Revision 6

#13838

Store at -20C

CST Logo
Orders:

877-616-CELL (2355)

[email protected]

Support:

877-678-TECH (8324)

3 Trask Lane | Danvers | Massachusetts | 01923 | USA

For Research Use Only. Not for Use in Diagnostic Procedures.

Applications:
W, IP, FC-FP

Reactivity:
M

Sensitivity:
Endogenous

MW (kDa):
17, 14

Source/Isotype:
Rabbit IgG

UniProt ID:
#Q62386

Entrez-Gene Id:
16171

Product Usage Information

Application Dilution
Western Blotting 1:1000
Immunoprecipitation 1:200
Flow Cytometry (Fixed/Permeabilized) 1:400 - 1:1600

Storage

Supplied in 10 mM sodium HEPES (pH 7.5), 150 mM NaCl, 100 µg/ml BSA, 50% glycerol and less than 0.02% sodium azide. Store at –20°C. Do not aliquot the antibody.

For a carrier free (BSA and azide free) version of this product see product #90428.

Specificity/Sensitivity

IL-17A (D1X7L) Rabbit Monoclonal Antibody recognizes endogenous levels of total mouse IL-17A protein.

Species predicted to react based on 100% sequence homology

Rat

Source / Purification

Monoclonal antibody is produced by immunizing animals with a synthetic peptide corresponding to residues surrounding Val49 of mouse IL-17A protein.

Background

The IL-17 family of cytokines consists of IL-17A-F, and their receptors include IL-17RA-RE (1). IL-17 cytokines are produced by a variety of cell types including the Th17 subset of CD4+ T cells, as well as subsets of γδ T cells, NK cells, and NKT cells (2). IL-17A and IL-17F, the most well-studied of the IL-17 cytokines, contribute to fungal and bacterial immunity by inducing expression of proinflammatory cytokines, chemokines, and antimicrobial peptides (2). In addition, IL-17A contributes to the pathogenesis of several autoimmune diseases (3). IL-17E promotes Th2 cell responses (4). The roles of IL-17B, IL-17C, and IL-17D are less clear, however these family members also appear to have the capacity to induce proinflammatory cytokines (1,5,6). IL-17 receptors have an extracellular domain, a transmembrane domain, and a SEFIR domain. They are believed to signal as homodimers, heterodimers, or multimers through their SEFIR domain by recruiting the SEFIR domain-containing adaptor Act1 (7). Unlike most cytokines that signal through Jak/STAT pathways, IL-17 signaling results in NF-κB activation (8).

IL-17A is a cysteine-linked, homodimeric, pro-inflammatory cytokine produced by Th17 cells, a distinct CD4+ T cell lineage (9,10). IL-17A stimulates the production of the pro-inflammatory cytokines IL-1β, TNFα, and IL-6. IL-17A also induces production of the neutrophil chemoattractants IL-8, CXCL1, and CXCL6 thereby bridging adaptive and innate immunity (9,10). IL-17A is intimately involved in mucosal immunity against bacterial infections (9,11) and has a putative role in some autoimmune disorders (9,12). IL-17A effects appear to be exerted primarily through binding to one of the IL-17 receptor subunits, IL-17RA (13). IL-17 binding induces production of cytokines, chemokines, and other proteins through activation of the Erk1/2 MAP kinase, PI3K/Akt, p38, and NF-κB pathways (11,12,14). Phosphorylation of some Jaks and Stats has been observed.

Species Reactivity

Species reactivity is determined by testing in at least one approved application (e.g., western blot).

Western Blot Buffer

IMPORTANT: For western blots, incubate membrane with diluted primary antibody in 5% w/v BSA, 1X TBS, 0.1% Tween® 20 at 4°C with gentle shaking, overnight.

Applications Key

W: Western Blotting IP: Immunoprecipitation FC-FP: Flow Cytometry (Fixed/Permeabilized)

Cross-Reactivity Key

M: Mouse

Trademarks and Patents

Cell Signaling Technology is a trademark of Cell Signaling Technology, Inc.

Alexa Fluor is a registered trademark of Life Technologies Corporation.

All other trademarks are the property of their respective owners. Visit cellsignal.com/trademarks for more information.

Limited Uses

Except as otherwise expressly agreed in a writing signed by a legally authorized representative of CST, the following terms apply to Products provided by CST, its affiliates or its distributors. Any Customer's terms and conditions that are in addition to, or different from, those contained herein, unless separately accepted in writing by a legally authorized representative of CST, are rejected and are of no force or effect.

Products are labeled with For Research Use Only or a similar labeling statement and have not been approved, cleared, or licensed by the FDA or other regulatory foreign or domestic entity, for any purpose. Customer shall not use any Product for any diagnostic or therapeutic purpose, or otherwise in any manner that conflicts with its labeling statement. Products sold or licensed by CST are provided for Customer as the end-user and solely for research and development uses. Any use of Product for diagnostic, prophylactic or therapeutic purposes, or any purchase of Product for resale (alone or as a component) or other commercial purpose, requires a separate license from CST. Customer shall (a) not sell, license, loan, donate or otherwise transfer or make available any Product to any third party, whether alone or in combination with other materials, or use the Products to manufacture any commercial products, (b) not copy, modify, reverse engineer, decompile, disassemble or otherwise attempt to discover the underlying structure or technology of the Products, or use the Products for the purpose of developing any products or services that would compete with CST products or services, (c) not alter or remove from the Products any trademarks, trade names, logos, patent or copyright notices or markings, (d) use the Products solely in accordance with CST Product Terms of Sale and any applicable documentation, and (e) comply with any license, terms of service or similar agreement with respect to any third party products or services used by Customer in connection with the Products.

Orders: 877-616-CELL (2355) [email protected] Support: 877-678-TECH (8324) [email protected] Web: cellsignal.com
For Research Use Only. Not for Use in Diagnostic Procedures.

Revision 6

Cell Signaling Technology Logo
Western blot analysis of EL4 cells, untreated (-) or treated with TPA #4174 (50 ng/ml), Ionomycin, Calcium Salt #9995 (500 ng/ml), and Brefeldin A #9972 (500 ng/ml; overnight; +), using IL-17A (D1X7L) Rabbit mAb (upper) and β-Actin (D6A8) Rabbit mAb #8457 (lower).
Western Blotting Image 1: IL-17A (D1X7L) Rabbit Monoclonal Antibody

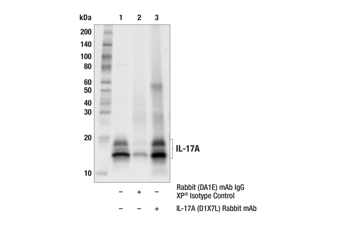
Immunoprecipitation of IL-17A protein from cell extracts of EL4 cells treated with TPA # 4174 (50 ng/mL, overnight), Ionomycin, Calcium Salt #9995 (500 ng/mL, overnight), and Brefeldin A #9972 (500 ng/mL, overnight). Lane 1 is 10% input, lane 2 is Rabbit (DA1E) mAb IgG XP® Isotype Control #3900, and lane 3 is IL-17A (D1X7L) Rabbit mAb. Western blot analysis was performed using IL-17A (D1X7L) Rabbit mAb. Mouse Anti-rabbit IgG (Conformation Specific) (L27A9) mAb #3678 was used as a secondary antibody.

Immunoprecipitation Image 1: IL-17A (D1X7L) Rabbit Monoclonal Antibody
Flow cytometric analysis of EL4 cells, untreated (left column) or treated for 18 hr with TPA #4174 (50 ng/mL), Ionomycin #9995 (500 ng/mL), and Brefeldin A #9972 (500 ng/ml; right column), using IL-17A (D1X7L) Rabbit mAb (top row) or concentration-matched Rabbit (DA1E) mAb IgG XP® Isotype Control #3900 (bottom row). Anti-rabbit IgG (H+L), F(ab')2 Fragment (Alexa Fluor® 488 Conjugate) #4412 was used as a secondary antibody.
Flow Cytometry Image 1: IL-17A (D1X7L) Rabbit Monoclonal Antibody
Orders: 877-616-CELL (2355) [email protected] Support: 877-678-TECH (8324) [email protected] Web: cellsignal.com
For Research Use Only. Not for Use in Diagnostic Procedures.