Revision 8

#85677

Store at -20C

CST Logo
Orders:

877-616-CELL (2355)

[email protected]

Support:

877-678-TECH (8324)

3 Trask Lane | Danvers | Massachusetts | 01923 | USA

For Research Use Only. Not for Use in Diagnostic Procedures.

Applications:
W, IP, IHC-Bond, IHC-P, FC-L

Reactivity:
H

Sensitivity:
Endogenous

MW (kDa):
55, 65

Source/Isotype:
Rabbit IgG

UniProt ID:
#Q14627

Entrez-Gene Id:
3598

Product Usage Information

Application Dilution
Western Blotting 1:1000
Immunoprecipitation 1:50
IHC Leica Bond 1:50 - 1:200
Immunohistochemistry (Paraffin) 1:100 - 1:400
Flow Cytometry (Live) 1:50

Storage

Supplied in 10 mM sodium HEPES (pH 7.5), 150 mM NaCl, 100 µg/ml BSA, 50% glycerol and less than 0.02% sodium azide. Store at –20°C. Do not aliquot the antibody.

For a carrier free (BSA and azide free) version of this product see product #68588.

Specificity/Sensitivity

IL-13RA2/CD213a2 (E7U7B) Rabbit Monoclonal Antibody recognizes endogenous levels of total IL-13RA2/CD213a2 protein. This antibody does not cross-react with IL-13RA1 protein.

Source / Purification

Monoclonal antibody is produced by immunizing animals with a synthetic peptide corresponding to residues near the amino terminus of human IL-13RA2/CD213a2 protein.

Background

Cancer/testis antigens (CTAs) are a family of more than 100 proteins whose normal expression is largely restricted to immune privileged germ cells of the testis, ovary, and trophoblast cells of the placenta. Although most normal somatic tissues are void of CTA expression, due to epigenetic silencing of gene expression, their expression is upregulated in a wide variety of human solid and liquid tumors (1,2). As such, CTAs have garnered much attention as attractive targets for a variety of immunotherapy-based approaches to selectively attack tumors (3).

IL-13 receptor alpha-2 (IL-13RA2/CD213a2) is a type-I monomeric transmembrane glycoprotein and component of the IL-4/IL-13 receptor system. Research studies have shown that IL-13RA2 controls IL-13 signaling by serving as a high affinity decoy receptor for IL-13, but not IL-4, in a variety of cellular contexts (4,5). Some studies, however, have suggested that signaling through IL-13RA2 expressed on immunosuppressive myeloid cells facilitates tumor immune evasion through the production of TGF-β (6,7).

IL-13RA2 displays a highly restricted expression pattern in normal human tissues, which positions this receptor as a potentially novel therapeutic target for multiple types of solid tumors (8-10). Indeed, research studies have shown that IL-13RA2 is highly over expressed in glioblastomas (11), which has prompted investigation of different IL-13RA2-directed immunotherapies to treat this cancer (12-14).

Species Reactivity

Species reactivity is determined by testing in at least one approved application (e.g., western blot).

Western Blot Buffer

IMPORTANT: For western blots, incubate membrane with diluted primary antibody in 5% w/v BSA, 1X TBS, 0.1% Tween® 20 at 4°C with gentle shaking, overnight.

Applications Key

W: Western Blotting IP: Immunoprecipitation IHC-Bond: IHC Leica Bond IHC-P: Immunohistochemistry (Paraffin) FC-L: Flow Cytometry (Live)

Cross-Reactivity Key

H: Human

Trademarks and Patents

Cell Signaling Technology is a trademark of Cell Signaling Technology, Inc.

Alexa Fluor is a registered trademark of Life Technologies Corporation.

All other trademarks are the property of their respective owners. Visit cellsignal.com/trademarks for more information.

Limited Uses

Except as otherwise expressly agreed in a writing signed by a legally authorized representative of CST, the following terms apply to Products provided by CST, its affiliates or its distributors. Any Customer's terms and conditions that are in addition to, or different from, those contained herein, unless separately accepted in writing by a legally authorized representative of CST, are rejected and are of no force or effect.

Products are labeled with For Research Use Only or a similar labeling statement and have not been approved, cleared, or licensed by the FDA or other regulatory foreign or domestic entity, for any purpose. Customer shall not use any Product for any diagnostic or therapeutic purpose, or otherwise in any manner that conflicts with its labeling statement. Products sold or licensed by CST are provided for Customer as the end-user and solely for research and development uses. Any use of Product for diagnostic, prophylactic or therapeutic purposes, or any purchase of Product for resale (alone or as a component) or other commercial purpose, requires a separate license from CST. Customer shall (a) not sell, license, loan, donate or otherwise transfer or make available any Product to any third party, whether alone or in combination with other materials, or use the Products to manufacture any commercial products, (b) not copy, modify, reverse engineer, decompile, disassemble or otherwise attempt to discover the underlying structure or technology of the Products, or use the Products for the purpose of developing any products or services that would compete with CST products or services, (c) not alter or remove from the Products any trademarks, trade names, logos, patent or copyright notices or markings, (d) use the Products solely in accordance with CST Product Terms of Sale and any applicable documentation, and (e) comply with any license, terms of service or similar agreement with respect to any third party products or services used by Customer in connection with the Products.

Orders: 877-616-CELL (2355) [email protected] Support: 877-678-TECH (8324) [email protected] Web: cellsignal.com
For Research Use Only. Not for Use in Diagnostic Procedures.

Revision 8

Cell Signaling Technology Logo
Western blot analysis of extracts from various cell lines using IL-13RA2/CD213a2 (E7U7B) Rabbit mAb (upper) and β-Actin (D6A8) Rabbit mAb #8457 (lower). As expected, IL-13RA2/CD213a2 protein is not expressed in either U-937 or Daudi cells.
Western Blotting Image 1: IL-13RA2/CD213a2 (E7U7B) Rabbit Monoclonal Antibody
Western blot analysis of extracts from UACC-62 cells, mock transfected (-) or transfected with siRNA targeting human IL-13RA2/CD213a2 (+), using IL-13RA2/CD213a2 (E7U7B) Rabbit mAb (upper) and β-Actin (D6A8) Rabbit mAb #8457 (lower).
Western Blotting Image 2: IL-13RA2/CD213a2 (E7U7B) Rabbit Monoclonal Antibody
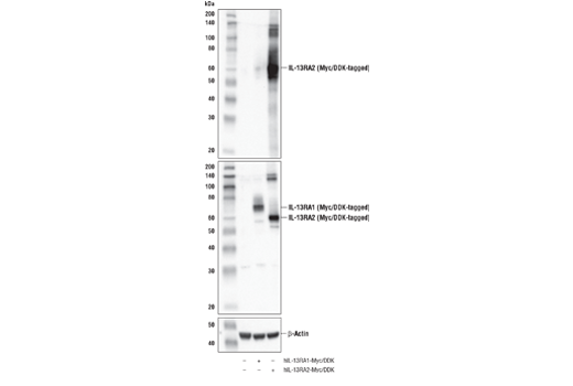
Western blot analysis of extracts from 293T cells, mock transfected (-) or transfected (+) with constructs expressing Myc/DDK-tagged full-length human IL-13RA2 (hIL-13RA2-Myc/DDK) and Myc/DDK-tagged full-length human IL-13RA1 (hIL-13RA1-Myc/DDK), using IL-13RA2/CD213a2 (E7U7B) Rabbit mAb (upper), DYKDDDDK Tag Antibody #2368 (middle), and β-Actin (D6A8) Rabbit mAb #8457 (lower).
Western Blotting Image 3: IL-13RA2/CD213a2 (E7U7B) Rabbit Monoclonal Antibody
Orders: 877-616-CELL (2355) [email protected] Support: 877-678-TECH (8324) [email protected] Web: cellsignal.com
For Research Use Only. Not for Use in Diagnostic Procedures.

Revision 8

Cell Signaling Technology Logo
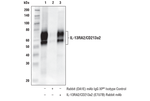
Immunoprecipitation of IL-13RA2/CD213a2 from UACC-62 cell extracts. Lane 1 is 10% input, lane 2 is Rabbit (DA1E) mAb IgG XP® Isotype Control #3900, and lane 3 is IL-13RA2/CD213a2 (E7U7B) Rabbit mAb. Western blot analysis was performed using IL-13RA2/CD213a2 (E7U7B) Rabbit mAb. Mouse Anti-rabbit IgG (Conformation Specific) (L27A9) mAb (HRP Conjugate) #5127 was used for detection to avoid cross-reactivity with IgG.
Immunoprecipitation Image 1: IL-13RA2/CD213a2 (E7U7B) Rabbit Monoclonal Antibody
Immunohistochemical analysis of paraffin-embedded human non-Hodgkin lymphoma using IL-13RA2/CD213a2 (E7U7B) Rabbit mAb performed on the Leica BOND RX.
Immunohistochemistry Image 1: IL-13RA2/CD213a2 (E7U7B) Rabbit Monoclonal Antibody
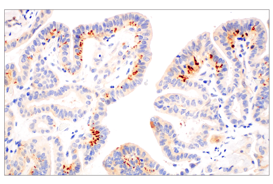
Immunohistochemical analysis of paraffin-embedded human papillary thyroid carcinoma using IL-13RA2/CD213a2 (E7U7B) Rabbit mAb performed on the Leica BOND RX.
Immunohistochemistry Image 2: IL-13RA2/CD213a2 (E7U7B) Rabbit Monoclonal Antibody
Orders: 877-616-CELL (2355) [email protected] Support: 877-678-TECH (8324) [email protected] Web: cellsignal.com
For Research Use Only. Not for Use in Diagnostic Procedures.

Revision 8

Cell Signaling Technology Logo
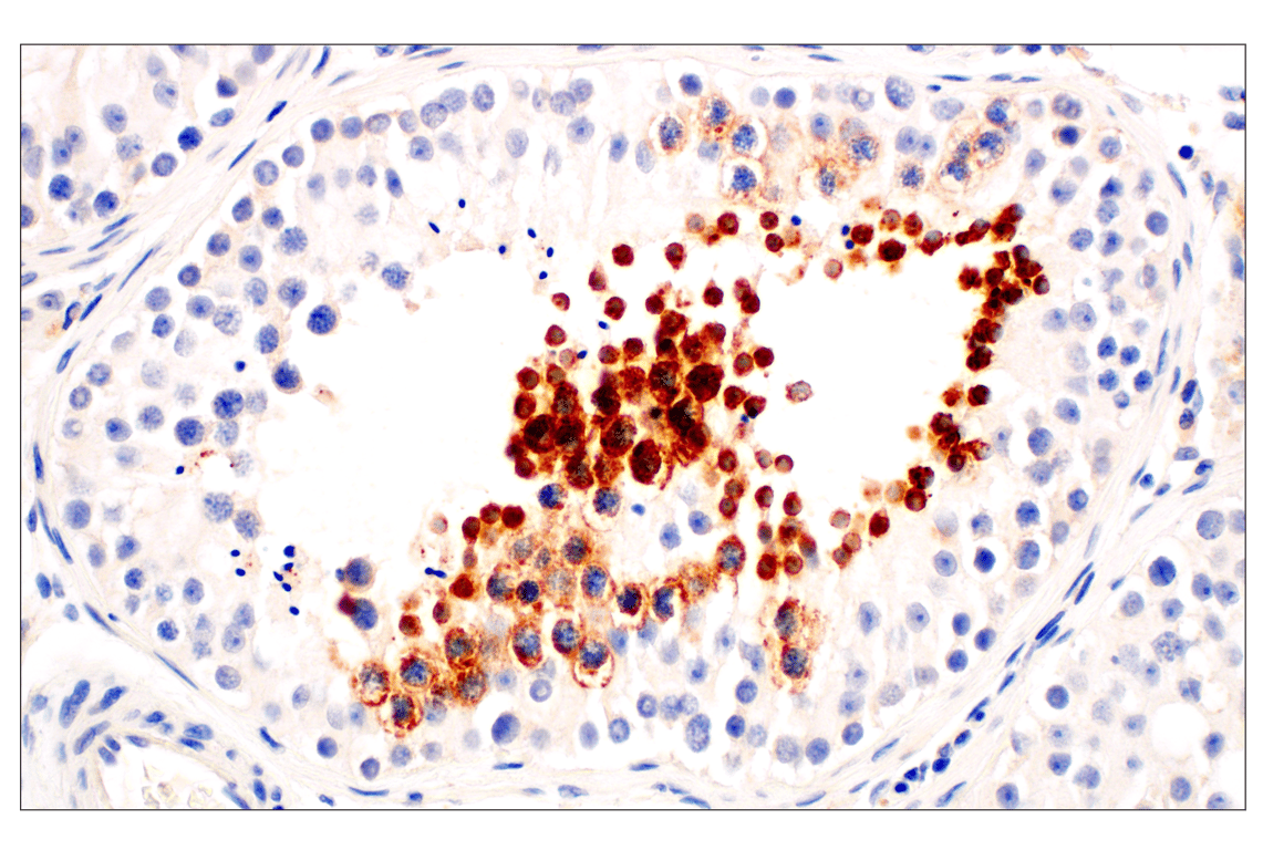
Immunohistochemical analysis of paraffin-embedded normal human testes using IL-13RA2/CD213a2 (E7U7B) Rabbit mAb performed on the Leica BOND RX.
Immunohistochemistry Image 3: IL-13RA2/CD213a2 (E7U7B) Rabbit Monoclonal Antibody
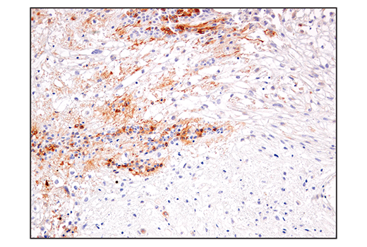
Immunohistochemical analysis of paraffin-embedded human astrocytoma using IL-13RA2/CD213a2 (E7U7B) Rabbit mAb.
Immunohistochemistry Image 1: IL-13RA2/CD213a2 (E7U7B) Rabbit Monoclonal Antibody
Immunohistochemical analysis of paraffin-embedded UACC-62 (left, positive) or U-937 cell pellet (right, negative) using IL-13RA2/CD213a2 (E7U7B) Rabbit mAb.
Immunohistochemistry Image 2: IL-13RA2/CD213a2 (E7U7B) Rabbit Monoclonal Antibody
Orders: 877-616-CELL (2355) [email protected] Support: 877-678-TECH (8324) [email protected] Web: cellsignal.com
For Research Use Only. Not for Use in Diagnostic Procedures.

Revision 8

Cell Signaling Technology Logo
Immunohistochemical analysis of paraffin-embedded human glioblastoma multiforme using IL-13RA2/CD213a2 (E7U7B) Rabbit mAb.
Immunohistochemistry Image 3: IL-13RA2/CD213a2 (E7U7B) Rabbit Monoclonal Antibody
Immunohistochemical analysis of paraffin-embedded human squamous cell lung carcinoma using IL-13RA2/CD213a2 (E7U7B) Rabbit mAb.
Immunohistochemistry Image 4: IL-13RA2/CD213a2 (E7U7B) Rabbit Monoclonal Antibody
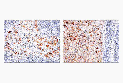
Immunohistochemical analysis of two different cases of paraffin-embedded human melanoma using IL-13RA2/CD213a2 (E7U7B) Rabbit mAb.
Immunohistochemistry Image 5: IL-13RA2/CD213a2 (E7U7B) Rabbit Monoclonal Antibody
Orders: 877-616-CELL (2355) [email protected] Support: 877-678-TECH (8324) [email protected] Web: cellsignal.com
For Research Use Only. Not for Use in Diagnostic Procedures.

Revision 8

Cell Signaling Technology Logo
Immunohistochemical analysis of paraffin-embedded human endometrioid adenocarcinoma using IL-13RA2/CD213a2 (E7U7B) Rabbit mAb.
Immunohistochemistry Image 6: IL-13RA2/CD213a2 (E7U7B) Rabbit Monoclonal Antibody
Immunohistochemical analysis of paraffin-embedded human testis using IL-13RA2/CD213a2 (E7U7B) Rabbit mAb (left) compared to concentration-matched Rabbit (DA1E) mAb IgG XP® Isotype Control #3900 (right).
Immunohistochemistry Image 7: IL-13RA2/CD213a2 (E7U7B) Rabbit Monoclonal Antibody
Flow cytometric analysis of U-937 cells (blue) and UACC-62 cells (green) using IL-13RA2/CD213a2 (E7U7B) Rabbit mAb (solid lines) or a concentration-matched Rabbit (DA1E) mAb IgG XP® Isotype Control #3900 (dashed lines). Anti-rabbit IgG (H+L), F(ab')2 Fragment (Alexa Fluor® 488 Conjugate) #4412 was used as a secondary antibody.
Flow Cytometry Image 1: IL-13RA2/CD213a2 (E7U7B) Rabbit Monoclonal Antibody
Orders: 877-616-CELL (2355) [email protected] Support: 877-678-TECH (8324) [email protected] Web: cellsignal.com
For Research Use Only. Not for Use in Diagnostic Procedures.