Revision 7

#56086

Store at -20C

CST Logo
Orders:

877-616-CELL (2355)

[email protected]

Support:

877-678-TECH (8324)

3 Trask Lane | Danvers | Massachusetts | 01923 | USA

For Research Use Only. Not for Use in Diagnostic Procedures.

Applications:
W, IHC-Bond, IHC-P, FC-FP

Reactivity:
H

Sensitivity:
Endogenous

MW (kDa):
56

Source/Isotype:
Rabbit IgG

UniProt ID:
#P09914

Entrez-Gene Id:
3434

Product Usage Information

This product is the carrier free version of product #14769. All data were generated using the same antibody clone in the standard formulation which contains BSA and glycerol.

This formulation is ideal for use with technologies requiring specialized or custom antibody labeling, including fluorophores, metals, lanthanides, and oligonucleotides. It is not recommended for ChIP, ChIP-seq, CUT&RUN, or CUT&Tag assays. If you require a carrier-free formulation for chromatin profiling, please contact us. Optimal dilutions/concentrations should be determined by the end user.

BSA and Azide Free antibodies are quality control tested by size exclusion chromatography (SEC) to determine antibody integrity.

Formulation

Supplied in 1X PBS (10 mM Na2HPO4, 3 mM KCl, 2 mM KH2PO4, and 140 mM NaCl (pH 7.8)). BSA and Azide Free.

For standard formulation of this product see product #14769.

Storage

Store at -20°C. This product will freeze at -20°C so it is recommended to aliquot into single-use vials to avoid multiple freeze/thaw cycles. A slight precipitate may be present and can be dissolved by gently vortexing. This will not interfere with antibody performance.

Specificity/Sensitivity

IFIT1 (D2X9Z) Rabbit Monoclonal Antibody (BSA and Azide Free) recognizes endogenous levels of total IFIT1 protein.

Source / Purification

Monoclonal antibody is produced by immunizing animals with a synthetic peptide corresponding to residues surrounding Ala194 of human IFIT1 protein.

Background

IFIT1 (interferon-induced protein with tetratricopeptide repeats 1) belongs to the IFIT family of proteins, which consists of four members in humans (IFIT1, IFIT2, IFIT3, and IFIT5) and three members in mice (IFIT1, IFIT2, and IFIT3) (1). IFIT1 expression is induced by type I interferons resulting from viral infection (2). IFIT1 is an antiviral protein that directly binds viral RNA that has a 5’ triphosphate group (PPP-RNA) (2). In humans, the viral PPP-RNA bound IFIT1 forms a complex with IFIT2 and IFIT3 to sequester the viral PPP-RNA and prevent replication (2). IFIT1 has also been shown to inhibit translation by binding to the eukaryotic initiation factor 3 (eIF3) (3).

Species Reactivity

Species reactivity is determined by testing in at least one approved application (e.g., western blot).

Applications Key

W: Western Blotting IHC-Bond: IHC Leica Bond IHC-P: Immunohistochemistry (Paraffin) FC-FP: Flow Cytometry (Fixed/Permeabilized)

Cross-Reactivity Key

H: Human

Trademarks and Patents

Cell Signaling Technology is a trademark of Cell Signaling Technology, Inc.

All other trademarks are the property of their respective owners. Visit cellsignal.com/trademarks for more information.

Limited Uses

Except as otherwise expressly agreed in a writing signed by a legally authorized representative of CST, the following terms apply to Products provided by CST, its affiliates or its distributors. Any Customer's terms and conditions that are in addition to, or different from, those contained herein, unless separately accepted in writing by a legally authorized representative of CST, are rejected and are of no force or effect.

Products are labeled with For Research Use Only or a similar labeling statement and have not been approved, cleared, or licensed by the FDA or other regulatory foreign or domestic entity, for any purpose. Customer shall not use any Product for any diagnostic or therapeutic purpose, or otherwise in any manner that conflicts with its labeling statement. Products sold or licensed by CST are provided for Customer as the end-user and solely for research and development uses. Any use of Product for diagnostic, prophylactic or therapeutic purposes, or any purchase of Product for resale (alone or as a component) or other commercial purpose, requires a separate license from CST. Customer shall (a) not sell, license, loan, donate or otherwise transfer or make available any Product to any third party, whether alone or in combination with other materials, or use the Products to manufacture any commercial products, (b) not copy, modify, reverse engineer, decompile, disassemble or otherwise attempt to discover the underlying structure or technology of the Products, or use the Products for the purpose of developing any products or services that would compete with CST products or services, (c) not alter or remove from the Products any trademarks, trade names, logos, patent or copyright notices or markings, (d) use the Products solely in accordance with CST Product Terms of Sale and any applicable documentation, and (e) comply with any license, terms of service or similar agreement with respect to any third party products or services used by Customer in connection with the Products.

Orders: 877-616-CELL (2355) [email protected] Support: 877-678-TECH (8324) [email protected] Web: cellsignal.com
For Research Use Only. Not for Use in Diagnostic Procedures.

Revision 7

Cell Signaling Technology Logo
Western blot analysis of extracts from 293T cells, mock transfected (-), or transfected with a construct expressing DDK-tagged full-length human IFIT1 (hIFIT1-DDK; +), using IFIT1 (D2X9Z) Rabbit mAb. Data were generated using the standard formulation of this product.
Western Blotting Image 1: IFIT1 (D2X9Z) Rabbit Monoclonal Antibody (BSA and Azide Free)
Western blot analysis of extracts from HeLa cells, untreated (-), or treated with Human Interferon-α1 (hIFN-α1) (10 ng/ml, 16 hr; +), using IFIT1 (D2X9Z) Rabbit mAb (upper) and β-Actin (D6A8) Rabbit mAb #8457 (lower). Data were generated using the standard formulation of this product.
Western Blotting Image 2: IFIT1 (D2X9Z) Rabbit Monoclonal Antibody (BSA and Azide Free)
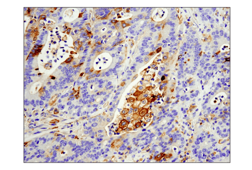
Immunohistochemical analysis of paraffin-embedded human colon adenocarcinoma using IFIT1 (D2X9Z) Rabbit mAb performed on the Leica® Bond™ Rx. Data were generated using the standard formulation of this product.
Immunohistochemistry Image 1: IFIT1 (D2X9Z) Rabbit Monoclonal Antibody (BSA and Azide Free)
Orders: 877-616-CELL (2355) [email protected] Support: 877-678-TECH (8324) [email protected] Web: cellsignal.com
For Research Use Only. Not for Use in Diagnostic Procedures.

Revision 7

Cell Signaling Technology Logo
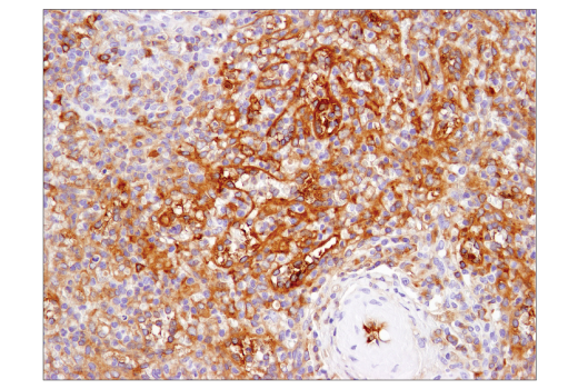
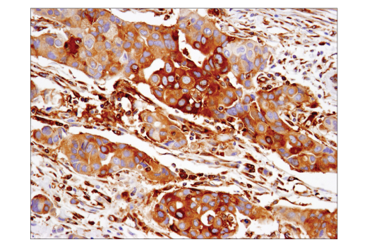
Immunohistochemical analysis of paraffin-embedded human ductal carcinoma of the breast using IFIT1 (D2X9Z) Rabbit mAb. Data were generated using the standard formulation of this product.
Immunohistochemistry Image 1: IFIT1 (D2X9Z) Rabbit Monoclonal Antibody (BSA and Azide Free)
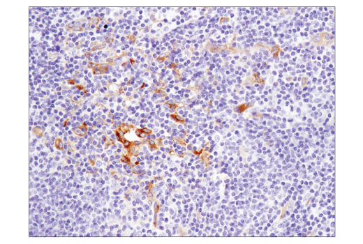
Immunohistochemical analysis of paraffin-embedded human B-cell non-Hodgkin's lymphoma using IFIT1 (D2X9Z) Rabbit mAb. Data were generated using the standard formulation of this product.
Immunohistochemistry Image 2: IFIT1 (D2X9Z) Rabbit Monoclonal Antibody (BSA and Azide Free)
Immunohistochemical analysis of paraffin-embedded normal human spleen using IFIT1 (D2X9Z) Rabbit mAb. Data were generated using the standard formulation of this product.
Immunohistochemistry Image 3: IFIT1 (D2X9Z) Rabbit Monoclonal Antibody (BSA and Azide Free)
Orders: 877-616-CELL (2355) [email protected] Support: 877-678-TECH (8324) [email protected] Web: cellsignal.com
For Research Use Only. Not for Use in Diagnostic Procedures.

Revision 7

Cell Signaling Technology Logo
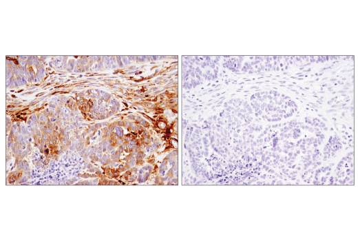
Immunohistochemical analysis of paraffin-embedded human ovarian carcinoma using IFIT1 (D2X9Z) Rabbit mAb in the presence of control peptide (left) or antigen-specific peptide (right). Data were generated using the standard formulation of this product.
Immunohistochemistry Image 4: IFIT1 (D2X9Z) Rabbit Monoclonal Antibody (BSA and Azide Free)
Immunohistochemical analysis of paraffin-embedded HeLa cell pellets, untreated (left) or treated with Human Interferon-alpha1 (hIFN-alpha1) (right) using IFIT1 (D2X9Z) Rabbit mAb. Data were generated using the standard formulation of this product.
Immunohistochemistry Image 5: IFIT1 (D2X9Z) Rabbit Monoclonal Antibody (BSA and Azide Free)
Flow cytometric analysis of human peripheral blood mononuclear cells, untreated (left column) or treated with Human Interferon-α1 (hIFN-α1) (10 ng/ml, 18 hr; right column), using IFIT1 (D2X9Z) Rabbit mAb (top row) or concentration-matched Rabbit (DA1E) mAb IgG XP® Isotype Control #3900 (bottom row). Anti-rabbit IgG (H+L), F(ab')2 Fragment (Alexa Fluor® 488 Conjugate) #4412 was used as a secondary antibody. Data were generated using the standard formulation of this product.
Flow Cytometry Image 1: IFIT1 (D2X9Z) Rabbit Monoclonal Antibody (BSA and Azide Free)
Orders: 877-616-CELL (2355) [email protected] Support: 877-678-TECH (8324) [email protected] Web: cellsignal.com
For Research Use Only. Not for Use in Diagnostic Procedures.