Revision 1

#13126

Store at -20C

CST Logo
Orders:

877-616-CELL (2355)

[email protected]

Support:

877-678-TECH (8324)

3 Trask Lane | Danvers | Massachusetts | 01923 | USA

For Research Use Only. Not for Use in Diagnostic Procedures.

Applications:
W

Reactivity:
H

Sensitivity:
Endogenous

MW (kDa):
14

Source/Isotype:
Rabbit

UniProt ID:
#P13164

Entrez-Gene Id:
8519

Product Usage Information

Application Dilution
Western Blotting 1:1000

Storage

Supplied in 10 mM sodium HEPES (pH 7.5), 150 mM NaCl, 100 µg/ml BSA and 50% glycerol. Store at –20°C. Do not aliquot the antibody.

Specificity/Sensitivity

IFITM1 Antibody recognizes endogenous levels of total IFITM1 protein. This antibody does not cross-react with IFITM2 or IFITM3 proteins.

Source / Purification

Polyclonal antibodies are produced by immunizing animals with a synthetic peptide corresponding to residues surrounding Pro20 of human IFITM1 protein. Antibodies are purified by protein A and peptide affinity chromatography.

Background

Interferon-induced transmembrane protein (IFITM) family members are composed of short amino- and carboxy-termini, two transmembrane domains, and a cytoplasmic domain (1). There are four family members in humans: IFITM1, IFITM2, IFITM3, and IFITM5 (2,3). Mice have two additional family members, IFITM6 and IFITM7 (2,3). Basal expression of IFITM proteins is observed in some cells and expression can also be induced by type I and type II interferons (4-6). The primary function of IFITM family proteins appears to be viral restriction, as IFITM proteins inhibit cytosolic entry of viruses by preventing fusion of viral and host membranes (7,8). The mechanism by which IFITM proteins inhibit fusion is unclear. Although IFITM proteins are present on both the plasma membrane and intracellular membranes, they most effectively restrict viral fusion in late endosomes and lysosomes (8,9). In addition, different family members exhibit specific viral preferences (9). For example, IFITM3 is most effective at restricting influenza A infection, while IFITM1 is more successful in controlling filoviruses and SARS (9,10).

Species Reactivity

Species reactivity is determined by testing in at least one approved application (e.g., western blot).

Western Blot Buffer

IMPORTANT: For western blots, incubate membrane with diluted primary antibody in 5% w/v BSA, 1X TBS, 0.1% Tween® 20 at 4°C with gentle shaking, overnight.

Applications Key

W: Western Blotting

Cross-Reactivity Key

H: Human

Trademarks and Patents

Cell Signaling Technology is a trademark of Cell Signaling Technology, Inc.

All other trademarks are the property of their respective owners. Visit cellsignal.com/trademarks for more information.

Limited Uses

Except as otherwise expressly agreed in a writing signed by a legally authorized representative of CST, the following terms apply to Products provided by CST, its affiliates or its distributors. Any Customer's terms and conditions that are in addition to, or different from, those contained herein, unless separately accepted in writing by a legally authorized representative of CST, are rejected and are of no force or effect.

Products are labeled with For Research Use Only or a similar labeling statement and have not been approved, cleared, or licensed by the FDA or other regulatory foreign or domestic entity, for any purpose. Customer shall not use any Product for any diagnostic or therapeutic purpose, or otherwise in any manner that conflicts with its labeling statement. Products sold or licensed by CST are provided for Customer as the end-user and solely for research and development uses. Any use of Product for diagnostic, prophylactic or therapeutic purposes, or any purchase of Product for resale (alone or as a component) or other commercial purpose, requires a separate license from CST. Customer shall (a) not sell, license, loan, donate or otherwise transfer or make available any Product to any third party, whether alone or in combination with other materials, or use the Products to manufacture any commercial products, (b) not copy, modify, reverse engineer, decompile, disassemble or otherwise attempt to discover the underlying structure or technology of the Products, or use the Products for the purpose of developing any products or services that would compete with CST products or services, (c) not alter or remove from the Products any trademarks, trade names, logos, patent or copyright notices or markings, (d) use the Products solely in accordance with CST Product Terms of Sale and any applicable documentation, and (e) comply with any license, terms of service or similar agreement with respect to any third party products or services used by Customer in connection with the Products.

Orders: 877-616-CELL (2355) [email protected] Support: 877-678-TECH (8324) [email protected] Web: cellsignal.com
For Research Use Only. Not for Use in Diagnostic Procedures.

Revision 1

Cell Signaling Technology Logo
Western blot analysis of extracts from K-562 cells, CD4+ T cells, and CD8+ T cells using IFITM1 Antibody.
Western Blotting Image 1: IFITM1 Antibody
Western blot analysis of extracts from 293T cells, mock transfected (-) or transfected with a construct expressing full-length human IFITM1 (hIFITM1; +), using IFITM1 Antibody.
Western Blotting Image 2: IFITM1 Antibody
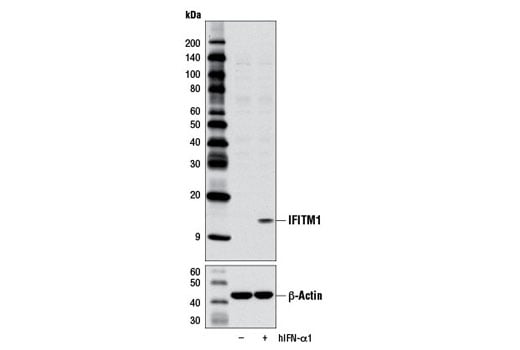
Western blot analysis of extracts from HeLa cells, untreated (-) or treated with Human Interferon-α1 (hIFN-α1) #8927 (10 ng/ml, 16 hr; +), using IFITM1 Antibody (upper) and β-Actin (D6A8) Rabbit mAb #8457 (lower).
Western Blotting Image 3: IFITM1 Antibody
Orders: 877-616-CELL (2355) [email protected] Support: 877-678-TECH (8324) [email protected] Web: cellsignal.com
For Research Use Only. Not for Use in Diagnostic Procedures.