Revision 6

#39475

Store at -20C

CST Logo
Orders:

877-616-CELL (2355)

[email protected]

Support:

877-678-TECH (8324)

3 Trask Lane | Danvers | Massachusetts | 01923 | USA

For Research Use Only. Not for Use in Diagnostic Procedures.

Applications:
W, IP, IHC-Bond, IHC-P, IF-F, FC-FP, FC-L

Reactivity:
M

Sensitivity:
Endogenous

MW (kDa):
40-80

Source/Isotype:
Rabbit IgG

UniProt ID:
#P01590

Entrez-Gene Id:
16184

Product Usage Information

Application Dilution
Western Blotting 1:1000
Immunoprecipitation 1:50
IHC Leica Bond 1:50 - 1:200
Immunohistochemistry (Paraffin) 1:50 - 1:200
Immunofluorescence (Frozen) 1:800
Flow Cytometry (Fixed/Permeabilized) 1:100 - 1:400
Flow Cytometry (Live) 1:100 - 1:400

Storage

Supplied in 10 mM sodium HEPES (pH 7.5), 150 mM NaCl, 100 µg/ml BSA, 50% glycerol and less than 0.02% sodium azide. Store at –20°C. Do not aliquot the antibody.

For a carrier-free (BSA and azide free) version of this product see product #95742.

Specificity/Sensitivity

IL-2R alpha/CD25 (E9W2J) Rabbit Monoclonal Antibody recognizes endogenous levels of total IL-2Rα/CD25 protein. This antibody non-specifically labels myenteric nerves in the gut.

Source / Purification

Monoclonal antibody is produced by immunizing animals with recombinant protein specific to the amino terminus of mouse IL-2Rα/CD25 protein.

Background

Interleukin-2 (IL-2) is a T cell stimulatory cytokine best known for inducing T cell proliferation and NK cell proliferation and activation (1,2). IL-2 also promotes peripheral development of regulatory T cells (Tregs) (3,4). Conversely, IL-2 is involved in the activation-induced cell death (AICD) that is observed post T cell expansion by increasing levels of Fas on CD4+ T cells (5). The effects of IL-2 are mediated through a trimeric receptor complex consisting of IL-2Rα, IL-2Rβ, and the common gamma chain, γc (1,2). IL-2Rα binds exclusively to IL-2 with low affinity and increases the binding affinity of the whole receptor complex including IL-2Rβ and γc subunits. IL-15 also binds to IL-2Rβ (1,2). γc is used by other cytokines, including IL-4, IL-7, IL-9, IL-15, and IL-21 (1,2). Binding of IL-2 initiates signaling cascades involving Jak1, Jak3, Stat5, and the PI3K/Akt pathways (1,2).

Species Reactivity

Species reactivity is determined by testing in at least one approved application (e.g., western blot).

Western Blot Buffer

IMPORTANT: For western blots, incubate membrane with diluted primary antibody in 5% w/v nonfat dry milk, 1X TBS, 0.1% Tween® 20 at 4°C with gentle shaking, overnight.

Applications Key

W: Western Blotting IP: Immunoprecipitation IHC-Bond: IHC Leica Bond IHC-P: Immunohistochemistry (Paraffin) IF-F: Immunofluorescence (Frozen) FC-FP: Flow Cytometry (Fixed/Permeabilized) FC-L: Flow Cytometry (Live)

Cross-Reactivity Key

M: Mouse

Trademarks and Patents

Cell Signaling Technology is a trademark of Cell Signaling Technology, Inc.

Alexa Fluor is a registered trademark of Life Technologies Corporation.

All other trademarks are the property of their respective owners. Visit cellsignal.com/trademarks for more information.

Limited Uses

Except as otherwise expressly agreed in a writing signed by a legally authorized representative of CST, the following terms apply to Products provided by CST, its affiliates or its distributors. Any Customer's terms and conditions that are in addition to, or different from, those contained herein, unless separately accepted in writing by a legally authorized representative of CST, are rejected and are of no force or effect.

Products are labeled with For Research Use Only or a similar labeling statement and have not been approved, cleared, or licensed by the FDA or other regulatory foreign or domestic entity, for any purpose. Customer shall not use any Product for any diagnostic or therapeutic purpose, or otherwise in any manner that conflicts with its labeling statement. Products sold or licensed by CST are provided for Customer as the end-user and solely for research and development uses. Any use of Product for diagnostic, prophylactic or therapeutic purposes, or any purchase of Product for resale (alone or as a component) or other commercial purpose, requires a separate license from CST. Customer shall (a) not sell, license, loan, donate or otherwise transfer or make available any Product to any third party, whether alone or in combination with other materials, or use the Products to manufacture any commercial products, (b) not copy, modify, reverse engineer, decompile, disassemble or otherwise attempt to discover the underlying structure or technology of the Products, or use the Products for the purpose of developing any products or services that would compete with CST products or services, (c) not alter or remove from the Products any trademarks, trade names, logos, patent or copyright notices or markings, (d) use the Products solely in accordance with CST Product Terms of Sale and any applicable documentation, and (e) comply with any license, terms of service or similar agreement with respect to any third party products or services used by Customer in connection with the Products.

Orders: 877-616-CELL (2355) [email protected] Support: 877-678-TECH (8324) [email protected] Web: cellsignal.com
For Research Use Only. Not for Use in Diagnostic Procedures.

Revision 6

Cell Signaling Technology Logo
Western blot analysis of extracts from various cells using IL-2Rα/CD25 (E9W2J) XP® Rabbit mAb (upper) or GAPDH (D16H11) XP® Rabbit mAb #5174 (lower).
Western Blotting Image 1: IL-2R alpha/CD25 (E9W2J) Rabbit Monoclonal Antibody
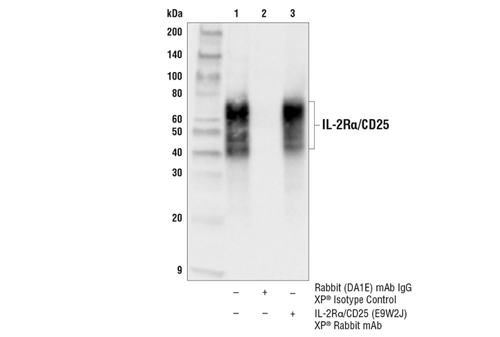
Immunoprecipitation of IL-2Rα/CD25 protein from CTLL-2 cell extracts. Lane 1 is 10% input, lane 2 is Rabbit (DA1E) mAb IgG XP® Isotype Control #3900, and lane 3 is IL-2Rα/CD25 (E9W2J) XP® Rabbit mAb. Western blot analysis was performed using IL-2Rα/CD25 (E9W2J) XP® Rabbit mAb. Mouse Anti-rabbit IgG (Conformation Specific) (L27A9) mAb (HRP Conjugate) #5127 was used as a secondary antibody.
Immunoprecipitation Image 1: IL-2R alpha/CD25 (E9W2J) Rabbit Monoclonal Antibody
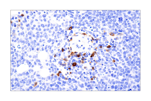
Immunohistochemical analysis of paraffin-embedded mouse thymus using IL-2Rα/CD25 (E9W2J) XP® Rabbit mAb performed on the Leica® BOND™ Rx.
Immunohistochemistry Image 1: IL-2R alpha/CD25 (E9W2J) Rabbit Monoclonal Antibody
Orders: 877-616-CELL (2355) [email protected] Support: 877-678-TECH (8324) [email protected] Web: cellsignal.com
For Research Use Only. Not for Use in Diagnostic Procedures.

Revision 6

Cell Signaling Technology Logo
Immunohistochemical analysis of paraffin-embedded 4T1 syngeneic mammary tumor using IL-2Rα/CD25 (E9W2J) XP® Rabbit mAb.
Immunohistochemistry Image 1: IL-2R alpha/CD25 (E9W2J) Rabbit Monoclonal Antibody
Immunohistochemical analysis of paraffin-embedded A20 syngeneic tumor using IL-2Rα/CD25 (E9W2J) XP® Rabbit mAb.
Immunohistochemistry Image 2: IL-2R alpha/CD25 (E9W2J) Rabbit Monoclonal Antibody
Immunohistochemical analysis of paraffin-embedded CTLL-2 cell pellet (left, positive) or NIH/3T3 cell pellet (right, negative) using IL-2Rα/CD25 (E9W2J) XP® Rabbit mAb.
Immunohistochemistry Image 3: IL-2R alpha/CD25 (E9W2J) Rabbit Monoclonal Antibody
Orders: 877-616-CELL (2355) [email protected] Support: 877-678-TECH (8324) [email protected] Web: cellsignal.com
For Research Use Only. Not for Use in Diagnostic Procedures.

Revision 6

Cell Signaling Technology Logo
Immunohistochemical analysis of paraffin-embedded mouse colon using IL-2Rα/CD25 (E9W2J) XP® Rabbit mAb (left) or IL-2Rα/CD25 (E4B2Z) XP® Rabbit mAb #36128 (right). These two antibodies detect independent, unique epitopes on mouse IL-2Rα/CD25. The similar staining patterns obtained with both antibodies help to confirm the specificity of the staining.
Immunohistochemistry Image 4: IL-2R alpha/CD25 (E9W2J) Rabbit Monoclonal Antibody
Immunohistochemical analysis of paraffin-embedded 4T1 metastatic tumor in mouse lung using IL-2Rα/CD25 (E9W2J) XP® Rabbit mAb (left) compared to concentration-matched Rabbit (DA1E) mAb IgG XP® Isotype Control #3900 (right).
Immunohistochemistry Image 5: IL-2R alpha/CD25 (E9W2J) Rabbit Monoclonal Antibody
Confocal immunofluorescent analysis of mouse spleen using IL-2Rα/CD25 (E9W2J) XP® Rabbit mAb (green). After blocking free secondary antibody binding sites with Rabbit (DA1E) mAb IgG XP® Isotype Control #3900, the tissue was then labeled with CD4 (RM4-5) Rat mAb (FITC Conjugate) #96127 (blue pseudocolor) and FoxP3 (D6O8R) Rabbit mAb (Alexa Fluor® 647 Conjugate) (red).
Immunofluorescence Image 1: IL-2R alpha/CD25 (E9W2J) Rabbit Monoclonal Antibody
Orders: 877-616-CELL (2355) [email protected] Support: 877-678-TECH (8324) [email protected] Web: cellsignal.com
For Research Use Only. Not for Use in Diagnostic Procedures.

Revision 6

Cell Signaling Technology Logo
Confocal immunofluorescent analysis of mouse spleen using IL-2Rα/CD25 (E9W2J) XP® Rabbit mAb (green), CD4 (RM4-5) Rat mAb (FITC Conjugate) #96127 (red pseudocolor), and CD45R/B220 (RA3-6B2) Rat mAb (redFluor™ 710 Conjugate) #82984 (cyan pseudocolor). Sections were mounted in ProLong® Gold Antifade Reagent with DAPI #8961 (blue).
Immunofluorescence Image 2: IL-2R alpha/CD25 (E9W2J) Rabbit Monoclonal Antibody
Confocal immunofluorescent analysis of mouse colon using IL-2Rα/CD25 (E9W2J) XP® Rabbit mAb (green) and CD4 (RM4-5) Rat mAb (FITC Conjugate) #96127 (red pseudocolor). Sections were mounted in ProLong® Gold Antifade Reagent with DAPI #8961 (blue). Note: signal in myenteric plexus is presumed to be non-specific.
Immunofluorescence Image 3: IL-2R alpha/CD25 (E9W2J) Rabbit Monoclonal Antibody
Flow cytometric analysis of live mouse splenocytes using IL-2Rα/CD25 (E9W2J) XP® Rabbit mAb (right) or concentration- matched Rabbit (DA1E) mAb IgG XP® Isotype Control #3900 (left), and co-stained with CD4 (RM4-5) Rat mAb (FITC Conjugate) #96127. Anti-rabbit IgG (H+L), F(ab')2 Fragment (Alexa Fluor® 647 Conjugate) #4414 was used as a secondary antibody.
Flow Cytometry Image 1: IL-2R alpha/CD25 (E9W2J) Rabbit Monoclonal Antibody
Orders: 877-616-CELL (2355) [email protected] Support: 877-678-TECH (8324) [email protected] Web: cellsignal.com
For Research Use Only. Not for Use in Diagnostic Procedures.

Revision 6

Cell Signaling Technology Logo
Flow cytometric analysis of live C2C12 cells (blue, negative) and CTLL-2 cells (green, positive) using IL-2Rα/CD25 (E9W2J) XP® Rabbit mAb (solid lines) or a concentration-matched Rabbit (DA1E) mAb IgG XP® Isotype Control #3900 (dashed lines). Anti-rabbit IgG (H+L), F(ab')2 Fragment (Alexa Fluor® 488 Conjugate) #4412 was used as a secondary antibody.
Flow Cytometry Image 2: IL-2R alpha/CD25 (E9W2J) Rabbit Monoclonal Antibody
Orders: 877-616-CELL (2355) [email protected] Support: 877-678-TECH (8324) [email protected] Web: cellsignal.com
For Research Use Only. Not for Use in Diagnostic Procedures.