Revision 6

#59212

Store at -20C

CST Logo
Orders:

877-616-CELL (2355)

[email protected]

Support:

877-678-TECH (8324)

3 Trask Lane | Danvers | Massachusetts | 01923 | USA

For Research Use Only. Not for Use in Diagnostic Procedures.

Applications:
W, W-S, IP, IHC-P

Reactivity:
H

Sensitivity:
Endogenous

MW (kDa):
15

Source/Isotype:
Rabbit IgG

UniProt ID:
#Q01628

Entrez-Gene Id:
10410

Product Usage Information

Application Dilution
Western Blotting 1:1000
Simple Western™ 1:10 - 1:50
Immunoprecipitation 1:200
Immunohistochemistry (Paraffin) 1:125 - 1:500

Storage

Supplied in 10 mM sodium HEPES (pH 7.5), 150 mM NaCl, 100 µg/ml BSA, 50% glycerol and less than 0.02% sodium azide. Store at –20°C. Do not aliquot the antibody.

For a carrier free (BSA and azide free) version of this product see product #74766.

Specificity/Sensitivity

IFITM3 (D8E8G) Rabbit Monoclonal Antibody recognizes endogenous levels of total IFITM3 protein. This antibody does not cross-react with IFITM1 or IFITM2 proteins.

Source / Purification

Monoclonal antibody is produced by immunizing animals with a synthetic peptide corresponding to residues surrounding Val5 of human IFITM3 protein.

Background

Interferon-induced transmembrane protein (IFITM) family members are composed of short amino- and carboxy-termini, two transmembrane domains, and a cytoplasmic domain (1). There are four family members in humans: IFITM1, IFITM2, IFITM3, and IFITM5 (2,3). Mice have two additional family members, IFITM6 and IFITM7 (2,3). Basal expression of IFITM proteins is observed in some cells and expression can also be induced by type I and type II interferons (4-6). The primary function of IFITM family proteins appears to be viral restriction, as IFITM proteins inhibit cytosolic entry of viruses by preventing fusion of viral and host membranes (7,8). The mechanism by which IFITM proteins inhibit fusion is unclear. Although IFITM proteins are present on both the plasma membrane and intracellular membranes, they most effectively restrict viral fusion in late endosomes and lysosomes (8,9). In addition, different family members exhibit specific viral preferences (9). For example, IFITM3 is most effective at restricting influenza A infection, while IFITM1 is more successful in controlling filoviruses and SARS (9,10).

Species Reactivity

Species reactivity is determined by testing in at least one approved application (e.g., western blot).

Western Blot Buffer

IMPORTANT: For western blots, incubate membrane with diluted primary antibody in 5% w/v BSA, 1X TBS, 0.1% Tween® 20 at 4°C with gentle shaking, overnight.

Applications Key

W: Western Blotting W-S: Simple Western™ IP: Immunoprecipitation IHC-P: Immunohistochemistry (Paraffin)

Cross-Reactivity Key

H: Human

Trademarks and Patents

Cell Signaling Technology is a trademark of Cell Signaling Technology, Inc.

SignalStain is a registered trademark of Cell Signaling Technology, Inc.

All other trademarks are the property of their respective owners. Visit cellsignal.com/trademarks for more information.

Limited Uses

Except as otherwise expressly agreed in a writing signed by a legally authorized representative of CST, the following terms apply to Products provided by CST, its affiliates or its distributors. Any Customer's terms and conditions that are in addition to, or different from, those contained herein, unless separately accepted in writing by a legally authorized representative of CST, are rejected and are of no force or effect.

Products are labeled with For Research Use Only or a similar labeling statement and have not been approved, cleared, or licensed by the FDA or other regulatory foreign or domestic entity, for any purpose. Customer shall not use any Product for any diagnostic or therapeutic purpose, or otherwise in any manner that conflicts with its labeling statement. Products sold or licensed by CST are provided for Customer as the end-user and solely for research and development uses. Any use of Product for diagnostic, prophylactic or therapeutic purposes, or any purchase of Product for resale (alone or as a component) or other commercial purpose, requires a separate license from CST. Customer shall (a) not sell, license, loan, donate or otherwise transfer or make available any Product to any third party, whether alone or in combination with other materials, or use the Products to manufacture any commercial products, (b) not copy, modify, reverse engineer, decompile, disassemble or otherwise attempt to discover the underlying structure or technology of the Products, or use the Products for the purpose of developing any products or services that would compete with CST products or services, (c) not alter or remove from the Products any trademarks, trade names, logos, patent or copyright notices or markings, (d) use the Products solely in accordance with CST Product Terms of Sale and any applicable documentation, and (e) comply with any license, terms of service or similar agreement with respect to any third party products or services used by Customer in connection with the Products.

Orders: 877-616-CELL (2355) [email protected] Support: 877-678-TECH (8324) [email protected] Web: cellsignal.com
For Research Use Only. Not for Use in Diagnostic Procedures.

Revision 6

Cell Signaling Technology Logo
Western blot analysis of extracts from various cell lines using IFITM3 (D8E8G) XP® Rabbit mAb (upper) or β-Actin (D6A8) Rabbit mAb #8457 (lower).
Western Blotting Image 1: IFITM3 (D8E8G) Rabbit Monoclonal Antibody
Western blot analysis of extracts from 293T cells untransfected (-), or transfected with a construct expressing Myc-tagged full-length human IFITM3 (hIFITM3-Myc; +), using IFITM3 (D8E8G) XP® Rabbit mAb.
Western Blotting Image 2: IFITM3 (D8E8G) Rabbit Monoclonal Antibody
Simple Western™ analysis of lysates (0.1 mg/mL) from HeLa cells using IFITM3 (D8E8G) XP® Rabbit mAb #59212. The virtual lane view (left) shows the target band (as indicated) at 1:10 and 1:50 dilutions of primary antibody. The corresponding electropherogram view (right) plots chemiluminescence by molecular weight along the capillary at 1:10 (blue line) and 1:50 (green line) dilutions of primary antibody. This experiment was performed under reducing conditions on the Jess™ Simple Western instrument from ProteinSimple, a BioTechne brand, using the 12-230 kDa separation module.
Western Blotting Image 1: IFITM3 (D8E8G) Rabbit Monoclonal Antibody
Orders: 877-616-CELL (2355) [email protected] Support: 877-678-TECH (8324) [email protected] Web: cellsignal.com
For Research Use Only. Not for Use in Diagnostic Procedures.

Revision 6

Cell Signaling Technology Logo
Immunoprecipitation of IFITM3 protein from HeLa cell extracts. Lane 1 is 10% input, lane 2 is Rabbit (DA1E) mAb IgG XP® Isotype Control #3900, and lane 3 is IFITM3 (D8E8G) XP® Rabbit mAb. Western blot analysis was performed using IFITM3 (D8E8G) XP® Rabbit mAb.
Immunoprecipitation Image 1: IFITM3 (D8E8G) Rabbit Monoclonal Antibody
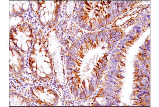
Immunohistochemical analysis of paraffin-embedded human colon carcinoma using IFITM3 (D8E8G) XP® Rabbit mAb.
Immunohistochemistry Image 1: IFITM3 (D8E8G) Rabbit Monoclonal Antibody
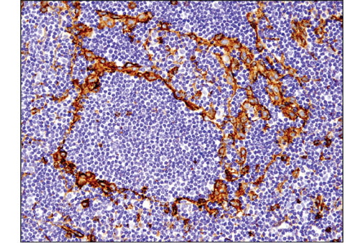
Immunohistochemical analysis of paraffin-embedded normal human lymph node using IFITM3 (D8E8G) XP® Rabbit mAb.
Immunohistochemistry Image 2: IFITM3 (D8E8G) Rabbit Monoclonal Antibody
Orders: 877-616-CELL (2355) [email protected] Support: 877-678-TECH (8324) [email protected] Web: cellsignal.com
For Research Use Only. Not for Use in Diagnostic Procedures.

Revision 6

Cell Signaling Technology Logo
Immunohistochemical analysis of paraffin-embedded HeLa (left) and RPMI 8226 (right) cell pellets using IFITM3 (D8E8G) XP® Rabbit mAb.
Immunohistochemistry Image 3: IFITM3 (D8E8G) Rabbit Monoclonal Antibody
Immunohistochemical analysis of paraffin-embedded normal human spleen using IFITM3 (D8E8G) XP® Rabbit mAb.
Immunohistochemistry Image 4: IFITM3 (D8E8G) Rabbit Monoclonal Antibody
Orders: 877-616-CELL (2355) [email protected] Support: 877-678-TECH (8324) [email protected] Web: cellsignal.com
For Research Use Only. Not for Use in Diagnostic Procedures.