Revision 6

#94407

Store at -20C

CST Logo
Orders:

877-616-CELL (2355)

[email protected]

Support:

877-678-TECH (8324)

3 Trask Lane | Danvers | Massachusetts | 01923 | USA

For Research Use Only. Not for Use in Diagnostic Procedures.

Applications:
W, IP, IHC-P, IF-IC, FC-FP

Reactivity:
H

Sensitivity:
Endogenous

MW (kDa):
11

Source/Isotype:
Rabbit IgG

UniProt ID:
#P10145

Entrez-Gene Id:
3576

Product Usage Information

Application Dilution
Western Blotting 1:1000
Immunoprecipitation 1:50
Immunohistochemistry (Paraffin) 1:50 - 1:200
Immunofluorescence (Immunocytochemistry) 1:200 - 1:800
Flow Cytometry (Fixed/Permeabilized) 1:50 - 1:200

Storage

Supplied in 10 mM sodium HEPES (pH 7.5), 150 mM NaCl, 100 µg/ml BSA, 50% glycerol and less than 0.02% sodium azide. Store at –20°C. Do not aliquot the antibody.

For a carrier-free (BSA and azide free) version of this product see product #10681.

Specificity/Sensitivity

IL-8 (E5F5Q) Rabbit Monoclonal Antibody recognizes endogenous levels of total IL-8 protein.

Source / Purification

Monoclonal antibody is produced by immunizing animals with human IL-8 recombinant protein.

Background

The prototypical CXC chemokine, IL-8, is best known for effects on neutrophils, specifically its ability to act as a chemoattractant and activate degranulation and respiratory burst (1-3).

IL-8 is produced by a number of cell types, including monocytes, T cells, neutrophils, fibroblasts, endothelial cells, and others (1). In addition to its effects on neutrophils, IL-8 promotes angiogenesis, inhibits endothelial cell apoptosis, and promotes the proliferation of melanoma cells in an autocrine fashion (1). As a result, IL-8 may be a contributing factor to the development of certain cancers (1,2). There are two distinct receptors for IL-8, CXCR1 and CXCR2; both are G protein-coupled receptors (1). Ligand binding induces Ca2+ mobilization and activates the PI3K, PKC, Rho, and Rac pathways (1,3).

Species Reactivity

Species reactivity is determined by testing in at least one approved application (e.g., western blot).

Western Blot Buffer

IMPORTANT: For western blots, incubate membrane with diluted primary antibody in 5% w/v BSA, 1X TBS, 0.1% Tween® 20 at 4°C with gentle shaking, overnight.

Applications Key

W: Western Blotting IP: Immunoprecipitation IHC-P: Immunohistochemistry (Paraffin) IF-IC: Immunofluorescence (Immunocytochemistry) FC-FP: Flow Cytometry (Fixed/Permeabilized)

Cross-Reactivity Key

H: Human

Trademarks and Patents

Cell Signaling Technology is a trademark of Cell Signaling Technology, Inc.

Alexa Fluor is a registered trademark of Life Technologies Corporation.

All other trademarks are the property of their respective owners. Visit cellsignal.com/trademarks for more information.

Limited Uses

Except as otherwise expressly agreed in a writing signed by a legally authorized representative of CST, the following terms apply to Products provided by CST, its affiliates or its distributors. Any Customer's terms and conditions that are in addition to, or different from, those contained herein, unless separately accepted in writing by a legally authorized representative of CST, are rejected and are of no force or effect.

Products are labeled with For Research Use Only or a similar labeling statement and have not been approved, cleared, or licensed by the FDA or other regulatory foreign or domestic entity, for any purpose. Customer shall not use any Product for any diagnostic or therapeutic purpose, or otherwise in any manner that conflicts with its labeling statement. Products sold or licensed by CST are provided for Customer as the end-user and solely for research and development uses. Any use of Product for diagnostic, prophylactic or therapeutic purposes, or any purchase of Product for resale (alone or as a component) or other commercial purpose, requires a separate license from CST. Customer shall (a) not sell, license, loan, donate or otherwise transfer or make available any Product to any third party, whether alone or in combination with other materials, or use the Products to manufacture any commercial products, (b) not copy, modify, reverse engineer, decompile, disassemble or otherwise attempt to discover the underlying structure or technology of the Products, or use the Products for the purpose of developing any products or services that would compete with CST products or services, (c) not alter or remove from the Products any trademarks, trade names, logos, patent or copyright notices or markings, (d) use the Products solely in accordance with CST Product Terms of Sale and any applicable documentation, and (e) comply with any license, terms of service or similar agreement with respect to any third party products or services used by Customer in connection with the Products.

Orders: 877-616-CELL (2355) [email protected] Support: 877-678-TECH (8324) [email protected] Web: cellsignal.com
For Research Use Only. Not for Use in Diagnostic Procedures.

Revision 6

Cell Signaling Technology Logo
Western blot analysis of extracts from U-937 cells, untreated (-) or treated (+) as indicated with TPA (12-O-Tetradecanoylphorbol-13-Acetate) #4174 (100 ng/mL, 24 hr), Lipopolysaccharides (LPS) #14011 (5 μg/ml, 7 hr), and/or Brefeldin A #9972 (300 ng/mL, 3 hr), using IL-8 (E5F5Q) XP® Rabbit mAb (upper) and GAPDH (D16H11) XP® Rabbit mAb #5174 (lower).
Western Blotting Image 1: IL-8 (E5F5Q) Rabbit Monoclonal Antibody
Western blot analysis of recombinant Human Interleukin-8 (hIL-8) #94853 using IL-8 (E5F5Q) XP® Rabbit mAb.
Western Blotting Image 2: IL-8 (E5F5Q) Rabbit Monoclonal Antibody
Immunoprecipitation of IL-8 protein from extracts of U-937 cells treated with TPA (12-O-Tetradecanoylphorbol-13-Acetate) #4174 (100 ng/mL, 24 hr), Lipopolysaccharides (LPS) #14011 (5 μg/ml, 7 hr), and Brefeldin A #9972 (300 ng/mL, 3 hr). Lane 1 is 10% input, lane 2 is Rabbit (DA1E) mAb IgG XP® Isotype Control #3900, and lane 3 is IL-8 (E5F5Q) XP® Rabbit mAb. Western blot analysis was performed using IL-8 (E5F5Q) XP® Rabbit mAb. Anti-rabbit IgG, HRP-linked Antibody #7074 was used as the secondary antibody.
Immunoprecipitation Image 1: IL-8 (E5F5Q) Rabbit Monoclonal Antibody
Orders: 877-616-CELL (2355) [email protected] Support: 877-678-TECH (8324) [email protected] Web: cellsignal.com
For Research Use Only. Not for Use in Diagnostic Procedures.

Revision 6

Cell Signaling Technology Logo
Immunohistochemical analysis of paraffin-embedded human endometrioid adenocarcinoma using IL-8 (E5F5Q) XP® Rabbit mAb.
Immunohistochemistry Image 1: IL-8 (E5F5Q) Rabbit Monoclonal Antibody
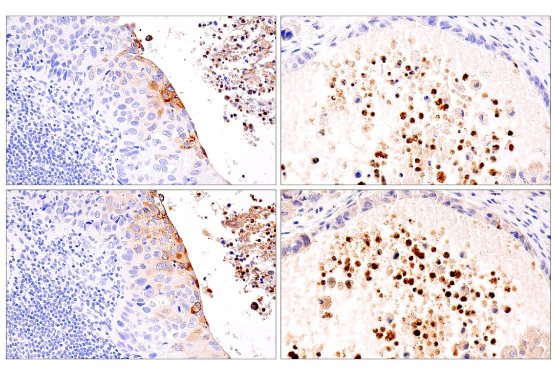
Immunohistochemical analysis of paraffin-embedded human non-small cell lung carcinoma (left) or endometrioid adenocarcinoma (right) using IL-8 (E5F5Q) XP® Rabbit mAb (top) or IL-8 Rabbit mAb (bottom). These two antibodies detect unique, non-overlapping epitopes on human IL-8. The similar staining patterns obtained with both antibodies help to confirm the specificity of the staining.
Immunohistochemistry Image 2: IL-8 (E5F5Q) Rabbit Monoclonal Antibody
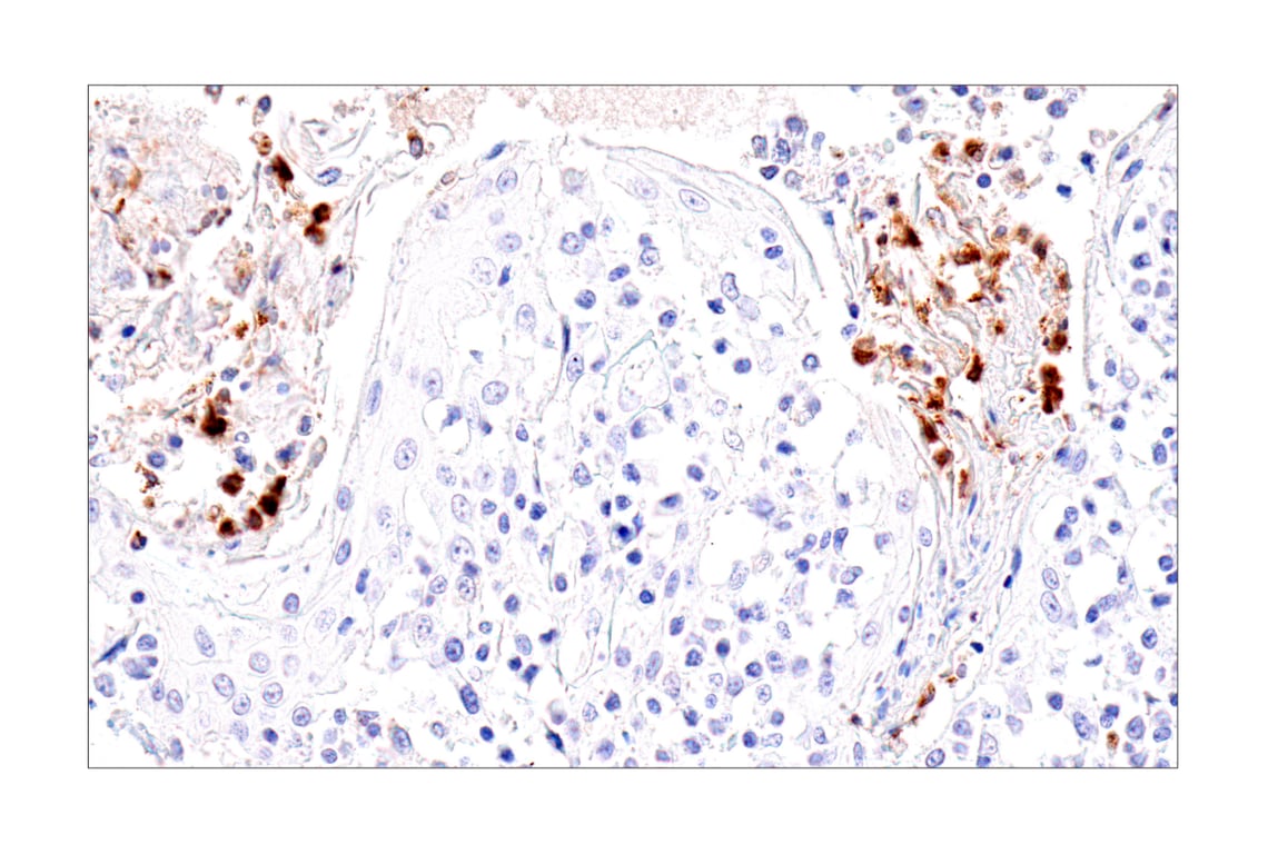
Immunohistochemical analysis of paraffin-embedded human esophageal carcinoma using IL-8 (E5F5Q) XP® Rabbit mAb.
Immunohistochemistry Image 3: IL-8 (E5F5Q) Rabbit Monoclonal Antibody
Orders: 877-616-CELL (2355) [email protected] Support: 877-678-TECH (8324) [email protected] Web: cellsignal.com
For Research Use Only. Not for Use in Diagnostic Procedures.

Revision 6

Cell Signaling Technology Logo
Immunohistochemical analysis of paraffin-embedded human tonsil using IL-8 (E5F5Q) XP® Rabbit mAb.
Immunohistochemistry Image 4: IL-8 (E5F5Q) Rabbit Monoclonal Antibody
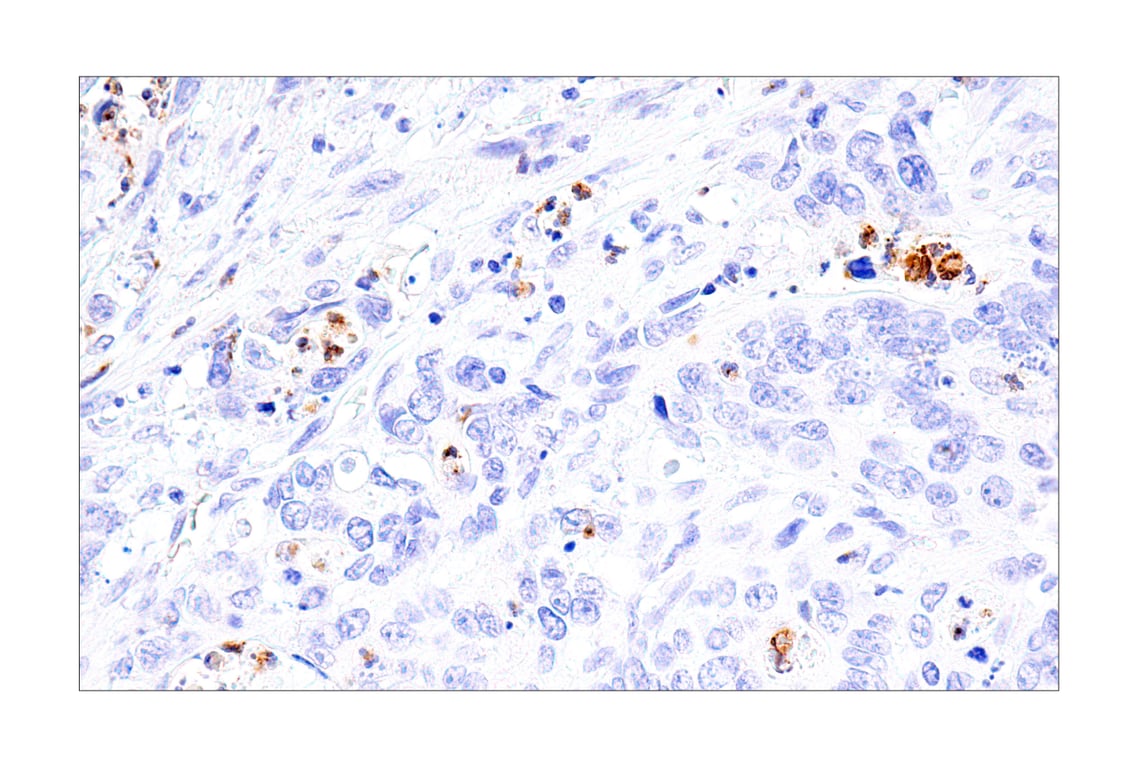
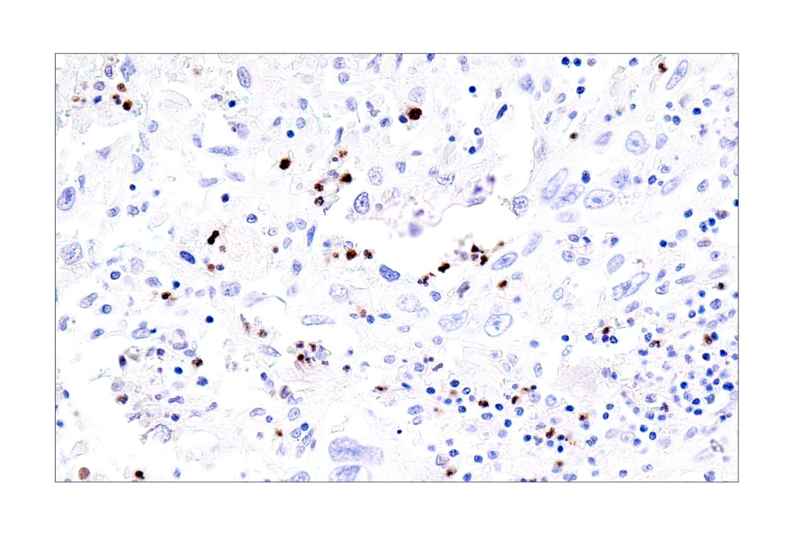
Immunohistochemical analysis of paraffin-embedded human hepatocellular carcinoma using IL-8 (E5F5Q) XP® Rabbit mAb.
Immunohistochemistry Image 5: IL-8 (E5F5Q) Rabbit Monoclonal Antibody
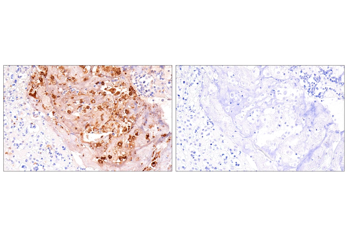
Immunohistochemical analysis of paraffin-embedded human small cell lung carcinoma using IL-8 (E5F5Q) XP® Rabbit mAb (left) compared to concentration-matched Rabbit (DA1E) mAb IgG XP® Isotype Control #3900 (right). 
Immunohistochemistry Image 6: IL-8 (E5F5Q) Rabbit Monoclonal Antibody
Orders: 877-616-CELL (2355) [email protected] Support: 877-678-TECH (8324) [email protected] Web: cellsignal.com
For Research Use Only. Not for Use in Diagnostic Procedures.

Revision 6

Cell Signaling Technology Logo
Immunohistochemical analysis of paraffin-embedded U-937 cell pellet, untreated (left, negative) or treated with TPA (12-O-Tetradecanoylphorbol-13-Acetate) #4174 (100 ng/mL, 24 hr), Lipopolysaccharides (LPS) #14011 (5 μg/ml, 7 hr), and Brefeldin A #9972 (300 ng/mL, 3 hr) (right, positive), using IL-8 (E5F5Q) XP® Rabbit mAb.
Immunohistochemistry Image 7: IL-8 (E5F5Q) Rabbit Monoclonal Antibody
Immunohistochemical analysis of paraffin-embedded 293T cell pellet, untransfected (left) or IL8-transfected (right), using IL-8 (E5F5Q) XP® Rabbit mAb.
Immunohistochemistry Image 8: IL-8 (E5F5Q) Rabbit Monoclonal Antibody
Confocal immunofluorescent analysis of U-937 cells, untreated (left, negative) or treated with TPA (12-O-Tetradecanoylphorbol-13-Acetate) #4174 (100 ng/mL, 24 hr) and Lipopolysaccharides (LPS) #14011 (5 μg/ml, 7 hr; right, positive), using IL-8 (E5F5Q) XP® Rabbit mAb (green) and DAPI #4083 (blue).
Immunofluorescence Image 1: IL-8 (E5F5Q) Rabbit Monoclonal Antibody
Orders: 877-616-CELL (2355) [email protected] Support: 877-678-TECH (8324) [email protected] Web: cellsignal.com
For Research Use Only. Not for Use in Diagnostic Procedures.

Revision 6

Cell Signaling Technology Logo
Flow cytometric analysis of U-937 cells, untreated (blue) or treated with TPA (12-O-Tetradecanoylphorbol-13-Acetate) #4174 (100 ng/mL, 24 hr), Lipopolysaccharides (LPS) #14011 (5 μg/ml, 7 hr), and Brefeldin A #9972 (300 ng/mL, 3 hr) (green), using IL-8 (E5F5Q) XP® Rabbit mAb (solid lines) or concentration matched Rabbit (DA1E) mAb IgG XP® Isotype Control #3900 (dashed lines). Anti-rabbit IgG (H+L), F(ab')2 Fragment (Alexa Fluor® 488 Conjugate) #4412 was used as a secondary antibody.
Flow Cytometry Image 1: IL-8 (E5F5Q) Rabbit Monoclonal Antibody
Orders: 877-616-CELL (2355) [email protected] Support: 877-678-TECH (8324) [email protected] Web: cellsignal.com
For Research Use Only. Not for Use in Diagnostic Procedures.