Revision 3

#30979

Store at -20C

CST Logo
Orders:

877-616-CELL (2355)

[email protected]

Support:

877-678-TECH (8324)

3 Trask Lane | Danvers | Massachusetts | 01923 | USA

For Research Use Only. Not for Use in Diagnostic Procedures.

Applications:
W, IHC-P, IF-F, IF-IC, FC-FP, ELISA

Reactivity:
H M

Sensitivity:
Endogenous

MW (kDa):
50-70

Source/Isotype:
Rabbit IgG

UniProt ID:
#Q13422

Entrez-Gene Id:
10320

Product Usage Information

This product is the carrier free version of product #14859. All data were generated using the same antibody clone in the standard formulation which contains BSA and glycerol.

This formulation is ideal for use with technologies requiring specialized or custom antibody labeling, including fluorophores, metals, lanthanides, and oligonucleotides. It is not recommended for ChIP, ChIP-seq, CUT&RUN or CUT&Tag assays. If you require a carrier free formulation for chromatin profiling, please contact us. Optimal dilutions/concentrations should be determined by the end user.

BSA and Azide Free antibodies are quality control tested by size exclusion chromatography (SEC) to determine antibody integrity.

Formulation

Supplied in 1X PBS (10 mM Na2HPO4, 3 mM KCl, 2 mM KH2PO4, and 140 mM NaCl (pH 7.8)). BSA and Azide Free.

For standard formulation of this product see product #14859.

Storage

Store at -20°C. This product will freeze at -20°C so it is recommended to aliquot into single-use vials to avoid multiple freeze/thaw cycles. A slight precipitate may be present and can be dissolved by gently vortexing. This will not interfere with antibody performance.

Specificity/Sensitivity

Ikaros (D6N9Y) Rabbit Monoclonal Antibody (BSA and Azide Free) recognizes endogenous levels of total Ikaros protein.

Source / Purification

Monoclonal antibody is produced by immunizing animals with a synthetic peptide corresponding to residues surrounding Pro329 of human Ikaros protein.

Background

The Ikaros family of zinc-finger DNA-binding proteins belongs to the Kruppel transcription factor superfamily. Ikaros proteins are characterized by the presence of an amino-terminal zinc finger DNA-binding domain and a carboxy-terminal dimerization domain. Members of the Ikaros family include Ikaros, Aiolos, Helios, EOS, and Pegasus (1). All family members can form homodimers and heterodimers with other members of the Ikaros family. Most also contain multiple isoforms that are generated as a result of differential splicing, with some isoforms behaving in a dominant negative manner upon dimerization (2).

Ikaros (IKZF1, LYF1) is the prototypical Ikaros family zinc-finger transcription factor and is expressed abundantly in lymphoid cells. Genetic studies in mice demonstrate that Ikaros is a tumor suppressor that is important for the normal development of B, T, natural killer, and dendritic cells (3,4). Additional studies show that imbalanced expression of different Ikaros isoforms, as well as mutations in the corresponding IKAROS gene, can be associated with a number of hematologic malignancies in humans (2,5,6).

Species Reactivity

Species reactivity is determined by testing in at least one approved application (e.g., western blot).

Applications Key

W: Western Blotting IHC-P: Immunohistochemistry (Paraffin) IF-F: Immunofluorescence (Frozen) IF-IC: Immunofluorescence (Immunocytochemistry) FC-FP: Flow Cytometry (Fixed/Permeabilized) ELISA: ELISA

Cross-Reactivity Key

H: Human M: Mouse

Trademarks and Patents

Cell Signaling Technology is a trademark of Cell Signaling Technology, Inc.

Alexa Fluor is a registered trademark of Life Technologies Corporation.

All other trademarks are the property of their respective owners. Visit cellsignal.com/trademarks for more information.

Limited Uses

Except as otherwise expressly agreed in a writing signed by a legally authorized representative of CST, the following terms apply to Products provided by CST, its affiliates or its distributors. Any Customer's terms and conditions that are in addition to, or different from, those contained herein, unless separately accepted in writing by a legally authorized representative of CST, are rejected and are of no force or effect.

Products are labeled with For Research Use Only or a similar labeling statement and have not been approved, cleared, or licensed by the FDA or other regulatory foreign or domestic entity, for any purpose. Customer shall not use any Product for any diagnostic or therapeutic purpose, or otherwise in any manner that conflicts with its labeling statement. Products sold or licensed by CST are provided for Customer as the end-user and solely for research and development uses. Any use of Product for diagnostic, prophylactic or therapeutic purposes, or any purchase of Product for resale (alone or as a component) or other commercial purpose, requires a separate license from CST. Customer shall (a) not sell, license, loan, donate or otherwise transfer or make available any Product to any third party, whether alone or in combination with other materials, or use the Products to manufacture any commercial products, (b) not copy, modify, reverse engineer, decompile, disassemble or otherwise attempt to discover the underlying structure or technology of the Products, or use the Products for the purpose of developing any products or services that would compete with CST products or services, (c) not alter or remove from the Products any trademarks, trade names, logos, patent or copyright notices or markings, (d) use the Products solely in accordance with CST Product Terms of Sale and any applicable documentation, and (e) comply with any license, terms of service or similar agreement with respect to any third party products or services used by Customer in connection with the Products.

Orders: 877-616-CELL (2355) [email protected] Support: 877-678-TECH (8324) [email protected] Web: cellsignal.com
For Research Use Only. Not for Use in Diagnostic Procedures.

Revision 3

Cell Signaling Technology Logo
Western blot analysis of extracts from various cell lines using Ikaros (D6N9Y) Rabbit mAb (upper) and β-Actin (D6A8) Rabbit mAb #8457 (lower). As expected, detectable expression is restricted exclusively to lymphoid cell lines. Data were generated using the standard formulation of this product.
Western Blotting Image 1: Ikaros (D6N9Y) Rabbit Monoclonal Antibody (BSA and Azide Free)
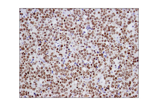
Immunohistochemical analysis of paraffin-embedded human Non-Hodgkin's lymphoma using Ikaros (D6N9Y) Rabbit mAb. Data were generated using the standard formulation of this product.
Immunohistochemistry Image 1: Ikaros (D6N9Y) Rabbit Monoclonal Antibody (BSA and Azide Free)
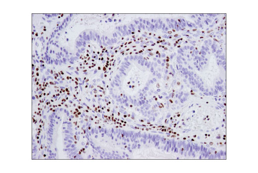
Immunohistochemical analysis of paraffin-embedded human colon adenocarcinoma using Ikaros (D6N9Y) Rabbit mAb. Data were generated using the standard formulation of this product.
Immunohistochemistry Image 2: Ikaros (D6N9Y) Rabbit Monoclonal Antibody (BSA and Azide Free)
Orders: 877-616-CELL (2355) [email protected] Support: 877-678-TECH (8324) [email protected] Web: cellsignal.com
For Research Use Only. Not for Use in Diagnostic Procedures.

Revision 3

Cell Signaling Technology Logo
Confocal immunofluorescent analysis of mouse cortex using Ikaros (D6N9Y) Rabbit mAb #14859 (red) and CD11b/ITGAM (M1/70) Rat mAb #46512 (green). Samples were mounted in ProLong® Gold Antifade Reagent with DAPI #8961 (blue). Data were generated using the standard formulation of this product.
Immunofluorescence Image 1: Ikaros (D6N9Y) Rabbit Monoclonal Antibody (BSA and Azide Free)
Confocal immunofluorescent analysis of A20 (left), Ramos (middle), and HeLa (right) cells using Ikaros (D6N9Y) Rabbit mAb (green). Actin filaments were labeled with DyLight™ 554 Phalloidin #13054 (red). Data were generated using the standard formulation of this product.
Immunofluorescence Image 1: Ikaros (D6N9Y) Rabbit Monoclonal Antibody (BSA and Azide Free)
Flow cytometric analysis of HT-29 cells (blue, negative) and Jurkat cells (green, positive) using Ikaros (D6N9Y) Rabbit mAb (solid lines) or concentration-matched Rabbit (DA1E) mAb IgG XP® Isotype Control #3900 (dashed lines). Anti-rabbit IgG (H+L), F(ab')2 Fragment (Alexa Fluor® 488 Conjugate) #4412 was used as a secondary antibody. Data were generated using the standard formulation of this product.
Flow Cytometry Image 1: Ikaros (D6N9Y) Rabbit Monoclonal Antibody (BSA and Azide Free)
Orders: 877-616-CELL (2355) [email protected] Support: 877-678-TECH (8324) [email protected] Web: cellsignal.com
For Research Use Only. Not for Use in Diagnostic Procedures.

Revision 3

Cell Signaling Technology Logo
Data using Ikaros Matched Antibody Pair #38302 are shown. The two antibodies function as a capture-target-detection sandwich (#30979 and #76701, respectively) to detect endogenous protein expression in positive and negative controls.
ELISA Image 1: Ikaros (D6N9Y) Rabbit Monoclonal Antibody (BSA and Azide Free)
Orders: 877-616-CELL (2355) [email protected] Support: 877-678-TECH (8324) [email protected] Web: cellsignal.com
For Research Use Only. Not for Use in Diagnostic Procedures.