Revision 3

#12163

Store at -20C

CST Logo
Orders:

877-616-CELL (2355)

[email protected]

Support:

877-678-TECH (8324)

3 Trask Lane | Danvers | Massachusetts | 01923 | USA

For Research Use Only. Not for Use in Diagnostic Procedures.

Applications:
W

Reactivity:
H

Sensitivity:
Endogenous

MW (kDa):
17

Source/Isotype:
Rabbit IgG

UniProt ID:
#P22301

Entrez-Gene Id:
3586

Product Usage Information

Application Dilution
Western Blotting 1:1000

Storage

Supplied in 10 mM sodium HEPES (pH 7.5), 150 mM NaCl, 100 µg/ml BSA, 50% glycerol and less than 0.02% sodium azide. Store at –20°C. Do not aliquot the antibody.

Specificity/Sensitivity

IL-10 (D13A11) Rabbit Monoclonal Antibody recognizes endogenous levels of total IL-10 protein.

Source / Purification

Monoclonal antibody is produced by immunizing animals with a recombinant human IL-10 protein.

Background

Interleukin-10 (IL-10) is an anti-inflammatory cytokine that is produced by T cells, NK cells, and macrophages (1,2). IL-10 initiates signal transduction by binding to a cell surface receptor complex consisting of IL-10 RI and IL-10 RII (1), leading to the activation of Jak1 and Tyk2 and phosphorylation of Stat3 (1,3). The anti-inflammatory activity of IL-10 is due to its ability to block signaling through other cytokine receptors, notably IFN-γ receptor, by upregulating expression of SOCS1 (1,3). In addition, IL-10 promotes T cell tolerance by inhibiting tyrosine phosphorylation of CD28 (4,5). IL-10 is an important negative regulator of the immune response, which allows for maintenance of pregnancy (1). In contrast, increased IL-10 levels contribute to persistent Leishmania major infections (6).

Species Reactivity

Species reactivity is determined by testing in at least one approved application (e.g., western blot).

Western Blot Buffer

IMPORTANT: For western blots, incubate membrane with diluted primary antibody in 5% w/v BSA, 1X TBS, 0.1% Tween® 20 at 4°C with gentle shaking, overnight.

Applications Key

W: Western Blotting

Cross-Reactivity Key

H: Human

Trademarks and Patents

Cell Signaling Technology is a trademark of Cell Signaling Technology, Inc.

Alexa Fluor is a registered trademark of Life Technologies Corporation.

All other trademarks are the property of their respective owners. Visit cellsignal.com/trademarks for more information.

Limited Uses

Except as otherwise expressly agreed in a writing signed by a legally authorized representative of CST, the following terms apply to Products provided by CST, its affiliates or its distributors. Any Customer's terms and conditions that are in addition to, or different from, those contained herein, unless separately accepted in writing by a legally authorized representative of CST, are rejected and are of no force or effect.

Products are labeled with For Research Use Only or a similar labeling statement and have not been approved, cleared, or licensed by the FDA or other regulatory foreign or domestic entity, for any purpose. Customer shall not use any Product for any diagnostic or therapeutic purpose, or otherwise in any manner that conflicts with its labeling statement. Products sold or licensed by CST are provided for Customer as the end-user and solely for research and development uses. Any use of Product for diagnostic, prophylactic or therapeutic purposes, or any purchase of Product for resale (alone or as a component) or other commercial purpose, requires a separate license from CST. Customer shall (a) not sell, license, loan, donate or otherwise transfer or make available any Product to any third party, whether alone or in combination with other materials, or use the Products to manufacture any commercial products, (b) not copy, modify, reverse engineer, decompile, disassemble or otherwise attempt to discover the underlying structure or technology of the Products, or use the Products for the purpose of developing any products or services that would compete with CST products or services, (c) not alter or remove from the Products any trademarks, trade names, logos, patent or copyright notices or markings, (d) use the Products solely in accordance with CST Product Terms of Sale and any applicable documentation, and (e) comply with any license, terms of service or similar agreement with respect to any third party products or services used by Customer in connection with the Products.

Orders: 877-616-CELL (2355) [email protected] Support: 877-678-TECH (8324) [email protected] Web: cellsignal.com
For Research Use Only. Not for Use in Diagnostic Procedures.

Revision 3

Cell Signaling Technology Logo
Western blot analysis of extracts from purified CD4+ human peripheral blood mononuclear cells, activated with anti-CD3 and anti-CD28 in regulatory T cell inducing conditions for 12 d and then untreated (-) or treated (+) with TPA #4174 (40 nM, 6 hr), Ionomycin #9995 (3 μM, 6 hr), and Brefeldin A #9972 (300 ng/mL, last 5 hr of stimulation), using IL-10 (D13A11) Rabbit mAb (upper) or β-Actin (D6A8) Rabbit mAb #8457 (lower).
Western Blotting Image 1: IL-10 (D13A11) Rabbit Monoclonal Antibody
Western blot analysis of extracts from purified CD14+ human peripheral blood mononuclear cells, untreated (-) or treated with LPS (100 ng/mL, 16 hr; +), using IL-10 (D13A11) Rabbit mAb (upper) or β-Actin (D6A8) Rabbit mAb #8457 (lower). Brefeldin A #9972 (300 ng/mL) was added to cells after 1 hr of LPS stimulation.
Western Blotting Image 2: IL-10 (D13A11) Rabbit Monoclonal Antibody
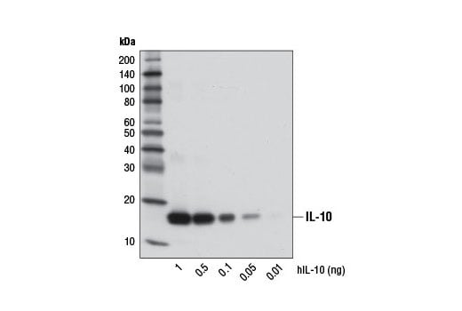
Western blot analysis of recombinant Human Interleukin-10 (hIL-10) #8903 using IL-10 (D13A11) Rabbit mAb.
Western Blotting Image 3: IL-10 (D13A11) Rabbit Monoclonal Antibody
Orders: 877-616-CELL (2355) [email protected] Support: 877-678-TECH (8324) [email protected] Web: cellsignal.com
For Research Use Only. Not for Use in Diagnostic Procedures.