Revision 6

#12912

Store at -20C

CST Logo
Orders:

877-616-CELL (2355)

[email protected]

Support:

877-678-TECH (8324)

3 Trask Lane | Danvers | Massachusetts | 01923 | USA

For Research Use Only. Not for Use in Diagnostic Procedures.

Applications:
W, IP, IF-IC, FC-FP

Reactivity:
M

Sensitivity:
Endogenous

MW (kDa):
24

Source/Isotype:
Rabbit IgG

UniProt ID:
#P08505

Entrez-Gene Id:
16193

Product Usage Information

Application Dilution
Western Blotting 1:1000
Immunoprecipitation 1:100
Immunofluorescence (Immunocytochemistry) 1:200 - 1:400
Flow Cytometry (Fixed/Permeabilized) 1:400

Storage

Supplied in 10 mM sodium HEPES (pH 7.5), 150 mM NaCl, 100 µg/ml BSA, 50% glycerol and less than 0.02% sodium azide. Store at –20°C. Do not aliquot the antibody.

For a carrier free (BSA and azide free) version of this product see product #65145.

Specificity/Sensitivity

IL-6 (D5W4V) Rabbit Monoclonal Antibody recognizes endogenous levels of total IL-6 protein. Non-specific labeling may be observed by immunofluorescence in fixed-frozen tissues such as tubules of kidney and exocrine cells of pancreas.

Source / Purification

Monoclonal antibody is produced by immunizing animals with recombinant mouse IL-6 protein.

Background

Acute phase response is induced by interleukin-6 (IL-6) produced by T cells, macrophages, fibroblasts, endothelial and other cells (1,2). IL-6 induces proliferation or differentiation in many cell types including B cells, thymocytes and T cells. IL-6, in concert with TGF-β, is important for developing Th17 responses. IL-6 binds to IL-6Rα and through this association induces gp130 homodimerization (1). gp130 homodimerization triggers the Jak/Stat cascade and the SHP-2/Erk MAP kinase cascade (1,3,4). IL-6 also forms a complex with an IL-6Rα splice variant that is non-membrane-associated (3). The IL-6/soluble IL-6Rα complex can then activate the gp130 signaling pathway in cells that express gp130 but not IL-6Rα (3). Research studies have shown that IL-6, through increasing expression of proangiogenic VEGF, may also contribute to metastatic breast cancer (5).

Species Reactivity

Species reactivity is determined by testing in at least one approved application (e.g., western blot).

Western Blot Buffer

IMPORTANT: For western blots, incubate membrane with diluted primary antibody in 5% w/v BSA, 1X TBS, 0.1% Tween® 20 at 4°C with gentle shaking, overnight.

Applications Key

W: Western Blotting IP: Immunoprecipitation IF-IC: Immunofluorescence (Immunocytochemistry) FC-FP: Flow Cytometry (Fixed/Permeabilized)

Cross-Reactivity Key

M: Mouse

Trademarks and Patents

Cell Signaling Technology is a trademark of Cell Signaling Technology, Inc.

Alexa Fluor is a registered trademark of Life Technologies Corporation.

All other trademarks are the property of their respective owners. Visit cellsignal.com/trademarks for more information.

Limited Uses

Except as otherwise expressly agreed in a writing signed by a legally authorized representative of CST, the following terms apply to Products provided by CST, its affiliates or its distributors. Any Customer's terms and conditions that are in addition to, or different from, those contained herein, unless separately accepted in writing by a legally authorized representative of CST, are rejected and are of no force or effect.

Products are labeled with For Research Use Only or a similar labeling statement and have not been approved, cleared, or licensed by the FDA or other regulatory foreign or domestic entity, for any purpose. Customer shall not use any Product for any diagnostic or therapeutic purpose, or otherwise in any manner that conflicts with its labeling statement. Products sold or licensed by CST are provided for Customer as the end-user and solely for research and development uses. Any use of Product for diagnostic, prophylactic or therapeutic purposes, or any purchase of Product for resale (alone or as a component) or other commercial purpose, requires a separate license from CST. Customer shall (a) not sell, license, loan, donate or otherwise transfer or make available any Product to any third party, whether alone or in combination with other materials, or use the Products to manufacture any commercial products, (b) not copy, modify, reverse engineer, decompile, disassemble or otherwise attempt to discover the underlying structure or technology of the Products, or use the Products for the purpose of developing any products or services that would compete with CST products or services, (c) not alter or remove from the Products any trademarks, trade names, logos, patent or copyright notices or markings, (d) use the Products solely in accordance with CST Product Terms of Sale and any applicable documentation, and (e) comply with any license, terms of service or similar agreement with respect to any third party products or services used by Customer in connection with the Products.

Orders: 877-616-CELL (2355) [email protected] Support: 877-678-TECH (8324) [email protected] Web: cellsignal.com
For Research Use Only. Not for Use in Diagnostic Procedures.

Revision 6

Cell Signaling Technology Logo
Western blot analysis of extracts from Raw 264.7 cells, untreated (-) or treated with LPS (100 ng/ml, 6 hr) and Brefeldin A #9972 (300 ng/ml, last 3 hr of stimulation; +), using IL-6 (D5W4V) XP® Rabbit mAb (upper) and β-Actin (D6A8) Rabbit mAb #8457 (lower).
Western Blotting Image 1: IL-6 (D5W4V) Rabbit Monoclonal Antibody
Western blot analysis of recombinant Mouse His6Interleukin-6 (mHis6IL-6) using IL-6 (D5W4V) XP® Rabbit mAb.
Western Blotting Image 2: IL-6 (D5W4V) Rabbit Monoclonal Antibody
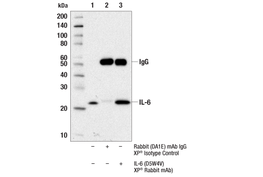
Immunoprecipitation of IL-6 from Raw 264.7 cell extracts treated with LPS (100 ng/ml, 6 hr) and Brefeldin A #9972 (300 ng/ml, last 3 hr of stimulation) using Rabbit (DA1E) mAb IgG XP® Isotype Control #3900 (lane 2) or IL-6 (D5W4V) XP® Rabbit mAb (lane 3). Lane 1 is 10% input. Western blot analysis was performed using IL-6 (D5W4V) XP® Rabbit mAb.
Immunoprecipitation Image 1: IL-6 (D5W4V) Rabbit Monoclonal Antibody
Orders: 877-616-CELL (2355) [email protected] Support: 877-678-TECH (8324) [email protected] Web: cellsignal.com
For Research Use Only. Not for Use in Diagnostic Procedures.

Revision 6

Cell Signaling Technology Logo
Confocal immunofluorescent analysis of Raw 264.7 cells, untreated (left) or treated with LPS (100 ng/ml, 6 hr; right), using IL-6 (D5W4V) XP® Rabbit mAb (green). Actin filaments were labeled with DY-554 phalloidin (red). Blue pseudocolor= DRAQ5® #4084 (fluorescent DNA dye).
Immunofluorescence Image 1: IL-6 (D5W4V) Rabbit Monoclonal Antibody
Flow cytometric analysis of Raw 264.7 cells, treated with LPS (100 ng/ml, 6 hr) and Brefeldin A #9972 (300 ng/ml, last 3 hr of LPS treatment) (green) or Brefeldin A alone (300 ng/ml, 3 hr) (blue) using IL-6 (D5W4V) XP® Rabbit mAb. Anti-rabbit IgG (H+L), F(ab')2 Fragment (Alexa Fluor® 647 Conjugate) #4414 was used as a secondary antibody.
Flow Cytometry Image 1: IL-6 (D5W4V) Rabbit Monoclonal Antibody
Orders: 877-616-CELL (2355) [email protected] Support: 877-678-TECH (8324) [email protected] Web: cellsignal.com
For Research Use Only. Not for Use in Diagnostic Procedures.