Revision 19

#23797

Store at +4C

CST Logo
Orders:

877-616-CELL (2355)

[email protected]

Support:

877-678-TECH (8324)

3 Trask Lane | Danvers | Massachusetts | 01923 | USA

For Research Use Only. Not for Use in Diagnostic Procedures.

Applications:
IHC-Bond, IHC-P

Reactivity:
H

Sensitivity:
Endogenous

Source/Isotype:
Mouse IgG2b

UniProt ID:
#P26951

Entrez-Gene Id:
3563

Product Usage Information

Application Dilution
IHC Leica Bond 1:50 - 1:200
Immunohistochemistry (Paraffin) 1:50

Storage

Supplied as liquid tissue culture supernatant containing sodium azide as a preservative. Stable for 6 months when stored at 4°C. Do not aliquot the antibody.

Note: This product is only available in the format listed above. We are unable to provide this in a carrier free, custom formulation.

Specificity/Sensitivity

IL3RA/CD123 (BR4MS) Mouse mAb recognizes endogenous levels of IL3RA/CD123 protein.

Source / Purification

Monoclonal antibody is produced by immunizing animals with a prokaryotic recombinant protein corresponding to 101 amino acids of the external domain of human IL3RA/CD123 protein.

Background

IL3RA/CD123 is the alpha subunit of an IL-3 receptor that also contains the common beta chain (βc) shared with receptors for other cytokines. IL3RA/CD123 alone binds to IL-3 with high specificity but low affinity and it does not transduce intracellular signaling, while βc alone does not bind to IL-3 appreciably. Together, IL3RA/CD123 and βc form the functional high-affinity receptor for IL-3. IL3RA/CD123 is mainly expressed on the hematopoietic progenitor cells, primarily the granulocytic and monocytic linages (1,2). IL3RA/CD123 is highly expressed on leukemic stem cells in the majority of AML (acute myeloid leukemia) patients and is correlated with poor prognosis. In addition, overexpression of IL3RA/CD123 has also been reported for other hematopoietic malignancies (3-5). It is considered as a valuable therapeutic target for these malignancies (6-8).

Species Reactivity

Species reactivity is determined by testing in at least one approved application (e.g., western blot).

Applications Key

IHC-Bond: IHC Leica Bond IHC-P: Immunohistochemistry (Paraffin)

Cross-Reactivity Key

H: Human

Trademarks and Patents

Cell Signaling Technology is a trademark of Cell Signaling Technology, Inc.

SignalStain is a registered trademark of Cell Signaling Technology, Inc.

All other trademarks are the property of their respective owners. Visit cellsignal.com/trademarks for more information.

Limited Uses

Except as otherwise expressly agreed in a writing signed by a legally authorized representative of CST, the following terms apply to Products provided by CST, its affiliates or its distributors. Any Customer's terms and conditions that are in addition to, or different from, those contained herein, unless separately accepted in writing by a legally authorized representative of CST, are rejected and are of no force or effect.

Products are labeled with For Research Use Only or a similar labeling statement and have not been approved, cleared, or licensed by the FDA or other regulatory foreign or domestic entity, for any purpose. Customer shall not use any Product for any diagnostic or therapeutic purpose, or otherwise in any manner that conflicts with its labeling statement. Products sold or licensed by CST are provided for Customer as the end-user and solely for research and development uses. Any use of Product for diagnostic, prophylactic or therapeutic purposes, or any purchase of Product for resale (alone or as a component) or other commercial purpose, requires a separate license from CST. Customer shall (a) not sell, license, loan, donate or otherwise transfer or make available any Product to any third party, whether alone or in combination with other materials, or use the Products to manufacture any commercial products, (b) not copy, modify, reverse engineer, decompile, disassemble or otherwise attempt to discover the underlying structure or technology of the Products, or use the Products for the purpose of developing any products or services that would compete with CST products or services, (c) not alter or remove from the Products any trademarks, trade names, logos, patent or copyright notices or markings, (d) use the Products solely in accordance with CST Product Terms of Sale and any applicable documentation, and (e) comply with any license, terms of service or similar agreement with respect to any third party products or services used by Customer in connection with the Products.

Orders: 877-616-CELL (2355) [email protected] Support: 877-678-TECH (8324) [email protected] Web: cellsignal.com
For Research Use Only. Not for Use in Diagnostic Procedures.

Revision 19

Cell Signaling Technology Logo
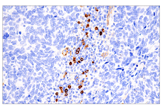
Immunohistochemical analysis of paraffin-embedded human non-Hodgkin lymphoma using IL3RA/CD123 (BR4MS) Mouse mAb performed on the Leica® BOND™ Rx.
Immunohistochemistry Image 1: IL3RA/CD123 (BR4MS) Mouse Monoclonal Antibody
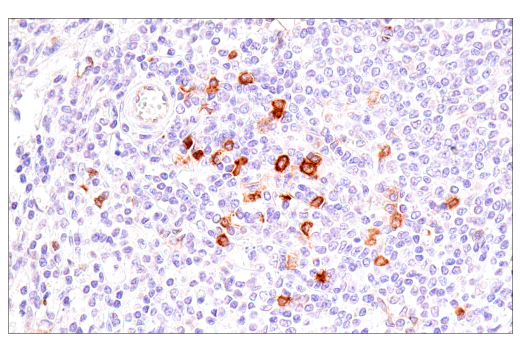
Immunohistochemical analysis of paraffin-embedded human small cell carcinoma of the salivary gland using IL3RA/CD123 (BR4MS) Mouse mAb performed on the Leica® BOND™ Rx.
Immunohistochemistry Image 2: IL3RA/CD123 (BR4MS) Mouse Monoclonal Antibody
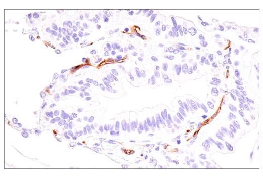
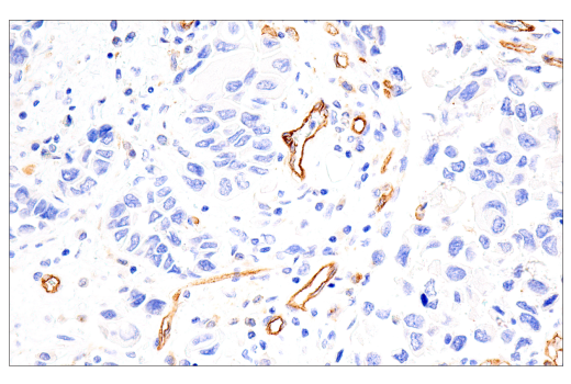
Immunohistochemical analysis of paraffin-embedded human urothelial carcinoma using IL3RA/CD123 (BR4MS) Mouse mAb performed on the Leica® BOND™ Rx.
Immunohistochemistry Image 3: IL3RA/CD123 (BR4MS) Mouse Monoclonal Antibody
Orders: 877-616-CELL (2355) [email protected] Support: 877-678-TECH (8324) [email protected] Web: cellsignal.com
For Research Use Only. Not for Use in Diagnostic Procedures.

Revision 19

Cell Signaling Technology Logo
Immunohistochemical analysis of paraffin-embedded human colon carcinoma using IL3RA/CD123 (BR4MS) Mouse mAb performed on the Leica® BOND™ Rx.
Immunohistochemistry Image 4: IL3RA/CD123 (BR4MS) Mouse Monoclonal Antibody
Immunohistochemical analysis of paraffin-embedded human esophageal adenocarcinoma using IL3RA/CD123 (BR4MS) Mouse mAb performed on the Leica® BOND™ Rx.
Immunohistochemistry Image 5: IL3RA/CD123 (BR4MS) Mouse Monoclonal Antibody
Immunohistochemical analysis of paraffin-embedded human hepatocellular carcinoma using IL3RA/CD123 (BR4MS) Mouse mAb performed on the Leica® BOND™ Rx.
Immunohistochemistry Image 6: IL3RA/CD123 (BR4MS) Mouse Monoclonal Antibody
Orders: 877-616-CELL (2355) [email protected] Support: 877-678-TECH (8324) [email protected] Web: cellsignal.com
For Research Use Only. Not for Use in Diagnostic Procedures.

Revision 19

Cell Signaling Technology Logo
Immunohistochemical analysis of paraffin-embedded human lung adenocarcinoma using IL3RA/CD123 (BR4MS) Mouse mAb.
Immunohistochemistry Image 1: IL3RA/CD123 (BR4MS) Mouse Monoclonal Antibody
Immunohistochemical analysis of paraffin-embedded normal human spleen using IL3RA/CD123 (BR4MS) Mouse mAb.
Immunohistochemistry Image 2: IL3RA/CD123 (BR4MS) Mouse Monoclonal Antibody
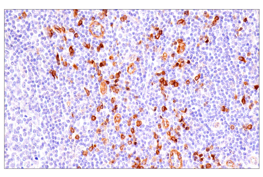
Immunohistochemical analysis of paraffin-embedded human tonsil using IL3RA/CD123 (BR4MS) Mouse mAb.
Immunohistochemistry Image 3: IL3RA/CD123 (BR4MS) Mouse Monoclonal Antibody
Orders: 877-616-CELL (2355) [email protected] Support: 877-678-TECH (8324) [email protected] Web: cellsignal.com
For Research Use Only. Not for Use in Diagnostic Procedures.

Revision 19

Cell Signaling Technology Logo
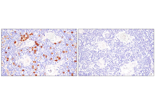
Immunohistochemical analysis of paraffin-embedded normal human thymus using IL3RA/CD123 (BR4MS) Mouse mAb (left) compared to concentration-matched Mouse (E7Q5L) mAb IgG2b Isotype Control #53484 (right).
Immunohistochemistry Image 4: IL3RA/CD123 (BR4MS) Mouse Monoclonal Antibody
Immunohistochemical analysis of paraffin-embedded HDLM-2 cell pellet (left, positive) or LOX-IMVI cell pellet (right, negative) using IL3RA/CD123 (BR4MS) Mouse mAb.
Immunohistochemistry Image 5: IL3RA/CD123 (BR4MS) Mouse Monoclonal Antibody
Orders: 877-616-CELL (2355) [email protected] Support: 877-678-TECH (8324) [email protected] Web: cellsignal.com
For Research Use Only. Not for Use in Diagnostic Procedures.