Revision 1

#18526

Store at -20C

CST Logo
Orders:

877-616-CELL (2355)

[email protected]

Support:

877-678-TECH (8324)

3 Trask Lane | Danvers | Massachusetts | 01923 | USA

For Research Use Only. Not for Use in Diagnostic Procedures.

Applications:
W, IP, FC-L

Reactivity:
M

Sensitivity:
Endogenous

MW (kDa):
60-80

Source/Isotype:
Rabbit IgG

UniProt ID:
#P34902

Entrez-Gene Id:
16186

Product Usage Information

Application Dilution
Western Blotting 1:1000
Immunoprecipitation 1:200
Flow Cytometry (Live) 1:50

Storage

Supplied in 10 mM sodium HEPES (pH 7.5), 150 mM NaCl, 100 µg/mL BSA, 50% glycerol, and less than 0.02% sodium azide. Store at –20°C. Do not aliquot the antibody.

Specificity/Sensitivity

IL-2R gamma (E2Z5W) Rabbit Monoclonal Antibody recognizes endogenous levels of total IL-2Rγ protein.

Source / Purification

Monoclonal antibody is produced by immunizing animals with mouse IL-2Rγ recombinant protein.

Background

IL-2Rγ (Cytokine receptor common subunit gamma, γc) is part of the interleukin-2 (IL-2) receptor, comprised of alpha, beta, and gamma chains (1-6). The gamma chain is required for the formation of high- and intermediate-affinity receptors, which consist of alpha beta gamma heterotrimers and beta gamma heterodimers (1). IL-2, IL-4, IL-7, IL-9, IL-15, and IL-21 all share the same common gamma chain, which was originally discovered as the gamma chain of the IL-2 receptor (3-6). The γ chain family of cytokines contribute to lymphocyte homeostasis by controlling aspects of lymphocyte development, growth, differentiation, and survival (5,6). In humans, a mutation in IL-2Rγ results in X-linked severe combined immunodeficiency (XSCID), which is a disease characterized by the absence of T and NK cells, with nonfunctional B cells (2).

Species Reactivity

Species reactivity is determined by testing in at least one approved application (e.g., western blot).

Western Blot Buffer

IMPORTANT: For western blots, incubate membrane with diluted primary antibody in 5% w/v nonfat dry milk, 1X TBS, 0.1% Tween® 20 at 4°C with gentle shaking, overnight.

Applications Key

W: Western Blotting IP: Immunoprecipitation FC-L: Flow Cytometry (Live)

Cross-Reactivity Key

M: Mouse

Trademarks and Patents

Cell Signaling Technology is a trademark of Cell Signaling Technology, Inc.

Alexa Fluor is a registered trademark of Life Technologies Corporation.

All other trademarks are the property of their respective owners. Visit cellsignal.com/trademarks for more information.

Limited Uses

Except as otherwise expressly agreed in a writing signed by a legally authorized representative of CST, the following terms apply to Products provided by CST, its affiliates or its distributors. Any Customer's terms and conditions that are in addition to, or different from, those contained herein, unless separately accepted in writing by a legally authorized representative of CST, are rejected and are of no force or effect.

Products are labeled with For Research Use Only or a similar labeling statement and have not been approved, cleared, or licensed by the FDA or other regulatory foreign or domestic entity, for any purpose. Customer shall not use any Product for any diagnostic or therapeutic purpose, or otherwise in any manner that conflicts with its labeling statement. Products sold or licensed by CST are provided for Customer as the end-user and solely for research and development uses. Any use of Product for diagnostic, prophylactic or therapeutic purposes, or any purchase of Product for resale (alone or as a component) or other commercial purpose, requires a separate license from CST. Customer shall (a) not sell, license, loan, donate or otherwise transfer or make available any Product to any third party, whether alone or in combination with other materials, or use the Products to manufacture any commercial products, (b) not copy, modify, reverse engineer, decompile, disassemble or otherwise attempt to discover the underlying structure or technology of the Products, or use the Products for the purpose of developing any products or services that would compete with CST products or services, (c) not alter or remove from the Products any trademarks, trade names, logos, patent or copyright notices or markings, (d) use the Products solely in accordance with CST Product Terms of Sale and any applicable documentation, and (e) comply with any license, terms of service or similar agreement with respect to any third party products or services used by Customer in connection with the Products.

Orders: 877-616-CELL (2355) [email protected] Support: 877-678-TECH (8324) [email protected] Web: cellsignal.com
For Research Use Only. Not for Use in Diagnostic Procedures.

Revision 1

Cell Signaling Technology Logo
Western blot analysis of extracts from CTLL-2, EL4, and Neuro-2a cells using IL-2Rγ (E2Z5W) Rabbit mAb (upper) or β-Actin (D6A8) Rabbit mAb #8457 (lower).
Western Blotting Image 1: IL-2R gamma (E2Z5W) Rabbit Monoclonal Antibody
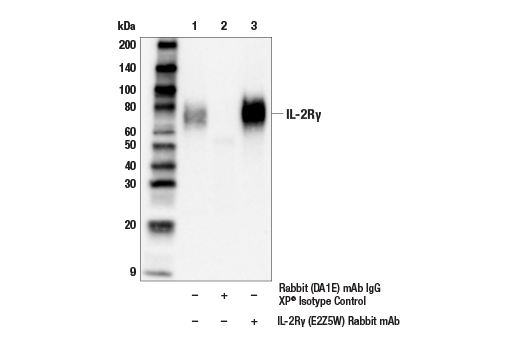
Immunoprecipitation of IL-2Rγ protein from CTLL-2 cell extracts. Lane 1 is 10% input, lane 2 is Rabbit (DA1E) mAb IgG XP® Isotype Control #3900, and lane 3 is IL-2Rγ (E2Z5W) Rabbit mAb. Western blot analysis was performed using IL-2Rγ (E2Z5W) Rabbit mAb. Mouse Anti-rabbit IgG (Conformation Specific) (L27A9) mAb (HRP Conjugate) #5127 was used as the secondary antibody.
Immunoprecipitation Image 1: IL-2R gamma (E2Z5W) Rabbit Monoclonal Antibody
Flow cytometric analysis of live mouse splenocytes using IL-2Rγ (E2Z5W) Rabbit mAb (right) or concentration-matched Rabbit (DA1E) mAb IgG XP® Isotype Control #3900 (left), co-stained with CD8α (2.43) Rat mAb (APC Conjugate) #64786. Anti-rabbit IgG (H+L), F(ab')2 Fragment (Alexa Fluor® 488 Conjugate) #4412 was used as a secondary antibody.
Flow Cytometry Image 1: IL-2R gamma (E2Z5W) Rabbit Monoclonal Antibody
Orders: 877-616-CELL (2355) [email protected] Support: 877-678-TECH (8324) [email protected] Web: cellsignal.com
For Research Use Only. Not for Use in Diagnostic Procedures.

Revision 1

Cell Signaling Technology Logo
Flow cytometric analysis of live A20 cells (blue, negative) and CTLL-2 cells (green, positive) using IL-2Rγ (E2Z5W) Rabbit mAb (solid lines) or concentration-matched Rabbit (DA1E) mAb IgG XP® Isotype Control #3900 (dashed lines). Anti-rabbit IgG (H+L), F(ab')2 Fragment (Alexa Fluor® 488 Conjugate) #4412 was used as a secondary antibody.
Flow Cytometry Image 2: IL-2R gamma (E2Z5W) Rabbit Monoclonal Antibody
Orders: 877-616-CELL (2355) [email protected] Support: 877-678-TECH (8324) [email protected] Web: cellsignal.com
For Research Use Only. Not for Use in Diagnostic Procedures.