Revision 4

#31025

Store at -20C

CST Logo
Orders:

877-616-CELL (2355)

[email protected]

Support:

877-678-TECH (8324)

3 Trask Lane | Danvers | Massachusetts | 01923 | USA

For Research Use Only. Not for Use in Diagnostic Procedures.

Applications:
W, IHC-P

Reactivity:
H

Sensitivity:
Endogenous

MW (kDa):
30

Source/Isotype:
Rabbit IgG

UniProt ID:
#P08833

Entrez-Gene Id:
3484

Product Usage Information

Application Dilution
Western Blotting 1:1000
Immunohistochemistry (Paraffin) 1:400

Storage

Supplied in 10 mM sodium HEPES (pH 7.5), 150 mM NaCl, 100 µg/ml BSA, 50% glycerol and less than 0.02% sodium azide. Store at –20°C. Do not aliquot the antibody.

For a carrier free (BSA and azide free) version of this product see product #84317.

Specificity/Sensitivity

IGFBP1 (D4E9T) Rabbit Monoclonal Antibody recognizes endogenous levels of total IGFBP1 protein.

Source / Purification

Monoclonal antibody is produced by immunizing animals with a synthetic peptide corresponding to residues surrounding Pro240 of human IGFBP1 protein.

Background

Insulin-like growth factor-binding proteins (IGFBPs) play an integral role in modifying insulin-like growth factor (IGF) actions in a wide variety of cell types. There are six known IGFBP family members (IGFBP1-6), which are structurally related, but encoded by distinct genes. IGFBPs have high affinity for IGFs; in some contexts, IGFBPs inhibit IGF actions by preventing access to IGF receptors, while in others they potentiate IGF actions by facilitating ligand-receptor interaction (1-3). IGFBP1 is produced primarily by the liver and secreted into circulation, and studies show its expression can be negatively regulated by insulin (4, 5). Notably, low levels of IGFBP1 were shown to predict the future onset of Type 2 diabetes (5). Reduced expression of IGFBP1 expression was also associated with tumor progression in breast cancer, prostate cancer, pancreatic cancer and colorectal cancer, possibly stemming from reduced inhibition of mitogenic IGF signaling (6-9). Notably however, other research studies have reported increased levels of IGFBP1 in selected tumor types; in human schwannoma, increased IGFBP1 was associated with stimulation of the integrin β1/FAK pathway, supporting the concept of IGF-independent signaling functions for selected IGFBPs (10,11).

Species Reactivity

Species reactivity is determined by testing in at least one approved application (e.g., western blot).

Western Blot Buffer

IMPORTANT: For western blots, incubate membrane with diluted primary antibody in 5% w/v BSA, 1X TBS, 0.1% Tween® 20 at 4°C with gentle shaking, overnight.

Applications Key

W: Western Blotting IHC-P: Immunohistochemistry (Paraffin)

Cross-Reactivity Key

H: Human

Trademarks and Patents

Cell Signaling Technology is a trademark of Cell Signaling Technology, Inc.

SignalStain is a registered trademark of Cell Signaling Technology, Inc.

All other trademarks are the property of their respective owners. Visit cellsignal.com/trademarks for more information.

Limited Uses

Except as otherwise expressly agreed in a writing signed by a legally authorized representative of CST, the following terms apply to Products provided by CST, its affiliates or its distributors. Any Customer's terms and conditions that are in addition to, or different from, those contained herein, unless separately accepted in writing by a legally authorized representative of CST, are rejected and are of no force or effect.

Products are labeled with For Research Use Only or a similar labeling statement and have not been approved, cleared, or licensed by the FDA or other regulatory foreign or domestic entity, for any purpose. Customer shall not use any Product for any diagnostic or therapeutic purpose, or otherwise in any manner that conflicts with its labeling statement. Products sold or licensed by CST are provided for Customer as the end-user and solely for research and development uses. Any use of Product for diagnostic, prophylactic or therapeutic purposes, or any purchase of Product for resale (alone or as a component) or other commercial purpose, requires a separate license from CST. Customer shall (a) not sell, license, loan, donate or otherwise transfer or make available any Product to any third party, whether alone or in combination with other materials, or use the Products to manufacture any commercial products, (b) not copy, modify, reverse engineer, decompile, disassemble or otherwise attempt to discover the underlying structure or technology of the Products, or use the Products for the purpose of developing any products or services that would compete with CST products or services, (c) not alter or remove from the Products any trademarks, trade names, logos, patent or copyright notices or markings, (d) use the Products solely in accordance with CST Product Terms of Sale and any applicable documentation, and (e) comply with any license, terms of service or similar agreement with respect to any third party products or services used by Customer in connection with the Products.

Orders: 877-616-CELL (2355) [email protected] Support: 877-678-TECH (8324) [email protected] Web: cellsignal.com
For Research Use Only. Not for Use in Diagnostic Procedures.

Revision 4

Cell Signaling Technology Logo
Western blot analysis of extracts from various cell lines using IGFBP1 (D4E9T) Rabbit mAb.
Western Blotting Image 1: IGFBP1 (D4E9T) Rabbit Monoclonal Antibody
Immunohistochemical analysis of paraffin-embedded HepG2 (left) and SKMEL28 (right) cell pellets using IGFBP1 (D4E9T) XP® Rabbit mAb.
Immunohistochemistry Image 1: IGFBP1 (D4E9T) Rabbit Monoclonal Antibody
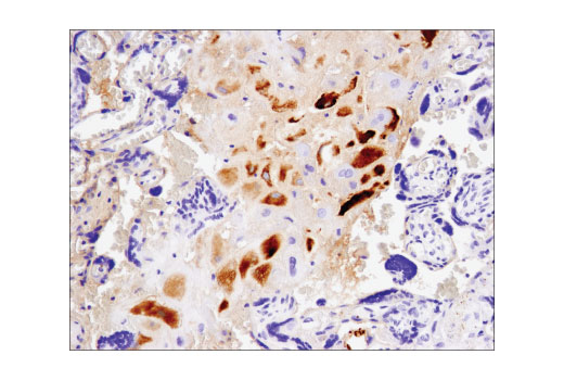
Immunohistochemical analysis of paraffin-embedded human liver with chronic inflammation using IGFBP1 (D4E9T) XP® Rabbit mAb.
Immunohistochemistry Image 2: IGFBP1 (D4E9T) Rabbit Monoclonal Antibody
Orders: 877-616-CELL (2355) [email protected] Support: 877-678-TECH (8324) [email protected] Web: cellsignal.com
For Research Use Only. Not for Use in Diagnostic Procedures.

Revision 4

Cell Signaling Technology Logo
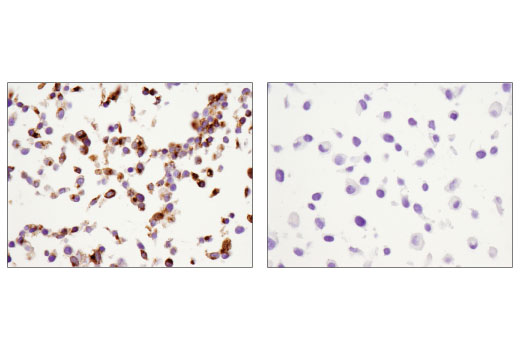
Immunohistochemical analysis of paraffin-embedded human endometrioid adenocarcinoma using IGFBP1 (D4E9T) XP® Rabbit mAb in the presence of control peptide (left) or antigen-specific peptide (right).
Immunohistochemistry Image 3: IGFBP1 (D4E9T) Rabbit Monoclonal Antibody
Immunohistochemical analysis of paraffin-embedded human decidual cells of the placenta using IGFBP1 (D4E9T) XP® Rabbit mAb.
Immunohistochemistry Image 4: IGFBP1 (D4E9T) Rabbit Monoclonal Antibody
Orders: 877-616-CELL (2355) [email protected] Support: 877-678-TECH (8324) [email protected] Web: cellsignal.com
For Research Use Only. Not for Use in Diagnostic Procedures.