Revision 2

#53303

Store at -20C

CST Logo
Orders:

877-616-CELL (2355)

[email protected]

Support:

877-678-TECH (8324)

3 Trask Lane | Danvers | Massachusetts | 01923 | USA

For Research Use Only. Not for Use in Diagnostic Procedures.

Applications:
W, IHC-P

Reactivity:
H M R Hm Mk Z B Pg

Sensitivity:
Endogenous

MW (kDa):
51

Source/Isotype:
Rabbit IgG

UniProt ID:
#Q13418

Entrez-Gene Id:
3611

Product Usage Information

This product is the carrier free version of product #3856. All data were generated using the same antibody clone in the standard formulation which contains BSA and glycerol.

This formulation is ideal for use with technologies requiring specialized or custom antibody labeling, including fluorophores, metals, lanthanides, and oligonucleotides. It is not recommended for ChIP, ChIP-seq, CUT&RUN or CUT&Tag assays. If you require a carrier free formulation for chromatin profiling, please contact us. Optimal dilutions/concentrations should be determined by the end user.

BSA and Azide Free antibodies are quality control tested by size exclusion chromatography (SEC) to determine antibody integrity.

Formulation

Supplied in 1X PBS (10 mM Na2HPO4, 3 mM KCl, 2 mM KH2PO4, and 140 mM NaCl (pH 7.8)). BSA and Azide Free.

For standard formulation of this product see product #3856

Storage

Store at -20°C. This product will freeze at -20°C so it is recommended to aliquot into single-use vials to avoid multiple freeze/thaw cycles. A slight precipitate may be present and can be dissolved by gently vortexing. This will not interfere with antibody performance.

Specificity/Sensitivity

ILK1 (4G9) Rabbit Monoclonal Antibody (BSA and Azide Free) detects endogenous levels of total ILK1 protein. This antibody may cross-react with ILK2.

Source / Purification

Monoclonal antibody is produced by immunizing animals with a synthetic peptide corresponding to the carboxy terminus of human ILK1.

Background

Integrin-linked kinases (ILKs) couple integrins and growth factors to downstream pathways involved in cell survival, cell cycle control, cell-cell adhesion and cell motility (1). ILK functions as a scaffold bridging the extracellular matrix (ECM) and growth factor receptors to the actin cytoskeleton through interactions with integrin, PINCH (which links ILK to the RTKs via Nck2), CH-ILKBP and affixin (1). ILK phosphorylates Akt at Ser473, GSK-3 on Ser9, myosin light chain 2 (MLC2) on Ser18/Thr19, as well as affixin (2-5). These phosphorylation events are key regulatory steps in modulating the activities of the targets. ILK activity is stimulated by PI3 kinase and negatively regulated by the tumor suppressor PTEN and a PP2C protein phosphatase, ILKAP (1,3,6). It has been suggested that the conserved Ser343 residue in the activation loop plays a key role in the activation of ILK1 (2).

Species Reactivity

Species reactivity is determined by testing in at least one approved application (e.g., western blot).

Applications Key

W: Western Blotting IHC-P: Immunohistochemistry (Paraffin)

Cross-Reactivity Key

H: Human M: Mouse R: Rat Hm: Hamster Mk: Monkey Z: Zebrafish B: Bovine Pg: Pig

Trademarks and Patents

Cell Signaling Technology is a trademark of Cell Signaling Technology, Inc.

All other trademarks are the property of their respective owners. Visit cellsignal.com/trademarks for more information.

Limited Uses

Except as otherwise expressly agreed in a writing signed by a legally authorized representative of CST, the following terms apply to Products provided by CST, its affiliates or its distributors. Any Customer's terms and conditions that are in addition to, or different from, those contained herein, unless separately accepted in writing by a legally authorized representative of CST, are rejected and are of no force or effect.

Products are labeled with For Research Use Only or a similar labeling statement and have not been approved, cleared, or licensed by the FDA or other regulatory foreign or domestic entity, for any purpose. Customer shall not use any Product for any diagnostic or therapeutic purpose, or otherwise in any manner that conflicts with its labeling statement. Products sold or licensed by CST are provided for Customer as the end-user and solely for research and development uses. Any use of Product for diagnostic, prophylactic or therapeutic purposes, or any purchase of Product for resale (alone or as a component) or other commercial purpose, requires a separate license from CST. Customer shall (a) not sell, license, loan, donate or otherwise transfer or make available any Product to any third party, whether alone or in combination with other materials, or use the Products to manufacture any commercial products, (b) not copy, modify, reverse engineer, decompile, disassemble or otherwise attempt to discover the underlying structure or technology of the Products, or use the Products for the purpose of developing any products or services that would compete with CST products or services, (c) not alter or remove from the Products any trademarks, trade names, logos, patent or copyright notices or markings, (d) use the Products solely in accordance with CST Product Terms of Sale and any applicable documentation, and (e) comply with any license, terms of service or similar agreement with respect to any third party products or services used by Customer in connection with the Products.

Orders: 877-616-CELL (2355) [email protected] Support: 877-678-TECH (8324) [email protected] Web: cellsignal.com
For Research Use Only. Not for Use in Diagnostic Procedures.

Revision 2

Cell Signaling Technology Logo
Western blot analysis of cell extracts from various cell lines, using ILK1 (4G9) Rabbit mAb. Data were generated using the standard formulation of this product.
Western Blotting Image 1: ILK1 (4G9) Rabbit Monoclonal Antibody (BSA and Azide Free)
Western blot analysis of extracts from HeLa cells, transfected with 100 nM SignalSilence® Control siRNA (Fluorescein Conjugate) #6201 (-) or SignalSilence® ILK1 siRNA I or SignalSilence® ILK1 siRNA II (+), using ILK1 (4G9) Rabbit mAb #3856 and β-Actin Antibody #4967. ILK1 (4G9) Rabbit mAb confirms silencing of ILK1 expression and β-Actin Antibody is used to control for loading and specificity of ILK1 siRNA. Data were generated using the standard formulation of this product.
Western Blotting Image 2: ILK1 (4G9) Rabbit Monoclonal Antibody (BSA and Azide Free)
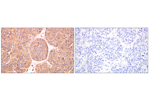
Immunohistochemical analysis of paraffin-embedded human serous papillary carcinoma of the ovary using ILK1 (4G9) Rabbit mAb (left) compared to concentration-matched Rabbit (DA1E) mAb IgG XP® Isotype Control #3900 (right). Data were generated using the standard formulation of this product.
Immunohistochemistry Image 1: ILK1 (4G9) Rabbit Monoclonal Antibody (BSA and Azide Free)
Orders: 877-616-CELL (2355) [email protected] Support: 877-678-TECH (8324) [email protected] Web: cellsignal.com
For Research Use Only. Not for Use in Diagnostic Procedures.

Revision 2

Cell Signaling Technology Logo
Immunohistochemical analysis of paraffin-embedded human colon adenocarcinoma using ILK1 (4G9) Rabbit mAb. Data were generated using the standard formulation of this product.
Immunohistochemistry Image 2: ILK1 (4G9) Rabbit Monoclonal Antibody (BSA and Azide Free)
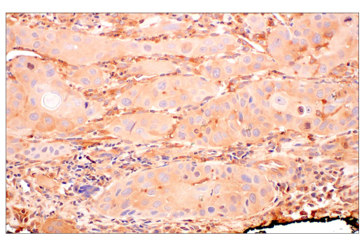
Immunohistochemical analysis of paraffin-embedded human squamous cell carcinoma of the tongue using ILK1 (4G9) Rabbit mAb. Data were generated using the standard formulation of this product.
Immunohistochemistry Image 3: ILK1 (4G9) Rabbit Monoclonal Antibody (BSA and Azide Free)
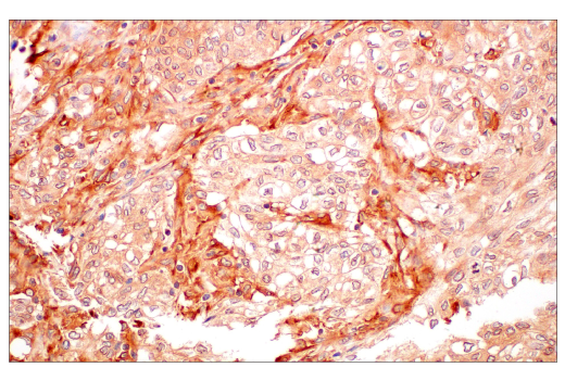
Immunohistochemical analysis of paraffin-embedded human large cell neuroendocrine lung carcinoma using ILK1 (4G9) Rabbit mAb. Data were generated using the standard formulation of this product.
Immunohistochemistry Image 4: ILK1 (4G9) Rabbit Monoclonal Antibody (BSA and Azide Free)
Orders: 877-616-CELL (2355) [email protected] Support: 877-678-TECH (8324) [email protected] Web: cellsignal.com
For Research Use Only. Not for Use in Diagnostic Procedures.

Revision 2

Cell Signaling Technology Logo
Immunohistochemical analysis of paraffin-embedded human papillary thyroid carcinoma using ILK1 (4G9) Rabbit mAb. Data were generated using the standard formulation of this product.
Immunohistochemistry Image 5: ILK1 (4G9) Rabbit Monoclonal Antibody (BSA and Azide Free)
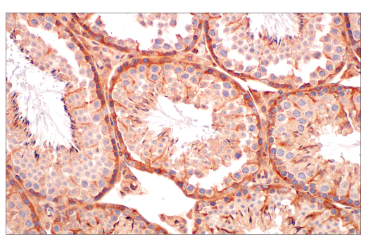
Immunohistochemical analysis of paraffin-embedded mouse testis using ILK1 (4G9) Rabbit mAb. Data were generated using the standard formulation of this product.
Immunohistochemistry Image 6: ILK1 (4G9) Rabbit Monoclonal Antibody (BSA and Azide Free)
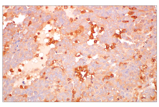
Immunohistochemical analysis of paraffin-embedded human ovarian serous adenocarcinoma using ILK1 (4G9) Rabbit mAb. Data were generated using the standard formulation of this product.
Immunohistochemistry Image 7: ILK1 (4G9) Rabbit Monoclonal Antibody (BSA and Azide Free)
Orders: 877-616-CELL (2355) [email protected] Support: 877-678-TECH (8324) [email protected] Web: cellsignal.com
For Research Use Only. Not for Use in Diagnostic Procedures.