Revision 7

#14970

Store at -20C

CST Logo
Orders:

877-616-CELL (2355)

[email protected]

Support:

877-678-TECH (8324)

3 Trask Lane | Danvers | Massachusetts | 01923 | USA

For Research Use Only. Not for Use in Diagnostic Procedures.

Applications:
W, IP, IHC-P

Reactivity:
H

Sensitivity:
Endogenous

MW (kDa):
85, 95, 98

Source/Isotype:
Rabbit IgG

UniProt ID:
#Q16666

Entrez-Gene Id:
3428

Product Usage Information

Application Dilution
Western Blotting 1:1000
Immunoprecipitation 1:200
Immunohistochemistry (Paraffin) 1:200 - 1:800

Storage

Supplied in 10 mM sodium HEPES (pH 7.5), 150 mM NaCl, 100 µg/ml BSA, 50% glycerol and less than 0.02% sodium azide. Store at –20°C. Do not aliquot the antibody.

For a carrier free (BSA and azide free) version of this product see product #89555.

Specificity/Sensitivity

IFI16 (D8B5T) Rabbit Monoclonal Antibody recognizes endogenous levels of total IFI16 protein. This antibody is predicted to detect multiple human IFI16 isoforms.

Source / Purification

Monoclonal antibody is produced by immunizing animals with a synthetic peptide corresponding to residues surrounding Pro399 of human IFI16 protein.

Background

IFI16 belongs to the PYHIN family, which consists of four members in humans (Aim2, IFIX, MNDA, and IFI16) and at least 13 members in mice (1). The closest homolog of IFI16 in mice is p204. The PYHIN family is characterized by the presence of one or two HIN-200 domains that bind double-stranded DNA and a PYRIN domain that mediates interactions among family members, as well as the inflammasome-forming ASC protein (1). IFI16 also has a nuclear localization signal, but has been observed to bind DNA in both the cytoplasm and nucleus (2,3). There are three isoforms of IFI16 produced by alternative splicing (4). IFI16 is constitutively expressed by some cells, such as lymphocytes, and highly inducible in many others by interferons (5). IFI16 has been shown to directly interact with p53 and to play a role in cellular senescence by modulating p53 activity (6). IFI16 was shown to directly sense intracellular viral DNA, leading to recruitment of STING and activation of IRF-3 and NF-κB (2). Investigators have observed increased levels of IFI16 and anti-IFI16 autoantibodies in patients with systemic lupus erythematosus (7-9).

Species Reactivity

Species reactivity is determined by testing in at least one approved application (e.g., western blot).

Western Blot Buffer

IMPORTANT: For western blots, incubate membrane with diluted primary antibody in 5% w/v BSA, 1X TBS, 0.1% Tween® 20 at 4°C with gentle shaking, overnight.

Applications Key

W: Western Blotting IP: Immunoprecipitation IHC-P: Immunohistochemistry (Paraffin)

Cross-Reactivity Key

H: Human

Trademarks and Patents

Cell Signaling Technology is a trademark of Cell Signaling Technology, Inc.

SignalStain is a registered trademark of Cell Signaling Technology, Inc.

All other trademarks are the property of their respective owners. Visit cellsignal.com/trademarks for more information.

Limited Uses

Except as otherwise expressly agreed in a writing signed by a legally authorized representative of CST, the following terms apply to Products provided by CST, its affiliates or its distributors. Any Customer's terms and conditions that are in addition to, or different from, those contained herein, unless separately accepted in writing by a legally authorized representative of CST, are rejected and are of no force or effect.

Products are labeled with For Research Use Only or a similar labeling statement and have not been approved, cleared, or licensed by the FDA or other regulatory foreign or domestic entity, for any purpose. Customer shall not use any Product for any diagnostic or therapeutic purpose, or otherwise in any manner that conflicts with its labeling statement. Products sold or licensed by CST are provided for Customer as the end-user and solely for research and development uses. Any use of Product for diagnostic, prophylactic or therapeutic purposes, or any purchase of Product for resale (alone or as a component) or other commercial purpose, requires a separate license from CST. Customer shall (a) not sell, license, loan, donate or otherwise transfer or make available any Product to any third party, whether alone or in combination with other materials, or use the Products to manufacture any commercial products, (b) not copy, modify, reverse engineer, decompile, disassemble or otherwise attempt to discover the underlying structure or technology of the Products, or use the Products for the purpose of developing any products or services that would compete with CST products or services, (c) not alter or remove from the Products any trademarks, trade names, logos, patent or copyright notices or markings, (d) use the Products solely in accordance with CST Product Terms of Sale and any applicable documentation, and (e) comply with any license, terms of service or similar agreement with respect to any third party products or services used by Customer in connection with the Products.

Orders: 877-616-CELL (2355) [email protected] Support: 877-678-TECH (8324) [email protected] Web: cellsignal.com
For Research Use Only. Not for Use in Diagnostic Procedures.

Revision 7

Cell Signaling Technology Logo
Western blot analysis of extracts from various cell lines using IFI16 (D8B5T) Rabbit mAb (upper) and β-Actin (D6A8) Rabbit mAb #8547 (lower).
Western Blotting Image 1: IFI16 (D8B5T) Rabbit Monoclonal Antibody
Western blot analysis of extracts from HeLa cells, untreated (-) or treated with Human Interferon-γ (hIFN-γ) #8901 (50 ng/ml, 16 hr; +), using IFI16 (D8B5T) Rabbit mAb (upper) and β-Actin (D6A8) Rabbit mAb #8547 (lower).
Western Blotting Image 2: IFI16 (D8B5T) Rabbit Monoclonal Antibody
Immunoprecipitation of IFI16 from Jurkat extracts. Lane 1 is 10% input, lane 2 is Rabbit (DA1E) mAb IgG XP® Isotype Control #3900, and lane 3 is IFI16 (D8B5T) Rabbit mAb. Western blot analysis was performed using IFI16 (D8B5T) Rabbit mAb. Mouse Anti-rabbit IgG (Conformation Specific) (L27A9) mAb #3678 was used as a secondary antibody. Anti-mouse IgG, HRP-linked Antibody #7076 was used as tertiary antibody.
Immunoprecipitation Image 1: IFI16 (D8B5T) Rabbit Monoclonal Antibody
Orders: 877-616-CELL (2355) [email protected] Support: 877-678-TECH (8324) [email protected] Web: cellsignal.com
For Research Use Only. Not for Use in Diagnostic Procedures.

Revision 7

Cell Signaling Technology Logo
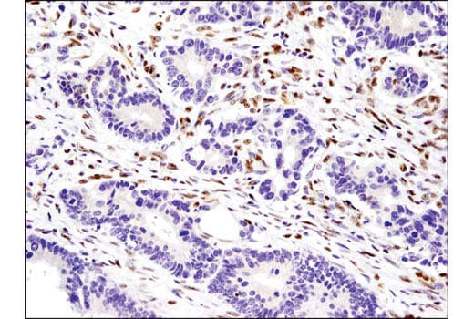
Immunohistochemical analysis of paraffin-embedded human colon carcinoma using IFI16 (D8B5T) Rabbit mAb.
Immunohistochemistry Image 1: IFI16 (D8B5T) Rabbit Monoclonal Antibody
Immunohistochemical analysis of paraffin-embedded human non-small cell lung carcinoma using IFI16 (D8B5T) Rabbit mAb.
Immunohistochemistry Image 2: IFI16 (D8B5T) Rabbit Monoclonal Antibody
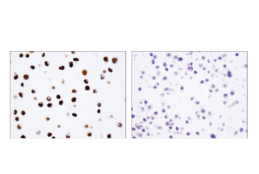
Immunohistochemical analysis of paraffin-embedded Jurkat (left) and HT-29 (right) cell pellets using IFI16 (D8B5T) Rabbit mAb.
Immunohistochemistry Image 3: IFI16 (D8B5T) Rabbit Monoclonal Antibody
Orders: 877-616-CELL (2355) [email protected] Support: 877-678-TECH (8324) [email protected] Web: cellsignal.com
For Research Use Only. Not for Use in Diagnostic Procedures.

Revision 7

Cell Signaling Technology Logo
Immunohistochemical analysis of paraffin-embedded human prostate carcinoma using IFI16 (D8B5T) Rabbit mAb.
Immunohistochemistry Image 4: IFI16 (D8B5T) Rabbit Monoclonal Antibody
Orders: 877-616-CELL (2355) [email protected] Support: 877-678-TECH (8324) [email protected] Web: cellsignal.com
For Research Use Only. Not for Use in Diagnostic Procedures.