Revision 1

#47744

Store at -20C

CST Logo
Orders:

877-616-CELL (2355)

[email protected]

Support:

877-678-TECH (8324)

3 Trask Lane | Danvers | Massachusetts | 01923 | USA

For Research Use Only. Not for Use in Diagnostic Procedures.

Applications:
IHC-P

Reactivity:
H M

Sensitivity:
Endogenous

MW (kDa):
32

Source/Isotype:
Rabbit IgG

UniProt ID:
#Q16270

Entrez-Gene Id:
3490

Product Usage Information

Application Dilution
Immunohistochemistry (Paraffin) 1:50 - 1:200

Storage

Supplied in 10 mM sodium HEPES (pH 7.5), 150 mM NaCl, 100 µg/ml BSA, 50% glycerol and less than 0.02% sodium azide. Store at –20°C. Do not aliquot the antibody.

Specificity/Sensitivity

IGFBP7 (E3Z8L) Rabbit Monoclonal Antibody recognizes endogenous levels of total IGFBP7 protein.

Source / Purification

Monoclonal antibody is produced by immunizing animals with a synthetic peptide corresponding to residues surrounding Glu241 of human IGFBP7 protein.

Background

IGFBP7 (also known as Mac25, TAF, or IGFBP-rP1) belongs to the IGFBP superfamily, which plays an integral role in regulating insulin-like growth factor (IGF) actions in a wide variety of cell types. There are six known high-affinity IGF binding family members (IGFBP1-6), and ten low-affinity IGF binding members. These family members are structurally related, but encoded by distinct genes (1,2). IGFBP7 is a low-affinity IGF binding protein (1). The protein functions through its binding to secreted growth factors including IGF1, insulin, and activin (3,4). IGFBP7 levels have been related to cancer development and tissue injury. Loss of expression of IGFBP7 has been associated with poor survival in multiple cancer types (5,6) and with tumor chemotherapy resistance (7,8). IGFBP7 also has been identified as a cell cycle arrest biomarker for human acute kidney injury (AKI) and serves as a prognostic indicator for early stage AKI development (9-11).

Species Reactivity

Species reactivity is determined by testing in at least one approved application (e.g., western blot).

Applications Key

IHC-P: Immunohistochemistry (Paraffin)

Cross-Reactivity Key

H: Human M: Mouse

Trademarks and Patents

Cell Signaling Technology is a trademark of Cell Signaling Technology, Inc.

SignalStain is a registered trademark of Cell Signaling Technology, Inc.

All other trademarks are the property of their respective owners. Visit cellsignal.com/trademarks for more information.

Limited Uses

Except as otherwise expressly agreed in a writing signed by a legally authorized representative of CST, the following terms apply to Products provided by CST, its affiliates or its distributors. Any Customer's terms and conditions that are in addition to, or different from, those contained herein, unless separately accepted in writing by a legally authorized representative of CST, are rejected and are of no force or effect.

Products are labeled with For Research Use Only or a similar labeling statement and have not been approved, cleared, or licensed by the FDA or other regulatory foreign or domestic entity, for any purpose. Customer shall not use any Product for any diagnostic or therapeutic purpose, or otherwise in any manner that conflicts with its labeling statement. Products sold or licensed by CST are provided for Customer as the end-user and solely for research and development uses. Any use of Product for diagnostic, prophylactic or therapeutic purposes, or any purchase of Product for resale (alone or as a component) or other commercial purpose, requires a separate license from CST. Customer shall (a) not sell, license, loan, donate or otherwise transfer or make available any Product to any third party, whether alone or in combination with other materials, or use the Products to manufacture any commercial products, (b) not copy, modify, reverse engineer, decompile, disassemble or otherwise attempt to discover the underlying structure or technology of the Products, or use the Products for the purpose of developing any products or services that would compete with CST products or services, (c) not alter or remove from the Products any trademarks, trade names, logos, patent or copyright notices or markings, (d) use the Products solely in accordance with CST Product Terms of Sale and any applicable documentation, and (e) comply with any license, terms of service or similar agreement with respect to any third party products or services used by Customer in connection with the Products.

Orders: 877-616-CELL (2355) [email protected] Support: 877-678-TECH (8324) [email protected] Web: cellsignal.com
For Research Use Only. Not for Use in Diagnostic Procedures.

Revision 1

Cell Signaling Technology Logo
Immunohistochemical analysis of paraffin-embedded human colon adenocarcinoma using IGFBP7 (E3Z8L) XP® Rabbit mAb.
Immunohistochemistry Image 1: IGFBP7 (E3Z8L) Rabbit Monoclonal Antibody
Immunohistochemical analysis of paraffin-embedded human kidney using IGFBP7 (E3Z8L) XP® Rabbit mAb (left) compared to concentration-matched Rabbit (DA1E) mAb IgG XP® Isotype Control #3900 (right).
Immunohistochemistry Image 2: IGFBP7 (E3Z8L) Rabbit Monoclonal Antibody
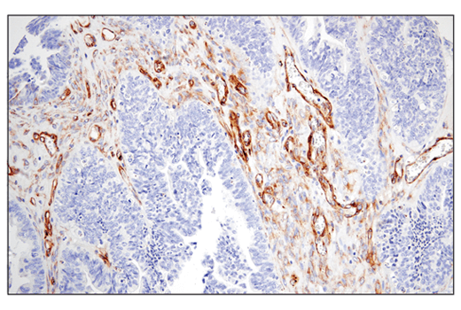
Immunohistochemical analysis of paraffin-embedded human squamous cell lung carcinoma using IGFBP7 (E3Z8L) XP® Rabbit mAb.
Immunohistochemistry Image 3: IGFBP7 (E3Z8L) Rabbit Monoclonal Antibody
Orders: 877-616-CELL (2355) [email protected] Support: 877-678-TECH (8324) [email protected] Web: cellsignal.com
For Research Use Only. Not for Use in Diagnostic Procedures.

Revision 1

Cell Signaling Technology Logo
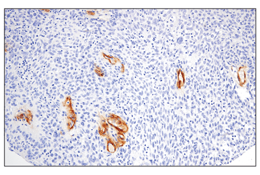
Immunohistochemical analysis of paraffin-embedded human non-Hodgkin's lymphoma using IGFBP7 (E3Z8L) XP® Rabbit mAb.
Immunohistochemistry Image 4: IGFBP7 (E3Z8L) Rabbit Monoclonal Antibody
Immunohistochemical analysis of paraffin-embedded human ovarian serous carcinoma using IGFBP7 (E3Z8L) XP® Rabbit mAb.
Immunohistochemistry Image 5: IGFBP7 (E3Z8L) Rabbit Monoclonal Antibody
Immunohistochemical analysis of paraffin-embedded mouse pancreas using IGFBP7 (E3Z8L) XP® Rabbit mAb.
Immunohistochemistry Image 6: IGFBP7 (E3Z8L) Rabbit Monoclonal Antibody
Orders: 877-616-CELL (2355) [email protected] Support: 877-678-TECH (8324) [email protected] Web: cellsignal.com
For Research Use Only. Not for Use in Diagnostic Procedures.

Revision 1

Cell Signaling Technology Logo
Immunohistochemical analysis of paraffin-embedded SCaBER cell pellet (left, positive) or HT-29 cell pellet (right, negative) using IGFBP7 (E3Z8L) XP® Rabbit mAb.
Immunohistochemistry Image 7: IGFBP7 (E3Z8L) Rabbit Monoclonal Antibody
Orders: 877-616-CELL (2355) [email protected] Support: 877-678-TECH (8324) [email protected] Web: cellsignal.com
For Research Use Only. Not for Use in Diagnostic Procedures.