Revision 3

#44902

Store at -20C

CST Logo
Orders:

877-616-CELL (2355)

[email protected]

Support:

877-678-TECH (8324)

3 Trask Lane | Danvers | Massachusetts | 01923 | USA

For Research Use Only. Not for Use in Diagnostic Procedures.

Product Includes Product # Quantity Mol. Wt Isotype/Source
IFNGR1 (E444) Antibody1040520 µl45-90 kDaRabbit
Jak1 (6G4) Rabbit Monoclonal Antibody334420 µl130 kDaRabbit IgG
Phospho-Jak1(Tyr1034/1035) (D7N4Z) Rabbit Monoclonal Antibody7412920 µl130 kDaRabbit IgG
Jak2 (D2E12) Rabbit Monoclonal Antibody323020 µl125 kDaRabbit IgG
Phospho-Jak2 (Tyr1007/1008) (C80C3) Rabbit Monoclonal Antibody377620 µl125 kDaRabbit IgG
Phospho-Stat1 (Tyr701) (D4A7) Rabbit Monoclonal Antibody764920 µl84, 91 kDaRabbit IgG
Phospho-Stat1 (Ser727) (D3B7) Rabbit Monoclonal Antibody882620 µl91 kDaRabbit IgG
Stat1 (D1K9Y) Rabbit Monoclonal Antibody1499420 µl84, 91 kDaRabbit IgG
Anti-rabbit IgG, HRP-linked Antibody7074100 µlGoat

Please visit cellsignal.com for individual component applications, species cross-reactivity, dilutions, protocols, and additional product information.

Description

The IFN-γ Signaling Pathway Antibody Sampler Kit provides an economical means of detecting the activation of the IFN-γ signaling pathway using phospho-specific and control antibodies. The kit includes enough antibodies to perform two western blot experiments with each primary antibody.

Storage

Supplied in 10 mM sodium HEPES (pH 7.5), 150 mM NaCl, 100 µg/ml BSA, 50% glycerol and less than 0.02% sodium azide. Store at –20°C. Do not aliquot the antibodies.

Background

Originally discovered in the late 1950s for their antiviral activity, interferons (IFNs) have since been assigned diverse roles in many physiological and pathological processes. There are three families of IFNs: types I, II, and III. In humans, type I contains IFN-α (13 different subtypes), IFN-β (also known as IFN-β1), IFN-ε, IFN-κ, and IFN-ω. They bind to a receptor complex containing IFNAR1 and IFNAR2, which is broadly expressed on most cells. IFN-γ is the sole member of type II IFN. It signals through a receptor complex consisting of IFNγR1 and IFNγR2, which is also expressed on most cell types. Type III IFN, also known as interferon lambdas (IFN-λs), has four members in humans: IFN-λ1 (IL29), IFN-λ2 (IL28A), IFN-λ3 (IL28B), and IFN-λ4. IFN-λs signal through a heterodimeric receptor composed of IFNλR1 and IL-10R2. While IL-10R2 is broadly expressed and shared by the IL-10 family cytokines, IFNλR1 expression is restricted to epithelial cells, neuronal cells, and subsets of myeloid cells (1-3). Engagement of all IFNs with their receptors initiates downstream signaling events, mainly activation of the Jak/Stat signaling cascade. For type I and III IFNs, Jak1 and Tyk2 are phosphorylated and activated, leading to subsequent phosphorylation of Stat1 and Stat2. Phosphorylated Stat1 and Stat2 are released from the receptor complex. They, along with IRF-9, form the so-called interferon-stimulated gene factor 3 (ISGF3) transcriptional complex. ISGF3 translocates to the nucleus, binds to the interferon-stimulated response element (ISRE) to initiate the transcription of a wide array of interferon-stimulated genes (ISGs) (4,5). On the other hand, IFN-γ induces phosphorylation and activation of Jak1 and Jak2, which subsequently phosphorylate Stat1. Phosphorylated Stat1 dimerizes, translocates to the nucleus, and binds to γ-interferon-activated site (GAS) to initiate the transcription of ISGs (6,7).

Trademarks and Patents

Cell Signaling Technology is a trademark of Cell Signaling Technology, Inc.

Jak antibodies produced under license (granting certain rights including those under U.S. Patent No. 5,658,791) from Chemicon International, Inc.

U.S. Patent No. 7,429,487, foreign equivalents, and child patents deriving therefrom.

All other trademarks are the property of their respective owners. Visit cellsignal.com/trademarks for more information.

Limited Uses

Except as otherwise expressly agreed in a writing signed by a legally authorized representative of CST, the following terms apply to Products provided by CST, its affiliates or its distributors. Any Customer's terms and conditions that are in addition to, or different from, those contained herein, unless separately accepted in writing by a legally authorized representative of CST, are rejected and are of no force or effect.

Products are labeled with For Research Use Only or a similar labeling statement and have not been approved, cleared, or licensed by the FDA or other regulatory foreign or domestic entity, for any purpose. Customer shall not use any Product for any diagnostic or therapeutic purpose, or otherwise in any manner that conflicts with its labeling statement. Products sold or licensed by CST are provided for Customer as the end-user and solely for research and development uses. Any use of Product for diagnostic, prophylactic or therapeutic purposes, or any purchase of Product for resale (alone or as a component) or other commercial purpose, requires a separate license from CST. Customer shall (a) not sell, license, loan, donate or otherwise transfer or make available any Product to any third party, whether alone or in combination with other materials, or use the Products to manufacture any commercial products, (b) not copy, modify, reverse engineer, decompile, disassemble or otherwise attempt to discover the underlying structure or technology of the Products, or use the Products for the purpose of developing any products or services that would compete with CST products or services, (c) not alter or remove from the Products any trademarks, trade names, logos, patent or copyright notices or markings, (d) use the Products solely in accordance with CST Product Terms of Sale and any applicable documentation, and (e) comply with any license, terms of service or similar agreement with respect to any third party products or services used by Customer in connection with the Products.

Orders: 877-616-CELL (2355) [email protected] Support: 877-678-TECH (8324) [email protected] Web: cellsignal.com
For Research Use Only. Not for Use in Diagnostic Procedures.

Revision 3

Cell Signaling Technology Logo
Western blot analysis of extracts from various cell lines with IFNGR1 (E444) Antibody (upper) or β-Actin (D6A8) Rabbit mAb #8457 (lower).
undefined Image 1: IFN-gamma Signaling Pathway Antibody Sampler Kit
Western blot analysis of extracts from A549 cells (lane 1) or STAT1 knock-out cells (lane 2) using Stat1 (D1K9Y) Rabbit mAb #14994 (upper), and β-actin (D6A8) Rabbit mAb #8457 (lower). The absence of signal in the STAT1 knock-out A549 cells confirms specificity of the antibody for STAT1.
undefined Image 2: IFN-gamma Signaling Pathway Antibody Sampler Kit
Western blot analysis of extracts from various cell lines using Jak2 (D2E12) XP® Rabbit mAb #3230 (upper) or β-Actin (D6A8) Rabbit mAb #8457 (lower).
undefined Image 3: IFN-gamma Signaling Pathway Antibody Sampler Kit
Orders: 877-616-CELL (2355) [email protected] Support: 877-678-TECH (8324) [email protected] Web: cellsignal.com
For Research Use Only. Not for Use in Diagnostic Procedures.

Revision 3

Cell Signaling Technology Logo
Western blot analysis of extracts from ACHN, SR, CTLL-2 and PC12 cell lines using Jak1 (6G4) Rabbit mAb.
undefined Image 4: IFN-gamma Signaling Pathway Antibody Sampler Kit
Western blot analysis of extracts from UT-7 and BaF3 cells, untreated or treated with GM-CSF or IL-3 (5 minutes), using Phospho-Jak2 (Tyr1007/1008) (C80C3) Rabbit mAb #3776 (top) or total Jak2 (D2E12) XP® Rabbit mAb #3230 (bottom).
undefined Image 5: IFN-gamma Signaling Pathway Antibody Sampler Kit
After the primary antibody is bound to the target protein, a complex with HRP-linked secondary antibody is formed. The LumiGLO® is added and emits light during enzyme catalyzed decomposition.
undefined Image 6: IFN-gamma Signaling Pathway Antibody Sampler Kit
Orders: 877-616-CELL (2355) [email protected] Support: 877-678-TECH (8324) [email protected] Web: cellsignal.com
For Research Use Only. Not for Use in Diagnostic Procedures.

Revision 3

Cell Signaling Technology Logo
Western blot analysis of extracts from various cell lines, serum-starved overnight (-) followed by treatment with Human Interferon-α1 #8927 (hIFN-α1, 10 ng/ml, 15 min; +) or Human Interleukin-4 #8919 (hIL-4, 10 ng/ml, 10 min; +) using Phospho-Jak1 (Tyr1034/1035) (D7N4Z) Rabbit mAb (upper) or Jak1 (6G4) Rabbit mAb (lower).
undefined Image 7: IFN-gamma Signaling Pathway Antibody Sampler Kit
Western blot analysis of extracts from HeLa, A20, and PC-12 cells, untreated or treated with Human Interferon-α1 (hIFN-α1) #8927 (10 ng/ml, 30 min), using Phospho-Stat1 (Tyr701) (D4A7) Rabbit mAb (upper) or Stat1 Antibody #9172 (lower).
undefined Image 8: IFN-gamma Signaling Pathway Antibody Sampler Kit
Western blot analysis of extracts from various cell lines, untreated (-) or UV-treated (2 hr recovery; +), using Phospho-Stat1 (Ser727) (D3B7) Rabbit mAb.
undefined Image 9: IFN-gamma Signaling Pathway Antibody Sampler Kit
Orders: 877-616-CELL (2355) [email protected] Support: 877-678-TECH (8324) [email protected] Web: cellsignal.com
For Research Use Only. Not for Use in Diagnostic Procedures.

Revision 3

Cell Signaling Technology Logo
Western blot analysis of extracts from 293T cells, mock transfected (-) or transfected with a construct expressing Myc/DDK-tagged full-length human IFNGR1 protein (hIFNGR1-Myc/DDK; +), using IFNGR1 (E444) Antibody (upper), Myc-Tag (71D10) Rabbit mAb #2278 (middle), and β-Actin (D6A8) Rabbit mAb #8457 (lower).
undefined Image 10: IFN-gamma Signaling Pathway Antibody Sampler Kit
Western blot analysis of extracts from various cell lines using Stat1 (D1K9Y) Rabbit mAb.
undefined Image 11: IFN-gamma Signaling Pathway Antibody Sampler Kit
Western blot analysis of extracts from K-562 cells, transfected with 100 nM SignalSilence® Control siRNA (Unconjugated) #6568 (-) or Jak2 siRNA (+), using Jak2 (D2E12) XP® Rabbit mAb #3230 and α-Tubulin (11H10) Rabbit mAb #2125. The Jak2 (D2E12) XP® Rabbit mAb confirms silencing of Jak2 expression, while the α-Tubulin (11H10) Rabbit mAb is used to control for loading and specificity of Jak2 siRNA.
undefined Image 12: IFN-gamma Signaling Pathway Antibody Sampler Kit
Orders: 877-616-CELL (2355) [email protected] Support: 877-678-TECH (8324) [email protected] Web: cellsignal.com
For Research Use Only. Not for Use in Diagnostic Procedures.

Revision 3

Cell Signaling Technology Logo
Immunohistochemical analysis of paraffin-embedded human breast carcinoma using Jak1 (6G4) Rabbit mAb #3344, in the presence of control peptide (left) or Jak1 Blocking Peptide (right).
undefined Image 13: IFN-gamma Signaling Pathway Antibody Sampler Kit
Confocal immunofluorescent analysis of HeLa cells, untreated (left) or treated with hIFN-α1 #8927 (100 ng/mL, 30 min; right), using Phospho-Stat1 (Tyr701) (D4A7) Rabbit mAb (green) and β-Tubulin (9F3) Rabbit mAb (Alexa Fluor® 555 Conjugate) #2116 (red).
undefined Image 14: IFN-gamma Signaling Pathway Antibody Sampler Kit
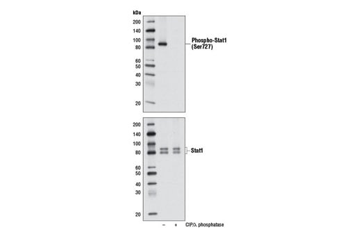
Western blot analysis of extracts from UV-treated HeLa cells, untreated (-) or CIP and λ phosphatase-treated (+), using Phospho-Stat1 (Ser727) (D3B7) Rabbit mAb (upper) or Stat1 (42H3) Rabbit mAb #9175 (lower).
undefined Image 15: IFN-gamma Signaling Pathway Antibody Sampler Kit
Orders: 877-616-CELL (2355) [email protected] Support: 877-678-TECH (8324) [email protected] Web: cellsignal.com
For Research Use Only. Not for Use in Diagnostic Procedures.

Revision 3

Cell Signaling Technology Logo
Immunoprecipitation of IFNGR1 from NCI-H226 cell extracts. Lane 1 is 10% input, lane 2 is Normal Rabbit IgG #2729, and lane 3 is IFNGR1 (E444) Antibody. Western blot analysis was performed using IFNGR1 (E444) Antibody. Mouse Anti-rabbit IgG (Conformation Specific) (L27A9) mAb #3678 was used for detection.
undefined Image 16: IFN-gamma Signaling Pathway Antibody Sampler Kit
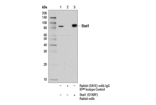
Immunoprecipitation of Stat1 from MCF7 cell extracts using Rabbit (DA1E) mAb IgG XP® Isotype Control #3900 (lane 2) or Stat1 (D1K9Y) Rabbit mAb (lane 3). Lane 1 is 10% input. Western blot was performed using Stat1 (9H2) Mouse mAb #9176.
undefined Image 17: IFN-gamma Signaling Pathway Antibody Sampler Kit
Western blot analysis of extracts from K-562, THP-1, TF-1 and BaF3 cell lines using Jak2 (D2E12) XP® Rabbit mAb.
undefined Image 18: IFN-gamma Signaling Pathway Antibody Sampler Kit
Orders: 877-616-CELL (2355) [email protected] Support: 877-678-TECH (8324) [email protected] Web: cellsignal.com
For Research Use Only. Not for Use in Diagnostic Procedures.

Revision 3

Cell Signaling Technology Logo
Immunohistochemical analysis of paraffin-embedded human breast carcinoma using Jak1 (6G4) Rabbit mAb.
undefined Image 19: IFN-gamma Signaling Pathway Antibody Sampler Kit
Flow cytometric analysis of Jurkat cells, untreated (blue) or treated with hIFN-α1 #8927 (green), using Phospho-Stat1 (Tyr701) (D4A7) Rabbit mAb.
undefined Image 20: IFN-gamma Signaling Pathway Antibody Sampler Kit
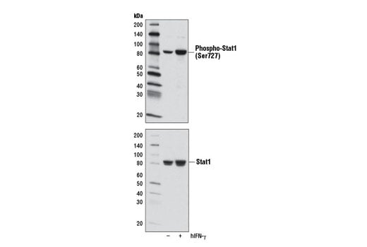
Western blot analysis of extracts from HeLa cells, untreated (-) or treated with Human Interferon-γ (hIFN-γ) #8901 (100 ng/ml, 30 min; +), using Phospho-Stat1 (Ser727) (D3B7) Rabbit mAb (upper) or Stat1 (42H3) Rabbit mAb #9175 (lower).
undefined Image 21: IFN-gamma Signaling Pathway Antibody Sampler Kit
Orders: 877-616-CELL (2355) [email protected] Support: 877-678-TECH (8324) [email protected] Web: cellsignal.com
For Research Use Only. Not for Use in Diagnostic Procedures.

Revision 3

Cell Signaling Technology Logo
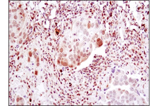
Immunohistochemical analysis of paraffin-embedded human breast carcinoma using Stat1 (D1K9Y) Rabbit mAb.
undefined Image 22: IFN-gamma Signaling Pathway Antibody Sampler Kit
Simple WesternTM analysis of lysates (0.1 mg/mL) from HDLM-2 cells using Jak2 (D2E12) XP® Rabbit mAb #3230. The virtual lane view (left) shows the target (as indicated) at 1:10 and 1:50 dilutions of primary antibody.  The corresponding electropherogram view (right) plots chemiluminescence by molecular weight along the capillary at 1:10 (blue line) and 1:50 (green line) dilutions of primary antibody.  This experiment was performed under reducing conditions on the JessTM Simple Western instrument from ProteinSimple, a BioTechne brand, using the 12-230 kDa separation module.
undefined Image 23: IFN-gamma Signaling Pathway Antibody Sampler Kit
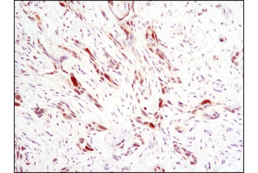
Immunohistochemical analysis of paraffin-embedded human lung carcinoma using Jak1 (6G4) Rabbit mAb.
undefined Image 24: IFN-gamma Signaling Pathway Antibody Sampler Kit
Orders: 877-616-CELL (2355) [email protected] Support: 877-678-TECH (8324) [email protected] Web: cellsignal.com
For Research Use Only. Not for Use in Diagnostic Procedures.

Revision 3

Cell Signaling Technology Logo
Chromatin immunoprecipitations were performed with cross-linked chromatin from HT-1080 cells treated with IFN-γ (50 ng/ml) for 30 minutes and Phospho-Stat1 (Tyr701) (D4A7) Rabbit mAb, using SimpleChIP® Enzymatic Chromatin IP Kit (Magnetic Beads) #9003. DNA Libraries were prepared using DNA Library Prep Kit for Illumina® (ChIP-seq, CUT&RUN) #56795. The figure shows binding across IRF-1, a known target gene of Phospho-Stat1 (see additional figure containing ChIP-qPCR data). For additional ChIP-seq tracks, please download the product datasheet.
undefined Image 25: IFN-gamma Signaling Pathway Antibody Sampler Kit
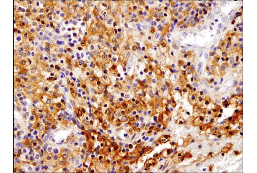
Immunohistochemical analysis of paraffin-embedded human breast carcinoma using Phospho-Stat1 (Ser727) (D3B7) Rabbit mAb.
undefined Image 26: IFN-gamma Signaling Pathway Antibody Sampler Kit
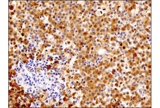
Immunohistochemical analysis of paraffin-embedded human lymphoma using Stat1 (D1K9Y) Rabbit mAb.
undefined Image 27: IFN-gamma Signaling Pathway Antibody Sampler Kit
Orders: 877-616-CELL (2355) [email protected] Support: 877-678-TECH (8324) [email protected] Web: cellsignal.com
For Research Use Only. Not for Use in Diagnostic Procedures.

Revision 3

Cell Signaling Technology Logo
Immunohistochemical analysis of paraffin-embedded human lung carcinoma using Jak2 (D2E12) XP® Rabbit mAb.
undefined Image 28: IFN-gamma Signaling Pathway Antibody Sampler Kit
Chromatin immunoprecipitations were performed with cross-linked chromatin from 4 x 106 HT-1080 cells treated with IFN-γ (50 ng/ml) for 30 minutes and 5 μl of Phospho-Stat1 (Tyr701) (D4A7) Rabbit mAb, using SimpleChIP® Enzymatic Chromatin IP Kit (Magnetic Beads) #9003. DNA Libraries were prepared using DNA Library Prep Kit for Illumina® (ChIP-seq, CUT&RUN) #56795. The figure shows binding across chromosome 5 (upper), including IRF1 (lower), a known target gene of Phospho-Stat1 (see additional figure containing ChIP-qPCR data).
undefined Image 29: IFN-gamma Signaling Pathway Antibody Sampler Kit
Immunohistochemical analysis of paraffin-embedded human lymphoma, control (left) or λ phosphatase-treated (right) using Phospho-Stat1 (Ser727) (D3B7) Rabbit mAb.
undefined Image 30: IFN-gamma Signaling Pathway Antibody Sampler Kit
Orders: 877-616-CELL (2355) [email protected] Support: 877-678-TECH (8324) [email protected] Web: cellsignal.com
For Research Use Only. Not for Use in Diagnostic Procedures.

Revision 3

Cell Signaling Technology Logo
Immunohistochemical analysis of paraffin-embedded human lung carcinoma using Jak2 (D2E12) XP® Rabbit mA in the presence of control peptide (left) or Jak2 Blocking Peptide #1039 (right).
undefined Image 31: IFN-gamma Signaling Pathway Antibody Sampler Kit
Chromatin immunoprecipitations were performed with cross-linked chromatin from HT-1080 cells treated with IFN-γ (50 ng/ml) for 30 minutes and either Phospho-Stat1 (Tyr701) (D4A7) Rabbit mAb or Normal Rabbit IgG #2729 using SimpleChIP® Enzymatic Chromatin IP Kit (Magnetic Beads) #9003. The enriched DNA was quantified by real-time PCR using human IRF-1 promoter primers, SimpleChIP® Human TAP1 Promoter Primers #5148, and SimpleChIP® Human α Satellite Repeat Primers #4486. The amount of immunoprecipitated DNA in each sample is represented as signal relative to the total amount of input chromatin, which is equivalent to one.
undefined Image 32: IFN-gamma Signaling Pathway Antibody Sampler Kit
Immunohistochemical analysis of paraffin-embedded human ovarian carcinoma using Phospho-Stat1 (Ser727) (D3B7) Rabbit mAb.
undefined Image 33: IFN-gamma Signaling Pathway Antibody Sampler Kit
Orders: 877-616-CELL (2355) [email protected] Support: 877-678-TECH (8324) [email protected] Web: cellsignal.com
For Research Use Only. Not for Use in Diagnostic Procedures.

Revision 3

Cell Signaling Technology Logo
Flow cytometric analysis of ACHN cells using Stat1 (D1K9Y) Rabbit mAb (solid line) compared to concentration-matched Rabbit (DA1E) mAb IgG XP® Isotype Control #3900 (dashed line). Anti-rabbit IgG (H+L), F(ab')2 Fragment (Alexa Fluor® 488 Conjugate) #4412 was used as a secondary antibody.
undefined Image 34: IFN-gamma Signaling Pathway Antibody Sampler Kit
Chromatin immunoprecipitations were performed with cross-linked chromatin from HT-1080 cells treated with IFN-γ (50 ng/ml) for 30 minutes and either Phospho-Stat1 (Ser727) (D3B7) Rabbit mAb or Normal Rabbit IgG #2729 using SimpleChIP® Enzymatic Chromatin IP Kit (Magnetic Beads) #9003. The enriched DNA was quantified by real-time PCR using human IRF-1 promoter primers, SimpleChIP® Human TAP1 Promoter Primers #5148, and SimpleChIP® Human α Satellite Repeat Primers #4486. The amount of immunoprecipitated DNA in each sample is represented as signal relative to the total amount of input chromatin, which is equivalent to one.
undefined Image 35: IFN-gamma Signaling Pathway Antibody Sampler Kit
Chromatin immunoprecipitations were performed with cross-linked chromatin from HT-1080 cells treated with Human Interferon-γ (hIFN-γ) #8901 (50 ng/ml, 30 min) and either Stat1 (D1K9Y) Rabbit mAb or Normal Rabbit IgG #2729 using SimpleChIP® Enzymatic Chromatin IP Kit (Magnetic Beads) #9003. The enriched DNA was quantified by real-time PCR using human IRF-1 promoter primers, SimpleChIP® Human TAP1 Promoter Primers #5148, and SimpleChIP® Human α Satellite Repeat Primers #4486. The amount of immunoprecipitated DNA in each sample is represented as signal relative to the total amount of input chromatin, which is equivalent to one.
undefined Image 36: IFN-gamma Signaling Pathway Antibody Sampler Kit
Orders: 877-616-CELL (2355) [email protected] Support: 877-678-TECH (8324) [email protected] Web: cellsignal.com
For Research Use Only. Not for Use in Diagnostic Procedures.

Revision 3

Cell Signaling Technology Logo
CUT&RUN was performed with HT-1080 cells treated with (hIFN-γ) #8901 (50 ng/ml, 30 min) and Stat1 (D1K9Y) Rabbit mAb or Rabbit (DA1E) mAb IgG XP® Isotype Control (CUT&RUN) #66362, using CUT&RUN Assay Kit #86652. The enriched DNA was quantified by real-time PCR using human AIM2 promoter primers, human FZD5 promoter primers, and SimpleChIP® Human α Satellite Repeat Primers #4486. The amount of immunoprecipitated DNA in each sample is represented as signal relative to the total amount of input chromatin, which is equivalent to one.
undefined Image 37: IFN-gamma Signaling Pathway Antibody Sampler Kit
Simple Western™ analysis of lysates (0.1 mg/mL) from MCF-7 cells using Stat1 (D1K9Y) Rabbit mAb #14994. The virtual lane view (left) shows the target band (as indicated) at 1:10 and 1:50 dilutions of primary antibody. The corresponding electropherogram view (right) plots chemiluminescence by molecular weight along the capillary at 1:10 (blue line) and 1:50 (green line) dilutions of primary antibody. This experiment was performed under reducing conditions on the Jess™ ​​​​​​​ Simple Western instrument from ProteinSimple, a BioTechne brand, using the 12-230 kDa separation module.
undefined Image 38: IFN-gamma Signaling Pathway Antibody Sampler Kit
CUT&RUN was performed with HT-1080 cells and Stat1 (D1K9Y) Rabbit mAb, using CUT&RUN Assay Kit #86652. DNA library was prepared using DNA Library Prep Kit for Illumina (ChIP-seq, CUT&RUN) #56795. The figure shows binding across FZD5 gene, a known target gene of Stat1 (see additional figure containing CUT&RUN-qPCR data).
undefined Image 39: IFN-gamma Signaling Pathway Antibody Sampler Kit
Orders: 877-616-CELL (2355) [email protected] Support: 877-678-TECH (8324) [email protected] Web: cellsignal.com
For Research Use Only. Not for Use in Diagnostic Procedures.

Revision 3

Cell Signaling Technology Logo
CUT&RUN was performed with HT-1080 cells and Stat1 (D1K9Y) Rabbit mAb, using CUT&RUN Assay Kit #86652. DNA Libraries were prepared using DNA Library Prep Kit for Illumina (ChIP-seq, CUT&RUN) #56795. The figures show binding across chromosome 2 (upper), including FZD5 gene (lower), a known target gene of Stat1 (see additional figure containing CUT&RUN-qPCR data).
undefined Image 40: IFN-gamma Signaling Pathway Antibody Sampler Kit
Orders: 877-616-CELL (2355) [email protected] Support: 877-678-TECH (8324) [email protected] Web: cellsignal.com
For Research Use Only. Not for Use in Diagnostic Procedures.