Revision 1

#39249

Store at -20C

CST Logo
Orders:

877-616-CELL (2355)

[email protected]

Support:

877-678-TECH (8324)

3 Trask Lane | Danvers | Massachusetts | 01923 | USA

For Research Use Only. Not for Use in Diagnostic Procedures.

Applications:
W, IHC-P, IF-IC

Reactivity:
H Mk

Sensitivity:
Endogenous

MW (kDa):
85, 110

Source/Isotype:
Rabbit IgG

UniProt ID:
#Q12906

Entrez-Gene Id:
3609

Product Usage Information

Application Dilution
Western Blotting 1:1000
Immunohistochemistry (Paraffin) 1:1000 - 1:4000
Immunofluorescence (Immunocytochemistry) 1:200 - 1:400

Storage

Supplied in 10 mM sodium HEPES (pH 7.5), 150 mM NaCl, 100 µg/mL BSA, 50% glycerol, and less than 0.02% sodium azide. Store at –20°C. Do not aliquot the antibody.

Specificity/Sensitivity

ILF3 (E5H6F) Rabbit Monoclonal Antibody recognizes endogenous levels of total ILF3 protein. Species reactivity for IHC-P is human only.

Source / Purification

Monoclonal antibody is produced by immunizing animals with a synthetic peptide corresponding to residues surrounding Val353 of human ILF3 protein.

Background

ILF2 and ILF3, also known as NF45 and NF90 respectively, form a double-stranded RNA binding heterodimer that serves many different biological functions. ILF2 and ILF3 were originally discovered as proteins that can bind and regulate the antigen receptor response element of the IL2 promoter to contribute to T cell activation (1,2). ILF2 and ILF3 play important roles in DNA damage response and non-homologous end joining (NHEJ) by interacting with DNA-PK (3,4). The heterodimer can also bind and negatively regulate microRNAs (5,6). Biogenesis of the 60S ribosomal subunit has been shown to be dependent on the double-stranded RNA-binding domains of ILF3 (7). Additionally, ILF2 and ILF3 can mediate rDNA transcription (8). ILF2 and ILF3 also play a role in the life cycle of many different viruses, including dengue and hepatitis C (9-11).

Species Reactivity

Species reactivity is determined by testing in at least one approved application (e.g., western blot).

Western Blot Buffer

IMPORTANT: For western blots, incubate membrane with diluted primary antibody in 5% w/v BSA, 1X TBS, 0.1% Tween® 20 at 4°C with gentle shaking, overnight.

Applications Key

W: Western Blotting IHC-P: Immunohistochemistry (Paraffin) IF-IC: Immunofluorescence (Immunocytochemistry)

Cross-Reactivity Key

H: Human Mk: Monkey

Trademarks and Patents

Cell Signaling Technology is a trademark of Cell Signaling Technology, Inc.

All other trademarks are the property of their respective owners. Visit cellsignal.com/trademarks for more information.

Limited Uses

Except as otherwise expressly agreed in a writing signed by a legally authorized representative of CST, the following terms apply to Products provided by CST, its affiliates or its distributors. Any Customer's terms and conditions that are in addition to, or different from, those contained herein, unless separately accepted in writing by a legally authorized representative of CST, are rejected and are of no force or effect.

Products are labeled with For Research Use Only or a similar labeling statement and have not been approved, cleared, or licensed by the FDA or other regulatory foreign or domestic entity, for any purpose. Customer shall not use any Product for any diagnostic or therapeutic purpose, or otherwise in any manner that conflicts with its labeling statement. Products sold or licensed by CST are provided for Customer as the end-user and solely for research and development uses. Any use of Product for diagnostic, prophylactic or therapeutic purposes, or any purchase of Product for resale (alone or as a component) or other commercial purpose, requires a separate license from CST. Customer shall (a) not sell, license, loan, donate or otherwise transfer or make available any Product to any third party, whether alone or in combination with other materials, or use the Products to manufacture any commercial products, (b) not copy, modify, reverse engineer, decompile, disassemble or otherwise attempt to discover the underlying structure or technology of the Products, or use the Products for the purpose of developing any products or services that would compete with CST products or services, (c) not alter or remove from the Products any trademarks, trade names, logos, patent or copyright notices or markings, (d) use the Products solely in accordance with CST Product Terms of Sale and any applicable documentation, and (e) comply with any license, terms of service or similar agreement with respect to any third party products or services used by Customer in connection with the Products.

Orders: 877-616-CELL (2355) [email protected] Support: 877-678-TECH (8324) [email protected] Web: cellsignal.com
For Research Use Only. Not for Use in Diagnostic Procedures.

Revision 1

Cell Signaling Technology Logo
Western blot analysis of extracts from various cell lines using ILF3 (E5H6F) Rabbit mAb (upper) or β-Actin (D6A8) Rabbit mAb #8457 (lower).
Western Blotting Image 1: ILF3 (E5H6F) Rabbit Monoclonal Antibody
Western blot analysis of extracts from 293T cells, transfected with control siRNA (-) or human ILF3 siRNA (hILF3 siRNA; +), using ILF3 (E5H6F) Rabbit mAb (upper) or β-Actin (D6A8) Rabbit mAb #8457 (lower).
Western Blotting Image 2: ILF3 (E5H6F) Rabbit Monoclonal Antibody
Immunohistochemical analysis of paraffin-embedded human esophageal adenocarcinoma using ILF3 (E5H6F) Rabbit mAb.
Immunohistochemistry Image 1: ILF3 (E5H6F) Rabbit Monoclonal Antibody
Orders: 877-616-CELL (2355) [email protected] Support: 877-678-TECH (8324) [email protected] Web: cellsignal.com
For Research Use Only. Not for Use in Diagnostic Procedures.

Revision 1

Cell Signaling Technology Logo

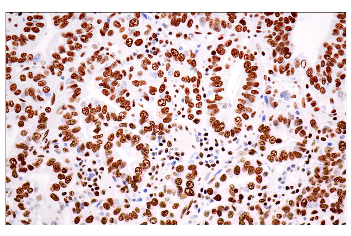
Immunohistochemical analysis of paraffin-embedded human adenoid cystic carcinoma of the salivary gland using ILF3 (E5H6F) Rabbit mAb.

Immunohistochemistry Image 2: ILF3 (E5H6F) Rabbit Monoclonal Antibody

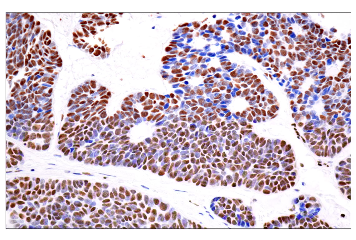
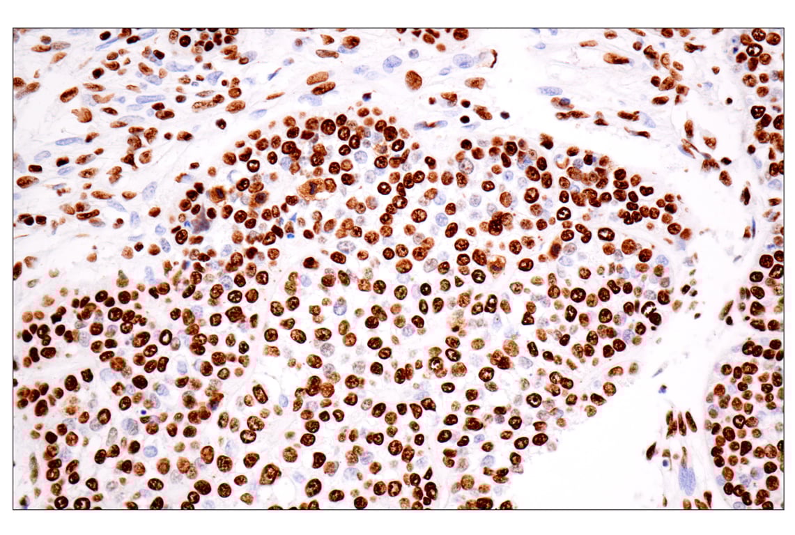
Immunohistochemical analysis of paraffin-embedded human non-Hodgkin lymphoma using ILF3 (E5H6F) Rabbit mAb.

Immunohistochemistry Image 3: ILF3 (E5H6F) Rabbit Monoclonal Antibody

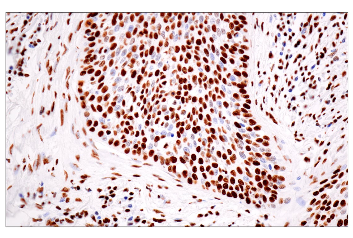
Immunohistochemical analysis of paraffin-embedded human squamous cell lung carcinoma using ILF3 (E5H6F) Rabbit mAb.

Immunohistochemistry Image 4: ILF3 (E5H6F) Rabbit Monoclonal Antibody
Orders: 877-616-CELL (2355) [email protected] Support: 877-678-TECH (8324) [email protected] Web: cellsignal.com
For Research Use Only. Not for Use in Diagnostic Procedures.

Revision 1

Cell Signaling Technology Logo

Immunohistochemical analysis of paraffin-embedded human squamous cell carcinoma of the cervix using ILF3 (E5H6F) Rabbit mAb.

Immunohistochemistry Image 5: ILF3 (E5H6F) Rabbit Monoclonal Antibody

Immunohistochemical analysis of paraffin-embedded human appendix using ILF3 (E5H6F) Rabbit mAb.

Immunohistochemistry Image 6: ILF3 (E5H6F) Rabbit Monoclonal Antibody

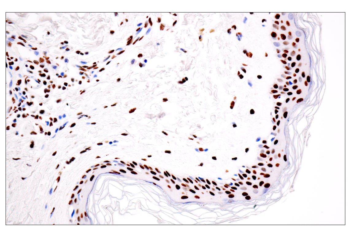
Immunohistochemical analysis of paraffin-embedded normal human skin using ILF3 (E5H6F) Rabbit mAb.

Immunohistochemistry Image 7: ILF3 (E5H6F) Rabbit Monoclonal Antibody
Orders: 877-616-CELL (2355) [email protected] Support: 877-678-TECH (8324) [email protected] Web: cellsignal.com
For Research Use Only. Not for Use in Diagnostic Procedures.

Revision 1

Cell Signaling Technology Logo

Immunohistochemical analysis of paraffin-embedded normal human esophagus using ILF3 (E5H6F) Rabbit mAb.

Immunohistochemistry Image 8: ILF3 (E5H6F) Rabbit Monoclonal Antibody
Immunohistochemical analysis of paraffin-embedded human prostate using ILF3 (E5H6F) Rabbit mAb (left) compared to concentration-matched Rabbit (DA1E) mAb IgG XP® Isotype Control #3900 (right).
Immunohistochemistry Image 9: ILF3 (E5H6F) Rabbit Monoclonal Antibody
Confocal immunofluorescent analysis of HeLa cells, mock transfected (left, high-expressing) or transfected with siRNA directed against ILF3 (right, low-expressing), using ILF3 (E5H6F) Rabbit mAb (green), DyLight 650 Phalloidin #12956 (red), and DAPI #4083 (blue).
Immunofluorescence Image 1: ILF3 (E5H6F) Rabbit Monoclonal Antibody
Orders: 877-616-CELL (2355) [email protected] Support: 877-678-TECH (8324) [email protected] Web: cellsignal.com
For Research Use Only. Not for Use in Diagnostic Procedures.