Revision 8

#23413

Store at -20C

CST Logo
Orders:

877-616-CELL (2355)

[email protected]

Support:

877-678-TECH (8324)

3 Trask Lane | Danvers | Massachusetts | 01923 | USA

For Research Use Only. Not for Use in Diagnostic Procedures.

Applications:
W, IP, IHC-Bond, IHC-P, IF-F, IF-IC, FC-FP

Reactivity:
H M R

Sensitivity:
Endogenous

MW (kDa):
95, 220

Source/Isotype:
Rabbit IgG

UniProt ID:
#P06213

Entrez-Gene Id:
3643

Product Usage Information

Application Dilution
Western Blotting 1:1000
Immunoprecipitation 1:100
IHC Leica Bond 1:50 - 1:200
Immunohistochemistry (Paraffin) 1:50 - 1:200
Immunofluorescence (Frozen) 1:50 - 1:200
Immunofluorescence (Immunocytochemistry) 1:50 - 1:200
Flow Cytometry (Fixed/Permeabilized) 1:50 - 1:200

Storage

Supplied in 10 mM sodium HEPES (pH 7.5), 150 mM NaCl, 100 µg/ml BSA, 50% glycerol and less than 0.02% sodium azide. Store at –20°C. Do not aliquot the antibody.

For a carrier free (BSA and azide free) version of this product see product #98649.

Specificity/Sensitivity

Insulin Receptor beta (E9L5V) Rabbit Monoclonal Antibody recognizes endogenous levels of total insulin receptor β. The 50 kDa band(s) seen on western blot is a probable partial degradation product of insulin receptor β.

Source / Purification

Monoclonal antibody is produced by immunizing animals with a synthetic peptide corresponding to residues surrounding Leu1374 of human insulin receptor.

Background

Insulin receptor (InsR) is a heterodimeric membrane receptor tyrosine kinase. It is composed of an extracellular α-subunit containing the ligand binding domain, a β-subunit containing an extracellular domain, a transmembrane domain, and a cytoplasmic tyrosine kinase domain (1). Binding of insulin to InsR results in receptor autophosphorylation and subsequent tyrosine kinase activation (2). This provides a docking site for various adaptor molecules, including insulin receptor substrate (IRS), Gab, and Shc, phosphorylation of which promotes subsequent activation of multiple downstream signaling pathways, including MAPK, PI3K, and TC10 (3,4). These events lead to increased glucose uptake and metabolism, and can promote cell growth. Loss-of-function mutation or desensitization of the InsR are two major contributors to insulin resistance and Type 2 diabetes (5).

Species Reactivity

Species reactivity is determined by testing in at least one approved application (e.g., western blot).

Western Blot Buffer

IMPORTANT: For western blots, incubate membrane with diluted primary antibody in 5% w/v BSA, 1X TBS, 0.1% Tween® 20 at 4°C with gentle shaking, overnight.

Applications Key

W: Western Blotting IP: Immunoprecipitation IHC-Bond: IHC Leica Bond IHC-P: Immunohistochemistry (Paraffin) IF-F: Immunofluorescence (Frozen) IF-IC: Immunofluorescence (Immunocytochemistry) FC-FP: Flow Cytometry (Fixed/Permeabilized)

Cross-Reactivity Key

H: Human M: Mouse R: Rat

Trademarks and Patents

Cell Signaling Technology is a trademark of Cell Signaling Technology, Inc.

Alexa Fluor is a registered trademark of Life Technologies Corporation.

All other trademarks are the property of their respective owners. Visit cellsignal.com/trademarks for more information.

Limited Uses

Except as otherwise expressly agreed in a writing signed by a legally authorized representative of CST, the following terms apply to Products provided by CST, its affiliates or its distributors. Any Customer's terms and conditions that are in addition to, or different from, those contained herein, unless separately accepted in writing by a legally authorized representative of CST, are rejected and are of no force or effect.

Products are labeled with For Research Use Only or a similar labeling statement and have not been approved, cleared, or licensed by the FDA or other regulatory foreign or domestic entity, for any purpose. Customer shall not use any Product for any diagnostic or therapeutic purpose, or otherwise in any manner that conflicts with its labeling statement. Products sold or licensed by CST are provided for Customer as the end-user and solely for research and development uses. Any use of Product for diagnostic, prophylactic or therapeutic purposes, or any purchase of Product for resale (alone or as a component) or other commercial purpose, requires a separate license from CST. Customer shall (a) not sell, license, loan, donate or otherwise transfer or make available any Product to any third party, whether alone or in combination with other materials, or use the Products to manufacture any commercial products, (b) not copy, modify, reverse engineer, decompile, disassemble or otherwise attempt to discover the underlying structure or technology of the Products, or use the Products for the purpose of developing any products or services that would compete with CST products or services, (c) not alter or remove from the Products any trademarks, trade names, logos, patent or copyright notices or markings, (d) use the Products solely in accordance with CST Product Terms of Sale and any applicable documentation, and (e) comply with any license, terms of service or similar agreement with respect to any third party products or services used by Customer in connection with the Products.

Orders: 877-616-CELL (2355) [email protected] Support: 877-678-TECH (8324) [email protected] Web: cellsignal.com
For Research Use Only. Not for Use in Diagnostic Procedures.

Revision 8

Cell Signaling Technology Logo
Western blot analysis of extracts from various cell lines and tissues using Insulin Receptor β (E9L5V) XP® Rabbit mAb (upper) and β-Actin (D6A8) Rabbit mAb #8457 (lower).
Western Blotting Image 1: Insulin Receptor beta (E9L5V) Rabbit Monoclonal Antibody
Western blot analysis of extracts from RL and U266 cells using Insulin Receptor β (E9L5V) XP® Rabbit mAb (upper) and β-Actin (D6A8) Rabbit mAb #8457 (lower).
Western Blotting Image 2: Insulin Receptor beta (E9L5V) Rabbit Monoclonal Antibody
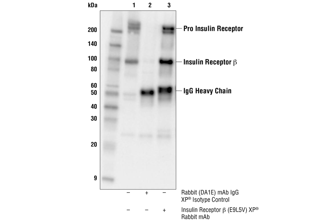
Immunoprecipitation of insulin receptor protein from HCC1419 cell extracts. Lane 1 is 10% input, lane 2 is Rabbit (DA1E) mAb IgG XP® Isotype Control #3900, and lane 3 is Insulin Receptor β (E9L5V) XP® Rabbit mAb. Western blot analysis was performed using Insulin Receptor β (E9L5V) XP® Rabbit mAb. Anti-rabbit IgG, HRP-linked Antibody #7074 was used as a secondary antibody.
Immunoprecipitation Image 1: Insulin Receptor beta (E9L5V) Rabbit Monoclonal Antibody
Orders: 877-616-CELL (2355) [email protected] Support: 877-678-TECH (8324) [email protected] Web: cellsignal.com
For Research Use Only. Not for Use in Diagnostic Procedures.

Revision 8

Cell Signaling Technology Logo
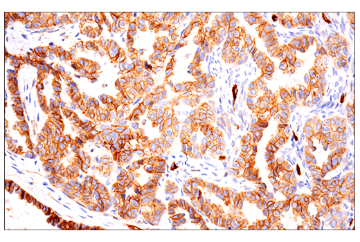
Immunohistochemical analysis of paraffin-embedded human colon adenocarcinoma using Insulin Receptor β (E9L5V) XP® Rabbit mAb performed on the Leica® BOND™ Rx.
Immunohistochemistry Image 1: Insulin Receptor beta (E9L5V) Rabbit Monoclonal Antibody
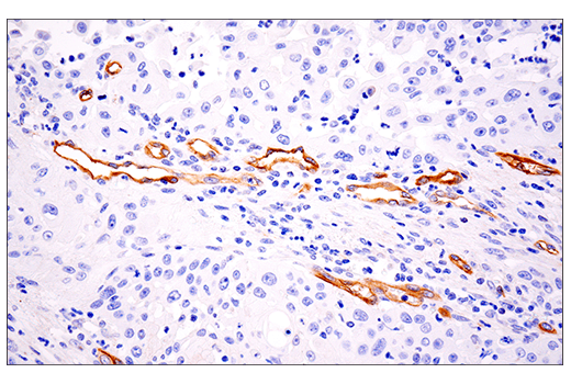
Immunohistochemical analysis of paraffin-embedded human ovarian clear cell carcinoma using Insulin Receptor β (E9L5V) XP® Rabbit mAb performed on the Leica® BOND™ Rx.
Immunohistochemistry Image 2: Insulin Receptor beta (E9L5V) Rabbit Monoclonal Antibody
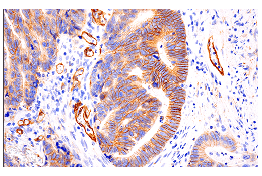
Immunohistochemical analysis of paraffin-embedded human prostate adenocarcinoma using Insulin Receptor β (E9L5V) XP® Rabbit mAb performed on the Leica® BOND™ Rx.
Immunohistochemistry Image 3: Insulin Receptor beta (E9L5V) Rabbit Monoclonal Antibody
Orders: 877-616-CELL (2355) [email protected] Support: 877-678-TECH (8324) [email protected] Web: cellsignal.com
For Research Use Only. Not for Use in Diagnostic Procedures.

Revision 8

Cell Signaling Technology Logo
Immunohistochemical analysis of paraffin-embedded Hep 3B2.1-7 cell pellet (left, positive) or HT-1080 cell pellet (right, negative) using Insulin Receptor β (E9L5V) XP® Rabbit mAb.
Immunohistochemistry Image 1: Insulin Receptor beta (E9L5V) Rabbit Monoclonal Antibody
Immunohistochemical analysis of paraffin-embedded human mucoepidermoid carcinoma of the larynx using Insulin Receptor β (E9L5V) XP® Rabbit mAb.
Immunohistochemistry Image 2: Insulin Receptor beta (E9L5V) Rabbit Monoclonal Antibody
Immunohistochemical analysis of paraffin-embedded human squamous cell lung carcinoma using Insulin Receptor β (E9L5V) XP® Rabbit mAb (left) compared to concentration-matched Rabbit (DA1E) mAb IgG XP® Isotype Control #3900 (right).
Immunohistochemistry Image 3: Insulin Receptor beta (E9L5V) Rabbit Monoclonal Antibody
Orders: 877-616-CELL (2355) [email protected] Support: 877-678-TECH (8324) [email protected] Web: cellsignal.com
For Research Use Only. Not for Use in Diagnostic Procedures.

Revision 8

Cell Signaling Technology Logo
Immunohistochemical analysis of paraffin-embedded human non-Hodgkin's lymphoma using Insulin Receptor β (E9L5V) XP® Rabbit mAb.
Immunohistochemistry Image 4: Insulin Receptor beta (E9L5V) Rabbit Monoclonal Antibody
Immunohistochemical analysis of paraffin-embedded mouse small intestine using Insulin Receptor β (E9L5V) XP® Rabbit mAb.
Immunohistochemistry Image 5: Insulin Receptor beta (E9L5V) Rabbit Monoclonal Antibody
Confocal immunofluorescent analysis of fixed frozen mouse liver labeled with Insulin Receptor β (E9L5V) XP® Rabbit mAb (left, green) and co-labeled with DyLight™ 650 Phalloidin #12956 (right, red), and DAPI #4083 (right, blue).
Immunofluorescence Image 1: Insulin Receptor beta (E9L5V) Rabbit Monoclonal Antibody
Orders: 877-616-CELL (2355) [email protected] Support: 877-678-TECH (8324) [email protected] Web: cellsignal.com
For Research Use Only. Not for Use in Diagnostic Procedures.

Revision 8

Cell Signaling Technology Logo
Confocal immunofluorescent analysis of HCC1419 cells (left, positive) or HT-1080 cells (right, negative) using Insulin Receptor β (E9L5V) XP® Rabbit mAb (green). Actin filaments were labeled with DyLight™ 554 Phalloidin #13054 (red). Samples were mounted in ProLong® Gold Antifade Reagent with DAPI #8961 (blue).
Immunofluorescence Image 1: Insulin Receptor beta (E9L5V) Rabbit Monoclonal Antibody
Flow cytometric analysis of fixed/permeabilized RL cells (blue) and U266B1 cells (green) using Insulin Receptor β (E9L5V) Rabbit Monoclonal Antibody (solid lines) or concentration-matched Rabbit (DA1E) Monoclonal Antibody IgG Isotype Control #3900 (dashed lines). Anti-rabbit IgG (H+L), F(ab')2 Fragment (Alexa Fluor® 488 Conjugate) #4412 was used as a secondary antibody.
Flow Cytometry Image 1: Insulin Receptor beta (E9L5V) Rabbit Monoclonal Antibody
Orders: 877-616-CELL (2355) [email protected] Support: 877-678-TECH (8324) [email protected] Web: cellsignal.com
For Research Use Only. Not for Use in Diagnostic Procedures.