Revision 3

#15595

Store at -20C

CST Logo
Orders:

877-616-CELL (2355)

[email protected]

Support:

877-678-TECH (8324)

3 Trask Lane | Danvers | Massachusetts | 01923 | USA

For Research Use Only. Not for Use in Diagnostic Procedures.

Applications:
W, IHC-P, IF-IC, FC-FP, ELISA

Reactivity:
H M R Mk B Pg

Sensitivity:
Endogenous

MW (kDa):
39

Source/Isotype:
Mouse IgG1

UniProt ID:
#P25963

Entrez-Gene Id:
4792

Product Usage Information

This product is the carrier free version of product #4814. All data were generated using the same antibody clone in the standard formulation which contains BSA and glycerol.

This formulation is ideal for use with technologies requiring specialized or custom antibody labeling, including fluorophores, metals, lanthanides, and oligonucleotides. It is not recommended for ChIP, ChIP-seq, CUT&RUN or CUT&Tag assays. If you require a carrier free formulation for chromatin profiling, please contact us. Optimal dilutions/concentrations should be determined by the end user.

BSA and Azide Free antibodies are quality control tested by size exclusion chromatography (SEC) to determine antibody integrity.

Formulation

Supplied in 1X PBS (10 mM Na2HPO4, 3 mM KCl, 2 mM KH2PO4, and 140 mM NaCl (pH 7.8)). BSA and Azide Free.

For standard formulation of this product see product #4814

Storage

Store at -20°C. This product will freeze at -20°C so it is recommended to aliquot into single-use vials to avoid multiple freeze/thaw cycles. A slight precipitate may be present and can be dissolved by gently vortexing. This will not interfere with antibody performance.

Specificity/Sensitivity

IkappaB alpha (L35A5) Mouse Monoclonal Antibody (Amino-terminal Antigen) (BSA and Azide Free) detects endogenous levels of total IκBα protein.

Source / Purification

Monoclonal antibody is produced by immunizing animals with a GST-IκBα fusion protein corresponding to the amino terminus of human IκBα.

Background

The NF-κB/Rel transcription factors are present in the cytosol in an inactive state complexed with the inhibitory IκB proteins (1-3). Activation occurs via phosphorylation of IκBα at Ser32 and Ser36 followed by proteasome-mediated degradation that results in the release and nuclear translocation of active NF-κB (3-7). IκBα phosphorylation and resulting Rel-dependent transcription are activated by a highly diverse group of extracellular signals including inflammatory cytokines, growth factors, and chemokines. Kinases that phosphorylate IκB at these activating sites have been identified (8).

Species Reactivity

Species reactivity is determined by testing in at least one approved application (e.g., western blot).

Applications Key

W: Western Blotting IHC-P: Immunohistochemistry (Paraffin) IF-IC: Immunofluorescence (Immunocytochemistry) FC-FP: Flow Cytometry (Fixed/Permeabilized) ELISA: ELISA

Cross-Reactivity Key

H: Human M: Mouse R: Rat Mk: Monkey B: Bovine Pg: Pig

Trademarks and Patents

Cell Signaling Technology is a trademark of Cell Signaling Technology, Inc.

All other trademarks are the property of their respective owners. Visit cellsignal.com/trademarks for more information.

Limited Uses

Except as otherwise expressly agreed in a writing signed by a legally authorized representative of CST, the following terms apply to Products provided by CST, its affiliates or its distributors. Any Customer's terms and conditions that are in addition to, or different from, those contained herein, unless separately accepted in writing by a legally authorized representative of CST, are rejected and are of no force or effect.

Products are labeled with For Research Use Only or a similar labeling statement and have not been approved, cleared, or licensed by the FDA or other regulatory foreign or domestic entity, for any purpose. Customer shall not use any Product for any diagnostic or therapeutic purpose, or otherwise in any manner that conflicts with its labeling statement. Products sold or licensed by CST are provided for Customer as the end-user and solely for research and development uses. Any use of Product for diagnostic, prophylactic or therapeutic purposes, or any purchase of Product for resale (alone or as a component) or other commercial purpose, requires a separate license from CST. Customer shall (a) not sell, license, loan, donate or otherwise transfer or make available any Product to any third party, whether alone or in combination with other materials, or use the Products to manufacture any commercial products, (b) not copy, modify, reverse engineer, decompile, disassemble or otherwise attempt to discover the underlying structure or technology of the Products, or use the Products for the purpose of developing any products or services that would compete with CST products or services, (c) not alter or remove from the Products any trademarks, trade names, logos, patent or copyright notices or markings, (d) use the Products solely in accordance with CST Product Terms of Sale and any applicable documentation, and (e) comply with any license, terms of service or similar agreement with respect to any third party products or services used by Customer in connection with the Products.

Orders: 877-616-CELL (2355) [email protected] Support: 877-678-TECH (8324) [email protected] Web: cellsignal.com
For Research Use Only. Not for Use in Diagnostic Procedures.

Revision 3

Cell Signaling Technology Logo
Western blot analysis of extracts from THP-1 cells, differentiated with TPA (80 nM for 24h) and treated with 1 μg/ml LPS for the indicated times, using Phospho-IκBα (Ser32/36) (5A5) Mouse mAb #9246 (upper) and IκBα (L35A5) Mouse mAb (Amino-terminal Antigen) (lower). Data were generated using the standard formulation of this product.
Western Blotting Image 1: IkappaB alpha (L35A5) Mouse Monoclonal Antibody (Amino-terminal Antigen) (BSA and Azide Free)
Western blot analysis of extracts from HeLa, NIH/3T3 and PC12 cells, using IkBα (L35A5) Mouse mAb (Amino-terminal Antigen). Data were generated using the standard formulation of this product.
Western Blotting Image 2: IkappaB alpha (L35A5) Mouse Monoclonal Antibody (Amino-terminal Antigen) (BSA and Azide Free)
Immunohistochemical analysis of paraffin-embedded human leiomyoma, using IκBα (L35A5) Mouse mAb (Amino-terminal Antigen). Data were generated using the standard formulation of this product.
Immunohistochemistry Image 1: IkappaB alpha (L35A5) Mouse Monoclonal Antibody (Amino-terminal Antigen) (BSA and Azide Free)
Orders: 877-616-CELL (2355) [email protected] Support: 877-678-TECH (8324) [email protected] Web: cellsignal.com
For Research Use Only. Not for Use in Diagnostic Procedures.

Revision 3

Cell Signaling Technology Logo
Immunohistochemical analysis of paraffin-embedded human lung carcinoma, using IκBα (L35A5) Mouse mAb (Amino-terminal Antigen). Data were generated using the standard formulation of this product.
Immunohistochemistry Image 2: IkappaB alpha (L35A5) Mouse Monoclonal Antibody (Amino-terminal Antigen) (BSA and Azide Free)
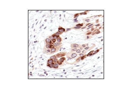
Immunohistochemical analysis of paraffin-embedded human renal adenocarcinoma, using IκBα (L35A5) Mouse mAb (Amino-terminal Antigen). Data were generated using the standard formulation of this product.
Immunohistochemistry Image 3: IkappaB alpha (L35A5) Mouse Monoclonal Antibody (Amino-terminal Antigen) (BSA and Azide Free)
Confocal immunofluorescent analysis of HeLa cells, untreated (left), or TNF-α-treated (10 ng/ml for 15 min, right) using IκBα (L35A5) Mouse mAb (Amino-terminal Antigen) (red). Blue pseudocolor = DRAQ5® #4084 (fluorescent DNA dye). Data were generated using the standard formulation of this product.
Immunofluorescence Image 1: IkappaB alpha (L35A5) Mouse Monoclonal Antibody (Amino-terminal Antigen) (BSA and Azide Free)
Orders: 877-616-CELL (2355) [email protected] Support: 877-678-TECH (8324) [email protected] Web: cellsignal.com
For Research Use Only. Not for Use in Diagnostic Procedures.

Revision 3

Cell Signaling Technology Logo
Flow cytometric analysis of NIH/3T3 cells, treated with TNF-α (10 ng/ml for 5 min; blue, negative) or untreated (green, positive) using IκBα (L35A5) Mouse mAb (Amino-terminal Antigen) (solid lines) or concentration-matched Mouse (G3A1) mAb IgG1 Isotype Control #5415 (dashed lines). Anti-mouse IgG (H+L), F(ab')2 Fragment (Alexa Fluor® 488 Conjugate) #4408 was used as a secondary antibody. Data were generated using the standard formulation of this product.
Flow Cytometry Image 1: IkappaB alpha (L35A5) Mouse Monoclonal Antibody (Amino-terminal Antigen) (BSA and Azide Free)
Data using Total IκBα Matched Antibody Pair II #62779 are shown. The two antibodies function as a capture-target-detection sandwich (#88327 and #15595, respectively) to detect endogenous protein expression in treated and untreated cells.
ELISA Image 1: IkappaB alpha (L35A5) Mouse Monoclonal Antibody (Amino-terminal Antigen) (BSA and Azide Free)
Orders: 877-616-CELL (2355) [email protected] Support: 877-678-TECH (8324) [email protected] Web: cellsignal.com
For Research Use Only. Not for Use in Diagnostic Procedures.