvation of T cells, limiting T cell proliferation and activation (2). Therefore, IDO is considered an immunosuppressive molecule, and research studies have shown that upregulation of IDO is a mechanism of cancer immune evasion (3). The gastrointestinal stromal tumor drug, imatinib, was found to act, in part, by reducing IDO expression, resulting in increased CD8+ T cell activation and induction of apoptosis in regulatory T cells (4). In addition to its enzymatic activity, IDO was recently shown to have signaling capability through an immunoreceptor tyrosine-based inhibitory motif (ITIM) that is phosphorylated by Fyn in response to TGF-β. This leads to recruitment of SHP-1 and activation of the noncanonical NF-κB pathway (5).

Species Reactivity

Species reactivity is determined by testing in at least one approved application (e.g., western blot).

Western Blot Buffer

IMPORTANT: For western blots, incubate membrane with diluted primary antibody in 5% w/v BSA, 1X TBS, 0.1% Tween® 20 at 4°C with gentle shaking, overnight.

Applications Key

W: Western Blotting IP: Immunoprecipitation IF-IC: Immunofluorescence (Immunocytochemistry)

Cross-Reactivity Key

M: Mouse

Trademarks and Patents

Cell Signaling Technology is a trademark of Cell Signaling Technology, Inc.

All other trademarks are the property of their respective owners. Visit cellsignal.com/trademarks for more information.

Limited Uses

Except as otherwise expressly agreed in a writing signed by a legally authorized representative of CST, the following terms apply to Products provided by CST, its affiliates or its distributors. Any Customer's terms and conditions that are in addition to, or different from, those contained herein, unless separately accepted in writing by a legally authorized representative of CST, are rejected and are of no force or effect.

Products are labeled with For Research Use Only or a similar labeling statement and have not been approved, cleared, or licensed by the FDA or other regulatory foreign or domestic entity, for any purpose. Customer shall not use any Product for any diagnostic or therapeutic purpose, or otherwise in any manner that conflicts with its labeling statement. Products sold or licensed by CST are provided for Customer as the end-user and solely for research and development uses. Any use of Product for diagnostic, prophylactic or therapeutic purposes, or any purchase of Product for resale (alone or as a component) or other commercial purpose, requires a separate license from CST. Customer shall (a) not sell, license, loan, donate or otherwise transfer or make available any Product to any third party, whether alone or in combination with other materials, or use the Products to manufacture any commercial products, (b) not copy, modify, reverse engineer, decompile, disassemble or otherwise attempt to discover the underlying structure or technology of the Products, or use the Products for the purpose of developing any products or services that would compete with CST products or services, (c) not alter or remove from the Products any trademarks, trade names, logos, patent or copyright notices or markings, (d) use the Products solely in accordance with CST Product Terms of Sale and any applicable documentation, and (e) comply with any license, terms of service or similar agreement with respect to any third party products or services used by Customer in connection with the Products.

Orders: 877-616-CELL (2355) [email protected] Support: 877-678-TECH (8324) [email protected] Web: cellsignal.com
For Research Use Only. Not for Use in Diagnostic Procedures.

Revision 1

Cell Signaling Technology Logo
Western blot analysis of extracts from 293T cells, untransfected (-), transfected with a construct expressing full-length Myc/DDK-tagged mouse IDO (mIDO-Myc/DDK; +), or transfected with a construct expressing full-length Myc/DDK-tagged mouse IDO2 (mIDO2-Myc/DDK; +), using IDO (D8W5E) Rabbit mAb (upper) or Myc-Tag (71D10) Rabbit mAb #2278 (lower).
Western Blotting Image 1: IDO (D8W5E) Rabbit Monoclonal Antibody
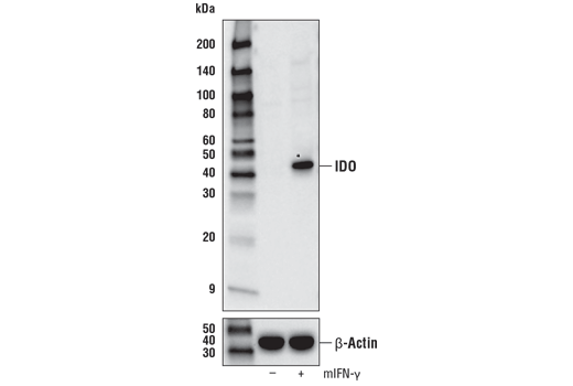
Western blot analysis of extracts from C2C12 cells, untreated (-) or treated with Mouse Interferon-γ (mIFN-γ) #5222 (50 ng/mL, 16 hr; +), using IDO (D8W5E) Rabbit mAb (upper) or β-Actin (D6A8) Rabbit mAb #8457 (lower).
Western Blotting Image 2: IDO (D8W5E) Rabbit Monoclonal Antibody
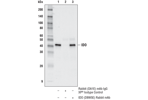
Immunonprecipitation of IDO from extracts of C2C12 cells, treated with Mouse Interferon-γ (mIFN-γ) #5222 (50 ng/mL, 16 hr). Lane 1 is 10% input, lane 2 is Rabbit (DA1E) mAb IgG XP® Isotype Control #3900, and lane 3 is IDO (D8W5E) Rabbit mAb. Western blot analysis was performed using IDO (D8W5E) Rabbit mAb. Mouse Anti-rabbit IgG (Conformation Specific) (L27A9) mAb (HRP Conjugate) #5127 was used as the secondary antibody.
Immunoprecipitation Image 1: IDO (D8W5E) Rabbit Monoclonal Antibody
Orders: 877-616-CELL (2355) [email protected] Support: 877-678-TECH (8324) [email protected] Web: cellsignal.com
For Research Use Only. Not for Use in Diagnostic Procedures.

Revision 1

Cell Signaling Technology Logo
Confocal immunofluorescent analysis of C2C12 cells, serum-starved (left) or treated with Mouse Interferon-γ (mIFN-γ) #5222 (50 ng/ml, 16 hr; right), using IDO (D8W5E) Rabbit mAb (green). Actin filaments were labeled with DyLight™ Phalloidin #13054 (red). Blue pseudocolor = DRAQ5® #4804.
Immunofluorescence Image 1: IDO (D8W5E) Rabbit Monoclonal Antibody
Orders: 877-616-CELL (2355) [email protected] Support: 877-678-TECH (8324) [email protected] Web: cellsignal.com
For Research Use Only. Not for Use in Diagnostic Procedures.