Revision 4

#14364

Store at -20C

CST Logo
Orders:

877-616-CELL (2355)

[email protected]

Support:

877-678-TECH (8324)

3 Trask Lane | Danvers | Massachusetts | 01923 | USA

For Research Use Only. Not for Use in Diagnostic Procedures.

Applications:
W, IP, IF-IC

Reactivity:
H M R Mk

Sensitivity:
Endogenous

MW (kDa):
275

Source/Isotype:
Rabbit IgG

UniProt ID:
#P11717

Entrez-Gene Id:
3482

Product Usage Information

Application Dilution
Western Blotting 1:1000
Immunoprecipitation 1:50
Immunofluorescence (Immunocytochemistry) 1:400

Storage

Supplied in 10 mM sodium HEPES (pH 7.5), 150 mM NaCl, 100 µg/ml BSA, 50% glycerol and less than 0.02% sodium azide. Store at –20°C. Do not aliquot the antibody.

For a carrier free (BSA and azide free) version of this product see product #33388.

Specificity/Sensitivity

IGF-II Receptor/CI-M6PR (D3V8C) Rabbit mAb recognizes endogenous levels of total IGF-II Receptor/CI-M6PR protein.

Source / Purification

Monoclonal antibody is produced by immunizing animals with a synthetic peptide corresponding to residues surrounding Ala1675 of human IGF-II Receptor/CI-M6PR protein.

Background

Insulin-like growth factor II (IGF-II) receptor, also widely known as cation-independent mannose 6-phosphate receptor (CI-M6PR), is a multifunctional type I transmembrane glycoprotein that participates in the internalization of mannose-6-phosphate modified hydrolases and IGF-II from the plasma membrane (1,2). In the absence of ligands, IGF-II receptor is constitutively endocytosed from the cell surface to accumulate in the Golgi apparatus (3). In the presence of ligands, the receptor transports the mannose-6-phosphate modified hydrolases to acidified endosomes and lysosomes (4). The ligand-free receptor is then transported back to the Golgi compartment or the cell surface (4). In several research studies, IGF-II receptor has been recognized as a tumor suppressor in a number of cancers (5-7).

Species Reactivity

Species reactivity is determined by testing in at least one approved application (e.g., western blot).

Western Blot Buffer

IMPORTANT: For western blots, incubate membrane with diluted primary antibody in 5% w/v nonfat dry milk, 1X TBS, 0.1% Tween® 20 at 4°C with gentle shaking, overnight.

Applications Key

W: Western Blotting IP: Immunoprecipitation IF-IC: Immunofluorescence (Immunocytochemistry)

Cross-Reactivity Key

H: Human M: Mouse R: Rat Mk: Monkey

Trademarks and Patents

Cell Signaling Technology is a trademark of Cell Signaling Technology, Inc.

All other trademarks are the property of their respective owners. Visit cellsignal.com/trademarks for more information.

Limited Uses

Except as otherwise expressly agreed in a writing signed by a legally authorized representative of CST, the following terms apply to Products provided by CST, its affiliates or its distributors. Any Customer's terms and conditions that are in addition to, or different from, those contained herein, unless separately accepted in writing by a legally authorized representative of CST, are rejected and are of no force or effect.

Products are labeled with For Research Use Only or a similar labeling statement and have not been approved, cleared, or licensed by the FDA or other regulatory foreign or domestic entity, for any purpose. Customer shall not use any Product for any diagnostic or therapeutic purpose, or otherwise in any manner that conflicts with its labeling statement. Products sold or licensed by CST are provided for Customer as the end-user and solely for research and development uses. Any use of Product for diagnostic, prophylactic or therapeutic purposes, or any purchase of Product for resale (alone or as a component) or other commercial purpose, requires a separate license from CST. Customer shall (a) not sell, license, loan, donate or otherwise transfer or make available any Product to any third party, whether alone or in combination with other materials, or use the Products to manufacture any commercial products, (b) not copy, modify, reverse engineer, decompile, disassemble or otherwise attempt to discover the underlying structure or technology of the Products, or use the Products for the purpose of developing any products or services that would compete with CST products or services, (c) not alter or remove from the Products any trademarks, trade names, logos, patent or copyright notices or markings, (d) use the Products solely in accordance with CST Product Terms of Sale and any applicable documentation, and (e) comply with any license, terms of service or similar agreement with respect to any third party products or services used by Customer in connection with the Products.

Orders: 877-616-CELL (2355) [email protected] Support: 877-678-TECH (8324) [email protected] Web: cellsignal.com
For Research Use Only. Not for Use in Diagnostic Procedures.

Revision 4

Cell Signaling Technology Logo
Western blot analysis of extracts from various cells using IGF-II Receptor/CI-M6PR (D3V8C) Rabbit mAb.
Western Blotting Image 1: IGF-II Receptor/CI-M6PR (D3V8C) Rabbit Monoclonal Antibody
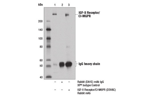
Immunoprecipitation of IGF-II Receptor/CI-M6PR from HeLa cell extracts using Rabbit (DA1E) mAb IgG XP® Isotype Control #3900 (lane 2) or IGF-II Receptor/CI-M6PR (D3V8C) Rabbit mAb (lane 3). Lane 1 is 10% input. Western blot analysis was performed using IGF-II Receptor/CI-M6PR (D3V8C) Rabbit mAb.
Immunoprecipitation Image 1: IGF-II Receptor/CI-M6PR (D3V8C) Rabbit Monoclonal Antibody
Confocal immunofluorescent analysis of A172 (left, high expressing) and A549 (right, lower expressing) cells using IGF-II Receptor/CI-M6PR (D3V8C) Rabbit mAb (green). Blue pseudocolor = Propidium Iodide (PI)/RNase Staining Solution #4087.
Immunofluorescence Image 1: IGF-II Receptor/CI-M6PR (D3V8C) Rabbit Monoclonal Antibody
Orders: 877-616-CELL (2355) [email protected] Support: 877-678-TECH (8324) [email protected] Web: cellsignal.com
For Research Use Only. Not for Use in Diagnostic Procedures.