Revision 7

#15574

Store at -20C

CST Logo
Orders:

877-616-CELL (2355)

[email protected]

Support:

877-678-TECH (8324)

3 Trask Lane | Danvers | Massachusetts | 01923 | USA

For Research Use Only. Not for Use in Diagnostic Procedures.

Applications:
W, IHC-Bond, IHC-P

Reactivity:
H

Sensitivity:
Endogenous

MW (kDa):
200

Source/Isotype:
Rabbit IgG

UniProt ID:
#P56199

Entrez-Gene Id:
3672

Product Usage Information

Application Dilution
Western Blotting 1:1000
IHC Leica Bond 1:100 - 1:400
Immunohistochemistry (Paraffin) 1:50 - 1:200

Storage

Supplied in 10 mM sodium HEPES (pH 7.5), 150 mM NaCl, 100 µg/mL BSA, 50% glycerol, and less than 0.02% sodium azide. Store at –20°C. Do not aliquot the antibody.

For a carrier free (BSA and azide free) version of this product see product #93908.

Specificity/Sensitivity

Integrin alpha1/CD49a (E9K2J) Rabbit Monoclonal Antibody recognizes endogenous levels of total integrin α1/CD49a protein. Non-specific staining of mucin was observed by immunohistochemistry.

Source / Purification

Monoclonal antibody is produced by immunizing animals with recombinant protein specific to the amino terminus of human integrin α1/CD49a protein.

Background

Integrins are α/β heterodimeric cell surface receptors that play a pivotal role in cell adhesion and migration, as well as in growth and survival (1,2). The integrin family contains at least 18 α and 8 β subunits that form 24 known integrins with distinct tissue distribution and overlapping ligand specificities (3). Integrins not only transmit signals to cells in response to the extracellular environment (outside-in signaling), but also sense intracellular cues to alter their interaction with the extracellular environment (inside-out signaling) (1,2).

Integrin α1 (CD49a, VLA-1, ITGA1) pairs with integrin β1 to form an α1β1 dimer on the cell surface. This integrin dimer plays important roles in colorectal cancer and pancreatic cancer cell proliferation, migration, and metastasis (4-6). The cytoplasmic tail of integrin α1 activates ERK and FAK/Src signaling to promote these biological processes (7,8). In immune systems, integrin α1 expression defines a tissue-resident cytotoxic T cell population contributing to both cancer immunity and vitiligo, an autoimmune disease (9,10).

Species Reactivity

Species reactivity is determined by testing in at least one approved application (e.g., western blot).

Western Blot Buffer

IMPORTANT: For western blots, incubate membrane with diluted primary antibody in 5% w/v BSA, 1X TBS, 0.1% Tween® 20 at 4°C with gentle shaking, overnight.

Applications Key

W: Western Blotting IHC-Bond: IHC Leica Bond IHC-P: Immunohistochemistry (Paraffin)

Cross-Reactivity Key

H: Human

Trademarks and Patents

Cell Signaling Technology is a trademark of Cell Signaling Technology, Inc.

SignalStain is a registered trademark of Cell Signaling Technology, Inc.

All other trademarks are the property of their respective owners. Visit cellsignal.com/trademarks for more information.

Limited Uses

Except as otherwise expressly agreed in a writing signed by a legally authorized representative of CST, the following terms apply to Products provided by CST, its affiliates or its distributors. Any Customer's terms and conditions that are in addition to, or different from, those contained herein, unless separately accepted in writing by a legally authorized representative of CST, are rejected and are of no force or effect.

Products are labeled with For Research Use Only or a similar labeling statement and have not been approved, cleared, or licensed by the FDA or other regulatory foreign or domestic entity, for any purpose. Customer shall not use any Product for any diagnostic or therapeutic purpose, or otherwise in any manner that conflicts with its labeling statement. Products sold or licensed by CST are provided for Customer as the end-user and solely for research and development uses. Any use of Product for diagnostic, prophylactic or therapeutic purposes, or any purchase of Product for resale (alone or as a component) or other commercial purpose, requires a separate license from CST. Customer shall (a) not sell, license, loan, donate or otherwise transfer or make available any Product to any third party, whether alone or in combination with other materials, or use the Products to manufacture any commercial products, (b) not copy, modify, reverse engineer, decompile, disassemble or otherwise attempt to discover the underlying structure or technology of the Products, or use the Products for the purpose of developing any products or services that would compete with CST products or services, (c) not alter or remove from the Products any trademarks, trade names, logos, patent or copyright notices or markings, (d) use the Products solely in accordance with CST Product Terms of Sale and any applicable documentation, and (e) comply with any license, terms of service or similar agreement with respect to any third party products or services used by Customer in connection with the Products.

Orders: 877-616-CELL (2355) [email protected] Support: 877-678-TECH (8324) [email protected] Web: cellsignal.com
For Research Use Only. Not for Use in Diagnostic Procedures.

Revision 7

Cell Signaling Technology Logo
Western blot analysis of extracts from various cell lines using Integrin α1/CD49a (E9K2J) XP® Rabbit mAb (upper) or GAPDH (D16H11) XP® Rabbit mAb #5174 (lower). Negative expression of integrin α1/CD49a protein in AsPC-1 cells is consistent with the predicted expression pattern.
Western Blotting Image 1: Integrin alpha1/CD49a (E9K2J) Rabbit Monoclonal Antibody
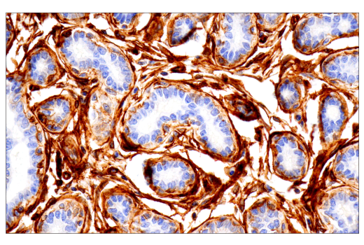
Immunohistochemical analysis of paraffin-embedded human urothelial carcinoma using Integrin α1/CD49a (E9K2J) XP® Rabbit mAb performed on the Leica® BOND™ Rx.
Immunohistochemistry Image 1: Integrin alpha1/CD49a (E9K2J) Rabbit Monoclonal Antibody
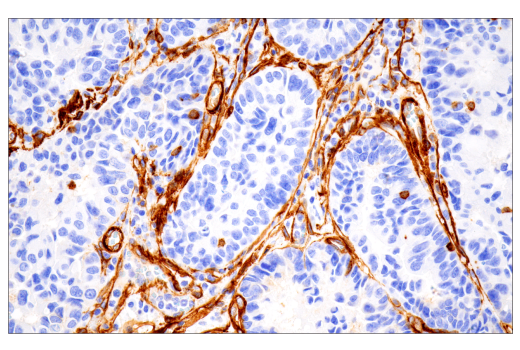
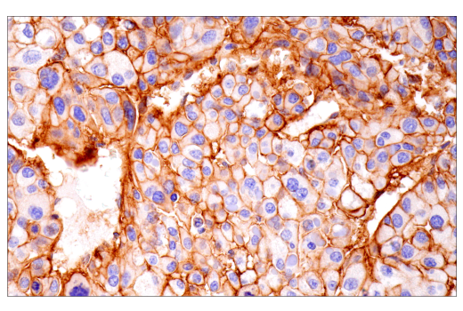
Immunohistochemical analysis of paraffin-embedded human invasive mammary carcinoma using Integrin α1/CD49a (E9K2J) XP® Rabbit mAb performed on the Leica® BOND™ Rx.
Immunohistochemistry Image 2: Integrin alpha1/CD49a (E9K2J) Rabbit Monoclonal Antibody
Orders: 877-616-CELL (2355) [email protected] Support: 877-678-TECH (8324) [email protected] Web: cellsignal.com
For Research Use Only. Not for Use in Diagnostic Procedures.

Revision 7

Cell Signaling Technology Logo
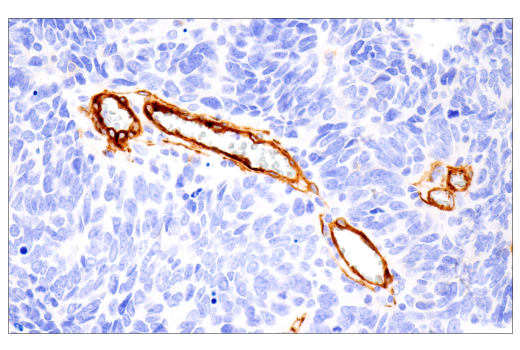
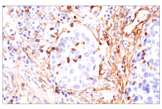
Immunohistochemical analysis of paraffin-embedded human small cell carcinoma of the salivary gland using Integrin α1/CD49a (E9K2J) XP® Rabbit mAb performed on the Leica® BOND™ Rx.
Immunohistochemistry Image 3: Integrin alpha1/CD49a (E9K2J) Rabbit Monoclonal Antibody
Immunohistochemical analysis of paraffin-embedded human prostate carcinoma using Integrin α1/CD49a (E9K2J) XP® Rabbit mAb performed on the Leica® BOND™ Rx.
Immunohistochemistry Image 4: Integrin alpha1/CD49a (E9K2J) Rabbit Monoclonal Antibody
Immunohistochemical analysis of paraffin-embedded human non-Hodgkin lymphoma using Integrin α1/CD49a (E9K2J) XP® Rabbit mAb.
Immunohistochemistry Image 1: Integrin alpha1/CD49a (E9K2J) Rabbit Monoclonal Antibody
Orders: 877-616-CELL (2355) [email protected] Support: 877-678-TECH (8324) [email protected] Web: cellsignal.com
For Research Use Only. Not for Use in Diagnostic Procedures.

Revision 7

Cell Signaling Technology Logo
Immunohistochemical analysis of paraffin-embedded human endometrioid adenocarcinoma using Integrin α1/CD49a (E9K2J) XP® Rabbit mAb.
Immunohistochemistry Image 2: Integrin alpha1/CD49a (E9K2J) Rabbit Monoclonal Antibody
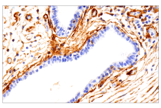
Immunohistochemical analysis of paraffin-embedded human neuroendocrine lung carcinoma using Integrin α1/CD49a (E9K2J) XP® Rabbit mAb.
Immunohistochemistry Image 3: Integrin alpha1/CD49a (E9K2J) Rabbit Monoclonal Antibody
Immunohistochemical analysis of paraffin-embedded human hepatocellular carcinoma using Integrin α1/CD49a (E9K2J) XP® Rabbit mAb.
Immunohistochemistry Image 4: Integrin alpha1/CD49a (E9K2J) Rabbit Monoclonal Antibody
Orders: 877-616-CELL (2355) [email protected] Support: 877-678-TECH (8324) [email protected] Web: cellsignal.com
For Research Use Only. Not for Use in Diagnostic Procedures.

Revision 7

Cell Signaling Technology Logo
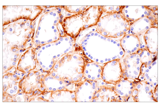
Immunohistochemical analysis of paraffin-embedded normal human kidney using Integrin α1/CD49a (E9K2J) XP® Rabbit mAb.
Immunohistochemistry Image 5: Integrin alpha1/CD49a (E9K2J) Rabbit Monoclonal Antibody
Immunohistochemical analysis of paraffin-embedded normal human esophagus using Integrin α1/CD49a (E9K2J) XP® Rabbit mAb.
Immunohistochemistry Image 6: Integrin alpha1/CD49a (E9K2J) Rabbit Monoclonal Antibody
Immunohistochemical analysis of paraffin-embedded normal human placenta (left), colon carcinoma (middle), or gastrointestinal stromal tumor (right) using Integrin α1/CD49a (E9K2J) XP® Rabbit mAb (top) or an Integrin α1/CD49a MmAb (bottom). These two antibodies detect unique, non-overlapping epitopes on human integrin α1/CD49a. The similar staining patterns obtained with both antibodies help to confirm the specificity of the staining.
Immunohistochemistry Image 7: Integrin alpha1/CD49a (E9K2J) Rabbit Monoclonal Antibody
Orders: 877-616-CELL (2355) [email protected] Support: 877-678-TECH (8324) [email protected] Web: cellsignal.com
For Research Use Only. Not for Use in Diagnostic Procedures.

Revision 7

Cell Signaling Technology Logo
Immunohistochemical analysis of paraffin-embedded human non-small cell lung carcinoma using Integrin α1/CD49a (E9K2J) XP® Rabbit mAb (left) compared to concentration-matched Rabbit (DA1E) mAb IgG XP® Isotype Control #3900 (right). 
Immunohistochemistry Image 8: Integrin alpha1/CD49a (E9K2J) Rabbit Monoclonal Antibody
Immunohistochemical analysis of paraffin-embedded AsPC-1 cell pellet (left, negative), 293T cell pellet, untransfected (middle, low-expressing), or integrin α1/CD49a-transfected (right, high-expressing) using Integrin α1/CD49a (E9K2J) XP® Rabbit mAb.
Immunohistochemistry Image 9: Integrin alpha1/CD49a (E9K2J) Rabbit Monoclonal Antibody
Orders: 877-616-CELL (2355) [email protected] Support: 877-678-TECH (8324) [email protected] Web: cellsignal.com
For Research Use Only. Not for Use in Diagnostic Procedures.