Revision 6

#3856

Store at -20C

CST Logo
Orders:

877-616-CELL (2355)

[email protected]

Support:

877-678-TECH (8324)

3 Trask Lane | Danvers | Massachusetts | 01923 | USA

For Research Use Only. Not for Use in Diagnostic Procedures.

Applications:
W, IP, IHC-P

Reactivity:
H M R Hm Mk Z B Pg

Sensitivity:
Endogenous

MW (kDa):
51

Source/Isotype:
Rabbit IgG

UniProt ID:
#Q13418

Entrez-Gene Id:
3611

Product Usage Information

Application Dilution
Western Blotting 1:1000
Immunoprecipitation 1:50
Immunohistochemistry (Paraffin) 1:100 - 1:400

Storage

Supplied in 10 mM sodium HEPES (pH 7.5), 150 mM NaCl, 100 µg/ml BSA, 50% glycerol and less than 0.02% sodium azide. Store at –20°C. Do not aliquot the antibody.

For a carrier free (BSA and azide free) version of this product see product #53303.

Specificity/Sensitivity

ILK1 (4G9) Rabbit Monoclonal Antibody detects endogenous levels of total ILK1 protein. This antibody may cross-react with ILK2.

Source / Purification

Monoclonal antibody is produced by immunizing animals with a synthetic peptide corresponding to the carboxy terminus of human ILK1.

Background

Integrin-linked kinases (ILKs) couple integrins and growth factors to downstream pathways involved in cell survival, cell cycle control, cell-cell adhesion and cell motility (1). ILK functions as a scaffold bridging the extracellular matrix (ECM) and growth factor receptors to the actin cytoskeleton through interactions with integrin, PINCH (which links ILK to the RTKs via Nck2), CH-ILKBP and affixin (1). ILK phosphorylates Akt at Ser473, GSK-3 on Ser9, myosin light chain 2 (MLC2) on Ser18/Thr19, as well as affixin (2-5). These phosphorylation events are key regulatory steps in modulating the activities of the targets. ILK activity is stimulated by PI3 kinase and negatively regulated by the tumor suppressor PTEN and a PP2C protein phosphatase, ILKAP (1,3,6). It has been suggested that the conserved Ser343 residue in the activation loop plays a key role in the activation of ILK1 (2).

Species Reactivity

Species reactivity is determined by testing in at least one approved application (e.g., western blot).

Western Blot Buffer

IMPORTANT: For western blots, incubate membrane with diluted primary antibody in 5% w/v BSA, 1X TBS, 0.1% Tween® 20 at 4°C with gentle shaking, overnight.

Applications Key

W: Western Blotting IP: Immunoprecipitation IHC-P: Immunohistochemistry (Paraffin)

Cross-Reactivity Key

H: Human M: Mouse R: Rat Hm: Hamster Mk: Monkey Z: Zebrafish B: Bovine Pg: Pig

Trademarks and Patents

Cell Signaling Technology is a trademark of Cell Signaling Technology, Inc.

All other trademarks are the property of their respective owners. Visit cellsignal.com/trademarks for more information.

Limited Uses

Except as otherwise expressly agreed in a writing signed by a legally authorized representative of CST, the following terms apply to Products provided by CST, its affiliates or its distributors. Any Customer's terms and conditions that are in addition to, or different from, those contained herein, unless separately accepted in writing by a legally authorized representative of CST, are rejected and are of no force or effect.

Products are labeled with For Research Use Only or a similar labeling statement and have not been approved, cleared, or licensed by the FDA or other regulatory foreign or domestic entity, for any purpose. Customer shall not use any Product for any diagnostic or therapeutic purpose, or otherwise in any manner that conflicts with its labeling statement. Products sold or licensed by CST are provided for Customer as the end-user and solely for research and development uses. Any use of Product for diagnostic, prophylactic or therapeutic purposes, or any purchase of Product for resale (alone or as a component) or other commercial purpose, requires a separate license from CST. Customer shall (a) not sell, license, loan, donate or otherwise transfer or make available any Product to any third party, whether alone or in combination with other materials, or use the Products to manufacture any commercial products, (b) not copy, modify, reverse engineer, decompile, disassemble or otherwise attempt to discover the underlying structure or technology of the Products, or use the Products for the purpose of developing any products or services that would compete with CST products or services, (c) not alter or remove from the Products any trademarks, trade names, logos, patent or copyright notices or markings, (d) use the Products solely in accordance with CST Product Terms of Sale and any applicable documentation, and (e) comply with any license, terms of service or similar agreement with respect to any third party products or services used by Customer in connection with the Products.

Orders: 877-616-CELL (2355) [email protected] Support: 877-678-TECH (8324) [email protected] Web: cellsignal.com
For Research Use Only. Not for Use in Diagnostic Procedures.

Revision 6

Cell Signaling Technology Logo
Western blot analysis of cell extracts from various cell lines, using ILK1 (4G9) Rabbit mAb.
Western Blotting Image 1: ILK1 (4G9) Rabbit Monoclonal Antibody
Western blot analysis of extracts from HeLa cells, transfected with 100 nM SignalSilence® Control siRNA (Fluorescein Conjugate) (-) or SignalSilence® ILK1 siRNA I or SignalSilence® ILK1 siRNA II (+), using ILK1 (4G9) Rabbit mAb #3856 and β-Actin Antibody #4967. ILK1 (4G9) Rabbit mAb confirms silencing of ILK1 expression and β-Actin Antibody is used to control for loading and specificity of ILK1 siRNA.
Western Blotting Image 2: ILK1 (4G9) Rabbit Monoclonal Antibody
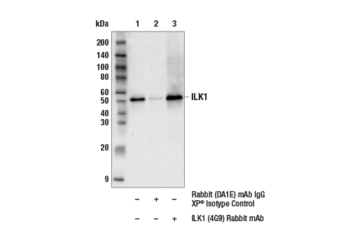
Immunoprecipitation of ILK1 from 3T3 cell extracts. Lane 1 is 10% input, lane 2 is Rabbit (DA1E) mAb IgG XP® Isotype Control #3900, and lane 3 is ILK1 (4G9) Rabbit mAb. Western blot analysis was performed using ILK1 (4G9) Rabbit mAb. Mouse Anti-rabbit IgG (Conformation Specific) (L27A9) mAb #3678 was used as a secondary antibody.
Immunoprecipitation Image 1: ILK1 (4G9) Rabbit Monoclonal Antibody
Orders: 877-616-CELL (2355) [email protected] Support: 877-678-TECH (8324) [email protected] Web: cellsignal.com
For Research Use Only. Not for Use in Diagnostic Procedures.

Revision 6

Cell Signaling Technology Logo
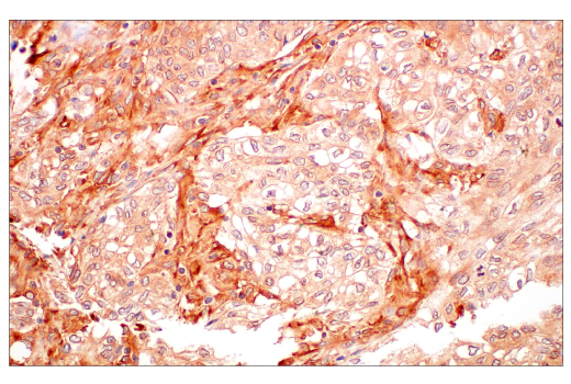
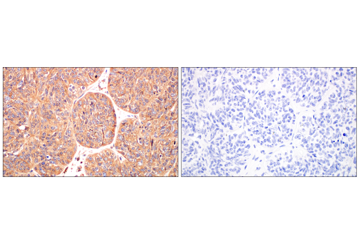
Immunohistochemical analysis of paraffin-embedded human serous papillary carcinoma of the ovary using ILK1 (4G9) Rabbit mAb (left) compared to concentration-matched Rabbit (DA1E) mAb IgG XP® Isotype Control #3900 (right).
Immunohistochemistry Image 1: ILK1 (4G9) Rabbit Monoclonal Antibody
Immunohistochemical analysis of paraffin-embedded human colon adenocarcinoma using ILK1 (4G9) Rabbit mAb.
Immunohistochemistry Image 2: ILK1 (4G9) Rabbit Monoclonal Antibody
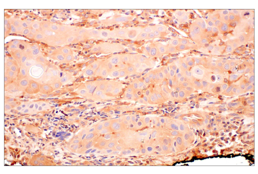
Immunohistochemical analysis of paraffin-embedded human squamous cell carcinoma of the tongue using ILK1 (4G9) Rabbit mAb.
Immunohistochemistry Image 3: ILK1 (4G9) Rabbit Monoclonal Antibody
Orders: 877-616-CELL (2355) [email protected] Support: 877-678-TECH (8324) [email protected] Web: cellsignal.com
For Research Use Only. Not for Use in Diagnostic Procedures.

Revision 6

Cell Signaling Technology Logo
Immunohistochemical analysis of paraffin-embedded human large cell neuroendocrine lung carcinoma using ILK1 (4G9) Rabbit mAb.
Immunohistochemistry Image 4: ILK1 (4G9) Rabbit Monoclonal Antibody
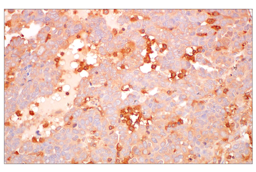
Immunohistochemical analysis of paraffin-embedded human papillary thyroid carcinoma using ILK1 (4G9) Rabbit mAb.
Immunohistochemistry Image 5: ILK1 (4G9) Rabbit Monoclonal Antibody
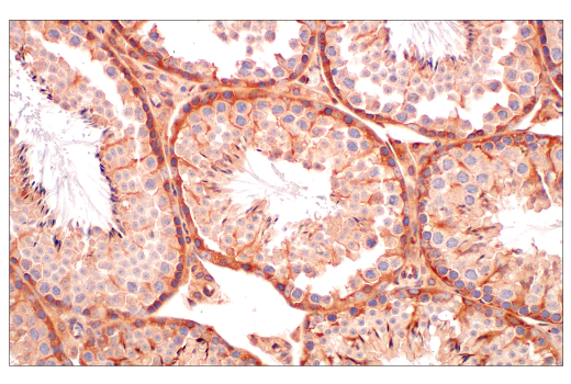
Immunohistochemical analysis of paraffin-embedded mouse testis using ILK1 (4G9) Rabbit mAb.
Immunohistochemistry Image 6: ILK1 (4G9) Rabbit Monoclonal Antibody
Orders: 877-616-CELL (2355) [email protected] Support: 877-678-TECH (8324) [email protected] Web: cellsignal.com
For Research Use Only. Not for Use in Diagnostic Procedures.

Revision 6

Cell Signaling Technology Logo
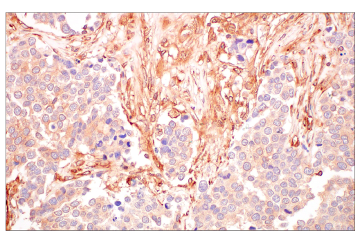
Immunohistochemical analysis of paraffin-embedded human ovarian serous adenocarcinoma using ILK1 (4G9) Rabbit mAb.
Immunohistochemistry Image 7: ILK1 (4G9) Rabbit Monoclonal Antibody
Orders: 877-616-CELL (2355) [email protected] Support: 877-678-TECH (8324) [email protected] Web: cellsignal.com
For Research Use Only. Not for Use in Diagnostic Procedures.