Revision 1

#20648

Store at -20C

CST Logo
Orders:

877-616-CELL (2355)

[email protected]

Support:

877-678-TECH (8324)

3 Trask Lane | Danvers | Massachusetts | 01923 | USA

For Research Use Only. Not for Use in Diagnostic Procedures.

Applications:
W, IHC-P, IF-IC

Reactivity:
H M R Mk

Sensitivity:
Endogenous

MW (kDa):
195

Source/Isotype:
Rabbit IgG

UniProt ID:
#P46940

Entrez-Gene Id:
8826

Product Usage Information

Application Dilution
Western Blotting 1:1000
Immunohistochemistry (Paraffin) 1:800
Immunofluorescence (Immunocytochemistry) 1:200

Storage

Supplied in 10 mM sodium HEPES (pH 7.5), 150 mM NaCl, 100 µg/ml BSA, 50% glycerol and less than 0.02% sodium azide. Store at –20°C. Do not aliquot the antibody.

Specificity/Sensitivity

IQGAP1 (D8K4X) Rabbit Monoclonal Antibody recognizes endogenous levels of total IQGAP1 protein.

Source / Purification

Monoclonal antibody is produced by immunizing animals with a synthetic peptide corresponding to residues near the amino terminus of human IQGAP1 protein.

Background

IQGAPs are scaffolding proteins involved in mediating cytoskeletal function. They contain multiple protein interaction domains and bind to a growing number of molecules including actin, myosin light chain, calmodulin, E-cadherin, and β-catenin (reviewed in 1). Through their GAP-related domains, they bind the small GTPases Rac1 and cdc42. IQGAPs lack GAP activity, however, and regulate small GTPases by stabilizing their GTP-bound (active) forms (2,3). Research studies have shown that the function and distribution of the IQGAP proteins widely vary. IQGAP1 is ubiquitously expressed and has been found to interact with APC (4) and the CLIP170 complex (5) in response to small GTPases, promoting cell polarization and migration. Additional research studies have suggested that IQGAP1 could play a part in the invasiveness of some cancers (6-8). IQGAP2, which is about 60% identical to IQGAP1, is expressed primarily in liver (3), but lower levels have been detected in the prostate, kidney, thyroid, stomach, and testis (9,10). Research studies have shown that IQGAP2 displays tumor suppressor properties (7). Less is known about the function of IQGAP3, but this protein is present in the lung, brain, small intestine, and testis (9) and is only expressed in proliferating cells (11), suggesting a role in cell growth and division.

Species Reactivity

Species reactivity is determined by testing in at least one approved application (e.g., western blot).

Western Blot Buffer

IMPORTANT: For western blots, incubate membrane with diluted primary antibody in 5% w/v BSA, 1X TBS, 0.1% Tween® 20 at 4°C with gentle shaking, overnight.

Applications Key

W: Western Blotting IHC-P: Immunohistochemistry (Paraffin) IF-IC: Immunofluorescence (Immunocytochemistry)

Cross-Reactivity Key

H: Human M: Mouse R: Rat Mk: Monkey

Trademarks and Patents

Cell Signaling Technology is a trademark of Cell Signaling Technology, Inc.

SignalStain is a registered trademark of Cell Signaling Technology, Inc.

All other trademarks are the property of their respective owners. Visit cellsignal.com/trademarks for more information.

Limited Uses

Except as otherwise expressly agreed in a writing signed by a legally authorized representative of CST, the following terms apply to Products provided by CST, its affiliates or its distributors. Any Customer's terms and conditions that are in addition to, or different from, those contained herein, unless separately accepted in writing by a legally authorized representative of CST, are rejected and are of no force or effect.

Products are labeled with For Research Use Only or a similar labeling statement and have not been approved, cleared, or licensed by the FDA or other regulatory foreign or domestic entity, for any purpose. Customer shall not use any Product for any diagnostic or therapeutic purpose, or otherwise in any manner that conflicts with its labeling statement. Products sold or licensed by CST are provided for Customer as the end-user and solely for research and development uses. Any use of Product for diagnostic, prophylactic or therapeutic purposes, or any purchase of Product for resale (alone or as a component) or other commercial purpose, requires a separate license from CST. Customer shall (a) not sell, license, loan, donate or otherwise transfer or make available any Product to any third party, whether alone or in combination with other materials, or use the Products to manufacture any commercial products, (b) not copy, modify, reverse engineer, decompile, disassemble or otherwise attempt to discover the underlying structure or technology of the Products, or use the Products for the purpose of developing any products or services that would compete with CST products or services, (c) not alter or remove from the Products any trademarks, trade names, logos, patent or copyright notices or markings, (d) use the Products solely in accordance with CST Product Terms of Sale and any applicable documentation, and (e) comply with any license, terms of service or similar agreement with respect to any third party products or services used by Customer in connection with the Products.

Orders: 877-616-CELL (2355) [email protected] Support: 877-678-TECH (8324) [email protected] Web: cellsignal.com
For Research Use Only. Not for Use in Diagnostic Procedures.

Revision 1

Cell Signaling Technology Logo
Western blot analysis of extracts from various cell lines using IQGAP1 (D8K4X) XP® Rabbit mAb.
Western Blotting Image 1: IQGAP1 (D8K4X) Rabbit Monoclonal Antibody
breast:

Immunohistochemical analysis of paraffin-embedded human infiltrating papillary carcinoma of the breast using IQGAP1 (D8K4X) XP® Rabbit mAb.

Immunohistochemistry Image 1: IQGAP1 (D8K4X) Rabbit Monoclonal Antibody
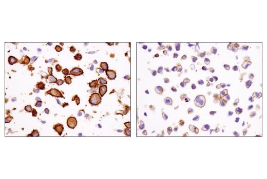
Immunohistochemical analysis of paraffin-embedded SK-MEL-28 (left) and LNCaP (right) cell pellets using IQGAP1 (D8K4X) XP® Rabbit mAb.
Immunohistochemistry Image 2: IQGAP1 (D8K4X) Rabbit Monoclonal Antibody
Orders: 877-616-CELL (2355) [email protected] Support: 877-678-TECH (8324) [email protected] Web: cellsignal.com
For Research Use Only. Not for Use in Diagnostic Procedures.

Revision 1

Cell Signaling Technology Logo
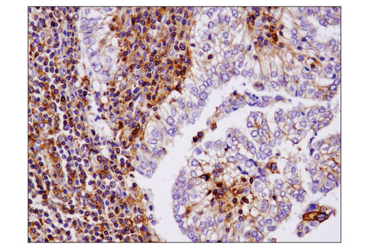
Immunohistochemical analysis of paraffin-embedded human colon carcinoma using IQGAP1 (D8K4X) XP® Rabbit mAb.
Immunohistochemistry Image 3: IQGAP1 (D8K4X) Rabbit Monoclonal Antibody
Immunohistochemical analysis of paraffin-embedded human ovarian carcinoma using IQGAP1 (D8K4X) XP® Rabbit mAb.
Immunohistochemistry Image 4: IQGAP1 (D8K4X) Rabbit Monoclonal Antibody
Confocal immunofluorescent analysis of A549 (left) and Hep G2 (right) cells using IQGAP1 (D8K4X) XP® Rabbit mAb (green). Blue pseudocolor = DRAQ5® #4084 (fluorescent DNA dye).
Immunofluorescence Image 1: IQGAP1 (D8K4X) Rabbit Monoclonal Antibody
Orders: 877-616-CELL (2355) [email protected] Support: 877-678-TECH (8324) [email protected] Web: cellsignal.com
For Research Use Only. Not for Use in Diagnostic Procedures.