Revision 5

#72607

Store at -20C

CST Logo
Orders:

877-616-CELL (2355)

[email protected]

Support:

877-678-TECH (8324)

3 Trask Lane | Danvers | Massachusetts | 01923 | USA

For Research Use Only. Not for Use in Diagnostic Procedures.

Applications:
W, IHC-P

Reactivity:
M

Sensitivity:
Endogenous

MW (kDa):
95

Source/Isotype:
Rabbit IgG

UniProt ID:
#P11835

Entrez-Gene Id:
16414

Product Usage Information

Application Dilution
Western Blotting 1:1000
Immunohistochemistry (Paraffin) 1:50 - 1:200

Storage

Supplied in 10 mM sodium HEPES (pH 7.5), 150 mM NaCl, 100 µg/ml BSA, 50% glycerol and less than 0.02% sodium azide. Store at –20°C. Do not aliquot the antibody.

For a carrier free (BSA and azide free) version of this product see product #49893.

Specificity/Sensitivity

Integrin beta2 (E9O7W) Rabbit Monoclonal Antibody recognizes endogenous levels of total mouse Integrin β2 protein. This antibody does not cross-react with human Integrin β2 protein.

Source / Purification

Monoclonal antibody is produced by immunizing animals with a synthetic peptide corresponding to residues surrounding Ser84 of mouse Integrin β2 protein.

Background

Integrins are transmembrane glycoproteins that form heterodimers consisting of one α and one β subunit. Integrin dimers act as receptors for extracellular matrix proteins and cell-surface ligands. Integrin signaling to (inside-out) and from (outside-in) extracellular molecules regulates multiple cellular processes, such as development, wound healing, immune response, invasion, metastasis, and angiogenesis (1,2). Integrin β2 (CD18) is the β subunit of the leukocyte-specific integrin family. Leukocyte integrins include Integrin β2 (CD18)/αL (CD11a) (LFA-1, lymphocyte function associated antigen 1), Integrin β2 (CD18)/αM (CD11b) (Mac-1), Integrin β2 (CD18)/αX (CD11c), and Integrin β2 (CD18)/αD (CD11d). These integrins bind to immunoglobulin superfamily members, such as ICAM-1 and VCAM-1 on endothelial cells, to mediate firm adhesion and transendothelial migration of leukocytes (3). Integrin β2 (CD18) deficiency results in LAD (leukocyte adhesion deficiency), a disease characterized by impairment of leukocyte recruitment, resulting in an inability to fight infection (4).

Species Reactivity

Species reactivity is determined by testing in at least one approved application (e.g., western blot).

Western Blot Buffer

IMPORTANT: For western blots, incubate membrane with diluted primary antibody in 5% w/v BSA, 1X TBS, 0.1% Tween® 20 at 4°C with gentle shaking, overnight.

Applications Key

W: Western Blotting IHC-P: Immunohistochemistry (Paraffin)

Cross-Reactivity Key

M: Mouse

Trademarks and Patents

Cell Signaling Technology is a trademark of Cell Signaling Technology, Inc.

SignalStain is a registered trademark of Cell Signaling Technology, Inc.

All other trademarks are the property of their respective owners. Visit cellsignal.com/trademarks for more information.

Limited Uses

Except as otherwise expressly agreed in a writing signed by a legally authorized representative of CST, the following terms apply to Products provided by CST, its affiliates or its distributors. Any Customer's terms and conditions that are in addition to, or different from, those contained herein, unless separately accepted in writing by a legally authorized representative of CST, are rejected and are of no force or effect.

Products are labeled with For Research Use Only or a similar labeling statement and have not been approved, cleared, or licensed by the FDA or other regulatory foreign or domestic entity, for any purpose. Customer shall not use any Product for any diagnostic or therapeutic purpose, or otherwise in any manner that conflicts with its labeling statement. Products sold or licensed by CST are provided for Customer as the end-user and solely for research and development uses. Any use of Product for diagnostic, prophylactic or therapeutic purposes, or any purchase of Product for resale (alone or as a component) or other commercial purpose, requires a separate license from CST. Customer shall (a) not sell, license, loan, donate or otherwise transfer or make available any Product to any third party, whether alone or in combination with other materials, or use the Products to manufacture any commercial products, (b) not copy, modify, reverse engineer, decompile, disassemble or otherwise attempt to discover the underlying structure or technology of the Products, or use the Products for the purpose of developing any products or services that would compete with CST products or services, (c) not alter or remove from the Products any trademarks, trade names, logos, patent or copyright notices or markings, (d) use the Products solely in accordance with CST Product Terms of Sale and any applicable documentation, and (e) comply with any license, terms of service or similar agreement with respect to any third party products or services used by Customer in connection with the Products.

Orders: 877-616-CELL (2355) [email protected] Support: 877-678-TECH (8324) [email protected] Web: cellsignal.com
For Research Use Only. Not for Use in Diagnostic Procedures.

Revision 5

Cell Signaling Technology Logo
Western blot analysis of extracts from mouse bone marrow-derived macrophages (BMDM) and various cell lines using Integrin β2 (E9O7W) Rabbit mAb (upper) and GAPDH (D16H11) XP® Rabbit mAb #5174 (lower).
Western Blotting Image 1: Integrin beta2 (E9O7W) Rabbit Monoclonal Antibody
Immunohistochemical analysis of paraffin-embedded RAW 264.7 cell pellet (left, positive) or Neuro-2a cell pellet (right, negative) using Integrin β2 (E9O7W) Rabbit mAb.
Immunohistochemistry Image 1: Integrin beta2 (E9O7W) Rabbit Monoclonal Antibody
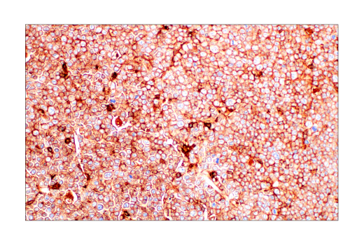
Immunohistochemical analysis of paraffin-embedded A20 syngeneic tumor using Integrin β2 (E9O7W) Rabbit mAb.
Immunohistochemistry Image 2: Integrin beta2 (E9O7W) Rabbit Monoclonal Antibody
Orders: 877-616-CELL (2355) [email protected] Support: 877-678-TECH (8324) [email protected] Web: cellsignal.com
For Research Use Only. Not for Use in Diagnostic Procedures.

Revision 5

Cell Signaling Technology Logo
Immunohistochemical analysis of paraffin-embedded GL261 syngeneic tumor using Integrin β2 (E9O7W) Rabbit mAb.
Immunohistochemistry Image 3: Integrin beta2 (E9O7W) Rabbit Monoclonal Antibody
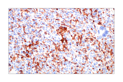
Immunohistochemical analysis of paraffin-embedded mouse lung using Integrin β2 (E9O7W) Rabbit mAb.
Immunohistochemistry Image 4: Integrin beta2 (E9O7W) Rabbit Monoclonal Antibody
Immunohistochemical analysis of paraffin-embedded mouse brain using Integrin β2 (E9O7W) Rabbit mAb.
Immunohistochemistry Image 5: Integrin beta2 (E9O7W) Rabbit Monoclonal Antibody
Orders: 877-616-CELL (2355) [email protected] Support: 877-678-TECH (8324) [email protected] Web: cellsignal.com
For Research Use Only. Not for Use in Diagnostic Procedures.

Revision 5

Cell Signaling Technology Logo
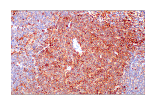
Immunohistochemical analysis of paraffin-embedded Renca syngeneic tumor using Integrin β2 (E9O7W) Rabbit mAb.
Immunohistochemistry Image 6: Integrin beta2 (E9O7W) Rabbit Monoclonal Antibody
Immunohistochemical analysis of paraffin-embedded mouse spleen using Integrin β2 (E9O7W) Rabbit mAb.
Immunohistochemistry Image 7: Integrin beta2 (E9O7W) Rabbit Monoclonal Antibody
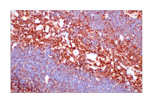
Immunohistochemical analysis of paraffin-embedded mouse thymus using Integrin β2 (E9O7W) Rabbit mAb.
Immunohistochemistry Image 8: Integrin beta2 (E9O7W) Rabbit Monoclonal Antibody
Orders: 877-616-CELL (2355) [email protected] Support: 877-678-TECH (8324) [email protected] Web: cellsignal.com
For Research Use Only. Not for Use in Diagnostic Procedures.

Revision 5

Cell Signaling Technology Logo
Immunohistochemical analysis of paraffin-embedded mouse liver using Integrin β2 (E9O7W) Rabbit mAb (left) compared to concentration-matched Rabbit (DA1E) mAb IgG XP® Isotype Control #3900 (right).
Immunohistochemistry Image 9: Integrin beta2 (E9O7W) Rabbit Monoclonal Antibody
Orders: 877-616-CELL (2355) [email protected] Support: 877-678-TECH (8324) [email protected] Web: cellsignal.com
For Research Use Only. Not for Use in Diagnostic Procedures.