Revision 5

#57058

Store at -20C

CST Logo
Orders:

877-616-CELL (2355)

[email protected]

Support:

877-678-TECH (8324)

3 Trask Lane | Danvers | Massachusetts | 01923 | USA

For Research Use Only. Not for Use in Diagnostic Procedures.

Applications:
W, IHC-P

Reactivity:
M

Sensitivity:
Endogenous

MW (kDa):
17, 22

Source/Isotype:
Rabbit IgG

UniProt ID:
#P70380

Entrez-Gene Id:
16173

Product Usage Information

Application Dilution
Western Blotting 1:1000
Immunohistochemistry (Paraffin) 1:5000 - 1:20000

Storage

Supplied in 10 mM sodium HEPES (pH 7.5), 150 mM NaCl, 100 µg/ml BSA, 50% glycerol and less than 0.02% sodium azide. Store at –20°C. Do not aliquot the antibody.

For a carrier free (BSA and azide free) version of this product see product #82990.

Specificity/Sensitivity

IL-18 (E8P5O) Rabbit Monoclonal Antibody recognizes endogenous levels of total mouse IL-18 protein. Non-specific staining was observed in mouse stomach crypts by immunohistochemistry.

Source / Purification

Monoclonal antibody is produced by immunizing animals with recombinant mouse IL-18 protein.

Background

Interleukin-18 (IL-18), originally known as interferon-gamma inducing factor (IGIF), is part of the IL-superfamily of cytokines (1,2). This proinflammatory cytokine is synthesized as an inactive precursor which requires cleavage by Caspase-1 to become an active, mature molecule, which is secreted by monocytes and macrophages (3,4,6). It induces IFNγ production in T-helper-1 (Th1) cells and natural killer (NK) cells, and can regulate innate immunity via both Th1 and Th2 responses (4,5). Elevated IL-18 levels are associated with autoimmune disease, but may be balanced by binding to IL-18 binding protein (IL-18BP), which along with IL-18 neutralizing antibodies, are being examined in clinical trials (6,7).

Species Reactivity

Species reactivity is determined by testing in at least one approved application (e.g., western blot).

Western Blot Buffer

IMPORTANT: For western blots, incubate membrane with diluted primary antibody in 5% w/v BSA, 1X TBS, 0.1% Tween® 20 at 4°C with gentle shaking, overnight.

Applications Key

W: Western Blotting IHC-P: Immunohistochemistry (Paraffin)

Cross-Reactivity Key

M: Mouse

Trademarks and Patents

Cell Signaling Technology is a trademark of Cell Signaling Technology, Inc.

All other trademarks are the property of their respective owners. Visit cellsignal.com/trademarks for more information.

Limited Uses

Except as otherwise expressly agreed in a writing signed by a legally authorized representative of CST, the following terms apply to Products provided by CST, its affiliates or its distributors. Any Customer's terms and conditions that are in addition to, or different from, those contained herein, unless separately accepted in writing by a legally authorized representative of CST, are rejected and are of no force or effect.

Products are labeled with For Research Use Only or a similar labeling statement and have not been approved, cleared, or licensed by the FDA or other regulatory foreign or domestic entity, for any purpose. Customer shall not use any Product for any diagnostic or therapeutic purpose, or otherwise in any manner that conflicts with its labeling statement. Products sold or licensed by CST are provided for Customer as the end-user and solely for research and development uses. Any use of Product for diagnostic, prophylactic or therapeutic purposes, or any purchase of Product for resale (alone or as a component) or other commercial purpose, requires a separate license from CST. Customer shall (a) not sell, license, loan, donate or otherwise transfer or make available any Product to any third party, whether alone or in combination with other materials, or use the Products to manufacture any commercial products, (b) not copy, modify, reverse engineer, decompile, disassemble or otherwise attempt to discover the underlying structure or technology of the Products, or use the Products for the purpose of developing any products or services that would compete with CST products or services, (c) not alter or remove from the Products any trademarks, trade names, logos, patent or copyright notices or markings, (d) use the Products solely in accordance with CST Product Terms of Sale and any applicable documentation, and (e) comply with any license, terms of service or similar agreement with respect to any third party products or services used by Customer in connection with the Products.

Orders: 877-616-CELL (2355) [email protected] Support: 877-678-TECH (8324) [email protected] Web: cellsignal.com
For Research Use Only. Not for Use in Diagnostic Procedures.

Revision 5

Cell Signaling Technology Logo
Western blot analysis of extracts from various cell lines using IL-18 (E8P5O) Rabbit mAb (upper) and GAPDH (D16H11) XP® Rabbit mAb #5174 (lower).
Western Blotting Image 1: IL-18 (E8P5O) Rabbit Monoclonal Antibody
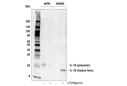
Western blot analysis of cell extracts and media from mouse bone marrow derived macrophages (mBMDM), untreated (-) or treated with combinations of Lipopolysaccharides (LPS) #14011 (50 ng/ml, 4 hr; +) followed by nigericin (15 μM, 45 min; +), using IL-18 (E8P5O) Rabbit mAb.
Western Blotting Image 2: IL-18 (E8P5O) Rabbit Monoclonal Antibody
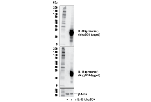
Western blot analysis of extracts from 293T cells, mock transfected (-) or transfected with a construct expressing Myc/DDK-tagged full-length mouse IL-18 protein (mIL-18-Myc/DDK; +), using IL-18 (E8P5O) Rabbit mAb (upper), Myc-Tag (71D10) Rabbit mAb #2278 (middle), and β-Actin (D6A8) Rabbit mAb #8457 (lower).
Western Blotting Image 3: IL-18 (E8P5O) Rabbit Monoclonal Antibody
Orders: 877-616-CELL (2355) [email protected] Support: 877-678-TECH (8324) [email protected] Web: cellsignal.com
For Research Use Only. Not for Use in Diagnostic Procedures.

Revision 5

Cell Signaling Technology Logo
Immunohistochemical analysis of paraffin-embedded A20 syngeneic tumor using IL-18 (E8P5O) Rabbit Monoclonal Antibody.
Immunohistochemistry Image 1: IL-18 (E8P5O) Rabbit Monoclonal Antibody
Immunohistochemical analysis of paraffin-embedded mouse spleen using IL-18 (E8P5O) Rabbit Monoclonal Antibody.
Immunohistochemistry Image 2: IL-18 (E8P5O) Rabbit Monoclonal Antibody
Immunohistochemical analysis of paraffin-embedded mouse small intestine using IL-18 (E8P5O) Rabbit Monoclonal Antibody.
Immunohistochemistry Image 3: IL-18 (E8P5O) Rabbit Monoclonal Antibody
Orders: 877-616-CELL (2355) [email protected] Support: 877-678-TECH (8324) [email protected] Web: cellsignal.com
For Research Use Only. Not for Use in Diagnostic Procedures.

Revision 5

Cell Signaling Technology Logo
Immunohistochemical analysis of paraffin-embedded mouse colon using IL-18 (E8P5O) Rabbit Monoclonal Antibody.
Immunohistochemistry Image 4: IL-18 (E8P5O) Rabbit Monoclonal Antibody
Immunohistochemical analysis of paraffin-embedded mouse lung using IL-18 (E8P5O) Rabbit Monoclonal Antibody.
Immunohistochemistry Image 5: IL-18 (E8P5O) Rabbit Monoclonal Antibody
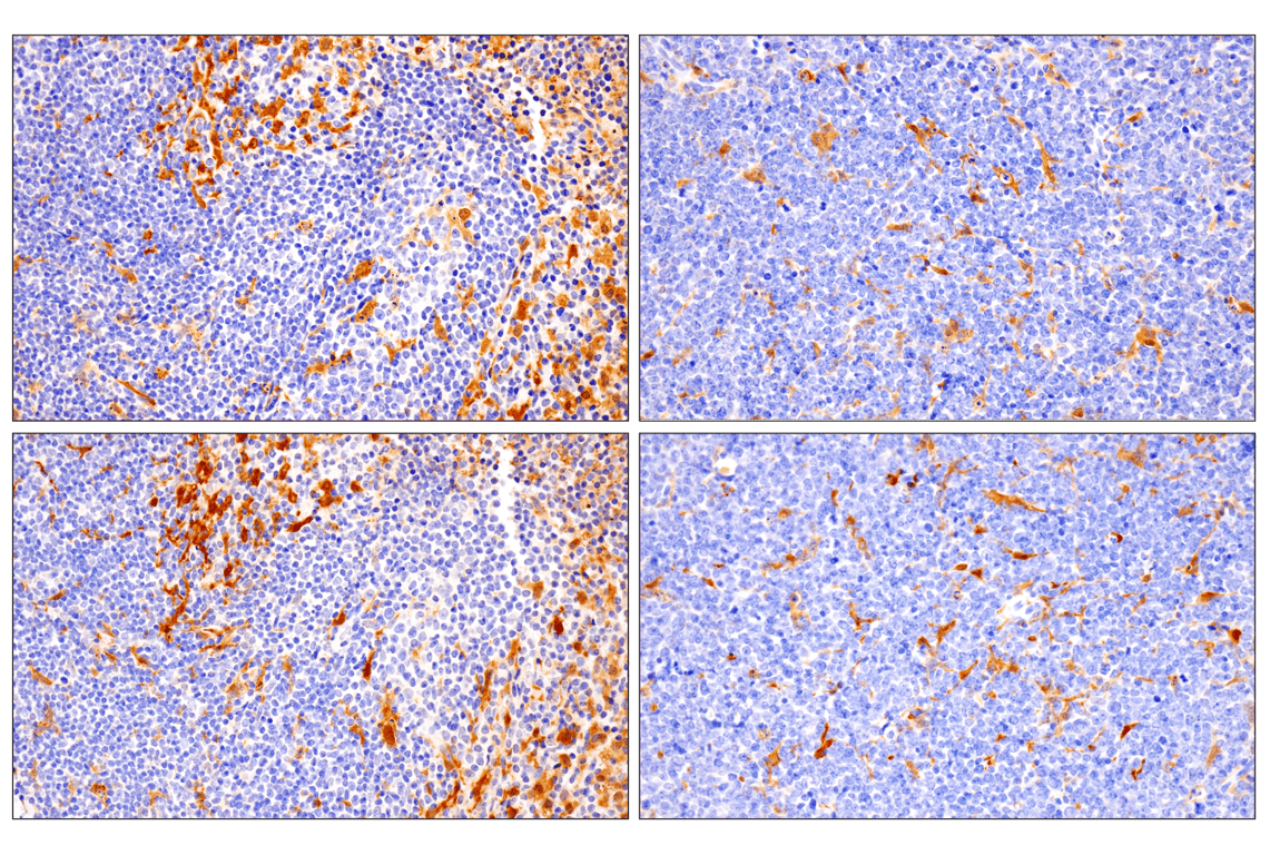
Immunohistochemical analysis of paraffin-embedded mouse spleen (left) and A20 syngeneic tumor (right) using IL-18 (E8P5O) Rabbit Monoclonal Antibody (top) and IL-18 (F8I2S) Rabbit Monoclonal Antibody #72554 (bottom). These two antibodies detect unique, non-overlapping epitopes on mouse IL-18. The similar staining patterns obtained with both antibodies help to confirm the specificity of the staining.
Immunohistochemistry Image 6: IL-18 (E8P5O) Rabbit Monoclonal Antibody
Orders: 877-616-CELL (2355) [email protected] Support: 877-678-TECH (8324) [email protected] Web: cellsignal.com
For Research Use Only. Not for Use in Diagnostic Procedures.

Revision 5

Cell Signaling Technology Logo
Immunohistochemical analysis of paraffin-embedded 293T cell pellet, untransfected (left), mouse IL-18 transfected (middle), or Neuro-2a cell pellet (right, negative) using IL-18 (E8P5O) Rabbit Monoclonal Antibody.
Immunohistochemistry Image 7: IL-18 (E8P5O) Rabbit Monoclonal Antibody
Orders: 877-616-CELL (2355) [email protected] Support: 877-678-TECH (8324) [email protected] Web: cellsignal.com
For Research Use Only. Not for Use in Diagnostic Procedures.