Revision 6

#95153

Store at -20C

CST Logo
Orders:

877-616-CELL (2355)

[email protected]

Support:

877-678-TECH (8324)

3 Trask Lane | Danvers | Massachusetts | 01923 | USA

For Research Use Only. Not for Use in Diagnostic Procedures.

Applications:
W, IHC-Bond, IHC-P, IF-IC

Reactivity:
H

Sensitivity:
Endogenous

MW (kDa):
105

Source/Isotype:
Rabbit IgG

UniProt ID:
#P18564

Entrez-Gene Id:
3694

Product Usage Information

Application Dilution
Western Blotting 1:1000
IHC Leica Bond 1:50 - 1:200
Immunohistochemistry (Paraffin) 1:100 - 1:400
Immunofluorescence (Immunocytochemistry) 1:3200 - 1:12800

Storage

Supplied in 10 mM sodium HEPES (pH 7.5), 150 mM NaCl, 100 µg/mL BSA, 50% glycerol, and less than 0.02% sodium azide. Store at –20°C. Do not aliquot the antibody.

For a carrier free (BSA and azide free) version of this product see product #52976.

Specificity/Sensitivity

Integrin beta6 (E4M9P) Rabbit Monoclonal Antibody recognizes endogenous levels of total integrin β6 protein.

Source / Purification

Monoclonal antibody is produced by immunizing animals with a synthetic peptide corresponding to residues near the amino terminus of human integrin β6 protein.

Background

Integrins are α/β heterodimeric cell surface receptors that play a pivotal role in cell adhesion and migration, as well as in growth and survival (1,2). The integrin family contains at least 18 α and eight β subunits that form 24 known integrins with distinct tissue distribution and overlapping ligand specificities (3). Integrins not only transmit signals to cells in response to the extracellular environment (outside-in signaling) but also sense intracellular cues to alter their interaction with the extracellular environment (inside-out signaling) (1,2).

The avβ6 subunit was identified in epithelial cells and interacts with the fibronectin receptor integrin α5 (3,4). It is expressed during development, but expression becomes repressed in adulthood (5). It is involved in wound healing, fibrosis, pulmonary fibrosis in particular, and tumorigenesis (6-8). When the dimer is unregulated in the membrane in response to injury, the integrin β6 subunit binds directly to an RGD motif present in fibronectin and TGF-β, both present in the extracellular matrix. Integrin β6 cleaves and binds the LAP fragment of latent TGF-β, thereby releasing active TGF-β into the ECM to activate myofibroblasts, which consequently mediate ECM remodeling (6-8).

Species Reactivity

Species reactivity is determined by testing in at least one approved application (e.g., western blot).

Western Blot Buffer

IMPORTANT: For western blots, incubate membrane with diluted primary antibody in 5% w/v BSA, 1X TBS, 0.1% Tween® 20 at 4°C with gentle shaking, overnight.

Applications Key

W: Western Blotting IHC-Bond: IHC Leica Bond IHC-P: Immunohistochemistry (Paraffin) IF-IC: Immunofluorescence (Immunocytochemistry)

Cross-Reactivity Key

H: Human

Trademarks and Patents

Cell Signaling Technology is a trademark of Cell Signaling Technology, Inc.

All other trademarks are the property of their respective owners. Visit cellsignal.com/trademarks for more information.

Limited Uses

Except as otherwise expressly agreed in a writing signed by a legally authorized representative of CST, the following terms apply to Products provided by CST, its affiliates or its distributors. Any Customer's terms and conditions that are in addition to, or different from, those contained herein, unless separately accepted in writing by a legally authorized representative of CST, are rejected and are of no force or effect.

Products are labeled with For Research Use Only or a similar labeling statement and have not been approved, cleared, or licensed by the FDA or other regulatory foreign or domestic entity, for any purpose. Customer shall not use any Product for any diagnostic or therapeutic purpose, or otherwise in any manner that conflicts with its labeling statement. Products sold or licensed by CST are provided for Customer as the end-user and solely for research and development uses. Any use of Product for diagnostic, prophylactic or therapeutic purposes, or any purchase of Product for resale (alone or as a component) or other commercial purpose, requires a separate license from CST. Customer shall (a) not sell, license, loan, donate or otherwise transfer or make available any Product to any third party, whether alone or in combination with other materials, or use the Products to manufacture any commercial products, (b) not copy, modify, reverse engineer, decompile, disassemble or otherwise attempt to discover the underlying structure or technology of the Products, or use the Products for the purpose of developing any products or services that would compete with CST products or services, (c) not alter or remove from the Products any trademarks, trade names, logos, patent or copyright notices or markings, (d) use the Products solely in accordance with CST Product Terms of Sale and any applicable documentation, and (e) comply with any license, terms of service or similar agreement with respect to any third party products or services used by Customer in connection with the Products.

Orders: 877-616-CELL (2355) [email protected] Support: 877-678-TECH (8324) [email protected] Web: cellsignal.com
For Research Use Only. Not for Use in Diagnostic Procedures.

Revision 6

Cell Signaling Technology Logo
Western blot analysis of extracts from Capan-2 and MDA-MB-157 cells using Integrin β6 (E4M9P) XP® Rabbit mAb (upper) or β-Actin (D6A8) Rabbit mAb #8457 (lower). Low or negative expression of integrin β6 protein in MDA-MB-157 cells is consistent with the predicted expression pattern.
Western Blotting Image 1: Integrin beta6 (E4M9P) Rabbit Monoclonal Antibody
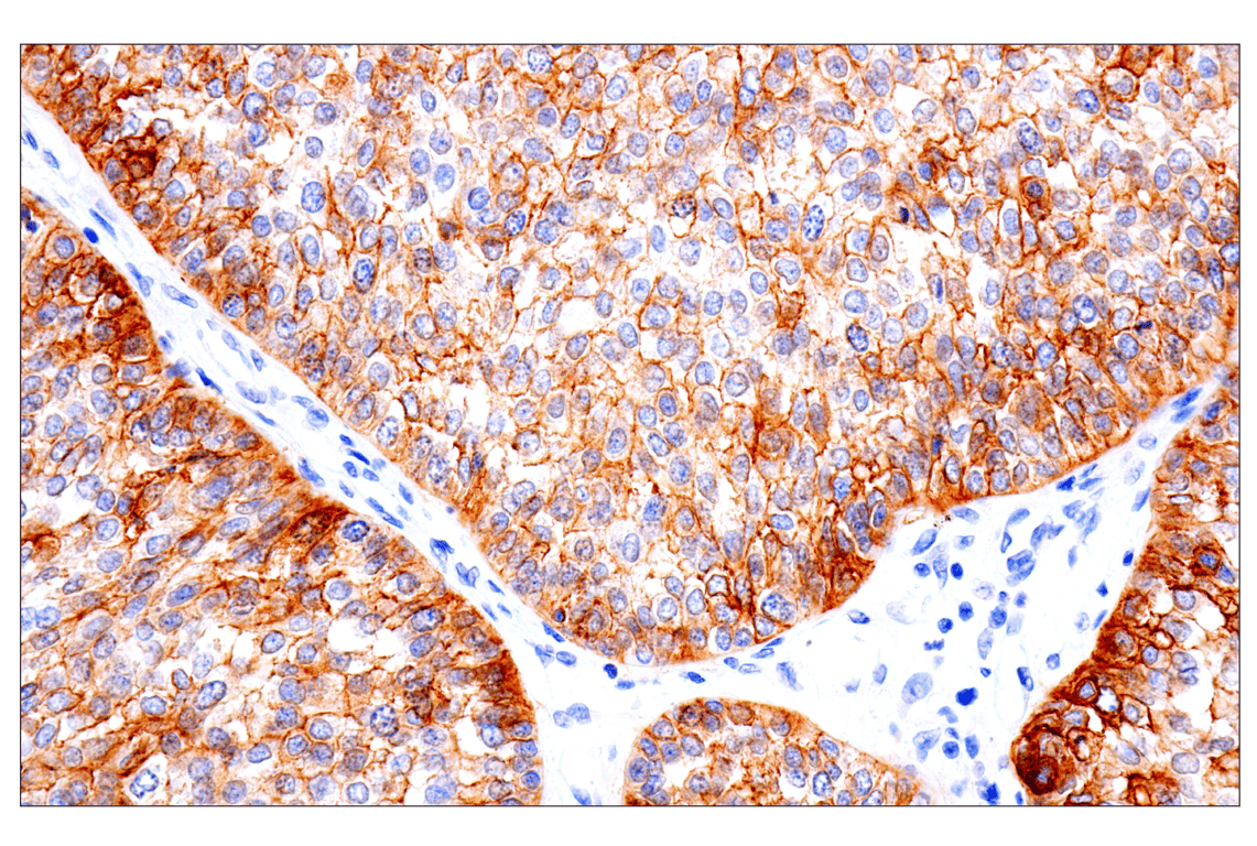
Immunohistochemical analysis of paraffin-embedded human lung adenocarcinoma using Integrin β6 (E4M9P) XP® Rabbit mAb performed on the Leica BOND RX.
Immunohistochemistry Image 1: Integrin beta6 (E4M9P) Rabbit Monoclonal Antibody
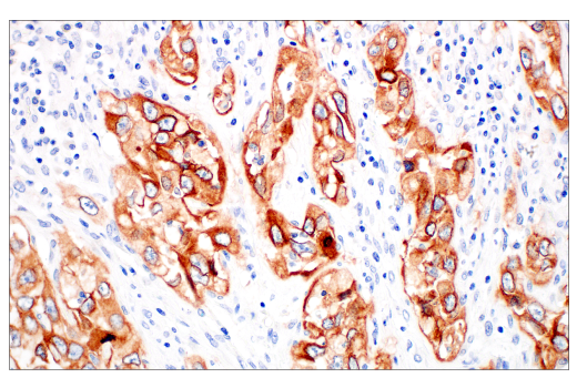
Immunohistochemical analysis of paraffin-embedded human esophageal carcinoma using Integrin β6 (E4M9P) XP® Rabbit mAb performed on the Leica BOND RX.

Immunohistochemistry Image 2: Integrin beta6 (E4M9P) Rabbit Monoclonal Antibody
Orders: 877-616-CELL (2355) [email protected] Support: 877-678-TECH (8324) [email protected] Web: cellsignal.com
For Research Use Only. Not for Use in Diagnostic Procedures.

Revision 6

Cell Signaling Technology Logo
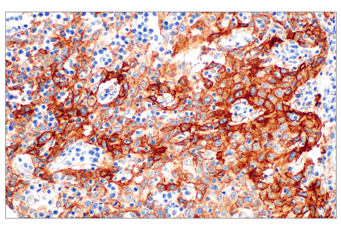
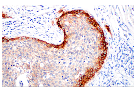
Immunohistochemical analysis of paraffin-embedded human squamous cell carcinoma of the cervix using Integrin β6 (E4M9P) XP® Rabbit mAb performed on the Leica BOND RX.

Immunohistochemistry Image 3: Integrin beta6 (E4M9P) Rabbit Monoclonal Antibody
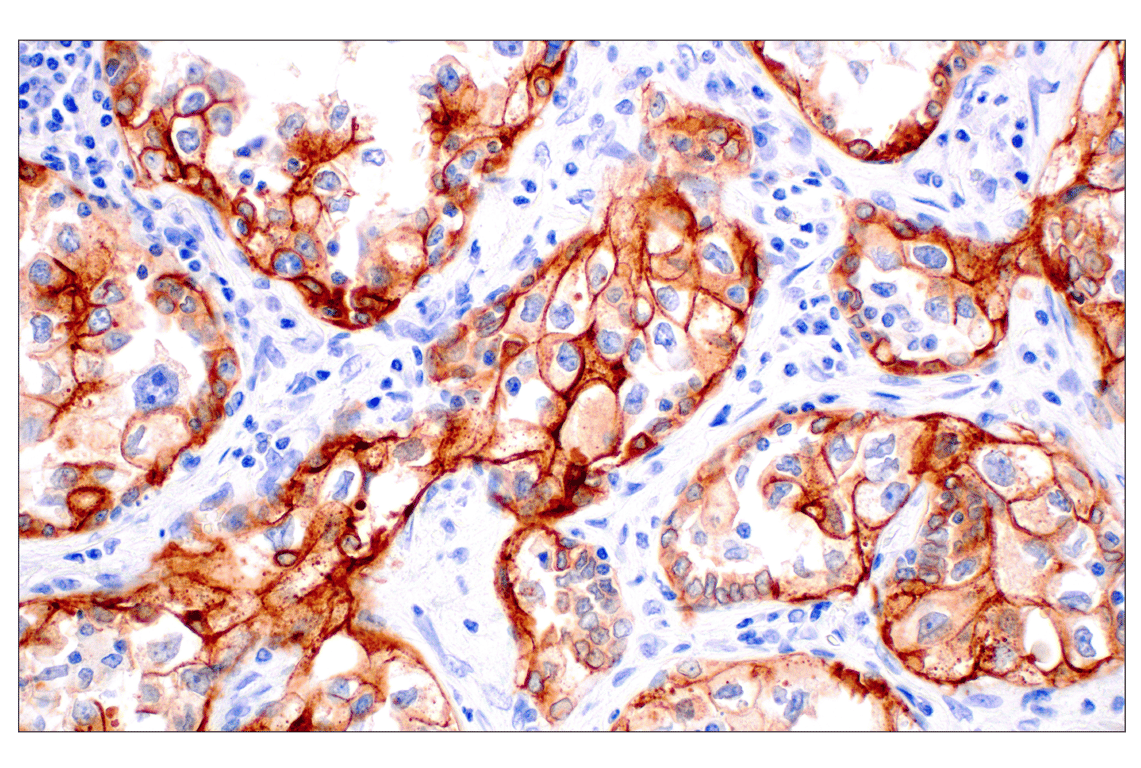
Immunohistochemical analysis of paraffin-embedded human squamous cell lung carcinoma using Integrin β6 (E4M9P) XP® Rabbit mAb performed on the Leica BOND RX.

Immunohistochemistry Image 4: Integrin beta6 (E4M9P) Rabbit Monoclonal Antibody
Immunohistochemical analysis of paraffin-embedded human squamous cell lung carcinoma using Integrin β6 (E4M9P) XP® Rabbit mAb.
Immunohistochemistry Image 1: Integrin beta6 (E4M9P) Rabbit Monoclonal Antibody
Orders: 877-616-CELL (2355) [email protected] Support: 877-678-TECH (8324) [email protected] Web: cellsignal.com
For Research Use Only. Not for Use in Diagnostic Procedures.

Revision 6

Cell Signaling Technology Logo
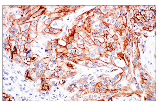
Immunohistochemical analysis of paraffin-embedded human soft tissue squamous cell carcinoma using Integrin β6 (E4M9P) XP® Rabbit mAb.
Immunohistochemistry Image 2: Integrin beta6 (E4M9P) Rabbit Monoclonal Antibody
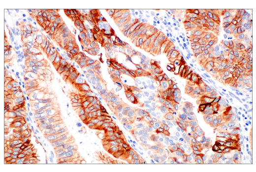
Immunohistochemical analysis of paraffin-embedded human esophageal adenocarcinoma using Integrin β6 (E4M9P) XP® Rabbit mAb.
Immunohistochemistry Image 3: Integrin beta6 (E4M9P) Rabbit Monoclonal Antibody
Immunohistochemical analysis of paraffin-embedded human squamous cell carcinoma of the cervix using Integrin β6 (E4M9P) XP® Rabbit mAb.
Immunohistochemistry Image 4: Integrin beta6 (E4M9P) Rabbit Monoclonal Antibody
Orders: 877-616-CELL (2355) [email protected] Support: 877-678-TECH (8324) [email protected] Web: cellsignal.com
For Research Use Only. Not for Use in Diagnostic Procedures.

Revision 6

Cell Signaling Technology Logo
Immunohistochemical analysis of paraffin-embedded normal human esophagus using Integrin β6 (E4M9P) XP® Rabbit mAb.
Immunohistochemistry Image 5: Integrin beta6 (E4M9P) Rabbit Monoclonal Antibody
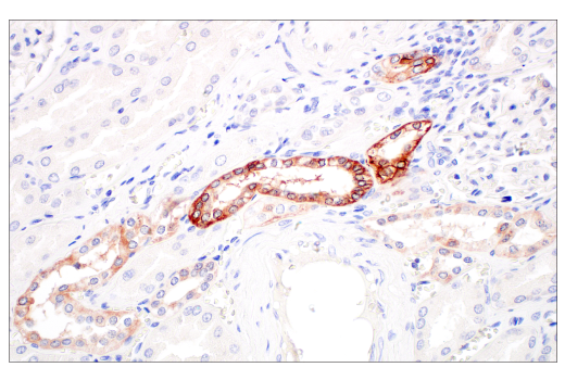
Immunohistochemical analysis of paraffin-embedded normal human kidney using Integrin β6 (E4M9P) XP® Rabbit mAb.
Immunohistochemistry Image 6: Integrin beta6 (E4M9P) Rabbit Monoclonal Antibody
Immunohistochemical analysis of paraffin-embedded human lung adenocarcinoma using Integrin β6 (E4M9P) XP® Rabbit mAb (left) compared to concentration-matched Rabbit (DA1E) mAb IgG XP® Isotype Control #3900 (right).
Immunohistochemistry Image 7: Integrin beta6 (E4M9P) Rabbit Monoclonal Antibody
Orders: 877-616-CELL (2355) [email protected] Support: 877-678-TECH (8324) [email protected] Web: cellsignal.com
For Research Use Only. Not for Use in Diagnostic Procedures.

Revision 6

Cell Signaling Technology Logo
Immunohistochemical analysis of paraffin-embedded Capan-2 cell pellet (left, positive) or MDA-MB-157 cell pellet (right, negative) using Integrin β6 (E4M9P) XP® Rabbit mAb.
Immunohistochemistry Image 8: Integrin beta6 (E4M9P) Rabbit Monoclonal Antibody
Confocal immunofluorescent analysis of Capan-2 cells (left, positive) and MDA-MB-157 cells (right, negative) using Integrin β6 (E4M9P) XP® Rabbit mAb (green), DyLight™ 650 Phalloidin #12956 (red), and DAPI #4083 (blue).
Immunofluorescence Image 1: Integrin beta6 (E4M9P) Rabbit Monoclonal Antibody
Orders: 877-616-CELL (2355) [email protected] Support: 877-678-TECH (8324) [email protected] Web: cellsignal.com
For Research Use Only. Not for Use in Diagnostic Procedures.