Revision 2

#68588

Store at -20C

CST Logo
Orders:

877-616-CELL (2355)

[email protected]

Support:

877-678-TECH (8324)

3 Trask Lane | Danvers | Massachusetts | 01923 | USA

For Research Use Only. Not for Use in Diagnostic Procedures.

Applications:
W, IHC-Bond, IHC-P, FC-L

Reactivity:
H

Sensitivity:
Endogenous

MW (kDa):
55, 65

Source/Isotype:
Rabbit IgG

UniProt ID:
#Q14627

Entrez-Gene Id:
3598

Product Usage Information

This product is the carrier-free version of product #85677. All data were generated using the same antibody clone in the standard formulation which contains BSA and glycerol.

This formulation is ideal for use with technologies requiring specialized or custom antibody labeling, including fluorophores, metals, lanthanides, and oligonucleotides. It is not recommended for ChIP, ChIP-seq, CUT&RUN, or CUT&Tag assays. If you require a carrier-free formulation for chromatin profiling, please contact us. Optimal dilutions/concentrations should be determined by the end user.

BSA and Azide Free antibodies are quality control tested by size exclusion chromatography (SEC) to determine antibody integrity.

Formulation

Supplied in 1X PBS (10 mM Na2HPO4, 3 mM KCl, 2 mM KH2PO4, and 140 mM NaCl (pH 7.8)). BSA and Azide Free.

For standard formulation of this product see product #85677.

Storage

Store at -20°C. This product will freeze at -20°C so it is recommended to aliquot into single-use vials to avoid multiple freeze/thaw cycles. A slight precipitate may be present and can be dissolved by gently vortexing. This will not interfere with antibody performance.

Specificity/Sensitivity

IL-13RA2/CD213a2 (E7U7B) Rabbit Monoclonal Antibody (BSA and Azide Free) recognizes endogenous levels of total IL-13RA2/CD213a2 protein. This antibody does not cross-react with IL-13RA1 protein.

Source / Purification

Monoclonal antibody is produced by immunizing animals with a synthetic peptide corresponding to residues near the amino terminus of human IL-13RA2/CD213a2 protein.

Background

Cancer/testis antigens (CTAs) are a family of more than 100 proteins whose normal expression is largely restricted to immune privileged germ cells of the testis, ovary, and trophoblast cells of the placenta. Although most normal somatic tissues are void of CTA expression, due to epigenetic silencing of gene expression, their expression is upregulated in a wide variety of human solid and liquid tumors (1,2). As such, CTAs have garnered much attention as attractive targets for a variety of immunotherapy-based approaches to selectively attack tumors (3).
IL-13 receptor alpha-2 (IL-13RA2/CD213a2) is a type-I monomeric transmembrane glycoprotein and component of the IL-4/IL-13 receptor system. Research studies have shown that IL-13RA2 controls IL-13 signaling by serving as a high affinity decoy receptor for IL-13, but not IL-4, in a variety of cellular contexts (4,5). Some studies, however, have suggested that signaling through IL-13RA2 expressed on immunosuppressive myeloid cells facilitates tumor immune evasion through the production of TGF-β (6,7).

IL-13RA2 displays a highly restricted expression pattern in normal human tissues, which positions this receptor as a potentially novel therapeutic target for multiple types of solid tumors (8-10). Indeed, research studies have shown that IL-13RA2 is highly over expressed in glioblastomas (11), which has prompted investigation of different IL-13RA2-directed immunotherapies to treat this cancer (12-14).

Species Reactivity

Species reactivity is determined by testing in at least one approved application (e.g., western blot).

Applications Key

W: Western Blotting IHC-Bond: IHC Leica Bond IHC-P: Immunohistochemistry (Paraffin) FC-L: Flow Cytometry (Live)

Cross-Reactivity Key

H: Human

Trademarks and Patents

Cell Signaling Technology is a trademark of Cell Signaling Technology, Inc.

SignalStain is a registered trademark of Cell Signaling Technology, Inc.

All other trademarks are the property of their respective owners. Visit cellsignal.com/trademarks for more information.

Limited Uses

Except as otherwise expressly agreed in a writing signed by a legally authorized representative of CST, the following terms apply to Products provided by CST, its affiliates or its distributors. Any Customer's terms and conditions that are in addition to, or different from, those contained herein, unless separately accepted in writing by a legally authorized representative of CST, are rejected and are of no force or effect.

Products are labeled with For Research Use Only or a similar labeling statement and have not been approved, cleared, or licensed by the FDA or other regulatory foreign or domestic entity, for any purpose. Customer shall not use any Product for any diagnostic or therapeutic purpose, or otherwise in any manner that conflicts with its labeling statement. Products sold or licensed by CST are provided for Customer as the end-user and solely for research and development uses. Any use of Product for diagnostic, prophylactic or therapeutic purposes, or any purchase of Product for resale (alone or as a component) or other commercial purpose, requires a separate license from CST. Customer shall (a) not sell, license, loan, donate or otherwise transfer or make available any Product to any third party, whether alone or in combination with other materials, or use the Products to manufacture any commercial products, (b) not copy, modify, reverse engineer, decompile, disassemble or otherwise attempt to discover the underlying structure or technology of the Products, or use the Products for the purpose of developing any products or services that would compete with CST products or services, (c) not alter or remove from the Products any trademarks, trade names, logos, patent or copyright notices or markings, (d) use the Products solely in accordance with CST Product Terms of Sale and any applicable documentation, and (e) comply with any license, terms of service or similar agreement with respect to any third party products or services used by Customer in connection with the Products.

Orders: 877-616-CELL (2355) [email protected] Support: 877-678-TECH (8324) [email protected] Web: cellsignal.com
For Research Use Only. Not for Use in Diagnostic Procedures.

Revision 2

Cell Signaling Technology Logo
Western blot analysis of extracts from UACC-62 cells, mock transfected (-) or transfected with siRNA targeting human IL-13RA2/CD213a2 (+), using IL-13RA2/CD213a2 (E7U7B) Rabbit mAb (upper) and β-Actin (D6A8) Rabbit mAb #8457 (lower). Data were generated using the standard formulation of this product.
Western Blotting Image 1: IL-13RA2/CD213a2 (E7U7B) Rabbit Monoclonal Antibody (BSA and Azide Free)
Western blot analysis of extracts from 293T cells, mock transfected (-) or transfected (+) with constructs expressing Myc/DDK-tagged full-length human IL-13RA2 (hIL-13RA2-Myc/DDK) and Myc/DDK-tagged full-length human IL-13RA1 (hIL-13RA1-Myc/DDK), using IL-13RA2/CD213a2 (E7U7B) Rabbit mAb (upper), DYKDDDDK Tag Antibody #2368 (middle), and β-Actin (D6A8) Rabbit mAb #8457 (lower). Data were generated using the standard formulation of this product.
Western Blotting Image 2: IL-13RA2/CD213a2 (E7U7B) Rabbit Monoclonal Antibody (BSA and Azide Free)
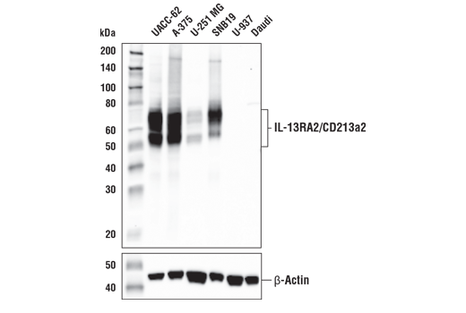
Western blot analysis of extracts from various cell lines using IL-13RA2/CD213a2 (E7U7B) Rabbit mAb (upper) and β-Actin (D6A8) Rabbit mAb #8457 (lower). As expected, IL-13RA2/CD213a2 protein is not expressed in either U-937 or Daudi cells. Data were generated using the standard formulation of this product.
Western Blotting Image 3: IL-13RA2/CD213a2 (E7U7B) Rabbit Monoclonal Antibody (BSA and Azide Free)
Orders: 877-616-CELL (2355) [email protected] Support: 877-678-TECH (8324) [email protected] Web: cellsignal.com
For Research Use Only. Not for Use in Diagnostic Procedures.

Revision 2

Cell Signaling Technology Logo
Immunohistochemical analysis of paraffin-embedded human non-Hodgkin lymphoma using IL-13RA2/CD213a2 (E7U7B) Rabbit mAb performed on the Leica BOND RX. Data were generated using the standard formulation of this product.
Immunohistochemistry Image 1: IL-13RA2/CD213a2 (E7U7B) Rabbit Monoclonal Antibody (BSA and Azide Free)
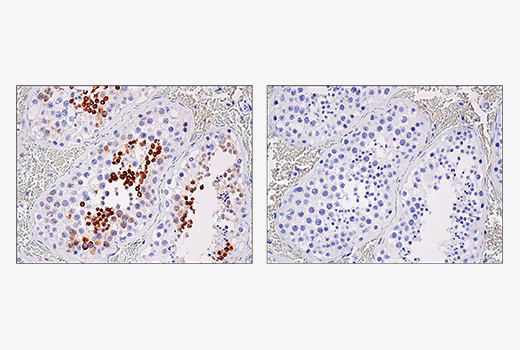
Immunohistochemical analysis of paraffin-embedded human testis using IL-13RA2/CD213a2 (E7U7B) Rabbit mAb (left) compared to concentration-matched Rabbit (DA1E) mAb IgG XP® Isotype Control #3900 (right). Data were generated using the standard formulation of this product.
Immunohistochemistry Image 2: IL-13RA2/CD213a2 (E7U7B) Rabbit Monoclonal Antibody (BSA and Azide Free)
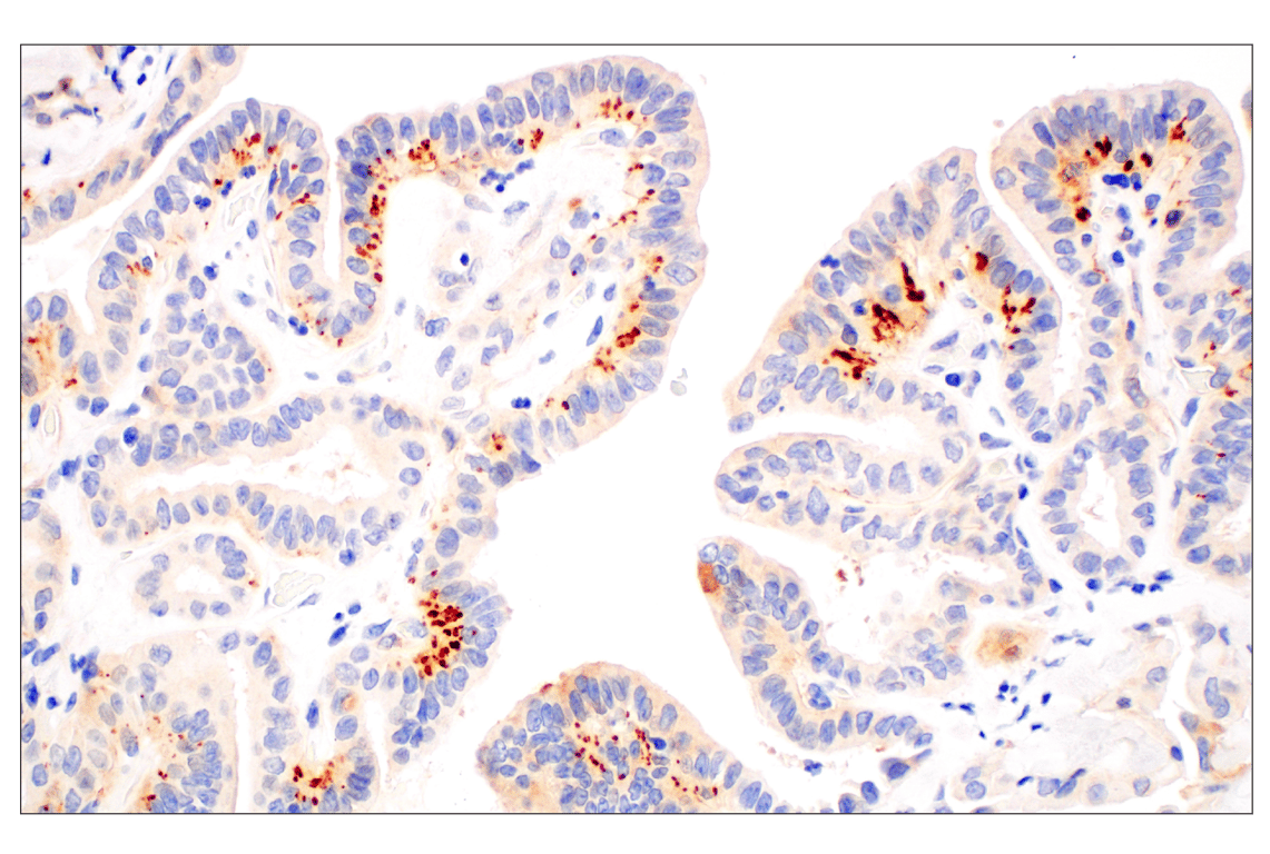
Immunohistochemical analysis of paraffin-embedded human papillary thyroid carcinoma using IL-13RA2/CD213a2 (E7U7B) Rabbit mAb performed on the Leica BOND RX. Data were generated using the standard formulation of this product.
Immunohistochemistry Image 3: IL-13RA2/CD213a2 (E7U7B) Rabbit Monoclonal Antibody (BSA and Azide Free)
Orders: 877-616-CELL (2355) [email protected] Support: 877-678-TECH (8324) [email protected] Web: cellsignal.com
For Research Use Only. Not for Use in Diagnostic Procedures.

Revision 2

Cell Signaling Technology Logo
Immunohistochemical analysis of paraffin-embedded UACC-62 (left, positive) or U-937 cell pellet (right, negative) using IL-13RA2/CD213a2 (E7U7B) Rabbit mAb. Data were generated using the standard formulation of this product.
Immunohistochemistry Image 4: IL-13RA2/CD213a2 (E7U7B) Rabbit Monoclonal Antibody (BSA and Azide Free)
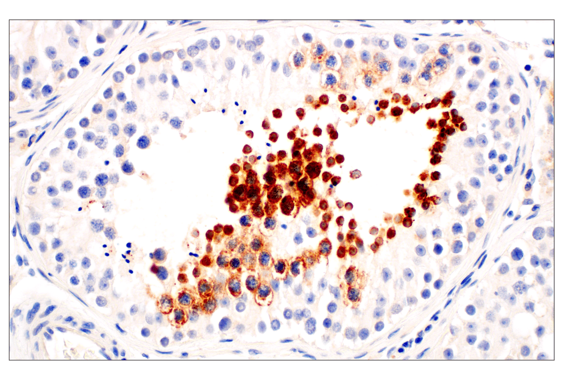
Immunohistochemical analysis of paraffin-embedded normal human testes using IL-13RA2/CD213a2 (E7U7B) Rabbit mAb performed on the Leica BOND RX. Data were generated using the standard formulation of this product.
Immunohistochemistry Image 5: IL-13RA2/CD213a2 (E7U7B) Rabbit Monoclonal Antibody (BSA and Azide Free)
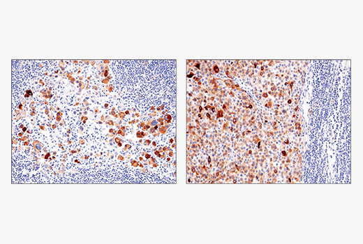
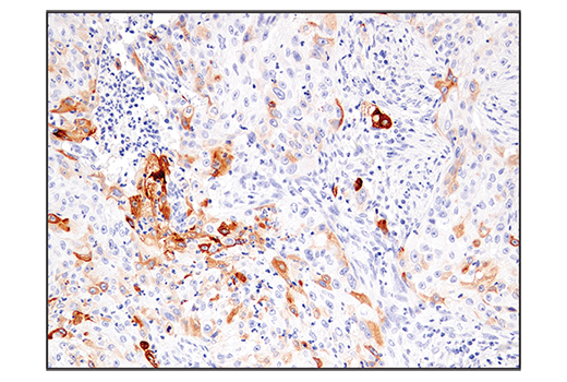
Immunohistochemical analysis of two different cases of paraffin-embedded human melanoma using IL-13RA2/CD213a2 (E7U7B) Rabbit mAb. Data were generated using the standard formulation of this product.
Immunohistochemistry Image 6: IL-13RA2/CD213a2 (E7U7B) Rabbit Monoclonal Antibody (BSA and Azide Free)
Orders: 877-616-CELL (2355) [email protected] Support: 877-678-TECH (8324) [email protected] Web: cellsignal.com
For Research Use Only. Not for Use in Diagnostic Procedures.

Revision 2

Cell Signaling Technology Logo
Immunohistochemical analysis of paraffin-embedded human endometrioid adenocarcinoma using IL-13RA2/CD213a2 (E7U7B) Rabbit mAb. Data were generated using the standard formulation of this product.
Immunohistochemistry Image 7: IL-13RA2/CD213a2 (E7U7B) Rabbit Monoclonal Antibody (BSA and Azide Free)
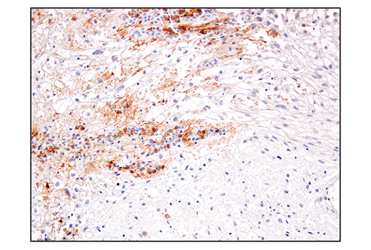
Immunohistochemical analysis of paraffin-embedded human astrocytoma using IL-13RA2/CD213a2 (E7U7B) Rabbit mAb. Data were generated using the standard formulation of this product.
Immunohistochemistry Image 8: IL-13RA2/CD213a2 (E7U7B) Rabbit Monoclonal Antibody (BSA and Azide Free)
Immunohistochemical analysis of paraffin-embedded human glioblastoma multiforme using IL-13RA2/CD213a2 (E7U7B) Rabbit mAb. Data were generated using the standard formulation of this product.
Immunohistochemistry Image 9: IL-13RA2/CD213a2 (E7U7B) Rabbit Monoclonal Antibody (BSA and Azide Free)
Orders: 877-616-CELL (2355) [email protected] Support: 877-678-TECH (8324) [email protected] Web: cellsignal.com
For Research Use Only. Not for Use in Diagnostic Procedures.

Revision 2

Cell Signaling Technology Logo
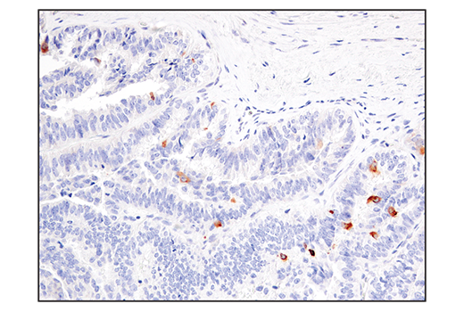
Immunohistochemical analysis of paraffin-embedded human squamous cell lung carcinoma using IL-13RA2/CD213a2 (E7U7B) Rabbit mAb. Data were generated using the standard formulation of this product.
Immunohistochemistry Image 10: IL-13RA2/CD213a2 (E7U7B) Rabbit Monoclonal Antibody (BSA and Azide Free)
Flow cytometric analysis of U-937 cells (blue) and UACC-62 cells (green) using IL-13RA2/CD213a2 (E7U7B) Rabbit mAb (solid lines) or a concentration-matched Rabbit (DA1E) mAb IgG XP® Isotype Control #3900 (dashed lines). Anti-rabbit IgG (H+L), F(ab')2 Fragment (Alexa Fluor® 488 Conjugate) #4412 was used as a secondary antibody. Data were generated using the standard formulation of this product.
Flow Cytometry Image 1: IL-13RA2/CD213a2 (E7U7B) Rabbit Monoclonal Antibody (BSA and Azide Free)
Orders: 877-616-CELL (2355) [email protected] Support: 877-678-TECH (8324) [email protected] Web: cellsignal.com
For Research Use Only. Not for Use in Diagnostic Procedures.