Revision 10

#14859

Store at -20C

CST Logo
Orders:

877-616-CELL (2355)

[email protected]

Support:

877-678-TECH (8324)

3 Trask Lane | Danvers | Massachusetts | 01923 | USA

For Research Use Only. Not for Use in Diagnostic Procedures.

Applications:
W, W-S, IHC-P, IF-F, IF-IC, FC-FP, ChIP, ChIP-seq, C&R

Reactivity:
H M

Sensitivity:
Endogenous

MW (kDa):
50-70

Source/Isotype:
Rabbit IgG

UniProt ID:
#Q13422

Entrez-Gene Id:
10320

Product Usage Information

For optimal ChIP and ChIP-seq results, use 5 μl of antibody and 10 μg of chromatin (approximately 4 x 106 cells) per IP. This antibody has been validated using SimpleChIP® Enzymatic Chromatin IP Kits.

The CUT&RUN dilution was determined using CUT&RUN Assay Kit #86652.
Application Dilution
Western Blotting 1:1000
Simple Western™ 1:10 - 1:50
Immunohistochemistry (Paraffin) 1:250 - 1:1000
Immunofluorescence (Frozen) 1:50 - 1:100
Immunofluorescence (Immunocytochemistry) 1:100
Flow Cytometry (Fixed/Permeabilized) 1:50 - 1:200
Chromatin IP 1:100
Chromatin IP-seq 1:100
CUT&RUN 1:100

Storage

Supplied in 10 mM sodium HEPES (pH 7.5), 150 mM NaCl, 100 µg/ml BSA, 50% glycerol and less than 0.02% sodium azide. Store at –20°C. Do not aliquot the antibody.

For a carrier free (BSA and azide free) version of this product see product #30979.

Specificity/Sensitivity

Ikaros (D6N9Y) Rabbit Monoclonal Antibody recognizes endogenous levels of total Ikaros protein.

Source / Purification

Monoclonal antibody is produced by immunizing animals with a synthetic peptide corresponding to residues surrounding Pro329 of human Ikaros protein.

Background

The Ikaros family of zinc-finger DNA-binding proteins belongs to the Kruppel transcription factor superfamily. Ikaros proteins are characterized by the presence of an amino-terminal zinc finger DNA-binding domain and a carboxy-terminal dimerization domain. Members of the Ikaros family include Ikaros, Aiolos, Helios, EOS, and Pegasus (1). All family members can form homodimers and heterodimers with other members of the Ikaros family. Most also contain multiple isoforms that are generated as a result of differential splicing, with some isoforms behaving in a dominant negative manner upon dimerization (2).

Ikaros (IKZF1, LYF1) is the prototypical Ikaros family zinc-finger transcription factor and is expressed abundantly in lymphoid cells. Genetic studies in mice demonstrate that Ikaros is a tumor suppressor that is important for the normal development of B, T, natural killer, and dendritic cells (3,4). Additional studies show that imbalanced expression of different Ikaros isoforms, as well as mutations in the corresponding IKAROS gene, can be associated with a number of hematologic malignancies in humans (2,5,6).

Species Reactivity

Species reactivity is determined by testing in at least one approved application (e.g., western blot).

Western Blot Buffer

IMPORTANT: For western blots, incubate membrane with diluted primary antibody in 5% w/v nonfat dry milk, 1X TBS, 0.1% Tween® 20 at 4°C with gentle shaking, overnight.

Applications Key

W: Western Blotting W-S: Simple Western™ IHC-P: Immunohistochemistry (Paraffin) IF-F: Immunofluorescence (Frozen) IF-IC: Immunofluorescence (Immunocytochemistry) FC-FP: Flow Cytometry (Fixed/Permeabilized) ChIP: Chromatin IP ChIP-seq: Chromatin IP-seq C&R: CUT&RUN

Cross-Reactivity Key

H: Human M: Mouse

Trademarks and Patents

Cell Signaling Technology is a trademark of Cell Signaling Technology, Inc.

Alexa Fluor is a registered trademark of Life Technologies Corporation.

All other trademarks are the property of their respective owners. Visit cellsignal.com/trademarks for more information.

Limited Uses

Except as otherwise expressly agreed in a writing signed by a legally authorized representative of CST, the following terms apply to Products provided by CST, its affiliates or its distributors. Any Customer's terms and conditions that are in addition to, or different from, those contained herein, unless separately accepted in writing by a legally authorized representative of CST, are rejected and are of no force or effect.

Products are labeled with For Research Use Only or a similar labeling statement and have not been approved, cleared, or licensed by the FDA or other regulatory foreign or domestic entity, for any purpose. Customer shall not use any Product for any diagnostic or therapeutic purpose, or otherwise in any manner that conflicts with its labeling statement. Products sold or licensed by CST are provided for Customer as the end-user and solely for research and development uses. Any use of Product for diagnostic, prophylactic or therapeutic purposes, or any purchase of Product for resale (alone or as a component) or other commercial purpose, requires a separate license from CST. Customer shall (a) not sell, license, loan, donate or otherwise transfer or make available any Product to any third party, whether alone or in combination with other materials, or use the Products to manufacture any commercial products, (b) not copy, modify, reverse engineer, decompile, disassemble or otherwise attempt to discover the underlying structure or technology of the Products, or use the Products for the purpose of developing any products or services that would compete with CST products or services, (c) not alter or remove from the Products any trademarks, trade names, logos, patent or copyright notices or markings, (d) use the Products solely in accordance with CST Product Terms of Sale and any applicable documentation, and (e) comply with any license, terms of service or similar agreement with respect to any third party products or services used by Customer in connection with the Products.

Orders: 877-616-CELL (2355) [email protected] Support: 877-678-TECH (8324) [email protected] Web: cellsignal.com
For Research Use Only. Not for Use in Diagnostic Procedures.

Revision 10

Cell Signaling Technology Logo
Western blot analysis of extracts from various cell lines using Ikaros (D6N9Y) Rabbit mAb (upper) and β-Actin (D6A8) Rabbit mAb #8457 (lower). As expected, detectable expression is restricted exclusively to lymphoid cell lines.
Western Blotting Image 1: Ikaros (D6N9Y) Rabbit Monoclonal Antibody
Simple Western™ analysis of lysates (0.1 mg/ml) from Jurkat cells using Ikaros (D6N9Y) Rabbit mAb. The virtual lane view (left) shows the target bands (as indicated) at 1:10 and 1:50 dilutions of primary antibody. The corresponding electropherogram view (right) plots chemiluminescence by molecular weight along the capillary at 1:10 (blue line) and 1:50 (green line) dilutions of primary antibody. This experiment was performed under reducing conditions on the Jess™ Simple Western instrument from ProteinSimple, a BioTechne brand, using the 12-230kDa.
Western Blotting Image 1: Ikaros (D6N9Y) Rabbit Monoclonal Antibody
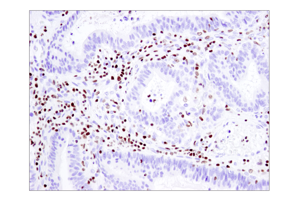
Immunohistochemical analysis of paraffin-embedded human colon adenocarcinoma using Ikaros (D6N9Y) Rabbit Monoclonal Antibody.
Immunohistochemistry Image 1: Ikaros (D6N9Y) Rabbit Monoclonal Antibody
Orders: 877-616-CELL (2355) [email protected] Support: 877-678-TECH (8324) [email protected] Web: cellsignal.com
For Research Use Only. Not for Use in Diagnostic Procedures.

Revision 10

Cell Signaling Technology Logo
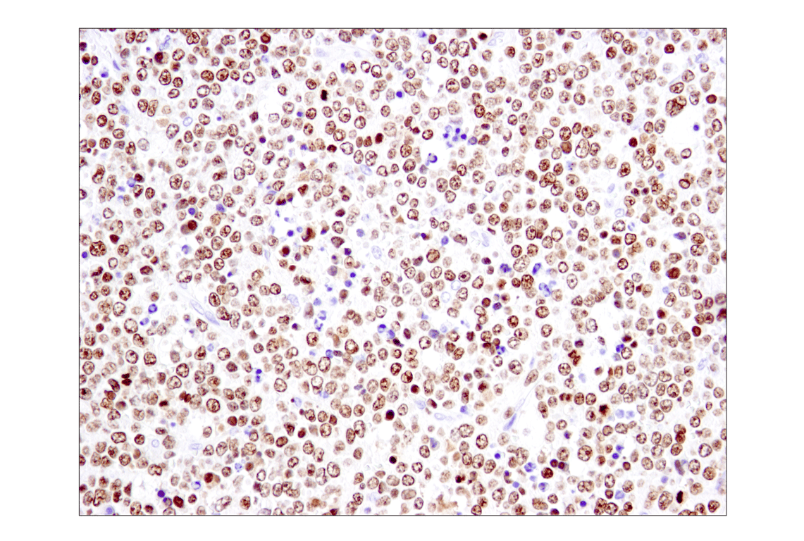
Immunohistochemical analysis of paraffin-embedded human non-Hodgkin lymphoma using Ikaros (D6N9Y) Rabbit Monoclonal Antibody.
Immunohistochemistry Image 2: Ikaros (D6N9Y) Rabbit Monoclonal Antibody
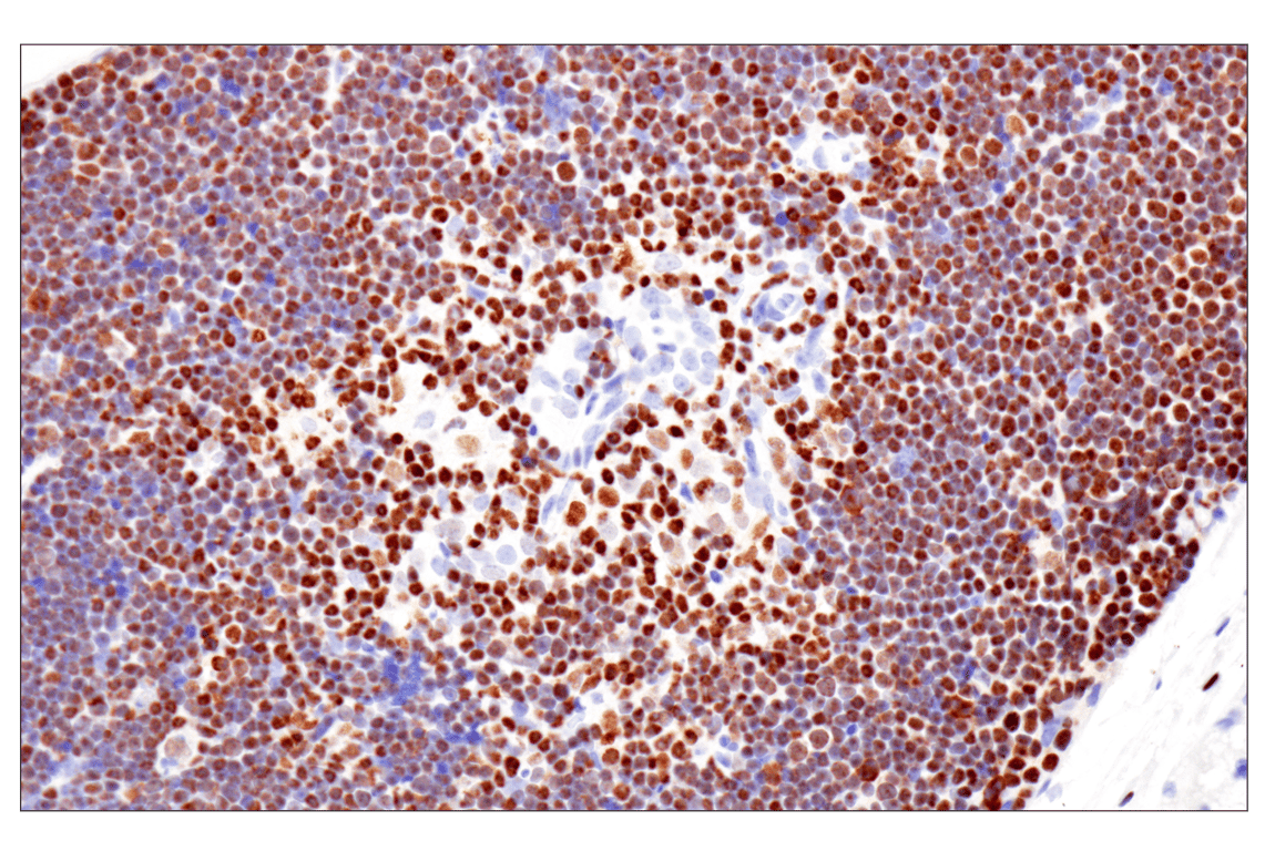
Immunohistochemical analysis of paraffin-embedded mouse spleen using Ikaros (D6N9Y) Rabbit Monoclonal Antibody.
Immunohistochemistry Image 3: Ikaros (D6N9Y) Rabbit Monoclonal Antibody
Immunohistochemical analysis of paraffin-embedded mouse thymus using Ikaros (D6N9Y) Rabbit Monoclonal Antibody.
Immunohistochemistry Image 4: Ikaros (D6N9Y) Rabbit Monoclonal Antibody
Orders: 877-616-CELL (2355) [email protected] Support: 877-678-TECH (8324) [email protected] Web: cellsignal.com
For Research Use Only. Not for Use in Diagnostic Procedures.

Revision 10

Cell Signaling Technology Logo
Immunohistochemical analysis of paraffin-embedded mouse small intestine using Ikaros (D6N9Y) Rabbit Monoclonal Antibody.
Immunohistochemistry Image 5: Ikaros (D6N9Y) Rabbit Monoclonal Antibody
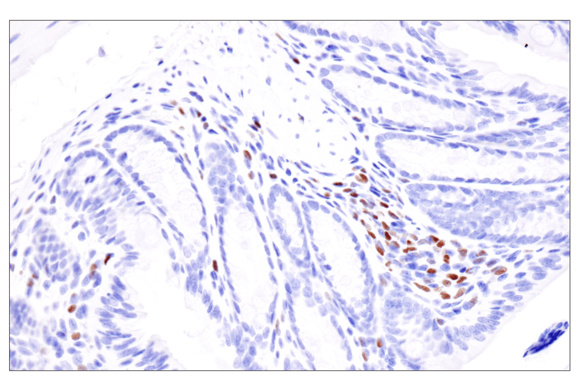
Immunohistochemical analysis of paraffin-embedded mouse colon using Ikaros (D6N9Y) Rabbit Monoclonal Antibody.
Immunohistochemistry Image 6: Ikaros (D6N9Y) Rabbit Monoclonal Antibody
Confocal immunofluorescent analysis of mouse cortex using Ikaros (D6N9Y) Rabbit mAb #14859 (red) and CD11b/ITGAM (M1/70) Rat mAb #46512 (green). Samples were mounted in ProLong® Gold Antifade Reagent with DAPI #8961 (blue).
Immunofluorescence Image 1: Ikaros (D6N9Y) Rabbit Monoclonal Antibody
Orders: 877-616-CELL (2355) [email protected] Support: 877-678-TECH (8324) [email protected] Web: cellsignal.com
For Research Use Only. Not for Use in Diagnostic Procedures.

Revision 10

Cell Signaling Technology Logo
Confocal immunofluorescent analysis of A20 (left), Ramos (middle), and HeLa (right) cells using Ikaros (D6N9Y) Rabbit mAb (green). Actin filaments were labeled with DyLight™ 554 Phalloidin #13054 (red).
Immunofluorescence Image 1: Ikaros (D6N9Y) Rabbit Monoclonal Antibody
Flow cytometric analysis of HT-29 cells (blue, negative) and Jurkat cells (green, positive) using Ikaros (D6N9Y) Rabbit mAb (solid lines) or concentration-matched Rabbit (DA1E) mAb IgG XP® Isotype Control #3900 (dashed lines). Anti-rabbit IgG (H+L), F(ab')2 Fragment (Alexa Fluor® 488 Conjugate) #4412 was used as a secondary antibody.
Flow Cytometry Image 1: Ikaros (D6N9Y) Rabbit Monoclonal Antibody
Chromatin immunoprecipitations were performed with cross-linked chromatin from Jurkat cells and Ikaros (D6N9Y) Rabbit mAb, using SimpleChIP® Enzymatic Chromatin IP Kit (Magnetic Beads) #9005. DNA Libraries were prepared using SimpleChIP® ChIP-seq DNA Library Prep Kit for Illumina® #56795. The figure shows binding across TLR9 gene. For additional ChIP-seq tracks, please download the product data sheet.
Chromatin Immunoprecipitation Image 1: Ikaros (D6N9Y) Rabbit Monoclonal Antibody
Orders: 877-616-CELL (2355) [email protected] Support: 877-678-TECH (8324) [email protected] Web: cellsignal.com
For Research Use Only. Not for Use in Diagnostic Procedures.

Revision 10

Cell Signaling Technology Logo
Chromatin immunoprecipitations were performed with cross-linked chromatin from Jurkat cells and Ikaros (D6N9Y) Rabbit mAb, using SimpleChIP® Enzymatic Chromatin IP Kit (Magnetic Beads) #9005. DNA Libraries were prepared using SimpleChIP® ChIP-seq DNA Library Prep Kit for Illumina® #56795. The figure shows binding across chromosome 3 (upper), including TLR9 gene (lower).
Chromatin Immunoprecipitation Image 2: Ikaros (D6N9Y) Rabbit Monoclonal Antibody
Chromatin immunoprecipitations were performed with cross-linked chromatin from Jurkat cells and either Ikaros (D6N9Y) Rabbit mAb or Normal Rabbit IgG #2729 using SimpleChIP® Enzymatic Chromatin IP Kit (Magnetic Beads) #9003. The enriched DNA was quantified by real-time PCR using human HES1 promoter primers, SimpleChIP® Human HES4 Promoter Primers #7273, and SimpleChIP® Human α Satellite Repeat Primers #4486. The amount of immunoprecipitated DNA in each sample is represented as signal relative to the total amount of input chromatin, which is equivalent to one.
Chromatin Immunoprecipitation Image 3: Ikaros (D6N9Y) Rabbit Monoclonal Antibody
CUT&RUN was performed with Jurkat cells and Ikaros (D6N9Y) Rabbit mAb, using CUT&RUN Assay Kit #86652. DNA Library was prepared using SimpleChIP® ChIP-seq DNA Library Prep Kit for Illumina® #56795. The figure shows binding across HES1 gene.
CUT & RUN Image 1: Ikaros (D6N9Y) Rabbit Monoclonal Antibody
Orders: 877-616-CELL (2355) [email protected] Support: 877-678-TECH (8324) [email protected] Web: cellsignal.com
For Research Use Only. Not for Use in Diagnostic Procedures.

Revision 10

Cell Signaling Technology Logo
CUT&RUN was performed with Jurkat cells and Ikaros (D6N9Y) Rabbit mAb, using CUT&RUN Assay Kit #86652. DNA Library was prepared using SimpleChIP® ChIP-seq DNA Library Prep Kit for Illumina® #56795. The figures show binding across chromosome 3 (upper), including HES1 gene (lower).
CUT & RUN Image 2: Ikaros (D6N9Y) Rabbit Monoclonal Antibody
CUT&RUN was performed with Jurkat cells and either Ikaros (D6N9Y) Rabbit mAb or Rabbit (DA1E) mAb IgG XP® Isotype Control (CUT&RUN) #66362, using CUT&RUN Assay Kit #86652. The enriched DNA was quantified by real-time PCR using human TMEM exon 1, human CKS1B exon 1, and SimpleChIP® Human α Satellite Repeat Primers #4486. The amount of immunoprecipitated DNA in each sample is represented as signal relative to the total amount of input chromatin, which is equivalent to one.
CUT & RUN Image 3: Ikaros (D6N9Y) Rabbit Monoclonal Antibody
Orders: 877-616-CELL (2355) [email protected] Support: 877-678-TECH (8324) [email protected] Web: cellsignal.com
For Research Use Only. Not for Use in Diagnostic Procedures.