Revision 1

#46307

Store at -20C

CST Logo
Orders:

877-616-CELL (2355)

[email protected]

Support:

877-678-TECH (8324)

3 Trask Lane | Danvers | Massachusetts | 01923 | USA

For Research Use Only. Not for Use in Diagnostic Procedures.

Applications:
W, IP

Reactivity:
H

Sensitivity:
Endogenous

MW (kDa):
79

Source/Isotype:
Rabbit IgG

UniProt ID:
#P14784

Entrez-Gene Id:
3560

Product Usage Information

Application Dilution
Western Blotting 1:1000
Immunoprecipitation 1:50

Storage

Supplied in 10mM sodium HEPES (pH 7.5), 150mM NaCl, 100 μg/ml, 50% glycerol and less than 0.02% sodium azide. Store at -20ºC. Do not aliquot the antibody.

Specificity/Sensitivity

IL-2R beta (D4X3H) Rabbit Monoclonal Antibody recognizes endogenous levels of total IL-2Rβ protein. This antibody cross-reacts with proteins of unknown identity at 38-42 kDa.

Source / Purification

Monoclonal antibody is produced by immunizing animals with a synthetic peptide corresponding to residues surrounding Leu428 of human IL-2Rβ protein.

Background

Interleukin-2 (IL-2) is a T cell stimulatory cytokine best known for inducing T cell proliferation and NK cell proliferation and activation (1,2). IL-2 also promotes peripheral development of regulatory T cells (Tregs) (3,4). Conversely, IL-2 is involved in the activation-induced cell death (AICD) that is observed post T cell expansion by increasing levels of Fas on CD4+ T cells (5). The effects of IL-2 are mediated through a trimeric receptor complex consisting of IL-2Rα, IL-2Rβ, and the common gamma chain, γc (1,2). IL-2Rα binds exclusively to IL-2 with low affinity and increases the binding affinity of the whole receptor complex including IL-2Rβ and γc subunits. IL-15 also binds to IL-2Rβ (1,2). γc is used by other cytokines, including IL-4, IL-7, IL-9, IL-15, and IL-21 (1,2). Binding of IL-2 initiates signaling cascades involving Jak1, Jak3, Stat5, and the PI3K/Akt pathways (1,2).

IL-2Rβ, also known as CD122, is a type I transmembrane protein that is expressed by natural killer cells and certain subsets of T cells in the periphery (6). IL-2Rβ surface expression is upregulated following antigen-induced activation. A heteromeric complex composed of IL-2Rβ and γc forms the intermediate affinity IL-2 receptor whereas a complex comprised of all three chains forms the high affinity receptor. Signaling through IL-2Rβ is mediated by Jak1 (7), which phosphorylates numerous tyrosine residues in the cytoplasmic tail to promote the recruitment of the adaptor Shc to IL-2Rβ and enhance IL-2 receptor signaling (8, 9).

Species Reactivity

Species reactivity is determined by testing in at least one approved application (e.g., western blot).

Western Blot Buffer

IMPORTANT: For western blots, incubate membrane with diluted primary antibody in 5% w/v BSA, 1X TBS, 0.1% Tween® 20 at 4°C with gentle shaking, overnight.

Applications Key

W: Western Blotting IP: Immunoprecipitation

Cross-Reactivity Key

H: Human

Trademarks and Patents

Cell Signaling Technology is a trademark of Cell Signaling Technology, Inc.

All other trademarks are the property of their respective owners. Visit cellsignal.com/trademarks for more information.

Limited Uses

Except as otherwise expressly agreed in a writing signed by a legally authorized representative of CST, the following terms apply to Products provided by CST, its affiliates or its distributors. Any Customer's terms and conditions that are in addition to, or different from, those contained herein, unless separately accepted in writing by a legally authorized representative of CST, are rejected and are of no force or effect.

Products are labeled with For Research Use Only or a similar labeling statement and have not been approved, cleared, or licensed by the FDA or other regulatory foreign or domestic entity, for any purpose. Customer shall not use any Product for any diagnostic or therapeutic purpose, or otherwise in any manner that conflicts with its labeling statement. Products sold or licensed by CST are provided for Customer as the end-user and solely for research and development uses. Any use of Product for diagnostic, prophylactic or therapeutic purposes, or any purchase of Product for resale (alone or as a component) or other commercial purpose, requires a separate license from CST. Customer shall (a) not sell, license, loan, donate or otherwise transfer or make available any Product to any third party, whether alone or in combination with other materials, or use the Products to manufacture any commercial products, (b) not copy, modify, reverse engineer, decompile, disassemble or otherwise attempt to discover the underlying structure or technology of the Products, or use the Products for the purpose of developing any products or services that would compete with CST products or services, (c) not alter or remove from the Products any trademarks, trade names, logos, patent or copyright notices or markings, (d) use the Products solely in accordance with CST Product Terms of Sale and any applicable documentation, and (e) comply with any license, terms of service or similar agreement with respect to any third party products or services used by Customer in connection with the Products.

Orders: 877-616-CELL (2355) [email protected] Support: 877-678-TECH (8324) [email protected] Web: cellsignal.com
For Research Use Only. Not for Use in Diagnostic Procedures.

Revision 1

Cell Signaling Technology Logo
Western blot analysis of extracts from various cell lines using IL-2Rβ (D4X3H) Rabbit mAb (upper), and β-Actin (D6A8) Rabbit mAb #8457 (lower).
Western Blotting Image 1: IL-2R beta (D4X3H) Rabbit Monoclonal Antibody
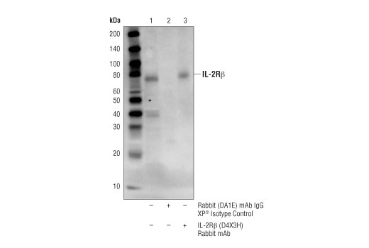
Immunoprecipitation of IL-2Rβ protein from HDLM-2 cell extracts. Lane 1 is 10% input, lane 2 is Rabbit (DA1E) mAb IgG XP® Isotype Control #3900, and lane 3 is IL-2Rβ (D4X3H) Rabbit mAb. Western blot analysis was performed using IL-2Rβ (D4X3H) Rabbit mAb.
Immunoprecipitation Image 1: IL-2R beta (D4X3H) Rabbit Monoclonal Antibody
Orders: 877-616-CELL (2355) [email protected] Support: 877-678-TECH (8324) [email protected] Web: cellsignal.com
For Research Use Only. Not for Use in Diagnostic Procedures.